Revision 1

#48859

Store at -20C

CST Logo
Orders:

877-616-CELL (2355)

[email protected]

Support:

877-678-TECH (8324)

3 Trask Lane | Danvers | Massachusetts | 01923 | USA

For Research Use Only. Not for Use in Diagnostic Procedures.

Applications:
W, IHC-P, IF-F, IF-IC

Reactivity:
H M R Mk

Sensitivity:
Endogenous

MW (kDa):
140

Source/Isotype:
Rabbit IgG

UniProt ID:
#P49711

Entrez-Gene Id:
10664

Product Usage Information

This product is the carrier free version of product #3418. All data were generated using the same antibody clone in the standard formulation which contains BSA and glycerol.

This formulation is ideal for use with technologies requiring specialized or custom antibody labeling, including fluorophores, metals, lanthanides, and oligonucleotides. It is not recommended for ChIP, ChIP-seq, CUT&RUN or CUT&Tag assays. If you require a carrier free formulation for chromatin profiling, please contact us. Optimal dilutions/concentrations should be determined by the end user.

BSA and Azide Free antibodies are quality control tested by size exclusion chromatography (SEC) to determine antibody integrity.

Formulation

Supplied in 1X PBS (10 mM Na2HPO4, 3 mM KCl, 2 mM KH2PO4, and 140 mM NaCl (pH 7.8)). BSA and Azide Free.

For standard formulation of this product see product #3418

Storage

Store at -20°C. This product will freeze at -20°C so it is recommended to aliquot into single-use vials to avoid multiple freeze/thaw cycles. A slight precipitate may be present and can be dissolved by gently vortexing. This will not interfere with antibody performance.

Specificity/Sensitivity

CTCF (D31H2) Rabbit Monoclonal Antibody (BSA and Azide Free) detects endogenous levels of total CTCF protein. This antibody does not cross-react with BORIS. This antibody nonspecifically labels the lamina propria of small intestine in fixed frozen mouse tissue by immunofluorescence.

Species predicted to react based on 100% sequence homology

Bovine, Horse

Source / Purification

Monoclonal antibody is produced by immunizing animals with a synthetic peptide corresponding to the carboxy terminus of the human CTCF protein.

Background

CCCTC-binding factor (CTCF) and its paralog, the Brother of the Regulator of Imprinted Sites (BORIS), are highly conserved transcription factors that regulate transcriptional activation and repression, insulator function, and imprinting control regions (ICRs) (1-4). Although they have divergent amino and carboxy termini, both proteins contain 11 conserved zinc finger domains that work in combination to bind the same DNA elements (1). CTCF is ubiquitously expressed and contributes to transcriptional regulation of cell-growth regulated genes, including c-Myc, p19/ARF, p16/INK4A, BRCA1, p53, p27, E2F1, and TERT (1). CTCF also binds to and is required for the enhancer-blocking activity of all known insulator elements and ICRs, including the H19/IgF2, Prader-Willi/Angelman syndrome, and Inactive X-Specific Transcript (XIST) anti-sense loci (5-7). CTCF DNA-binding is sensitive to DNA methylation, a mark that determines selection of the imprinted allele (maternal vs. paternal) (1). The various functions of CTCF are regulated by at least two different post-translational modifications. Poly(ADP-ribosyl)ation of CTCF is required for insulator function (8). Phosphorylation of Ser612 by protein kinase CK2 facilitates a switch of CTCF from a transcriptional repressor to an activator at the c-Myc promoter (9). CTCF mutations or deletions have been found in many breast, prostate, and Wilms' tumors (10,11). Expression of BORIS is restricted to spermatocytes and is mutually exclusive of CTCF (3). In cells expressing BORIS, promoters of X-linked cancer-testis antigens like MAGE-A1 are demethylated and activated, but methylated and inactive in CTCF-expressing somatic cells (12). Like other testis specific proteins, BORIS is abnormally expressed in different cancers, such as breast cancer, and has a greater affinity than CTCF for DNA-binding sites, detracting from CTCF’s potential tumor suppressing activity (1,3,13,14).

Species Reactivity

Species reactivity is determined by testing in at least one approved application (e.g., western blot).

Applications Key

W: Western Blotting IHC-P: Immunohistochemistry (Paraffin) IF-F: Immunofluorescence (Frozen) IF-IC: Immunofluorescence (Immunocytochemistry)

Cross-Reactivity Key

H: Human M: Mouse R: Rat Mk: Monkey

Trademarks and Patents

Cell Signaling Technology is a trademark of Cell Signaling Technology, Inc.

All other trademarks are the property of their respective owners. Visit cellsignal.com/trademarks for more information.

Limited Uses

Except as otherwise expressly agreed in a writing signed by a legally authorized representative of CST, the following terms apply to Products provided by CST, its affiliates or its distributors. Any Customer's terms and conditions that are in addition to, or different from, those contained herein, unless separately accepted in writing by a legally authorized representative of CST, are rejected and are of no force or effect.

Products are labeled with For Research Use Only or a similar labeling statement and have not been approved, cleared, or licensed by the FDA or other regulatory foreign or domestic entity, for any purpose. Customer shall not use any Product for any diagnostic or therapeutic purpose, or otherwise in any manner that conflicts with its labeling statement. Products sold or licensed by CST are provided for Customer as the end-user and solely for research and development uses. Any use of Product for diagnostic, prophylactic or therapeutic purposes, or any purchase of Product for resale (alone or as a component) or other commercial purpose, requires a separate license from CST. Customer shall (a) not sell, license, loan, donate or otherwise transfer or make available any Product to any third party, whether alone or in combination with other materials, or use the Products to manufacture any commercial products, (b) not copy, modify, reverse engineer, decompile, disassemble or otherwise attempt to discover the underlying structure or technology of the Products, or use the Products for the purpose of developing any products or services that would compete with CST products or services, (c) not alter or remove from the Products any trademarks, trade names, logos, patent or copyright notices or markings, (d) use the Products solely in accordance with CST Product Terms of Sale and any applicable documentation, and (e) comply with any license, terms of service or similar agreement with respect to any third party products or services used by Customer in connection with the Products.

Orders: 877-616-CELL (2355) [email protected] Support: 877-678-TECH (8324) [email protected] Web: cellsignal.com
For Research Use Only. Not for Use in Diagnostic Procedures.

Revision 1

Cell Signaling Technology Logo
Western blot analysis of extracts from various cell lines using CTCF (D31H2) XP® Rabbit mAb. Data were generated using the standard formulation of this product.
Western Blotting Image 1: CTCF (D31H2) Rabbit Monoclonal Antibody (BSA and Azide Free)
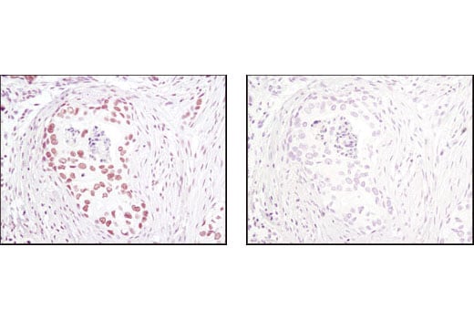
Immunohistochemical analysis of paraffin-embedded human breast carcinoma using CTCF (D31H2) XP® Rabbit mAb in the presence of control peptide (left) or antigen-specific peptide (right). Data were generated using the standard formulation of this product.
Immunohistochemistry Image 1: CTCF (D31H2) Rabbit Monoclonal Antibody (BSA and Azide Free)
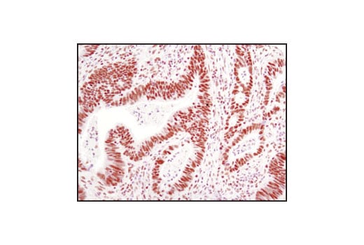
Immunohistochemical analysis of paraffin-embedded human colon carcinoma using CTCF (D31H2) XP® Rabbit mAb. Data were generated using the standard formulation of this product.
Immunohistochemistry Image 2: CTCF (D31H2) Rabbit Monoclonal Antibody (BSA and Azide Free)
Orders: 877-616-CELL (2355) [email protected] Support: 877-678-TECH (8324) [email protected] Web: cellsignal.com
For Research Use Only. Not for Use in Diagnostic Procedures.

Revision 1

Cell Signaling Technology Logo
Immunohistochemical analysis of paraffin-embedded human lymphoma using CTCF (D31H2) XP® Rabbit mAb. Data were generated using the standard formulation of this product.
Immunohistochemistry Image 3: CTCF (D31H2) Rabbit Monoclonal Antibody (BSA and Azide Free)
Confocal immunofluorescent analysis of HCT-116 cells using CTCF (D31H2) XP® Rabbit mAb (green). Actin filaments were labeled with DY-554 phalloidin (red). Data were generated using the standard formulation of this product.
Immunofluorescence Image 1: CTCF (D31H2) Rabbit Monoclonal Antibody (BSA and Azide Free)
Orders: 877-616-CELL (2355) [email protected] Support: 877-678-TECH (8324) [email protected] Web: cellsignal.com
For Research Use Only. Not for Use in Diagnostic Procedures.