Revision 1

#65173

Store at -20C

CST Logo
Orders:

877-616-CELL (2355)

[email protected]

Support:

877-678-TECH (8324)

3 Trask Lane | Danvers | Massachusetts | 01923 | USA

For Research Use Only. Not for Use in Diagnostic Procedures.

Applications:
W, IF-IC, FC-FP

Reactivity:
H R

Sensitivity:
Endogenous

MW (kDa):
55

Source/Isotype:
Rabbit IgG

UniProt ID:
#P14635

Entrez-Gene Id:
891

Product Usage Information

This product is the carrier free version of product #12231. All data were generated using the same antibody clone in the standard formulation which contains BSA and glycerol.

This formulation is ideal for use with technologies requiring specialized or custom antibody labeling, including fluorophores, metals, lanthanides, and oligonucleotides. It is not recommended for ChIP, ChIP-seq, CUT&RUN or CUT&Tag assays. If you require a carrier free formulation for chromatin profiling, please contact us. Optimal dilutions/concentrations should be determined by the end user.

BSA and Azide Free antibodies are quality control tested by size exclusion chromatography (SEC) to determine antibody integrity.

Formulation

Supplied in 1X PBS (10 mM Na2HPO4, 3 mM KCl, 2 mM KH2PO4, and 140 mM NaCl (pH 7.8)). BSA and Azide Free.

For standard formulation of this product see product #12231

Storage

Store at -20°C. This product will freeze at -20°C so it is recommended to aliquot into single-use vials to avoid multiple freeze/thaw cycles. A slight precipitate may be present and can be dissolved by gently vortexing. This will not interfere with antibody performance.

Specificity/Sensitivity

Cyclin B1 (D5C10) Rabbit Monoclonal Antibody (BSA and Azide Free) recognizes endogenous levels of total cyclin B1 protein. This antibody also detects a 100 kDa protein of unknown origin in some cell lines.

Source / Purification

Monoclonal antibody is produced by immunizing animals with a synthetic peptide corresponding to residues near the amino terminus of human cyclin B1 protein.

Background

Cyclins are a family of proteins that activate specific cyclin-dependent kinases required for progression through the cell cycle. The entry of all eukaryotic cells into mitosis is regulated by activation of cdc2/cdk1 at the G2/M transition. This activation is a multi-step process that begins with the binding of the regulatory subunit, cyclin B1, to cdc2/cdk1 to form the mitosis-promoting factor (MPF). MPF remains in the inactive state until phosphorylation of cdc2/cdk1 at Thr161 by cdk activating kinase (CAK) (1,2) and dephosphorylation of cdc2/cdk1 at Thr14/Tyr15 by cdc25C (3-5). Five cyclin B1 phosphorylation sites (Ser116, 126, 128, 133, and 147) are located in the cytoplasmic retention signal (CRS) domain and are thought to regulate the translocation of cyclin B1 to the nucleus at the G2/M checkpoint, promoting nuclear accumulation and initiation of mitosis (6-9). While MPF itself can phosphorylate Ser126 and Ser128, polo-like kinase 1 (PLK1) phosphorylates cyclin B1 preferentially at Ser133 and possibly at Ser147 (6,10). At the end of mitosis, cyclin B1 is targeted for degradation by the anaphase-promoting complex (APC), allowing for cell cycle progression (11). Research studies have shown that cyclin B1 is overexpressed in breast, prostate, and non-small cell lung cancers (12-14).

Species Reactivity

Species reactivity is determined by testing in at least one approved application (e.g., western blot).

Applications Key

W: Western Blotting IF-IC: Immunofluorescence (Immunocytochemistry) FC-FP: Flow Cytometry (Fixed/Permeabilized)

Cross-Reactivity Key

H: Human R: Rat

Trademarks and Patents

Cell Signaling Technology is a trademark of Cell Signaling Technology, Inc.

Alexa Fluor is a registered trademark of Life Technologies Corporation.

All other trademarks are the property of their respective owners. Visit cellsignal.com/trademarks for more information.

Limited Uses

Except as otherwise expressly agreed in a writing signed by a legally authorized representative of CST, the following terms apply to Products provided by CST, its affiliates or its distributors. Any Customer's terms and conditions that are in addition to, or different from, those contained herein, unless separately accepted in writing by a legally authorized representative of CST, are rejected and are of no force or effect.

Products are labeled with For Research Use Only or a similar labeling statement and have not been approved, cleared, or licensed by the FDA or other regulatory foreign or domestic entity, for any purpose. Customer shall not use any Product for any diagnostic or therapeutic purpose, or otherwise in any manner that conflicts with its labeling statement. Products sold or licensed by CST are provided for Customer as the end-user and solely for research and development uses. Any use of Product for diagnostic, prophylactic or therapeutic purposes, or any purchase of Product for resale (alone or as a component) or other commercial purpose, requires a separate license from CST. Customer shall (a) not sell, license, loan, donate or otherwise transfer or make available any Product to any third party, whether alone or in combination with other materials, or use the Products to manufacture any commercial products, (b) not copy, modify, reverse engineer, decompile, disassemble or otherwise attempt to discover the underlying structure or technology of the Products, or use the Products for the purpose of developing any products or services that would compete with CST products or services, (c) not alter or remove from the Products any trademarks, trade names, logos, patent or copyright notices or markings, (d) use the Products solely in accordance with CST Product Terms of Sale and any applicable documentation, and (e) comply with any license, terms of service or similar agreement with respect to any third party products or services used by Customer in connection with the Products.

Orders: 877-616-CELL (2355) [email protected] Support: 877-678-TECH (8324) [email protected] Web: cellsignal.com
For Research Use Only. Not for Use in Diagnostic Procedures.

Revision 1

Cell Signaling Technology Logo
Western blot analysis of extracts from various cell lines using Cyclin B1 (D5C10) XP® Rabbit mAb. Data were generated using the standard formulation of this product.
Western Blotting Image 1: Cyclin B1 (D5C10) Rabbit Monoclonal Antibody (BSA and Azide Free)
Western blot analysis of extracts from HT-29 cells, synchronized in S-phase by double thymidine block (2 nM, 16 hr) followed by release into fresh media for the indicated time, using Cyclin B1 (D5C10) XP® Rabbit mAb (upper) or β-Actin (D6A8) Rabbit mAb #8457 (lower). Data were generated using the standard formulation of this product.
Western Blotting Image 2: Cyclin B1 (D5C10) Rabbit Monoclonal Antibody (BSA and Azide Free)
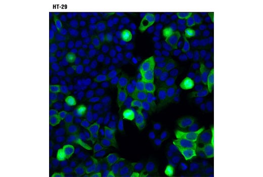
Confocal immunofluorescent analysis of HT-29 cells using Cyclin B1 (D5C10) XP® Rabbit mAb (green). Blue pseudocolor = DRAQ5® #4084 (fluorescent DNA dye). Data were generated using the standard formulation of this product.
Immunofluorescence Image 1: Cyclin B1 (D5C10) Rabbit Monoclonal Antibody (BSA and Azide Free)
Orders: 877-616-CELL (2355) [email protected] Support: 877-678-TECH (8324) [email protected] Web: cellsignal.com
For Research Use Only. Not for Use in Diagnostic Procedures.

Revision 1

Cell Signaling Technology Logo
Flow cytometric analysis of Jurkat cells using Cyclin B1 (D5C10) XP® Rabbit mAb (right) and Propidium Iodide (PI)/RNase Staining Solution #4087, compared to concentration-matched Rabbit (DA1E) mAb IgG XP® Isotype Control #3900 (left). Anti-rabbit IgG (H+L), F(ab')2 Fragment (Alexa Fluor® 488 Conjugate) #4412 was used as a secondary antibody. Data were generated using the standard formulation of this product.
Flow Cytometry Image 1: Cyclin B1 (D5C10) Rabbit Monoclonal Antibody (BSA and Azide Free)
Orders: 877-616-CELL (2355) [email protected] Support: 877-678-TECH (8324) [email protected] Web: cellsignal.com
For Research Use Only. Not for Use in Diagnostic Procedures.