Revision 1

#14217

Store at -20C

CST Logo
Orders:

877-616-CELL (2355)

[email protected]

Support:

877-678-TECH (8324)

3 Trask Lane | Danvers | Massachusetts | 01923 | USA

For Research Use Only. Not for Use in Diagnostic Procedures.

Applications:
W, IP, IF-IC

Reactivity:
H M R

Sensitivity:
Endogenous

MW (kDa):
50

Source/Isotype:
Rabbit IgG

UniProt ID:
#P05108

Entrez-Gene Id:
1583

Product Usage Information

Application Dilution
Western Blotting 1:1000
Immunoprecipitation 1:50
Immunofluorescence (Immunocytochemistry) 1:400 - 1:800

Storage

Supplied in 10 mM sodium HEPES (pH 7.5), 150 mM NaCl, 100 µg/ml BSA, 50% glycerol and less than 0.02% sodium azide. Store at –20°C. Do not aliquot the antibody.

Specificity/Sensitivity

CYP11A1 (D8F4F) Rabbit Monoclonal Antibody recognizes endogenous levels of total CYP11A1 protein.

Source / Purification

Monoclonal antibody is produced by immunizing animals with a synthetic peptide corresponding to residues near the amino terminus of human CYP11A1 protein.

Background

In steroidogenic tissues, such as the adrenal cortex, testis, ovary, and placenta, all steroids are synthesized from the common precursor cholesterol. Two families of steroidogenic enzymes, cytochrome P450 hydroxylase enzymes (CYP) and hydroxysteroid dehydrogenases (HSD), catalyze the production of most steroids. There are six distinct steroid hydroxylases, which are cytochrome P450 enzymes encoded by the steroidogenic CYP gene family (1). The cytochrome P450scc (cholesterol side-chain cleavage enzyme) encoded by CYP11A1 catalyzes the first and rate-limiting step in steroidogenesis, conversion of cholesterol into pregnenolone (2).

CYP11A1, located in the inner membrane of mitochondria, cooperates with two coenzymes, ferredoxin and ferredoxin reductase, to carry out three successive oxidation-reduction reactions of cholesterol (3-5). In the adrenal cortex, testis, and ovary, CYP11A1 expression is regulated by the cAMP-PKA pathway (6), and the transcription factor SF1/NR5A1 has been shown to play a central role in mediating the cAMP signal on the CYP11A1 promoter within steroidogeneic cells of the adrenal cortex and gonads (7). Defects in CYP11A1 are the cause of adrenal insufficiency congenital with 46, XY sex reversal (AICSR), which is a rare disorder that can present as acute adrenal insufficiency in infancy or childhood (8,9).

Species Reactivity

Species reactivity is determined by testing in at least one approved application (e.g., western blot).

Western Blot Buffer

IMPORTANT: For western blots, incubate membrane with diluted primary antibody in 5% w/v BSA, 1X TBS, 0.1% Tween® 20 at 4°C with gentle shaking, overnight.

Applications Key

W: Western Blotting IP: Immunoprecipitation IF-IC: Immunofluorescence (Immunocytochemistry)

Cross-Reactivity Key

H: Human M: Mouse R: Rat

Trademarks and Patents

Cell Signaling Technology is a trademark of Cell Signaling Technology, Inc.

All other trademarks are the property of their respective owners. Visit cellsignal.com/trademarks for more information.

Limited Uses

Except as otherwise expressly agreed in a writing signed by a legally authorized representative of CST, the following terms apply to Products provided by CST, its affiliates or its distributors. Any Customer's terms and conditions that are in addition to, or different from, those contained herein, unless separately accepted in writing by a legally authorized representative of CST, are rejected and are of no force or effect.

Products are labeled with For Research Use Only or a similar labeling statement and have not been approved, cleared, or licensed by the FDA or other regulatory foreign or domestic entity, for any purpose. Customer shall not use any Product for any diagnostic or therapeutic purpose, or otherwise in any manner that conflicts with its labeling statement. Products sold or licensed by CST are provided for Customer as the end-user and solely for research and development uses. Any use of Product for diagnostic, prophylactic or therapeutic purposes, or any purchase of Product for resale (alone or as a component) or other commercial purpose, requires a separate license from CST. Customer shall (a) not sell, license, loan, donate or otherwise transfer or make available any Product to any third party, whether alone or in combination with other materials, or use the Products to manufacture any commercial products, (b) not copy, modify, reverse engineer, decompile, disassemble or otherwise attempt to discover the underlying structure or technology of the Products, or use the Products for the purpose of developing any products or services that would compete with CST products or services, (c) not alter or remove from the Products any trademarks, trade names, logos, patent or copyright notices or markings, (d) use the Products solely in accordance with CST Product Terms of Sale and any applicable documentation, and (e) comply with any license, terms of service or similar agreement with respect to any third party products or services used by Customer in connection with the Products.

Orders: 877-616-CELL (2355) [email protected] Support: 877-678-TECH (8324) [email protected] Web: cellsignal.com
For Research Use Only. Not for Use in Diagnostic Procedures.

Revision 1

Cell Signaling Technology Logo
Western blot anlaysis of extracts from NCI-H295R cells, MLTC-1 cells, and various tissues using CYP11A1 (D8F4F) Rabbit mAb.
Western Blotting Image 1: CYP11A1 (D8F4F) Rabbit Monoclonal Antibody
Western blot analysis of extracts from 293T cells, mock transfected (-) or transfected with a construct expressing Myc/DDK-tagged full-length human CYP11A1 protein (hCYP11A1-Myc/DDK; +), using CYP11A1 (D8F4F) Rabbit mAb.
Western Blotting Image 2: CYP11A1 (D8F4F) Rabbit Monoclonal Antibody
Western blot analysis of extracts from NCI-H295R (positive) and SW-13 (negative) cells using CYP11A1 (D8F4F) Rabbit mAb (upper) and GAPDH (D16H11) XP® Rabbit mAb #5174 (lower).
Western Blotting Image 3: CYP11A1 (D8F4F) Rabbit Monoclonal Antibody
Orders: 877-616-CELL (2355) [email protected] Support: 877-678-TECH (8324) [email protected] Web: cellsignal.com
For Research Use Only. Not for Use in Diagnostic Procedures.

Revision 1

Cell Signaling Technology Logo
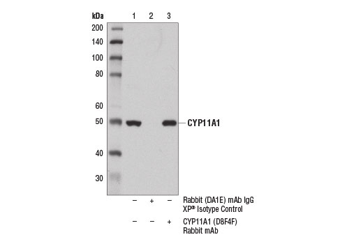
Immunoprecipitation of CYP11A1 from NCI-H295R cell extracts, using Rabbit (DA1E) mAb IgG XP® Isotype Control #3900 (lane 2) or CYP11A1 (D8F4F) Rabbit mAb. Lane 1 is 10% input. Western blot analysis was performed using CYP11A1 (D8F4F) Rabbit mAb.
Immunoprecipitation Image 1: CYP11A1 (D8F4F) Rabbit Monoclonal Antibody
Confocal immunofluorescent analysis of NCI-H295R (left, positive) and SW-13 (right, negative) cells, using CYP11A1 (D8F4F) Rabbit mAb (green). Actin filaments were labeled with DyLight® 554 Phalloidin #13054 (red). Blue pseudocolor = DRAQ5® #4084 (fluorescent DNA dye).
Immunofluorescence Image 1: CYP11A1 (D8F4F) Rabbit Monoclonal Antibody
Orders: 877-616-CELL (2355) [email protected] Support: 877-678-TECH (8324) [email protected] Web: cellsignal.com
For Research Use Only. Not for Use in Diagnostic Procedures.