Revision 1

#67686

Store at -20C

CST Logo
Orders:

877-616-CELL (2355)

[email protected]

Support:

877-678-TECH (8324)

3 Trask Lane | Danvers | Massachusetts | 01923 | USA

For Research Use Only. Not for Use in Diagnostic Procedures.

Applications:
W

Reactivity:
H

Sensitivity:
Endogenous

MW (kDa):
78

Source/Isotype:
Rabbit

UniProt ID:
#P08174

Entrez-Gene Id:
1604

Product Usage Information

Application Dilution
Western Blotting 1:1000

Storage

Supplied in 10 mM sodium HEPES (pH 7.5), 150 mM NaCl, 100 µg/ml BSA and 50% glycerol. Store at –20°C. Do not aliquot the antibody.

Specificity/Sensitivity

DAF/CD55 Antibody recognizes endogenous levels of total CD55/DAF protein.

Source / Purification

Polyclonal antibodies are produced by immunizing animals with a synthetic peptide corresponding to residues near the amino terminus of human DAF/CD55 protein. Antibodies are purified by protein A and peptide affinity chromatography.

Background

Decay-accelerating factor (DAF/CD55) is a GPI-linked plasma membrane glycoprotein normally expressed on the surface of vascular endothelial and hematopoietic cells, which are continuously exposed to autologous complement components. In conjunction with other membrane complement regulatory proteins (CD35, CD46, and CD59), DAF/CD55 protects healthy cells from inappropriate complement-mediated lysis (1). DAF/CD55 inhibits activation of the complement cascade by promoting membrane dissociation and inactivation of C3 convertase, which inhibits amplification of the classical and alternative complement cascades (2). Research studies have demonstrated that DAF/CD55 is overexpressed in a variety of solid and liquid tumors, which functions to protect tumor cells from complement-mediated attack (3,4). Given its ability to disable the complement cascade and facilitate immune evasion by tumor cells, DAF/CD55 has received attention as a potential therapeutic target for the treatment of human malignancies. CD55 deficiency is also linked to human disease. The inability to express CD55 on the surface of erythrocytes renders them highly susceptible to complement-mediated lysis, which contributes to the development of paroxymal noctural hemoglobinuria (PNH). PNH is characterized by hemolytic anaemia, pancytopenia, and venous thrombosis (5).

Species Reactivity

Species reactivity is determined by testing in at least one approved application (e.g., western blot).

Western Blot Buffer

IMPORTANT: For western blots, incubate membrane with diluted primary antibody in 5% w/v nonfat dry milk, 1X TBS, 0.1% Tween® 20 at 4°C with gentle shaking, overnight.

Applications Key

W: Western Blotting

Cross-Reactivity Key

H: Human

Trademarks and Patents

Cell Signaling Technology is a trademark of Cell Signaling Technology, Inc.

All other trademarks are the property of their respective owners. Visit cellsignal.com/trademarks for more information.

Limited Uses

Except as otherwise expressly agreed in a writing signed by a legally authorized representative of CST, the following terms apply to Products provided by CST, its affiliates or its distributors. Any Customer's terms and conditions that are in addition to, or different from, those contained herein, unless separately accepted in writing by a legally authorized representative of CST, are rejected and are of no force or effect.

Products are labeled with For Research Use Only or a similar labeling statement and have not been approved, cleared, or licensed by the FDA or other regulatory foreign or domestic entity, for any purpose. Customer shall not use any Product for any diagnostic or therapeutic purpose, or otherwise in any manner that conflicts with its labeling statement. Products sold or licensed by CST are provided for Customer as the end-user and solely for research and development uses. Any use of Product for diagnostic, prophylactic or therapeutic purposes, or any purchase of Product for resale (alone or as a component) or other commercial purpose, requires a separate license from CST. Customer shall (a) not sell, license, loan, donate or otherwise transfer or make available any Product to any third party, whether alone or in combination with other materials, or use the Products to manufacture any commercial products, (b) not copy, modify, reverse engineer, decompile, disassemble or otherwise attempt to discover the underlying structure or technology of the Products, or use the Products for the purpose of developing any products or services that would compete with CST products or services, (c) not alter or remove from the Products any trademarks, trade names, logos, patent or copyright notices or markings, (d) use the Products solely in accordance with CST Product Terms of Sale and any applicable documentation, and (e) comply with any license, terms of service or similar agreement with respect to any third party products or services used by Customer in connection with the Products.

Orders: 877-616-CELL (2355) [email protected] Support: 877-678-TECH (8324) [email protected] Web: cellsignal.com
For Research Use Only. Not for Use in Diagnostic Procedures.

Revision 1

Cell Signaling Technology Logo
Western blot analysis of extracts from various cell lines using DAF/CD55 Antibody (upper) and β-Actin (D6A8) Rabbit mAb #8457 (lower). As expected, DAF/CD55 expression is not detected in either LNCaP or IMR-32 cells.
Western Blotting Image 1: DAF/CD55 Antibody
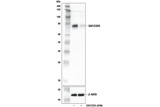
Western blot analysis of extracts from HeLa cells, mock transfected (-) or transfected with siRNA targeting human DAF/CD55 (+), using DAF/CD55 Antibody (upper) and β-Actin (D6A8) Rabbit mAb #8457 (lower).
Western Blotting Image 2: DAF/CD55 Antibody
Orders: 877-616-CELL (2355) [email protected] Support: 877-678-TECH (8324) [email protected] Web: cellsignal.com
For Research Use Only. Not for Use in Diagnostic Procedures.