Revision 3

#45008

Store at -20C

CST Logo
Orders:

877-616-CELL (2355)

[email protected]

Support:

877-678-TECH (8324)

3 Trask Lane | Danvers | Massachusetts | 01923 | USA

For Research Use Only. Not for Use in Diagnostic Procedures.

Applications:
IHC-P

Reactivity:
H

Sensitivity:
Endogenous

Source/Isotype:
Rabbit IgG

UniProt ID:
#P02778

Entrez-Gene Id:
3627

Product Usage Information

Application Dilution
Immunohistochemistry (Paraffin) 1:200 - 1:800

Storage

Supplied in 10 mM sodium HEPES (pH 7.5), 150 mM NaCl, 100 µg/mL BSA, 50% glycerol, and less than 0.02% sodium azide. Store at –20°C. Do not aliquot the antibody.

For a carrier free (BSA and azide free) version of this product see product #33892.

Specificity/Sensitivity

CXCL10 (F9N8I) Rabbit Monoclonal Antibody recognizes endogenous levels of total CXCL10 protein.

Source / Purification

Monoclonal antibody is produced by immunizing animals with recombinant protein specific to the carboxy terminus of human CXCL10 protein.

Background

C-X-C motif chemokine ligand 10 (CXCL10, IP-10) is a chemokine produced by several cell types and induced in response to pro-inflammatory cytokines, such as IFN-gamma and TNF-alpha (1,2). CXCL10 binds to the chemokine receptor CXCR3 and induces calcium flux and cell migration (3). The CXCR3 protein is normally expressed on activated CD4+ T cells and NK cells, which can produce pro-inflammatory cytokines, including IFN-gamma and TNF-alpha (3,4). As a result, these molecules act in an amplification loop to promote immune responses in the contexts of both autoimmunity and a tumor immune response (5,6).

Species Reactivity

Species reactivity is determined by testing in at least one approved application (e.g., western blot).

Applications Key

IHC-P: Immunohistochemistry (Paraffin)

Cross-Reactivity Key

H: Human

Trademarks and Patents

Cell Signaling Technology is a trademark of Cell Signaling Technology, Inc.

All other trademarks are the property of their respective owners. Visit cellsignal.com/trademarks for more information.

Limited Uses

Except as otherwise expressly agreed in a writing signed by a legally authorized representative of CST, the following terms apply to Products provided by CST, its affiliates or its distributors. Any Customer's terms and conditions that are in addition to, or different from, those contained herein, unless separately accepted in writing by a legally authorized representative of CST, are rejected and are of no force or effect.

Products are labeled with For Research Use Only or a similar labeling statement and have not been approved, cleared, or licensed by the FDA or other regulatory foreign or domestic entity, for any purpose. Customer shall not use any Product for any diagnostic or therapeutic purpose, or otherwise in any manner that conflicts with its labeling statement. Products sold or licensed by CST are provided for Customer as the end-user and solely for research and development uses. Any use of Product for diagnostic, prophylactic or therapeutic purposes, or any purchase of Product for resale (alone or as a component) or other commercial purpose, requires a separate license from CST. Customer shall (a) not sell, license, loan, donate or otherwise transfer or make available any Product to any third party, whether alone or in combination with other materials, or use the Products to manufacture any commercial products, (b) not copy, modify, reverse engineer, decompile, disassemble or otherwise attempt to discover the underlying structure or technology of the Products, or use the Products for the purpose of developing any products or services that would compete with CST products or services, (c) not alter or remove from the Products any trademarks, trade names, logos, patent or copyright notices or markings, (d) use the Products solely in accordance with CST Product Terms of Sale and any applicable documentation, and (e) comply with any license, terms of service or similar agreement with respect to any third party products or services used by Customer in connection with the Products.

Orders: 877-616-CELL (2355) [email protected] Support: 877-678-TECH (8324) [email protected] Web: cellsignal.com
For Research Use Only. Not for Use in Diagnostic Procedures.

Revision 3

Cell Signaling Technology Logo
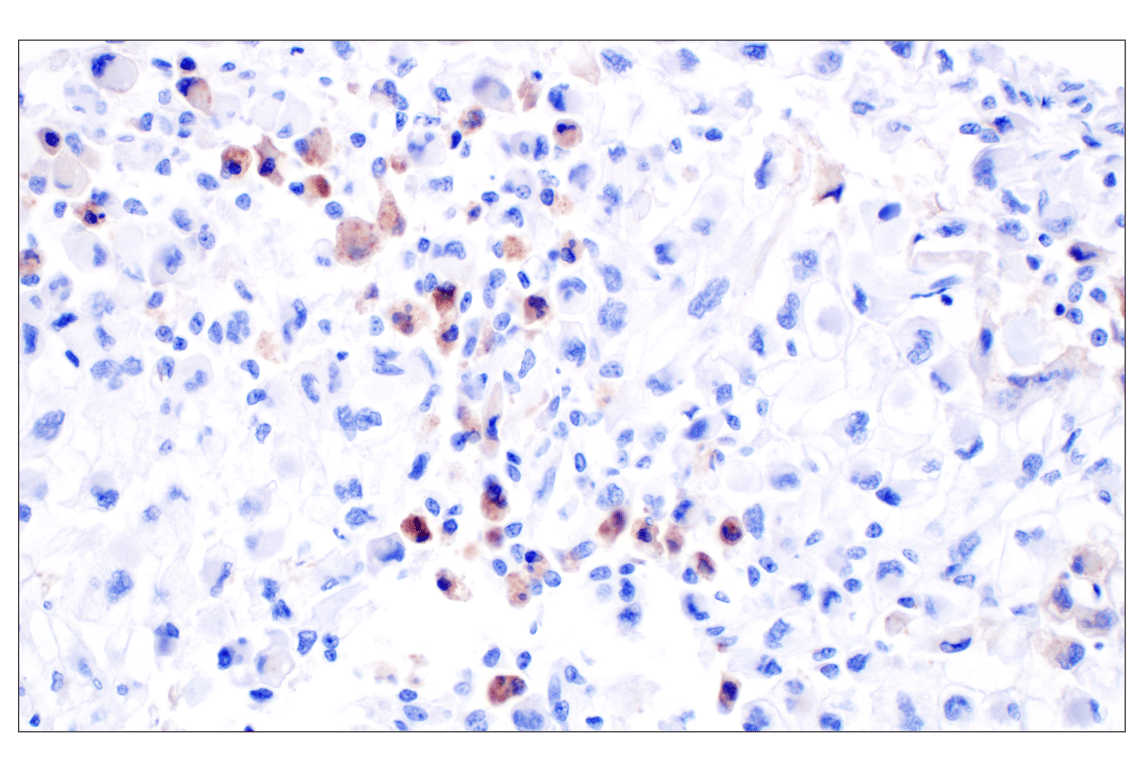
Immunohistochemical analysis of paraffin-embedded human prostate adenocarcinoma using CXCL10 (F9N8I) Rabbit mAb.
Immunohistochemistry Image 1: CXCL10 (F9N8I) Rabbit Monoclonal Antibody
Immunohistochemical analysis of paraffin-embedded human renal cell carcinoma using CXCL10 (F9N8I) Rabbit mAb.
Immunohistochemistry Image 2: CXCL10 (F9N8I) Rabbit Monoclonal Antibody
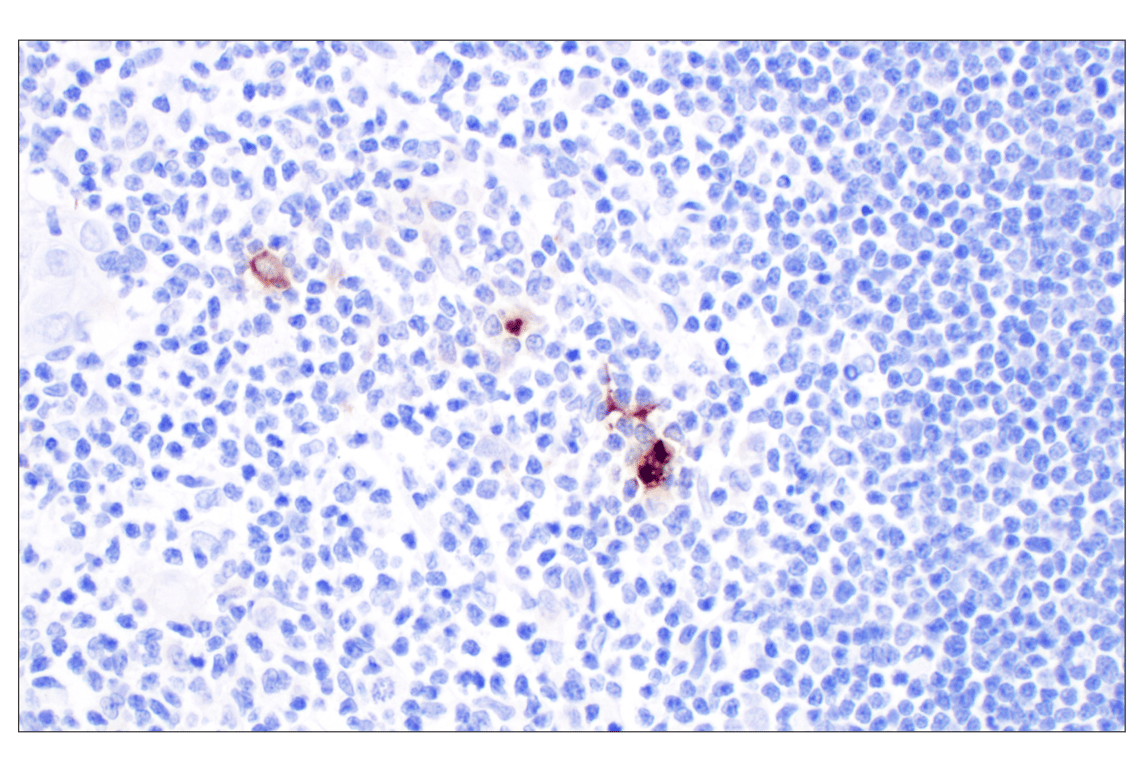
Immunohistochemical analysis of paraffin-embedded normal human thymus using CXCL10 (F9N8I) Rabbit mAb.
Immunohistochemistry Image 3: CXCL10 (F9N8I) Rabbit Monoclonal Antibody
Orders: 877-616-CELL (2355) [email protected] Support: 877-678-TECH (8324) [email protected] Web: cellsignal.com
For Research Use Only. Not for Use in Diagnostic Procedures.

Revision 3

Cell Signaling Technology Logo
Immunohistochemical analysis of paraffin-embedded normal human salivary gland using CXCL10 (F9N8I) Rabbit mAb.
Immunohistochemistry Image 4: CXCL10 (F9N8I) Rabbit Monoclonal Antibody
Immunohistochemical analysis of paraffin-embedded human tonsil using CXCL10 (F9N8I) Rabbit mAb (left) compared to concentration-matched Rabbit (DA1E) mAb IgG XP® Isotype Control #3900 (right).
Immunohistochemistry Image 5: CXCL10 (F9N8I) Rabbit Monoclonal Antibody
Immunohistochemical analysis of paraffin-embedded HT-29 cell pellet, untreated (left, negative) or treated with Human Interferon-γ (hIFN-γ) Recombinant Protein #80385 (100 ng/mL, 16 hr; right, positive), using CXCL10 (F9N8I) Rabbit mAb.
Immunohistochemistry Image 6: CXCL10 (F9N8I) Rabbit Monoclonal Antibody
Orders: 877-616-CELL (2355) [email protected] Support: 877-678-TECH (8324) [email protected] Web: cellsignal.com
For Research Use Only. Not for Use in Diagnostic Procedures.