Revision 3

#62257

Store at -20C

CST Logo
Orders:

877-616-CELL (2355)

[email protected]

Support:

877-678-TECH (8324)

3 Trask Lane | Danvers | Massachusetts | 01923 | USA

For Research Use Only. Not for Use in Diagnostic Procedures.

Applications:
W, IP, IHC-P

Reactivity:
H M R

Sensitivity:
Endogenous

MW (kDa):
82

Source/Isotype:
Rabbit IgG

UniProt ID:
#O15075

Entrez-Gene Id:
9201

Product Usage Information

Application Dilution
Western Blotting 1:1000
Immunoprecipitation 1:100
Immunohistochemistry (Paraffin) 1:300

Storage

Supplied in 10 mM sodium HEPES (pH 7.5), 150 mM NaCl, 100 µg/ml BSA, 50% glycerol and less than 0.02% sodium azide. Store at –20°C. Do not aliquot the antibody.

For a carrier free (BSA and azide free) version of this product see product #10208.

Specificity/Sensitivity

DCLK1/DCAMKL1 (D2U3L) Rabbit Monoclonal Antibody recognizes endogenous levels of total DCLK1/DCAMKL1 protein. The identity of the faint lower molecular weight bands is not known.

Source / Purification

Monoclonal antibody is produced by immunizing animals with a synthetic peptide corresponding to residues near the amino terminus of human DCLK1/DCAMKL1 protein.

Background

Doublecortin-like kinase 1 (DCLK1, DCAMKL1) is a serine/threonine kinase that belongs to the CaM kinase family and shares homology with the neuronal microtubule binding protein doublecortin. DCLK1 is thought to be involved in calcium signaling pathways controlling neuronal development in the embryonic brain (1,2). The kinase also functions in the mature nervous system and is highly expressed in regions of active neurogenesis in the neocortex and cerebellum (3,4). Research studies suggest that the DCLK1 kinase is highly expressed in subpopulations of cells within the colon and gastric epithelium and in the pancreas (5-8). The nature of these cell populations, whether normal, stem-like, or tumor-initiating, is unclear.

Species Reactivity

Species reactivity is determined by testing in at least one approved application (e.g., western blot).

Western Blot Buffer

IMPORTANT: For western blots, incubate membrane with diluted primary antibody in 5% w/v BSA, 1X TBS, 0.1% Tween® 20 at 4°C with gentle shaking, overnight.

Applications Key

W: Western Blotting IP: Immunoprecipitation IHC-P: Immunohistochemistry (Paraffin)

Cross-Reactivity Key

H: Human M: Mouse R: Rat

Trademarks and Patents

Cell Signaling Technology is a trademark of Cell Signaling Technology, Inc.

SignalStain is a registered trademark of Cell Signaling Technology, Inc.

All other trademarks are the property of their respective owners. Visit cellsignal.com/trademarks for more information.

Limited Uses

Except as otherwise expressly agreed in a writing signed by a legally authorized representative of CST, the following terms apply to Products provided by CST, its affiliates or its distributors. Any Customer's terms and conditions that are in addition to, or different from, those contained herein, unless separately accepted in writing by a legally authorized representative of CST, are rejected and are of no force or effect.

Products are labeled with For Research Use Only or a similar labeling statement and have not been approved, cleared, or licensed by the FDA or other regulatory foreign or domestic entity, for any purpose. Customer shall not use any Product for any diagnostic or therapeutic purpose, or otherwise in any manner that conflicts with its labeling statement. Products sold or licensed by CST are provided for Customer as the end-user and solely for research and development uses. Any use of Product for diagnostic, prophylactic or therapeutic purposes, or any purchase of Product for resale (alone or as a component) or other commercial purpose, requires a separate license from CST. Customer shall (a) not sell, license, loan, donate or otherwise transfer or make available any Product to any third party, whether alone or in combination with other materials, or use the Products to manufacture any commercial products, (b) not copy, modify, reverse engineer, decompile, disassemble or otherwise attempt to discover the underlying structure or technology of the Products, or use the Products for the purpose of developing any products or services that would compete with CST products or services, (c) not alter or remove from the Products any trademarks, trade names, logos, patent or copyright notices or markings, (d) use the Products solely in accordance with CST Product Terms of Sale and any applicable documentation, and (e) comply with any license, terms of service or similar agreement with respect to any third party products or services used by Customer in connection with the Products.

Orders: 877-616-CELL (2355) [email protected] Support: 877-678-TECH (8324) [email protected] Web: cellsignal.com
For Research Use Only. Not for Use in Diagnostic Procedures.

Revision 3

Cell Signaling Technology Logo
Western blot analysis of extracts from various cell lines and tissues using DCLK1/DCAMKL1 (D2U3L) XP® Rabbit

mAb (upper) or GAPDH (D16H11) XP® Rabbit mAb #5174 (lower). As expected, HeLa cells have extremely low expression of DCLK1/DCAMKL1.

Western Blotting Image 1: DCLK1/DCAMKL1 (D2U3L) Rabbit Monoclonal Antibody
Immunoprecipitation of DCLK1/ DCAMKL1 from TT cell extracts. Lane 1 is 10% input, lane 2 is Rabbit (DA1E) mAb XP® Isotype Control #3900, and lane 3 is DCLK1/DCAMKL1 (D2U3L) XP® Rabbit mAb. Western blot analysis was performed using

DCLK1/DCAMKL1 (D2U3L) XP® Rabbit mAb.

Immunoprecipitation Image 1: DCLK1/DCAMKL1 (D2U3L) Rabbit Monoclonal Antibody
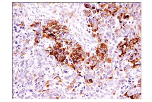
Immunohistochemical analysis of paraffin-embedded Apc (Min/+) mouse intestinal adenoma using DCLK1/DCAMKL1 (D2U3L) XP® Rabbit mAb.
Immunohistochemistry Image 1: DCLK1/DCAMKL1 (D2U3L) Rabbit Monoclonal Antibody
Orders: 877-616-CELL (2355) [email protected] Support: 877-678-TECH (8324) [email protected] Web: cellsignal.com
For Research Use Only. Not for Use in Diagnostic Procedures.

Revision 3

Cell Signaling Technology Logo
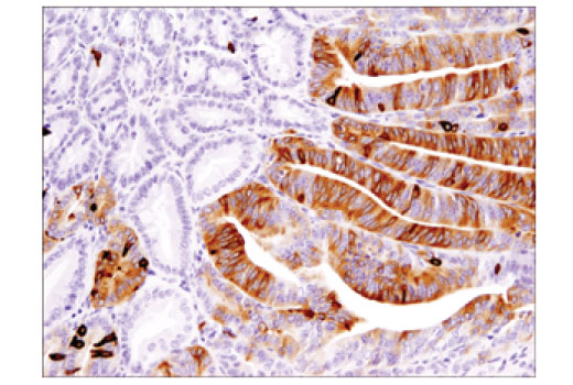
Immunohistochemical analysis of paraffin-embedded human lung carcinoma using DCLK1/DCAMKL1 (D2U3L) XP® Rabbit mAb.
Immunohistochemistry Image 2: DCLK1/DCAMKL1 (D2U3L) Rabbit Monoclonal Antibody
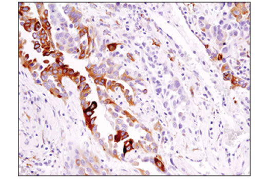
Immunohistochemical analysis of paraffin-embedded human ovarian carcinoma using DCLK1/DCAMKL1 (D2U3L) XP® Rabbit mAb.
Immunohistochemistry Image 3: DCLK1/DCAMKL1 (D2U3L) Rabbit Monoclonal Antibody
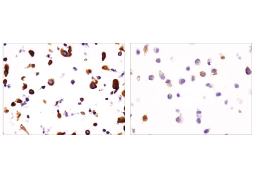
Immunohistochemical analysis of paraffin-embedded TT (left) and HeLa (right) cell pellets using DCLK1/DCAMKL1 (D2U3L) XP® Rabbit mAb.
Immunohistochemistry Image 4: DCLK1/DCAMKL1 (D2U3L) Rabbit Monoclonal Antibody
Orders: 877-616-CELL (2355) [email protected] Support: 877-678-TECH (8324) [email protected] Web: cellsignal.com
For Research Use Only. Not for Use in Diagnostic Procedures.