Revision 9

#66467

Store at -20C

CST Logo
Orders:

877-616-CELL (2355)

[email protected]

Support:

877-678-TECH (8324)

3 Trask Lane | Danvers | Massachusetts | 01923 | USA

For Research Use Only. Not for Use in Diagnostic Procedures.

Applications:
W, IHC-Bond, IHC-P, IF-IC, FC-FP, ELISA+

Reactivity:
H M R Mk

Sensitivity:
Endogenous

MW (kDa):
36

Source/Isotype:
Rabbit IgG

UniProt ID:
#P24385

Entrez-Gene Id:
595

Product Usage Information

This product is the carrier free version of product #55506. All data were generated using the same antibody clone in the standard formulation which contains BSA and glycerol.

This formulation is ideal for use with technologies requiring specialized or custom antibody labeling, including fluorophores, metals, lanthanides, and oligonucleotides. It is not recommended for ChIP, ChIP-seq, CUT&RUN, or CUT&Tag assays. If you require a carrier-free formulation for chromatin profiling, please contact us. Optimal dilutions/concentrations should be determined by the end user.

BSA and Azide Free antibodies are quality control tested by size exclusion chromatography (SEC) to determine antibody integrity.

Formulation

Supplied in 1X PBS (10 mM Na2HPO4, 3 mM KCl, 2 mM KH2PO4, and 140 mM NaCl (pH 7.8)). BSA and Azide Free.

For standard formulation of this product see product #55506.

Storage

Store at -20°C. This product will freeze at -20°C so it is recommended to aliquot into single-use vials to avoid multiple freeze/thaw cycles. A slight precipitate may be present and can be dissolved by gently vortexing. This will not interfere with antibody performance.

Specificity/Sensitivity

Cyclin D1 (E3P5S) Rabbit Monoclonal Antibody (BSA and Azide Free) recognizes endogenous levels of total cyclin D1 protein.

Source / Purification

Monoclonal antibody is produced by immunizing animals with a synthetic peptide corresponding to residues surrounding Ala284 of human cyclin D1 protein.

Background

Activity of the cyclin-dependent kinases CDK4 and CDK6 is regulated by T-loop phosphorylation, by the abundance of their cyclin partners (the D-type cyclins), and by association with CDK inhibitors of the Cip/Kip or INK family of proteins (1). The inactive ternary complex of cyclin D/CDK4 and p27 Kip1 requires extracellular mitogenic stimuli for the release and degradation of p27 concomitant with a rise in cyclin D levels to affect progression through the restriction point and Rb-dependent entry into S-phase (2). The active complex of cyclin D/CDK4 targets the retinoblastoma protein for phosphorylation, allowing the release of E2F transcription factors that activate G1/S-phase gene expression (3). Levels of cyclin D protein drop upon withdrawal of growth factors through downregulation of protein expression and phosphorylation-dependent degradation (4).

Species Reactivity

Species reactivity is determined by testing in at least one approved application (e.g., western blot).

Applications Key

W: Western Blotting IHC-Bond: IHC Leica Bond IHC-P: Immunohistochemistry (Paraffin) IF-IC: Immunofluorescence (Immunocytochemistry) FC-FP: Flow Cytometry (Fixed/Permeabilized) ELISA+: ELISA and/or ELISA-like Assays

Cross-Reactivity Key

H: Human M: Mouse R: Rat Mk: Monkey

Trademarks and Patents

Cell Signaling Technology is a trademark of Cell Signaling Technology, Inc.

SignalStain is a registered trademark of Cell Signaling Technology, Inc.

All other trademarks are the property of their respective owners. Visit cellsignal.com/trademarks for more information.

Limited Uses

Except as otherwise expressly agreed in a writing signed by a legally authorized representative of CST, the following terms apply to Products provided by CST, its affiliates or its distributors. Any Customer's terms and conditions that are in addition to, or different from, those contained herein, unless separately accepted in writing by a legally authorized representative of CST, are rejected and are of no force or effect.

Products are labeled with For Research Use Only or a similar labeling statement and have not been approved, cleared, or licensed by the FDA or other regulatory foreign or domestic entity, for any purpose. Customer shall not use any Product for any diagnostic or therapeutic purpose, or otherwise in any manner that conflicts with its labeling statement. Products sold or licensed by CST are provided for Customer as the end-user and solely for research and development uses. Any use of Product for diagnostic, prophylactic or therapeutic purposes, or any purchase of Product for resale (alone or as a component) or other commercial purpose, requires a separate license from CST. Customer shall (a) not sell, license, loan, donate or otherwise transfer or make available any Product to any third party, whether alone or in combination with other materials, or use the Products to manufacture any commercial products, (b) not copy, modify, reverse engineer, decompile, disassemble or otherwise attempt to discover the underlying structure or technology of the Products, or use the Products for the purpose of developing any products or services that would compete with CST products or services, (c) not alter or remove from the Products any trademarks, trade names, logos, patent or copyright notices or markings, (d) use the Products solely in accordance with CST Product Terms of Sale and any applicable documentation, and (e) comply with any license, terms of service or similar agreement with respect to any third party products or services used by Customer in connection with the Products.

Orders: 877-616-CELL (2355) [email protected] Support: 877-678-TECH (8324) [email protected] Web: cellsignal.com
For Research Use Only. Not for Use in Diagnostic Procedures.

Revision 9

Cell Signaling Technology Logo
Western blot analysis of extracts from various cell lines using Cyclin D1 (E3P5S) XP® Rabbit mAb (upper) or β-Actin (D6A8) Rabbit mAb #8457 (lower). Data were generated using the standard formulation of this product.
Western Blotting Image 1: Cyclin D1 (E3P5S) Rabbit Monoclonal Antibody (BSA and Azide Free)
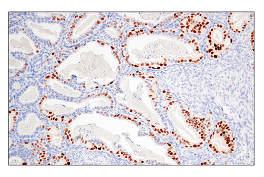
Immunohistochemical analysis of paraffin-embedded human endometrioid adenocarcinoma using Cyclin D1 (E3P5S) XP® Rabbit mAb performed on the Leica® BOND™ Rx. Data were generated using the standard formulation of this product.
Immunohistochemistry Image 1: Cyclin D1 (E3P5S) Rabbit Monoclonal Antibody (BSA and Azide Free)
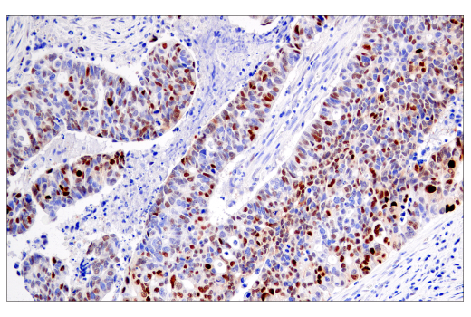
Immunohistochemical analysis of paraffin-embedded human lung adenocarcinoma using Cyclin D1 (E3P5S) XP® Rabbit mAb. Data were generated using the standard formulation of this product.
Immunohistochemistry Image 1: Cyclin D1 (E3P5S) Rabbit Monoclonal Antibody (BSA and Azide Free)
Orders: 877-616-CELL (2355) [email protected] Support: 877-678-TECH (8324) [email protected] Web: cellsignal.com
For Research Use Only. Not for Use in Diagnostic Procedures.

Revision 9

Cell Signaling Technology Logo
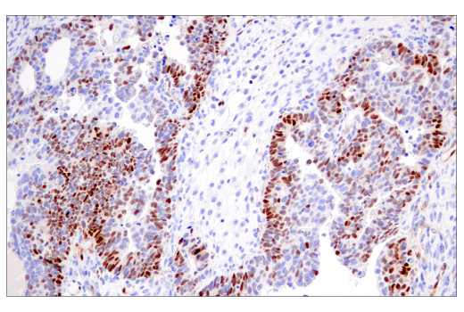
Immunohistochemical analysis of paraffin-embedded human urothelial carcinoma using Cyclin D1 (E3P5S) XP® Rabbit mAb. Data were generated using the standard formulation of this product.
Immunohistochemistry Image 2: Cyclin D1 (E3P5S) Rabbit Monoclonal Antibody (BSA and Azide Free)
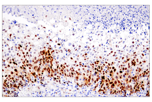
Immunohistochemical analysis of paraffin-embedded human ovarian carcinosarcoma using Cyclin D1 (E3P5S) XP® Rabbit mAb. Data were generated using the standard formulation of this product.
Immunohistochemistry Image 3: Cyclin D1 (E3P5S) Rabbit Monoclonal Antibody (BSA and Azide Free)
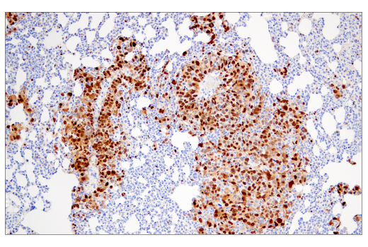
Immunohistochemical analysis of paraffin-embedded 4T1 metastatic tumor in mouse lung using Cyclin D1 (E3P5S) XP® Rabbit mAb. Data were generated using the standard formulation of this product.
Immunohistochemistry Image 4: Cyclin D1 (E3P5S) Rabbit Monoclonal Antibody (BSA and Azide Free)
Orders: 877-616-CELL (2355) [email protected] Support: 877-678-TECH (8324) [email protected] Web: cellsignal.com
For Research Use Only. Not for Use in Diagnostic Procedures.

Revision 9

Cell Signaling Technology Logo
Immunohistochemical analysis of paraffin-embedded human ductal breast carcinoma using Cyclin D1 (E3P5S) XP® Rabbit mAb (left) or Cyclin D1 (92G2) Rabbit mAb #2978 (right). These two antibodies detect independent, unique epitopes on human cyclin D1. The similar staining patterns obtained with both antibodies help to confirm the specificity of the staining. Data were generated using the standard formulation of this product.
Immunohistochemistry Image 5: Cyclin D1 (E3P5S) Rabbit Monoclonal Antibody (BSA and Azide Free)
Immunohistochemical analysis of paraffin-embedded mouse pancreas using Cyclin D1 (E3P5S) XP® Rabbit mAb (left) compared to concentration-matched Rabbit (DA1E) mAb IgG XP® Isotype Control #3900 (right). Data were generated using the standard formulation of this product.
Immunohistochemistry Image 6: Cyclin D1 (E3P5S) Rabbit Monoclonal Antibody (BSA and Azide Free)
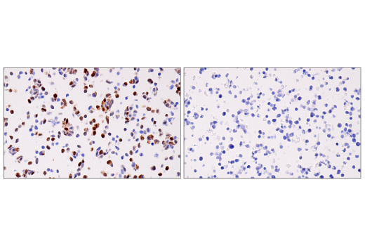
Immunohistochemical analysis of paraffin-embedded SH-SY5Y cell pellet (left, positive) or THP-1 cell pellet (right, negative) using Cyclin D1 (E3P5S) XP® Rabbit mAb. Data were generated using the standard formulation of this product.
Immunohistochemistry Image 7: Cyclin D1 (E3P5S) Rabbit Monoclonal Antibody (BSA and Azide Free)
Orders: 877-616-CELL (2355) [email protected] Support: 877-678-TECH (8324) [email protected] Web: cellsignal.com
For Research Use Only. Not for Use in Diagnostic Procedures.

Revision 9

Cell Signaling Technology Logo
Confocal immunofluorescent analysis of SH-SY5Y cells (left, positive) and 293T cells (right, negative) using Cyclin D1 (E3P5S) XP® Rabbit mAb (green) and DyLight™ 554 Phalloidin #13054 (red). Data were generated using the standard formulation of this product.
Immunofluorescence Image 1: Cyclin D1 (E3P5S) Rabbit Monoclonal Antibody (BSA and Azide Free)
Flow cytometric analysis of K-562 cells (blue) and SH-SY5Y cells (green) using Cyclin D1 (E3P5S) XP® Rabbit mAb (solid lines) or a concentration-matched Rabbit (DA1E) mAb IgG XP® Isotype Control #3900 (dashed lines). Anti-rabbit IgG (H+L), F(ab')2 Fragment (Alexa Fluor® 488 Conjugate) #4412 was used as a secondary antibody. Data were generated using the standard formulation of this product.
Flow Cytometry Image 1: Cyclin D1 (E3P5S) Rabbit Monoclonal Antibody (BSA and Azide Free)
Data using Total Cyclin D1 Matched Antibody Pair #33874 are shown. The two antibodies function as a capture-target-detection sandwich (#66467 and #64991, respectively) to detect endogenous protein expression in various cell lines, as shown in the figure.
ELISA and/or ELISA-like Assays Image 1: Cyclin D1 (E3P5S) Rabbit Monoclonal Antibody (BSA and Azide Free)
Orders: 877-616-CELL (2355) [email protected] Support: 877-678-TECH (8324) [email protected] Web: cellsignal.com
For Research Use Only. Not for Use in Diagnostic Procedures.