Revision 4

#85544

Store at -20C

CST Logo
Orders:

877-616-CELL (2355)

[email protected]

Support:

877-678-TECH (8324)

3 Trask Lane | Danvers | Massachusetts | 01923 | USA

For Research Use Only. Not for Use in Diagnostic Procedures.

Applications:
W, W-S, IP, IHC-P

Reactivity:
M

Sensitivity:
Endogenous

MW (kDa):
10, 12

Source/Isotype:
Rabbit IgG

UniProt ID:
#O54885

Entrez-Gene Id:
22177

Product Usage Information

Application Dilution
Western Blotting 1:1000
Immunoprecipitation 1:50
Immunohistochemistry (Paraffin) 1:200 - 1:800

Storage

Supplied in 10 mM sodium HEPES (pH 7.5), 150 mM NaCl, 100 µg/mL BSA, 50% glycerol, and less than 0.02% sodium azide. Store at –20°C. Do not aliquot the antibody.

Specificity/Sensitivity

DAP12 (F1Q2P) Rabbit Monoclonal Antibody recognizes endogenous levels of total DAP12 protein.

Species predicted to react based on 100% sequence homology

Rat

Source / Purification

Monoclonal antibody is produced by immunizing animals with a synthetic peptide corresponding to residues near the carboxy terminus of mouse DAP12 protein.

Background

DNAX-activating protein 12 (DAP12, TYROBP) is a signaling adaptor for several pathogen receptors expressed by cells of the innate immune system (1). The DAP12 protein structure consists of a short extracellular domain, a transmembrane domain, and a cytoplasmic immunoreceptor tyrosine-based activation motif (ITAM) (2). DAP12 protein is expressed by hematopoietic cells, including NK cells, monocytes, macrophages, dendritic cells, mast cells, basophils, eosinophils, neutrophils, and some γδ T cells and NKT cells (1). DAP12 exists as a homodimer that associates with a variety of receptors involved in pathogen detection, including the KIR family of NK cell receptors (2,3). Ligand binding by DAP12-associated receptors results in phosphorylation of tyrosine residues within the DAP12 ITAM by Src family kinases and leads to activation of Syk or Zap-70 and downstream signaling responses (2).

Species Reactivity

Species reactivity is determined by testing in at least one approved application (e.g., western blot).

Western Blot Buffer

IMPORTANT: For western blots, incubate membrane with diluted primary antibody in 5% w/v BSA, 1X TBS, 0.1% Tween® 20 at 4°C with gentle shaking, overnight.

Applications Key

W: Western Blotting W-S: Simple Western™ IP: Immunoprecipitation IHC-P: Immunohistochemistry (Paraffin)

Cross-Reactivity Key

M: Mouse

Trademarks and Patents

Cell Signaling Technology is a trademark of Cell Signaling Technology, Inc.

All other trademarks are the property of their respective owners. Visit cellsignal.com/trademarks for more information.

Limited Uses

Except as otherwise expressly agreed in a writing signed by a legally authorized representative of CST, the following terms apply to Products provided by CST, its affiliates or its distributors. Any Customer's terms and conditions that are in addition to, or different from, those contained herein, unless separately accepted in writing by a legally authorized representative of CST, are rejected and are of no force or effect.

Products are labeled with For Research Use Only or a similar labeling statement and have not been approved, cleared, or licensed by the FDA or other regulatory foreign or domestic entity, for any purpose. Customer shall not use any Product for any diagnostic or therapeutic purpose, or otherwise in any manner that conflicts with its labeling statement. Products sold or licensed by CST are provided for Customer as the end-user and solely for research and development uses. Any use of Product for diagnostic, prophylactic or therapeutic purposes, or any purchase of Product for resale (alone or as a component) or other commercial purpose, requires a separate license from CST. Customer shall (a) not sell, license, loan, donate or otherwise transfer or make available any Product to any third party, whether alone or in combination with other materials, or use the Products to manufacture any commercial products, (b) not copy, modify, reverse engineer, decompile, disassemble or otherwise attempt to discover the underlying structure or technology of the Products, or use the Products for the purpose of developing any products or services that would compete with CST products or services, (c) not alter or remove from the Products any trademarks, trade names, logos, patent or copyright notices or markings, (d) use the Products solely in accordance with CST Product Terms of Sale and any applicable documentation, and (e) comply with any license, terms of service or similar agreement with respect to any third party products or services used by Customer in connection with the Products.

Orders: 877-616-CELL (2355) [email protected] Support: 877-678-TECH (8324) [email protected] Web: cellsignal.com
For Research Use Only. Not for Use in Diagnostic Procedures.

Revision 4

Cell Signaling Technology Logo
Western blot analysis of extracts from various cell lines and mouse peritoneal macrophages using DAP12 (F1Q2P) Rabbit mAb (upper) or β-Actin (D6A8) Rabbit mAb #8457 (lower). Negative expression of DAP12 protein in C2C12 cells is consistent with the predicted expression pattern.
Western Blotting Image 1: DAP12 (F1Q2P) Rabbit Monoclonal Antibody
Western blot analysis of extracts from 293T cells, mock transfected (-) or transfected with a construct expressing Myc-tagged full-length human DAP12 (hDAP12-Myc; +), using DAP12 (F1Q2P) Rabbit mAb (upper), Myc-Tag (71D10) Rabbit mAb #2278 (middle), or β-Actin (D6A8) Rabbit mAb #8457 (lower).
Western Blotting Image 2: DAP12 (F1Q2P) Rabbit Monoclonal Antibody
Simple WesternTM analysis of lysates (1 mg/mL) from SIM-A9 cells using DAP12 (F1Q2P) Rabbit mAb #85544.  The virtual lane view (left) shows the target band (as indicated) at 1:10 and 1:50 dilutions of primary antibody.  The corresponding electropherogram view (right) plots chemiluminescence by molecular weight along the capillary at 1:10 (blue line) and 1:50 (green line) dilutions of primary antibody.  This experiment was performed under reducing conditions on the JessTM Simple Western instrument from ProteinSimple, a BioTechne brand, using the 2-40 kDa separation module.
Western Blotting Image 1: DAP12 (F1Q2P) Rabbit Monoclonal Antibody
Orders: 877-616-CELL (2355) [email protected] Support: 877-678-TECH (8324) [email protected] Web: cellsignal.com
For Research Use Only. Not for Use in Diagnostic Procedures.

Revision 4

Cell Signaling Technology Logo
Immunoprecipitation of DAP12 protein from RAW 264.7 cell extracts. Lane 1 is 10% input, lane 2 is Rabbit (DA1E) mAb IgG XP® Isotype Control #3900, and lane 3 is DAP12 (F1Q2P) Rabbit mAb. Western blot analysis was performed using DAP12 (F1Q2P) Rabbit mAb. Anti-rabbit IgG, HRP-linked Antibody #7074 was used as a secondary antibody. 
Immunoprecipitation Image 1: DAP12 (F1Q2P) Rabbit Monoclonal Antibody
Immunoprecipitation of DAP12 protein from RAW 264.7 cell extracts. Lane 1 is 10% input, lane 2 is Rabbit (DA1E) mAb IgG XP® Isotype Control #3900, and lane 3 is DAP12 (F1Q2P) Rabbit mAb. Western blot analysis was performed using DAP12 (D7G1X) Rabbit mAb #12492. Anti-rabbit IgG, HRP-linked Antibody #7074 was used as a secondary antibody.
Immunoprecipitation Image 2: DAP12 (F1Q2P) Rabbit Monoclonal Antibody
Immunohistochemical analysis of paraffin-embedded CT26.WT syngeneic tumor using DAP12 (F1Q2P) Rabbit mAb.



Immunohistochemistry Image 1: DAP12 (F1Q2P) Rabbit Monoclonal Antibody
Orders: 877-616-CELL (2355) [email protected] Support: 877-678-TECH (8324) [email protected] Web: cellsignal.com
For Research Use Only. Not for Use in Diagnostic Procedures.

Revision 4

Cell Signaling Technology Logo

Immunohistochemical analysis of paraffin-embedded 4T1 syngeneic tumor using DAP12 (F1Q2P) Rabbit mAb.

Immunohistochemistry Image 2: DAP12 (F1Q2P) Rabbit Monoclonal Antibody
Immunohistochemical analysis of mouse brain from wild-type mouse (left) or 5xFAD mouse model of Alzheimer's disease (right) using DAP12 (F1Q2P) Rabbit mAb.
Immunohistochemistry Image 3: DAP12 (F1Q2P) Rabbit Monoclonal Antibody

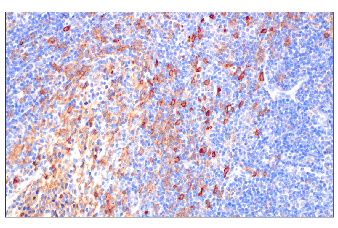
Immunohistochemical analysis of paraffin-embedded mouse thymus using DAP12 (F1Q2P) Rabbit mAb.

Immunohistochemistry Image 4: DAP12 (F1Q2P) Rabbit Monoclonal Antibody
Orders: 877-616-CELL (2355) [email protected] Support: 877-678-TECH (8324) [email protected] Web: cellsignal.com
For Research Use Only. Not for Use in Diagnostic Procedures.

Revision 4

Cell Signaling Technology Logo

Immunohistochemical analysis of paraffin-embedded mouse lung using DAP12 (F1Q2P) Rabbit mAb.
Immunohistochemistry Image 5: DAP12 (F1Q2P) Rabbit Monoclonal Antibody

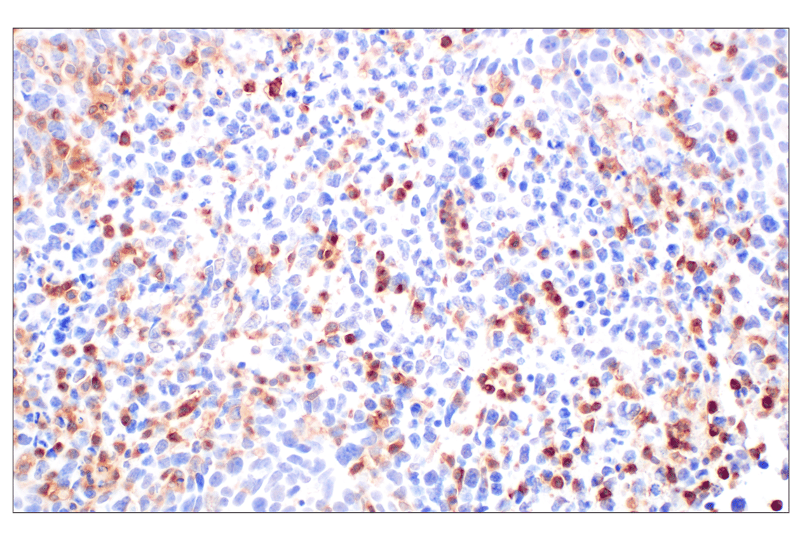
Immunohistochemical analysis of paraffin-embedded mouse spleen using DAP12 (F1Q2P) Rabbit mAb.

Immunohistochemistry Image 6: DAP12 (F1Q2P) Rabbit Monoclonal Antibody

Immunohistochemical analysis of paraffin-embedded mouse liver using DAP12 (F1Q2P) Rabbit mAb.

Immunohistochemistry Image 7: DAP12 (F1Q2P) Rabbit Monoclonal Antibody
Orders: 877-616-CELL (2355) [email protected] Support: 877-678-TECH (8324) [email protected] Web: cellsignal.com
For Research Use Only. Not for Use in Diagnostic Procedures.

Revision 4

Cell Signaling Technology Logo
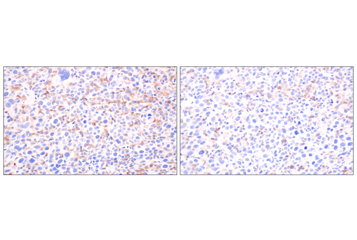
Immunohistochemical analysis of paraffin-embedded Renca syngeneic tumor using DAP12 (F1Q2P) Rabbit mAb (left) or a DAP12 Antibody (right). These two antibodies detect unique, non-overlapping epitopes on mouse DAP12. The similar staining patterns obtained with both antibodies help to confirm the specificity of the staining.
Immunohistochemistry Image 8: DAP12 (F1Q2P) Rabbit Monoclonal Antibody
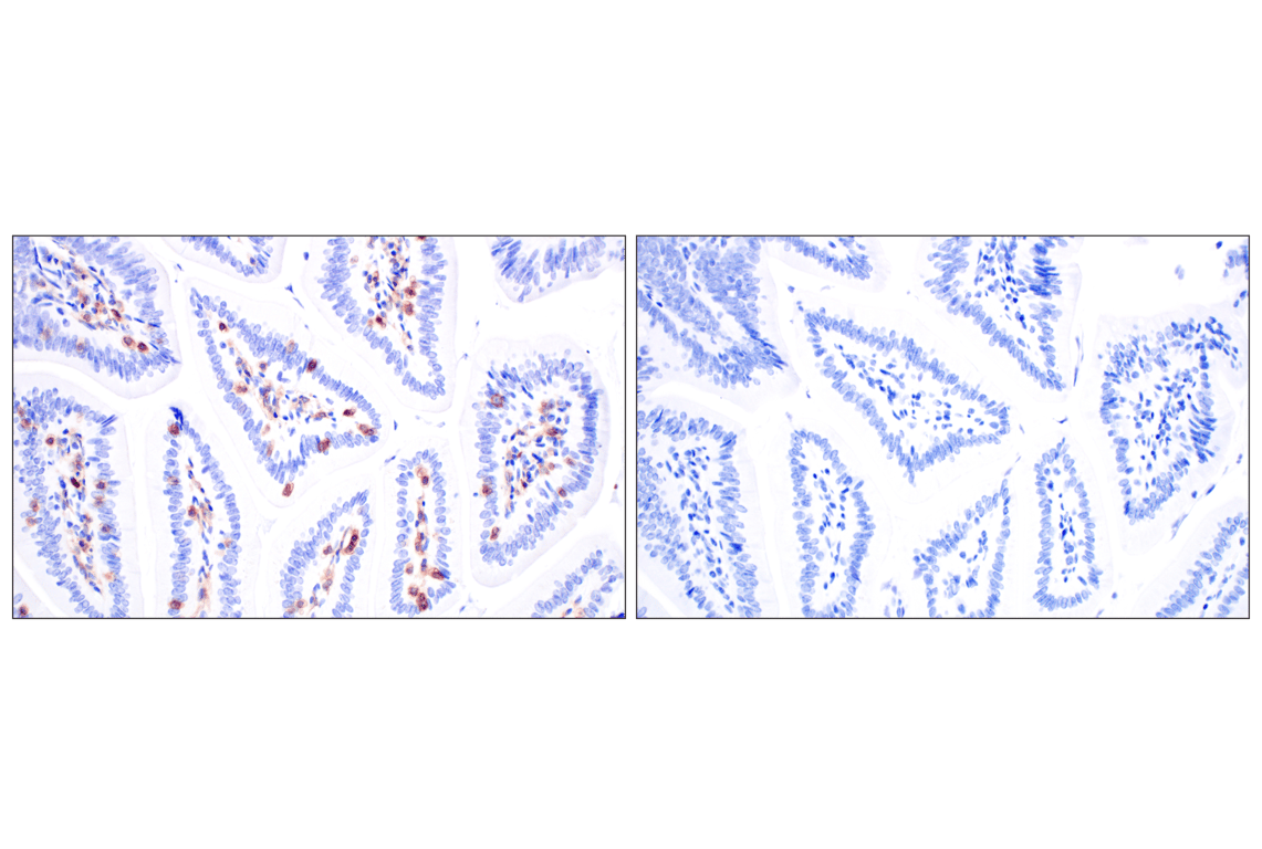
Immunohistochemical analysis of paraffin-embedded mouse small intestine using DAP12 (F1Q2P) Rabbit mAb (left) compared to concentration-matched Rabbit (DA1E) mAb IgG XP® Isotype Control #3900 (right). 
Immunohistochemistry Image 9: DAP12 (F1Q2P) Rabbit Monoclonal Antibody
Immunohistochemical analysis of paraffin-embedded RAW 264.7 cell pellet (left, positive) or Neuro-2a cell pellet (right, negative) using DAP12 (F1Q2P) Rabbit mAb.
Immunohistochemistry Image 10: DAP12 (F1Q2P) Rabbit Monoclonal Antibody
Orders: 877-616-CELL (2355) [email protected] Support: 877-678-TECH (8324) [email protected] Web: cellsignal.com
For Research Use Only. Not for Use in Diagnostic Procedures.