Revision 5

#8356

Store at -20C

Death Receptor Antibody Sampler Kit

1 Kit

(9 x 20 microliters)

CST Logo
Orders:

877-616-CELL (2355)

[email protected]

Support:

877-678-TECH (8324)

3 Trask Lane | Danvers | Massachusetts | 01923 | USA

For Research Use Only. Not for Use in Diagnostic Procedures.

Product Includes Product # Quantity Mol. Wt Isotype/Source
Fas (C18C12) Rabbit Monoclonal Antibody423320 µl40-50 kDaRabbit IgG
TNF-R1 (C25C1) Rabbit Monoclonal Antibody373620 µl55 kDaRabbit IgG
TNF-R2 (E8D7P) Rabbit Monoclonal Antibody7233720 µl60-80 kDaRabbit IgG
DR5 (D4E9) Rabbit Monoclonal Antibody807420 µl40, 48 kDaRabbit IgG
DcR2 (D13H4) Rabbit Monoclonal Antibody804920 µl45-60 kDaRabbit IgG
DcR3 Antibody475820 µl32 kDaRabbit
FADD Antibody278220 µl28 kDaRabbit
TRADD (7G8) Rabbit Monoclonal Antibody368420 µl32 kDaRabbit
RIP (D94C12) Rabbit Monoclonal Antibody349320 µl78 kDaRabbit IgG
Anti-rabbit IgG, HRP-linked Antibody7074100 µlGoat

Please visit cellsignal.com for individual component applications, species cross-reactivity, dilutions, protocols, and additional product information.

Description

The Death Receptor Antibody Sampler Kit provides an economical means to investigate the machinery of death receptor-mediated apoptosis. The kit includes enough of each primary antibody to perform two western mini-blot experiments per primary.

Storage

Supplied in 10 mM sodium HEPES (pH 7.5), 150 mM NaCl, 100 µg/ml BSA, 50% glycerol and less than 0.02% sodium azide. Store at –20°C. Do not aliquot the antibody.

Background

The tumor necrosis factor receptor family, which includes TNF-RI, Fas, DR3, DR4, DR5, and DR6, plays an important role in the regulation of apoptosis in various physiological systems (1,2). The receptors are activated by a family of cytokines that include TNF, FasL, and TRAIL. They are characterized by a highly conserved extracellular region containing cysteine-rich repeats and a conserved intracellular region of about 80 amino acids termed the death domain (DD). The DD is important for transducing the death signal by recruiting other DD containing adaptor proteins (FADD, TRADD, RIP) to the death-inducing signaling complex (DISC) resulting in activation of caspases. Death receptor signaling is also controlled by a family of decoy receptors (DcR1, DcR2, and DcR3) which lack a cytoplasmic DD and inhibit death receptor-mediated apoptosis by competing for ligand (3-5). The RIP (receptor-interacting protein) family of serine-threonine kinases (RIP, RIP2, RIP3, and RIP4) are important regulators of cellular stress that can trigger pro-survival and inflammatory responses through the activation of NF-κB as well as pro-apoptotic pathways (6). In addition to the kinase domain, RIP contains a death domain responsible for interaction with the death domain receptor Fas and for the recruitment to TNFR1 through interaction with TRADD (6,7). Overexpression of RIP induces both NF-κB activation and apoptosis (7,8). Caspase-8 dependent cleavage of the death domain on RIP can trigger the apoptotic activity of RIP (9). RIP-deficient cells show a failure in TNF-mediated NF-κB activation, making the cells more sensitive to apoptosis (10,11).

Trademarks and Patents

Cell Signaling Technology is a trademark of Cell Signaling Technology, Inc.

U.S. Patent No. 7,429,487, foreign equivalents, and child patents deriving therefrom.

All other trademarks are the property of their respective owners. Visit cellsignal.com/trademarks for more information.

Limited Uses

Except as otherwise expressly agreed in a writing signed by a legally authorized representative of CST, the following terms apply to Products provided by CST, its affiliates or its distributors. Any Customer's terms and conditions that are in addition to, or different from, those contained herein, unless separately accepted in writing by a legally authorized representative of CST, are rejected and are of no force or effect.

Products are labeled with For Research Use Only or a similar labeling statement and have not been approved, cleared, or licensed by the FDA or other regulatory foreign or domestic entity, for any purpose. Customer shall not use any Product for any diagnostic or therapeutic purpose, or otherwise in any manner that conflicts with its labeling statement. Products sold or licensed by CST are provided for Customer as the end-user and solely for research and development uses. Any use of Product for diagnostic, prophylactic or therapeutic purposes, or any purchase of Product for resale (alone or as a component) or other commercial purpose, requires a separate license from CST. Customer shall (a) not sell, license, loan, donate or otherwise transfer or make available any Product to any third party, whether alone or in combination with other materials, or use the Products to manufacture any commercial products, (b) not copy, modify, reverse engineer, decompile, disassemble or otherwise attempt to discover the underlying structure or technology of the Products, or use the Products for the purpose of developing any products or services that would compete with CST products or services, (c) not alter or remove from the Products any trademarks, trade names, logos, patent or copyright notices or markings, (d) use the Products solely in accordance with CST Product Terms of Sale and any applicable documentation, and (e) comply with any license, terms of service or similar agreement with respect to any third party products or services used by Customer in connection with the Products.

Orders: 877-616-CELL (2355) [email protected] Support: 877-678-TECH (8324) [email protected] Web: cellsignal.com
For Research Use Only. Not for Use in Diagnostic Procedures.

Revision 5

Cell Signaling Technology Logo
Western blot analysis of extracts from Jurkat and HeLa cells treated with 4 mM hydroxyurea or 1 µg/ml nocodazole (each for 20 hours), using FADD Antibody.
undefined Image 1: Death Receptor Antibody Sampler Kit
Western blot analysis of extracts from HeLa cells, untransfected or transfected with human RIP construct, using RIP (D94C12) XP® Rabbit mAb.
undefined Image 2: Death Receptor Antibody Sampler Kit
Western blot analysis of extracts from MCF7, SR, and A673 cell lines, using TRADD (7G8) Rabbit mAb.
undefined Image 3: Death Receptor Antibody Sampler Kit
Orders: 877-616-CELL (2355) [email protected] Support: 877-678-TECH (8324) [email protected] Web: cellsignal.com
For Research Use Only. Not for Use in Diagnostic Procedures.

Revision 5

Cell Signaling Technology Logo
Western blot analysis of extracts from A549, LN-18 and HeLa cells using TNF-R1 (C25C1) Rabbit mAb.
undefined Image 4: Death Receptor Antibody Sampler Kit
Western blot analysis of extracts from COS cells, mock transfected or transfected with human Fas, and from ACHN and HT-1080 cell lines using Fas (C18C12) Rabbit mAb.
undefined Image 5: Death Receptor Antibody Sampler Kit
Western blot analysis of lysates from LN18, HeLa and HCT116 cell lines, using DcR3 Antibody.
undefined Image 6: Death Receptor Antibody Sampler Kit
Orders: 877-616-CELL (2355) [email protected] Support: 877-678-TECH (8324) [email protected] Web: cellsignal.com
For Research Use Only. Not for Use in Diagnostic Procedures.

Revision 5

Cell Signaling Technology Logo
After the primary antibody is bound to the target protein, a complex with HRP-linked secondary antibody is formed. The LumiGLO® is added and emits light during enzyme catalyzed decomposition.
undefined Image 7: Death Receptor Antibody Sampler Kit
Flow cytometric analysis of live human peripheral blood mononuclear cells using TNF-R2 (E8D7P) Rabbit mAb (right) or concentration-matched Rabbit (DA1E) mAb IgG XP® Isotype Control #3900 (left), and co-stained with CD14 (61D3) Mouse mAb (APC Conjugate) #36377. Anti-rabbit IgG (H+L), F(ab')2 Fragment (Alexa Fluor® 488 Conjugate) #4412 was used as a secondary antibody.
undefined Image 8: Death Receptor Antibody Sampler Kit
Western blot analysis of extracts from 293T cells, mock transfected (-) or transfected with a construct encoding full-length human DcR2 (hDcR2; +), using DcR2 (D13H4) Rabbit mAb.
undefined Image 9: Death Receptor Antibody Sampler Kit
Orders: 877-616-CELL (2355) [email protected] Support: 877-678-TECH (8324) [email protected] Web: cellsignal.com
For Research Use Only. Not for Use in Diagnostic Procedures.

Revision 5

Cell Signaling Technology Logo
Western blot analysis of extracts from various cell lines using DR5 (D4E9) XP® Rabbit mAb.
undefined Image 10: Death Receptor Antibody Sampler Kit
Confocal immunofluorescent analysis of OVCAR8 cells using RIP (D94C12) XP® Rabbit mAb (green). Blue pseudocolor = DRAQ5® #4084 (fluorescent DNA dye).
undefined Image 11: Death Receptor Antibody Sampler Kit
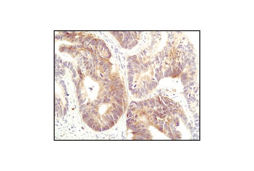
Immunohistochemical analysis of paraffin-embedded human colon carcinoma using Fas (C18C12) Rabbit mAb.
undefined Image 12: Death Receptor Antibody Sampler Kit
Orders: 877-616-CELL (2355) [email protected] Support: 877-678-TECH (8324) [email protected] Web: cellsignal.com
For Research Use Only. Not for Use in Diagnostic Procedures.

Revision 5

Cell Signaling Technology Logo
Western blot analysis of extracts from various human cells using TNF-R2 (E8D7P) Rabbit mAb (upper) and β-Actin (D6A8) Rabbit mAb #8457 (lower).
undefined Image 13: Death Receptor Antibody Sampler Kit
Western blot anlaysis of extracts from various cell lines using DcR2 (D13H4) Rabbit mAb.
undefined Image 14: Death Receptor Antibody Sampler Kit
Western blot analysis of extracts from A549 cells, untreated or doxorubicin-treated (500 nM) for the indicated times, using DR5 (D4E9) XP® Rabbit mAb.
undefined Image 15: Death Receptor Antibody Sampler Kit
Orders: 877-616-CELL (2355) [email protected] Support: 877-678-TECH (8324) [email protected] Web: cellsignal.com
For Research Use Only. Not for Use in Diagnostic Procedures.

Revision 5

Cell Signaling Technology Logo
Flow cytometric analysis of control MEF cells (green) or RIP knockout MEF cells (blue) using RIP (D94C12) XP® Rabbit mAb (solid lines) or concentration matched Rabbit (DA1E) mAb IgG XP® Isotype Control #3900 (dashed lines). Anti-rabbit IgG (H+L), F(ab')2 Fragment (Alexa Fluor® 488 Conjugate) #4412 was used as a secondary antibody.
undefined Image 16: Death Receptor Antibody Sampler Kit
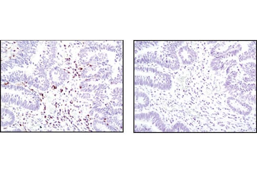
Immunohistochemical analysis of paraffn embedded human colon using Fas (C18C12) Rabbit mAb in the presence of control peptide (left) or antigen specific peptide (right).
undefined Image 17: Death Receptor Antibody Sampler Kit
Immunoprecipitation of TNF-R2 protein from SW620 cell extracts. Lane 1 is 10% input, lane 2 is Rabbit (DA1E) mAb IgG XP® Isotype Control #3900, and lane 3 is TNF-R2 (E8D7P) Rabbit mAb. Western blot analysis was performed using TNF-R2 (E8D7P) Rabbit mAb. Mouse Anti-rabbit IgG (Conformation Specific) (L27A9) mAb (HRP Conjugate) #5127 was used as the secondary antibody.
undefined Image 18: Death Receptor Antibody Sampler Kit
Orders: 877-616-CELL (2355) [email protected] Support: 877-678-TECH (8324) [email protected] Web: cellsignal.com
For Research Use Only. Not for Use in Diagnostic Procedures.

Revision 5

Cell Signaling Technology Logo
Western blot analysis of extracts from 293T cells, mock transfected (-) or transfected with the long isoform of human DR5 (hDR5, +), using DR5 (D4E9) XP® Rabbit mAb.
undefined Image 19: Death Receptor Antibody Sampler Kit
Simple Western™ analysis of lysates (0.1 mg/mL) from Ramos cells using RIP (D94C12) XP® Rabbit mAb #3493. The virtual lane view (left) shows a single target band (as indicated) at 1:50 and 1:250 dilutions of primary antibody. The corresponding electropherogram view (right) plots chemiluminescence by molecular weight along the capillary at 1:50 (green line) and 1:250 (blue line) dilutions of primary antibody. This experiment was performed under reducing conditions on the Jess™ Simple Western instrument from ProteinSimple, a BioTechne brand, using the 12-230 kDa separation module.
undefined Image 20: Death Receptor Antibody Sampler Kit
Immunohistochemical analysis of paraffin-embedded Raji (positive, left) or K562 cells (negative, right) using Fas (C18C12) Rabbit mAb.
undefined Image 21: Death Receptor Antibody Sampler Kit
Orders: 877-616-CELL (2355) [email protected] Support: 877-678-TECH (8324) [email protected] Web: cellsignal.com
For Research Use Only. Not for Use in Diagnostic Procedures.

Revision 5

Cell Signaling Technology Logo
Confocal immunofluorescent analysis of HT-1080 cells using DR5 (D4E9) XP® Rabbit mAb (green). Blue pseudocolor = DRAQ5® #4084 (fluorescent DNA dye).
undefined Image 22: Death Receptor Antibody Sampler Kit
Western blot analysis of extracts from various cell lines using RIP (D94C12) XP® Rabbit mAb (upper) or GAPDH (D16H11) XP® Rabbit mAb #5174 (lower).
undefined Image 23: Death Receptor Antibody Sampler Kit
Simple Western™ analysis of LN18 lysates (1 mg/mL) using TNF-R1 (C25C1) Rabbit mAb #3736. The virtual lane view (left) shows the target band (as indicated) at 1:10 and 1:50 dilutions of primary antibody. The corresponding electropherogram view (right) plots chemiluminescence by molecular weight along the capillary at 1:10 (blue line) and 1:50 (green line) dilutions of primary antibody. This experiment was performed under reducing conditions on the Jess™ Simple Western instrument from ProteinSimple, a BioTechne brand, using the 12-230 kDa separation module.
undefined Image 24: Death Receptor Antibody Sampler Kit
Orders: 877-616-CELL (2355) [email protected] Support: 877-678-TECH (8324) [email protected] Web: cellsignal.com
For Research Use Only. Not for Use in Diagnostic Procedures.