Revision 14

#53560

Store at -20C

CST Logo
Orders:

877-616-CELL (2355)

[email protected]

Support:

877-678-TECH (8324)

3 Trask Lane | Danvers | Massachusetts | 01923 | USA

For Research Use Only. Not for Use in Diagnostic Procedures.

Applications:
W, IP, IHC-Bond, IHC-P, IF-F

Reactivity:
H M

Sensitivity:
Endogenous

MW (kDa):
25-30

Source/Isotype:
Rabbit IgG

UniProt ID:
#P16410

Entrez-Gene Id:
1493

Product Usage Information

Application Dilution
Western Blotting 1:1000
Immunoprecipitation 1:50
IHC Leica Bond 1:50 - 1:200
Immunohistochemistry (Paraffin) 1:100 - 1:400
Immunofluorescence (Frozen) 1:50

Storage

Supplied in 10 mM sodium HEPES (pH 7.5), 150 mM NaCl, 100 µg/ml BSA, 50% glycerol and less than 0.02% sodium azide. Store at –20°C. Do not aliquot the antibody.

For a carrier free (BSA and azide free) version of this product see product #26893.


For a carrier free (BSA and azide free) version of this product see product #55226.

Specificity/Sensitivity

CTLA-4 (E2V1Z) Rabbit Monoclonal Antibody recognizes endogenous levels of total CTLA-4 protein. Non-specific staining was observed in mouse and human normal and neoplastic liver, in human normal kidney, and in mouse stomach crypts.

Source / Purification

Monoclonal antibody is produced by immunizing animals with a synthetic peptide corresponding to residues surrounding Gln216 of human CTLA-4 protein.

Background

Cytotoxic T-lymphocyte protein 4 (CTLA-4, CD152) is an Ig superfamily member that negatively regulates early T cell activation (1-4). The CTLA-4 protein is primarily expressed on T cells, including CD8+ cytotoxic T cells, CD4+ helper T cells, and CD4+/FoxP3+ regulatory T cells (1,2). CTLA-4 protein competes with CD28 for B7.1 (CD80) and B7.2 (CD86) binding at the cell surface, which results in the downregulation of T cell activity (5). The activation of SHP-2 and PP2A downstream of CTLA-4 attenuates TCR signaling (6). Research studies indicate that CTLA4 knockout mice display lymphoproliferative disorders leading to early death, confirming the role of CTLA-4 as a negative regulator of T cells (7). Mutations in the corresponding CTLA4 gene are associated with multiple disorders, including insulin-dependent diabetes mellitus, Graves' disease, Hashimoto thyroiditis, celiac disease, systemic lupus erythematosus, and type V autoimmune lymphoproliferative syndrome (8,9). Additional studies demonstrate that CTLA-4 blockade is an effective strategy for tumor immunotherapy (10-12).

Species Reactivity

Species reactivity is determined by testing in at least one approved application (e.g., western blot).

Western Blot Buffer

IMPORTANT: For western blots, incubate membrane with diluted primary antibody in 5% w/v BSA, 1X TBS, 0.1% Tween® 20 at 4°C with gentle shaking, overnight.

Applications Key

W: Western Blotting IP: Immunoprecipitation IHC-Bond: IHC Leica Bond IHC-P: Immunohistochemistry (Paraffin) IF-F: Immunofluorescence (Frozen)

Cross-Reactivity Key

H: Human M: Mouse

Trademarks and Patents

Cell Signaling Technology is a trademark of Cell Signaling Technology, Inc.

SignalStain is a registered trademark of Cell Signaling Technology, Inc.

All other trademarks are the property of their respective owners. Visit cellsignal.com/trademarks for more information.

Limited Uses

Except as otherwise expressly agreed in a writing signed by a legally authorized representative of CST, the following terms apply to Products provided by CST, its affiliates or its distributors. Any Customer's terms and conditions that are in addition to, or different from, those contained herein, unless separately accepted in writing by a legally authorized representative of CST, are rejected and are of no force or effect.

Products are labeled with For Research Use Only or a similar labeling statement and have not been approved, cleared, or licensed by the FDA or other regulatory foreign or domestic entity, for any purpose. Customer shall not use any Product for any diagnostic or therapeutic purpose, or otherwise in any manner that conflicts with its labeling statement. Products sold or licensed by CST are provided for Customer as the end-user and solely for research and development uses. Any use of Product for diagnostic, prophylactic or therapeutic purposes, or any purchase of Product for resale (alone or as a component) or other commercial purpose, requires a separate license from CST. Customer shall (a) not sell, license, loan, donate or otherwise transfer or make available any Product to any third party, whether alone or in combination with other materials, or use the Products to manufacture any commercial products, (b) not copy, modify, reverse engineer, decompile, disassemble or otherwise attempt to discover the underlying structure or technology of the Products, or use the Products for the purpose of developing any products or services that would compete with CST products or services, (c) not alter or remove from the Products any trademarks, trade names, logos, patent or copyright notices or markings, (d) use the Products solely in accordance with CST Product Terms of Sale and any applicable documentation, and (e) comply with any license, terms of service or similar agreement with respect to any third party products or services used by Customer in connection with the Products.

Orders: 877-616-CELL (2355) [email protected] Support: 877-678-TECH (8324) [email protected] Web: cellsignal.com
For Research Use Only. Not for Use in Diagnostic Procedures.

Revision 14

Cell Signaling Technology Logo
Western blot analysis of extracts from various human and mouse cells using CTLA-4 (E2V1Z) Rabbit mAb (upper) and b-actin (D6A8) Rabbit mAb #8457 (lower).
Western Blotting Image 1: CTLA-4 (E2V1Z) Rabbit Monoclonal Antibody
Immunoprecipitation of CTLA-4 protein from NCI-H520 cell extracts. Lane 1 is 10% input, lane 2 is Rabbit (DA1E) mAb IgG XP® Isotype Control #3900, and lane 3 is CTLA-4 (E2V1Z) Rabbit mAb. Western blot analysis was performed using CTLA-4 (E2V1Z) Rabbit mAb. Mouse Anti-rabbit IgG (Conformation Specific) (L27A9) mAb (HRP Conjugate) #5127 was used as the secondary antibody.
Immunoprecipitation Image 1: CTLA-4 (E2V1Z) Rabbit Monoclonal Antibody
Immunohistochemical analysis of paraffin-embedded human B-cell non-Hodgkin lymphoma using CTLA-4 (E2V1Z) Rabbit mAb performed on the Leica® BOND™ Rx.
Immunohistochemistry Image 1: CTLA-4 (E2V1Z) Rabbit Monoclonal Antibody
Orders: 877-616-CELL (2355) [email protected] Support: 877-678-TECH (8324) [email protected] Web: cellsignal.com
For Research Use Only. Not for Use in Diagnostic Procedures.

Revision 14

Cell Signaling Technology Logo
Immunohistochemical analysis of paraffin-embedded human colon adenocarcinoma using CTLA-4 (E2V1Z) Rabbit mAb performed on the Leica® BOND™ Rx.
Immunohistochemistry Image 2: CTLA-4 (E2V1Z) Rabbit Monoclonal Antibody
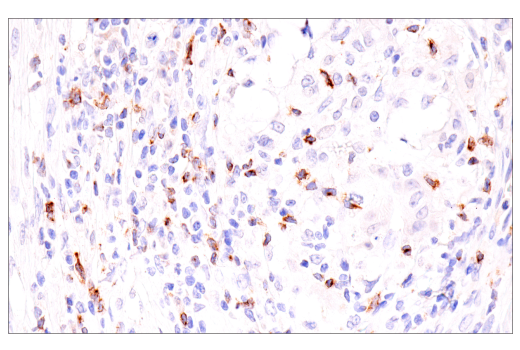
Immunohistochemical analysis of paraffin-embedded human neuroendocrine lung carcinoma using CTLA-4 (E2V1Z) Rabbit mAb performed on the Leica® BOND™ Rx.
Immunohistochemistry Image 3: CTLA-4 (E2V1Z) Rabbit Monoclonal Antibody
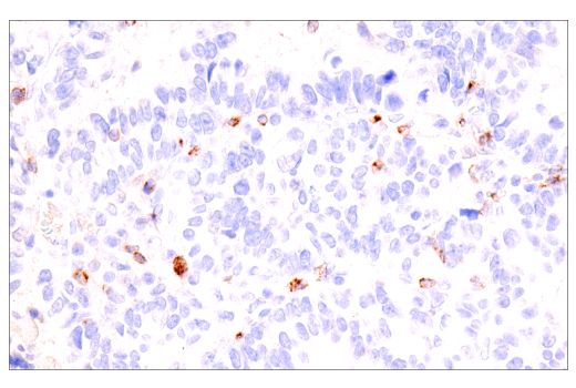
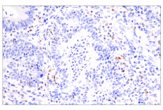
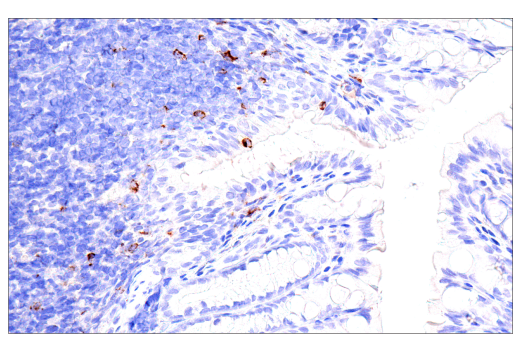
Immunohistochemical analysis of paraffin-embedded human colon carcinoma using CTLA-4 (E2V1Z) Rabbit mAb.
Immunohistochemistry Image 1: CTLA-4 (E2V1Z) Rabbit Monoclonal Antibody
Orders: 877-616-CELL (2355) [email protected] Support: 877-678-TECH (8324) [email protected] Web: cellsignal.com
For Research Use Only. Not for Use in Diagnostic Procedures.

Revision 14

Cell Signaling Technology Logo
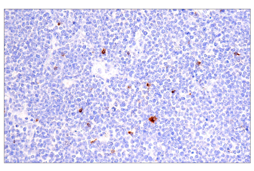
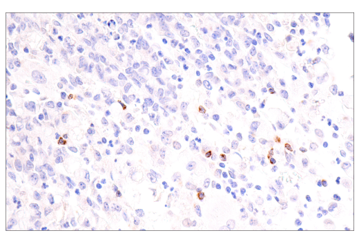
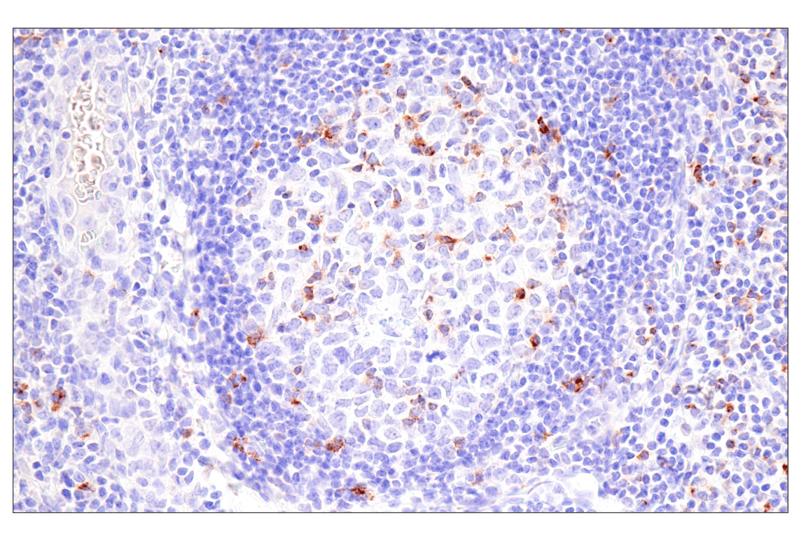
Immunohistochemical analysis of paraffin-embedded human T-cell lymphoma using CTLA-4 (E2V1Z) Rabbit mAb.
Immunohistochemistry Image 2: CTLA-4 (E2V1Z) Rabbit Monoclonal Antibody
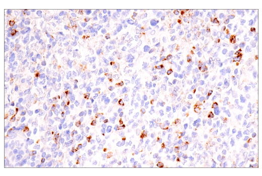
Immunohistochemical analysis of paraffin-embedded human urothelial carcinoma using CTLA-4 (E2V1Z) Rabbit mAb.
Immunohistochemistry Image 3: CTLA-4 (E2V1Z) Rabbit Monoclonal Antibody
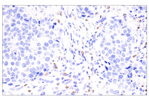
Immunohistochemical analysis of paraffin-embedded human esophageal adenocarcinoma using CTLA-4 (E2V1Z) Rabbit mAb.
Immunohistochemistry Image 4: CTLA-4 (E2V1Z) Rabbit Monoclonal Antibody
Orders: 877-616-CELL (2355) [email protected] Support: 877-678-TECH (8324) [email protected] Web: cellsignal.com
For Research Use Only. Not for Use in Diagnostic Procedures.

Revision 14

Cell Signaling Technology Logo
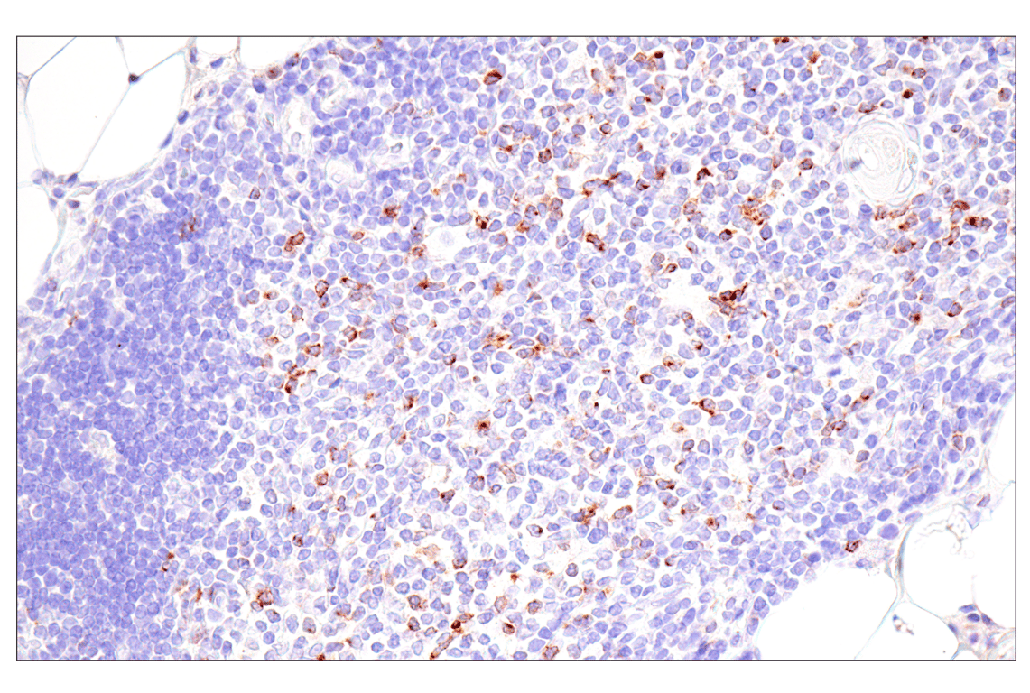
Immunohistochemical analysis of paraffin-embedded human tonsil using CTLA-4 (E2V1Z) Rabbit mAb.
Immunohistochemistry Image 5: CTLA-4 (E2V1Z) Rabbit Monoclonal Antibody
Immunohistochemical analysis of paraffin-embedded normal human thymus using CTLA-4 (E2V1Z) Rabbit mAb.
Immunohistochemistry Image 6: CTLA-4 (E2V1Z) Rabbit Monoclonal Antibody
Immunohistochemical analysis of paraffin-embedded A20 syngeneic tumor using CTLA-4 (E2V1Z) Rabbit mAb.
Immunohistochemistry Image 7: CTLA-4 (E2V1Z) Rabbit Monoclonal Antibody
Orders: 877-616-CELL (2355) [email protected] Support: 877-678-TECH (8324) [email protected] Web: cellsignal.com
For Research Use Only. Not for Use in Diagnostic Procedures.

Revision 14

Cell Signaling Technology Logo
Immunohistochemical analysis of paraffin-embedded normal mouse spleen using CTLA-4 (E2V1Z) Rabbit mAb.
Immunohistochemistry Image 8: CTLA-4 (E2V1Z) Rabbit Monoclonal Antibody
Immunohistochemical analysis of paraffin-embedded normal mouse colon using CTLA-4 (E2V1Z) Rabbit mAb.
Immunohistochemistry Image 9: CTLA-4 (E2V1Z) Rabbit Monoclonal Antibody
Immunohistochemical analysis of paraffin-embedded normal mouse thymus using CTLA-4 (E2V1Z) Rabbit mAb.
Immunohistochemistry Image 10: CTLA-4 (E2V1Z) Rabbit Monoclonal Antibody
Orders: 877-616-CELL (2355) [email protected] Support: 877-678-TECH (8324) [email protected] Web: cellsignal.com
For Research Use Only. Not for Use in Diagnostic Procedures.

Revision 14

Cell Signaling Technology Logo
Immunohistochemical analysis of paraffin-embedded human appendix using CTLA-4 (E2V1Z) Rabbit mAb (left) compared to concentration-matched Rabbit (DA1E) mAb IgG XP® Isotype Control #3900 (right).
Immunohistochemistry Image 11: CTLA-4 (E2V1Z) Rabbit Monoclonal Antibody
Immunohistochemical analysis of paraffin-embedded MJ [G11] cell pellet (left, positive), 293T cell pellet (middle, negative), or CTLA-4-transfected 293T cell pellet (right, positive), using CTLA-4 (E2V1Z) Rabbit mAb.
Immunohistochemistry Image 12: CTLA-4 (E2V1Z) Rabbit Monoclonal Antibody
Confocal immunofluorescent analysis of fixed frozen mouse thymus labeled with CTLA-4 (E2V1Z) Rabbit Monoclonal Antibody (green), CD3 (17A2) Rat Monoclonal Antibody (APC Conjugate) #24265 (red), and ProLong Gold Antifade Reagent with DAPI #8961 (blue).
Immunofluorescence Image 1: CTLA-4 (E2V1Z) Rabbit Monoclonal Antibody
Orders: 877-616-CELL (2355) [email protected] Support: 877-678-TECH (8324) [email protected] Web: cellsignal.com
For Research Use Only. Not for Use in Diagnostic Procedures.

Revision 14

Cell Signaling Technology Logo
Confocal immunofluorescent analysis of fixed frozen mouse spleen labeled with CTLA-4 (E2V1Z) Rabbit Monoclonal Antibody (green), CD3 (17A2) Rat Monoclonal Antibody (APC Conjugate) #24265 (red), and ProLong Gold Antifade Reagent with DAPI #8961 (blue).
Immunofluorescence Image 2: CTLA-4 (E2V1Z) Rabbit Monoclonal Antibody
Orders: 877-616-CELL (2355) [email protected] Support: 877-678-TECH (8324) [email protected] Web: cellsignal.com
For Research Use Only. Not for Use in Diagnostic Procedures.