Revision 1

#13233

Store at -20C

CST Logo
Orders:

877-616-CELL (2355)

[email protected]

Support:

877-678-TECH (8324)

3 Trask Lane | Danvers | Massachusetts | 01923 | USA

For Research Use Only. Not for Use in Diagnostic Procedures.

Applications:
W, IP, IF-IC

Reactivity:
H Mk

Sensitivity:
Endogenous

MW (kDa):
75

Source/Isotype:
Rabbit IgG

UniProt ID:
#Q8IZD4

Entrez-Gene Id:
196513

Product Usage Information

Application Dilution
Western Blotting 1:1000
Immunoprecipitation 1:50
Immunofluorescence (Immunocytochemistry) 1:100

Storage

Supplied in 10 mM sodium HEPES (pH 7.5), 150 mM NaCl, 100 µg/ml BSA, 50% glycerol and less than 0.02% sodium azide. Store at –20°C. Do not aliquot the antibody.

Specificity/Sensitivity

DCP1B (D2P9W) Rabbit Monoclonal Antibody recognizes endogenous levels of total DCP1B protein. This antibody may cross-react with DCP1A.

Source / Purification

Monoclonal antibody is produced by immunizing animals with a synthetic peptide corresponding to residues surrounding Val202 of human DCP1B protein.

Background

mRNA decapping is an important process in the mRNA turnover (1). DCP1A and DCP2 were identified as two human decapping enzymes and homologs of the better-characterized S. cerevisiae enzymes. Both putative decapping enzymes interact with the regulator of nonsense transcripts 1 (UPF1) and may be recruited by UPF1 or related proteins to mRNA sequences that contain premature termination codons (1). Additional research studies demonstrate that DCP1A, DCP1B (the homolog of DCP1A) and DCP2 colocalize with decapping activation factors RCK/p54 and Lsm proteins in cytoplasmic loci (2). DCP1A, DCP1B and DCP2 are components of cytoplasmic processing (P) bodies, with hyper-phosphorylation of DCP1A during mitosis suggesting a possible mechanism of P-body regulation during the cell cycle (3,4).

Species Reactivity

Species reactivity is determined by testing in at least one approved application (e.g., western blot).

Western Blot Buffer

IMPORTANT: For western blots, incubate membrane with diluted primary antibody in 5% w/v BSA, 1X TBS, 0.1% Tween® 20 at 4°C with gentle shaking, overnight.

Applications Key

W: Western Blotting IP: Immunoprecipitation IF-IC: Immunofluorescence (Immunocytochemistry)

Cross-Reactivity Key

H: Human Mk: Monkey

Trademarks and Patents

Cell Signaling Technology is a trademark of Cell Signaling Technology, Inc.

All other trademarks are the property of their respective owners. Visit cellsignal.com/trademarks for more information.

Limited Uses

Except as otherwise expressly agreed in a writing signed by a legally authorized representative of CST, the following terms apply to Products provided by CST, its affiliates or its distributors. Any Customer's terms and conditions that are in addition to, or different from, those contained herein, unless separately accepted in writing by a legally authorized representative of CST, are rejected and are of no force or effect.

Products are labeled with For Research Use Only or a similar labeling statement and have not been approved, cleared, or licensed by the FDA or other regulatory foreign or domestic entity, for any purpose. Customer shall not use any Product for any diagnostic or therapeutic purpose, or otherwise in any manner that conflicts with its labeling statement. Products sold or licensed by CST are provided for Customer as the end-user and solely for research and development uses. Any use of Product for diagnostic, prophylactic or therapeutic purposes, or any purchase of Product for resale (alone or as a component) or other commercial purpose, requires a separate license from CST. Customer shall (a) not sell, license, loan, donate or otherwise transfer or make available any Product to any third party, whether alone or in combination with other materials, or use the Products to manufacture any commercial products, (b) not copy, modify, reverse engineer, decompile, disassemble or otherwise attempt to discover the underlying structure or technology of the Products, or use the Products for the purpose of developing any products or services that would compete with CST products or services, (c) not alter or remove from the Products any trademarks, trade names, logos, patent or copyright notices or markings, (d) use the Products solely in accordance with CST Product Terms of Sale and any applicable documentation, and (e) comply with any license, terms of service or similar agreement with respect to any third party products or services used by Customer in connection with the Products.

Orders: 877-616-CELL (2355) [email protected] Support: 877-678-TECH (8324) [email protected] Web: cellsignal.com
For Research Use Only. Not for Use in Diagnostic Procedures.

Revision 1

Cell Signaling Technology Logo
Western blot analysis of extracts from Hep G2 and MCF7 cells using DCP1B (D2P9W) Rabbit mAb.
Western Blotting Image 1: DCP1B (D2P9W) Rabbit Monoclonal Antibody
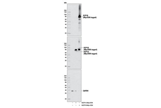
Western blot analysis of extracts from 293 cells, mock transfected (-) or transfected with a construct expressing either Myc/DDK-tagged full-length human DCP1A (hDCP1A-Myc/DDK; +) or Myc/DDK-tagged full-length human DCP1B (hDCP1B-Myc/DDK; +), using DCP1B (D2P9W) Rabbit mAb (upper), DYKDDDDK Tag (9A3) Mouse mAb #8146 (middle) or GAPDH (D16H11) XP® Rabbit mAb #5174 (lower).
Western Blotting Image 2: DCP1B (D2P9W) Rabbit Monoclonal Antibody
Immunoprecipitation of DCP1B from MCF7 cell extracts using Rabbit (DA1E) mAb IgG XP® Isotype Control #3900 (lane 2) or DCP1B (D2P9W) Rabbit mAb (lane 3). Lane 1 is 10% input. Western blot analysis was performed using DCP1B (D2P9W) Rabbit mAb.
Immunoprecipitation Image 1: DCP1B (D2P9W) Rabbit Monoclonal Antibody
Orders: 877-616-CELL (2355) [email protected] Support: 877-678-TECH (8324) [email protected] Web: cellsignal.com
For Research Use Only. Not for Use in Diagnostic Procedures.

Revision 1

Cell Signaling Technology Logo
Confocal immunofluorescent analysis of Hep G2 cells using DCP1B (D2P9W) Rabbit mAb (green). Blue pseudocolor = DRAQ5® #4084 (fluorescent DNA dye).
Immunofluorescence Image 1: DCP1B (D2P9W) Rabbit Monoclonal Antibody
Orders: 877-616-CELL (2355) [email protected] Support: 877-678-TECH (8324) [email protected] Web: cellsignal.com
For Research Use Only. Not for Use in Diagnostic Procedures.