Revision 4

#46088

Store at -20C

CST Logo
Orders:

877-616-CELL (2355)

[email protected]

Support:

877-678-TECH (8324)

3 Trask Lane | Danvers | Massachusetts | 01923 | USA

For Research Use Only. Not for Use in Diagnostic Procedures.

Applications:
IHC-P

Reactivity:
H

Sensitivity:
Endogenous

Source/Isotype:
Rabbit IgG

UniProt ID:
#O43914

Entrez-Gene Id:
7305

Product Usage Information

Application Dilution
Immunohistochemistry (Paraffin) 1:200 - 1:800

Storage

Supplied in 10 mM sodium HEPES (pH 7.5), 150 mM NaCl, 100 µg/ml BSA, 50% glycerol and less than 0.02% sodium azide. Store at –20°C. Do not aliquot the antibody.

For a carrier free (BSA and azide free) version of this product see product #93638.

Specificity/Sensitivity

DAP12 (E8P9U) Rabbit Monoclonal Antibody recognizes endogenous levels of total DAP12 protein. Non-specific staining was observed in testis by immunohistochemistry.

Source / Purification

Monoclonal antibody is produced by immunizing animals with a synthetic peptide corresponding to residues surrounding Pro110 of human DAP12 protein.

Background

DNAX-activating protein 12 (DAP12, TYROBP) is a signaling adaptor for several pathogen receptors expressed by cells of the innate immune system (1). The DAP12 protein structure consists of a short extracellular domain, a transmembrane domain, and a cytoplasmic immunoreceptor tyrosine-based activation motif (ITAM) (2). DAP12 protein is expressed by hematopoietic cells, including NK cells, monocytes, macrophages, dendritic cells, mast cells, basophils, eosinophils, neutrophils, and some γδ T cells and NKT cells (1). DAP12 exists as a homodimer that associates with a variety of receptors involved in pathogen detection, including the KIR family of NK cell receptors (2,3). Ligand binding by DAP12-associated receptors results in phosphorylation of tyrosine residues within the DAP12 ITAM by Src family kinases and leads to activation of Syk or Zap-70 and downstream signaling responses (2).

Species Reactivity

Species reactivity is determined by testing in at least one approved application (e.g., western blot).

Applications Key

IHC-P: Immunohistochemistry (Paraffin)

Cross-Reactivity Key

H: Human

Trademarks and Patents

Cell Signaling Technology is a trademark of Cell Signaling Technology, Inc.

SignalStain is a registered trademark of Cell Signaling Technology, Inc.

All other trademarks are the property of their respective owners. Visit cellsignal.com/trademarks for more information.

Limited Uses

Except as otherwise expressly agreed in a writing signed by a legally authorized representative of CST, the following terms apply to Products provided by CST, its affiliates or its distributors. Any Customer's terms and conditions that are in addition to, or different from, those contained herein, unless separately accepted in writing by a legally authorized representative of CST, are rejected and are of no force or effect.

Products are labeled with For Research Use Only or a similar labeling statement and have not been approved, cleared, or licensed by the FDA or other regulatory foreign or domestic entity, for any purpose. Customer shall not use any Product for any diagnostic or therapeutic purpose, or otherwise in any manner that conflicts with its labeling statement. Products sold or licensed by CST are provided for Customer as the end-user and solely for research and development uses. Any use of Product for diagnostic, prophylactic or therapeutic purposes, or any purchase of Product for resale (alone or as a component) or other commercial purpose, requires a separate license from CST. Customer shall (a) not sell, license, loan, donate or otherwise transfer or make available any Product to any third party, whether alone or in combination with other materials, or use the Products to manufacture any commercial products, (b) not copy, modify, reverse engineer, decompile, disassemble or otherwise attempt to discover the underlying structure or technology of the Products, or use the Products for the purpose of developing any products or services that would compete with CST products or services, (c) not alter or remove from the Products any trademarks, trade names, logos, patent or copyright notices or markings, (d) use the Products solely in accordance with CST Product Terms of Sale and any applicable documentation, and (e) comply with any license, terms of service or similar agreement with respect to any third party products or services used by Customer in connection with the Products.

Orders: 877-616-CELL (2355) [email protected] Support: 877-678-TECH (8324) [email protected] Web: cellsignal.com
For Research Use Only. Not for Use in Diagnostic Procedures.

Revision 4

Cell Signaling Technology Logo
Immunohistochemical analysis of paraffin-embedded human soft tissue squamous cell carcinoma using DAP12 (E8P9U) Rabbit mAb.
Immunohistochemistry Image 1: DAP12 (E8P9U) Rabbit Monoclonal Antibody
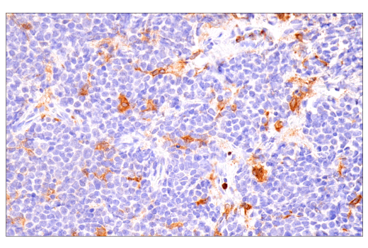
Immunohistochemical analysis of paraffin-embedded human B-cell non-Hodgkin lymphoma using DAP12 (E8P9U) Rabbit mAb.
Immunohistochemistry Image 2: DAP12 (E8P9U) Rabbit Monoclonal Antibody
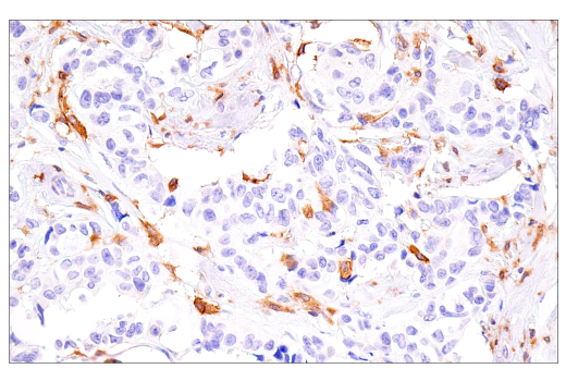
Immunohistochemical analysis of paraffin-embedded human breast carcinoma using DAP12 (E8P9U) Rabbit mAb.
Immunohistochemistry Image 3: DAP12 (E8P9U) Rabbit Monoclonal Antibody
Orders: 877-616-CELL (2355) [email protected] Support: 877-678-TECH (8324) [email protected] Web: cellsignal.com
For Research Use Only. Not for Use in Diagnostic Procedures.

Revision 4

Cell Signaling Technology Logo
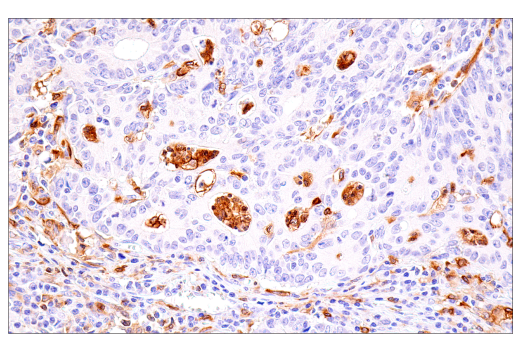
Immunohistochemical analysis of paraffin-embedded human colon carcinoma using DAP12 (E8P9U) Rabbit mAb.
Immunohistochemistry Image 4: DAP12 (E8P9U) Rabbit Monoclonal Antibody
Immunohistochemical analysis of paraffin-embedded human urothelial carcinoma using DAP12 (E8P9U) Rabbit mAb.
Immunohistochemistry Image 5: DAP12 (E8P9U) Rabbit Monoclonal Antibody
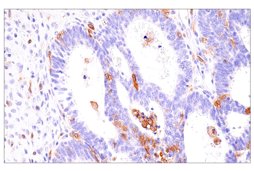
Immunohistochemical analysis of paraffin-embedded human endometrioid adenocarcinoma using DAP12 (E8P9U) Rabbit mAb.
Immunohistochemistry Image 6: DAP12 (E8P9U) Rabbit Monoclonal Antibody
Orders: 877-616-CELL (2355) [email protected] Support: 877-678-TECH (8324) [email protected] Web: cellsignal.com
For Research Use Only. Not for Use in Diagnostic Procedures.

Revision 4

Cell Signaling Technology Logo
Immunohistochemical analysis of paraffin-embedded normal human spleen using DAP12 (E8P9U) Rabbit mAb.
Immunohistochemistry Image 7: DAP12 (E8P9U) Rabbit Monoclonal Antibody
Immunohistochemical analysis of paraffin-embedded normal human lung using DAP12 (E8P9U) Rabbit mAb.
Immunohistochemistry Image 8: DAP12 (E8P9U) Rabbit Monoclonal Antibody
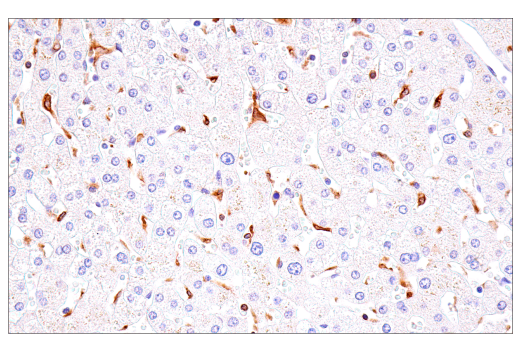
Immunohistochemical analysis of paraffin-embedded normal human liver using DAP12 (E8P9U) Rabbit mAb.
Immunohistochemistry Image 9: DAP12 (E8P9U) Rabbit Monoclonal Antibody
Orders: 877-616-CELL (2355) [email protected] Support: 877-678-TECH (8324) [email protected] Web: cellsignal.com
For Research Use Only. Not for Use in Diagnostic Procedures.

Revision 4

Cell Signaling Technology Logo
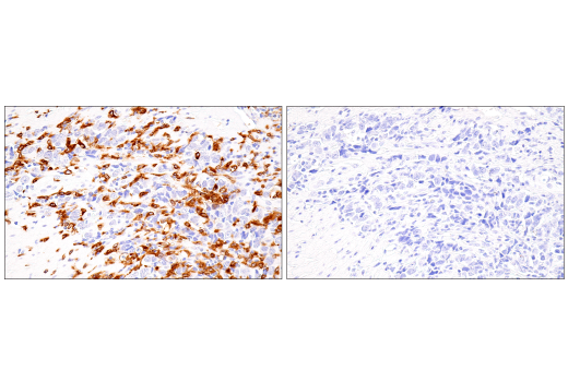
Immunohistochemical analysis of paraffin-embedded human colon carcinoma using DAP12 (E8P9U) Rabbit mAb (left) compared to concentration-matched Rabbit (DA1E) mAb IgG XP® Isotype Control #3900 (right).
Immunohistochemistry Image 10: DAP12 (E8P9U) Rabbit Monoclonal Antibody
Immunohistochemical analysis of paraffin-embedded THP-1 cell pellet (left, positive) or SNB-19 cell pellet (right, negative) using DAP12 (E8P9U) Rabbit mAb.
Immunohistochemistry Image 11: DAP12 (E8P9U) Rabbit Monoclonal Antibody
Orders: 877-616-CELL (2355) [email protected] Support: 877-678-TECH (8324) [email protected] Web: cellsignal.com
For Research Use Only. Not for Use in Diagnostic Procedures.