Revision 1

#73930

Store at -20C

CST Logo
Orders:

877-616-CELL (2355)

[email protected]

Support:

877-678-TECH (8324)

3 Trask Lane | Danvers | Massachusetts | 01923 | USA

For Research Use Only. Not for Use in Diagnostic Procedures.

Applications:
W, IHC-P

Reactivity:
H M

Sensitivity:
Endogenous

MW (kDa):
29

Source/Isotype:
Rabbit IgG

UniProt ID:
#Q96CG8

Entrez-Gene Id:
115908

Product Usage Information

Application Dilution
Western Blotting 1:1000
Immunohistochemistry (Paraffin) 1:200 - 1:800

Storage

Supplied in 10 mM sodium HEPES (pH 7.5), 150 mM NaCl, 100 µg/mL BSA, 50% glycerol, and less than 0.02% sodium azide. Store at –20°C. Do not aliquot the antibody.

Specificity/Sensitivity

CTHRC1 (E8M9S) Rabbit Monoclonal Antibody recognizes endogenous levels of total CTHRC1 protein. Non-specific staining was observed in human pancreatic islets and in mouse squamous epithelium and mucin by immunohistochemistry.

Source / Purification

Monoclonal antibody is produced by immunizing animals with recombinant protein specific to the carboxy terminus of human CTHRC1 protein.

Background

Collagen triple helix repeat containing-1 (CTHRC1) is a secreted glycoprotein involved in wound repair, vascular and bone remodeling, matrix deposition, and migration. CTHRC1 is overexpressed in multiple human cancers, and its expression is associated with increased migration and metastasis, as well as decreased survival (1-3).
CTHRC1 expression is regulated through TGF-β/Smad3 signaling, and its effects on migration and invasion are mediated by several signaling pathways, including TGF-β, Wnt, integrin β/FAK, Src/FAK, MEK/ERK, PI3K/AKT/ERK, HIF-1α, and PKC-δ/ERK (3). CTHRC1 protein is elevated in the peripheral blood of Rheumatoid arthritis (RA) patients, and CTHRC1 is thought to be a driver of RA progression (4).

Species Reactivity

Species reactivity is determined by testing in at least one approved application (e.g., western blot).

Western Blot Buffer

IMPORTANT: For western blots, incubate membrane with diluted primary antibody in 5% w/v nonfat dry milk, 1X TBS, 0.1% Tween® 20 at 4°C with gentle shaking, overnight.

Applications Key

W: Western Blotting IHC-P: Immunohistochemistry (Paraffin)

Cross-Reactivity Key

H: Human M: Mouse

Trademarks and Patents

Cell Signaling Technology is a trademark of Cell Signaling Technology, Inc.

All other trademarks are the property of their respective owners. Visit cellsignal.com/trademarks for more information.

Limited Uses

Except as otherwise expressly agreed in a writing signed by a legally authorized representative of CST, the following terms apply to Products provided by CST, its affiliates or its distributors. Any Customer's terms and conditions that are in addition to, or different from, those contained herein, unless separately accepted in writing by a legally authorized representative of CST, are rejected and are of no force or effect.

Products are labeled with For Research Use Only or a similar labeling statement and have not been approved, cleared, or licensed by the FDA or other regulatory foreign or domestic entity, for any purpose. Customer shall not use any Product for any diagnostic or therapeutic purpose, or otherwise in any manner that conflicts with its labeling statement. Products sold or licensed by CST are provided for Customer as the end-user and solely for research and development uses. Any use of Product for diagnostic, prophylactic or therapeutic purposes, or any purchase of Product for resale (alone or as a component) or other commercial purpose, requires a separate license from CST. Customer shall (a) not sell, license, loan, donate or otherwise transfer or make available any Product to any third party, whether alone or in combination with other materials, or use the Products to manufacture any commercial products, (b) not copy, modify, reverse engineer, decompile, disassemble or otherwise attempt to discover the underlying structure or technology of the Products, or use the Products for the purpose of developing any products or services that would compete with CST products or services, (c) not alter or remove from the Products any trademarks, trade names, logos, patent or copyright notices or markings, (d) use the Products solely in accordance with CST Product Terms of Sale and any applicable documentation, and (e) comply with any license, terms of service or similar agreement with respect to any third party products or services used by Customer in connection with the Products.

Orders: 877-616-CELL (2355) [email protected] Support: 877-678-TECH (8324) [email protected] Web: cellsignal.com
For Research Use Only. Not for Use in Diagnostic Procedures.

Revision 1

Cell Signaling Technology Logo
Western blot analysis of concentrated serum-free culture medium (lanes 1,2) and whole cell extracts (lane 3-6) from SK-MEL-28 (lanes 1,3), A-375 (lanes 2, 4), LNCaP (lane 5), and Neuro-2a (lane 6) cells, using CTHRC1 (E8M9S) Rabbit mAb (upper) or GAPDH (D16H11) XP® Rabbit mAb #5174 (lower). Low expression of CTHRC1 protein in LNCaP cells is consistent with the predicted expression pattern.
Western Blotting Image 1: CTHRC1 (E8M9S) Rabbit Monoclonal Antibody

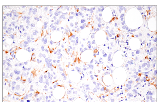
Immunohistochemical analysis of paraffin-embedded human ductal breast carcinoma using CTHRC1 (E8M9S) Rabbit mAb.

Immunohistochemistry Image 1: CTHRC1 (E8M9S) Rabbit Monoclonal Antibody
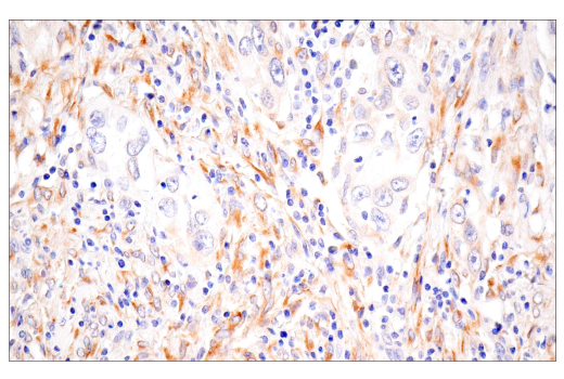
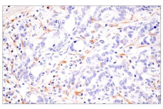
Immunohistochemical analysis of paraffin-embedded human soft tissue squamous cell carcinoma using CTHRC1 (E8M9S) Rabbit mAb.
Immunohistochemistry Image 2: CTHRC1 (E8M9S) Rabbit Monoclonal Antibody
Orders: 877-616-CELL (2355) [email protected] Support: 877-678-TECH (8324) [email protected] Web: cellsignal.com
For Research Use Only. Not for Use in Diagnostic Procedures.

Revision 1

Cell Signaling Technology Logo

Immunohistochemical analysis of paraffin-embedded human ductal breast carcinoma using CTHRC1 (E8M9S) Rabbit mAb.

Immunohistochemistry Image 3: CTHRC1 (E8M9S) Rabbit Monoclonal Antibody

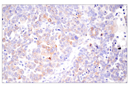
Immunohistochemical analysis of paraffin-embedded human esophageal adenocarcinoma using CTHRC1 (E8M9S) Rabbit mAb.

Immunohistochemistry Image 4: CTHRC1 (E8M9S) Rabbit Monoclonal Antibody
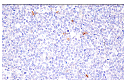
Immunohistochemical analysis of paraffin-embedded human mantle cell lymphoma using CTHRC1 (E8M9S) Rabbit mAb.
Immunohistochemistry Image 5: CTHRC1 (E8M9S) Rabbit Monoclonal Antibody
Orders: 877-616-CELL (2355) [email protected] Support: 877-678-TECH (8324) [email protected] Web: cellsignal.com
For Research Use Only. Not for Use in Diagnostic Procedures.

Revision 1

Cell Signaling Technology Logo

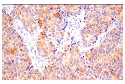
Immunohistochemical analysis of paraffin-embedded human ovarian serous adenocarcinoma using CTHRC1 (E8M9S) Rabbit mAb.

Immunohistochemistry Image 6: CTHRC1 (E8M9S) Rabbit Monoclonal Antibody

Immunohistochemical analysis of paraffin-embedded 4T1 syngeneic mammary tumor using CTHRC1 (E8M9S) Rabbit mAb.

Immunohistochemistry Image 7: CTHRC1 (E8M9S) Rabbit Monoclonal Antibody
Immunohistochemical analysis of paraffin-embedded CT26 syngeneic tumor using CTHRC1 (E8M9S) Rabbit mAb.
Immunohistochemistry Image 8: CTHRC1 (E8M9S) Rabbit Monoclonal Antibody
Orders: 877-616-CELL (2355) [email protected] Support: 877-678-TECH (8324) [email protected] Web: cellsignal.com
For Research Use Only. Not for Use in Diagnostic Procedures.

Revision 1

Cell Signaling Technology Logo
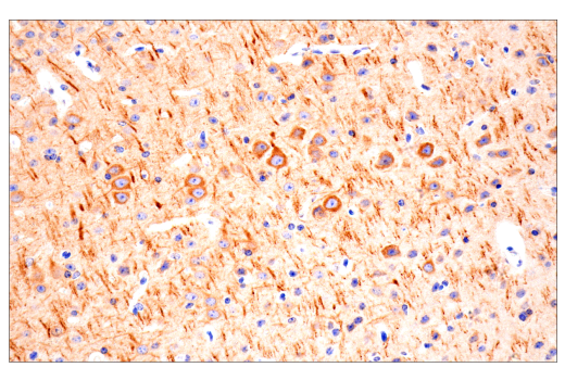
Immunohistochemical analysis of paraffin-embedded mouse brain using CTHRC1 (E8M9S) Rabbit mAb.
Immunohistochemistry Image 9: CTHRC1 (E8M9S) Rabbit Monoclonal Antibody
Immunohistochemical analysis of paraffin-embedded normal human placenta using CTHRC1 (E8M9S) Rabbit mAb (left) compared to concentration-matched Rabbit (DA1E) mAb IgG XP® Isotype Control #3900 (right).
Immunohistochemistry Image 10: CTHRC1 (E8M9S) Rabbit Monoclonal Antibody
Immunohistochemical analysis of paraffin-embedded SK-MEL-28 cell pellet (left, positive) or 293 cell pellet (right, negative) using CTHRC1 (E8M9S) Rabbit mAb.
Immunohistochemistry Image 11: CTHRC1 (E8M9S) Rabbit Monoclonal Antibody
Orders: 877-616-CELL (2355) [email protected] Support: 877-678-TECH (8324) [email protected] Web: cellsignal.com
For Research Use Only. Not for Use in Diagnostic Procedures.