Revision 3

#30260

Store at -20C

CST Logo
Orders:

877-616-CELL (2355)

[email protected]

Support:

877-678-TECH (8324)

3 Trask Lane | Danvers | Massachusetts | 01923 | USA

For Research Use Only. Not for Use in Diagnostic Procedures.

Applications:
W, IHC-P, IF-F

Reactivity:
M

Sensitivity:
Endogenous

MW (kDa):
10, 22

Source/Isotype:
Rabbit IgG

UniProt ID:
#Q6QLQ4

Entrez-Gene Id:
56644

Product Usage Information

Application Dilution
Western Blotting 1:1000
Immunohistochemistry (Paraffin) 1:300 - 1:1200
Immunofluorescence (Frozen) 1:400 - 1:1600

Storage

Supplied in 10 mM sodium HEPES (pH 7.5), 150 mM NaCl, 100 µg/mL BSA, 50% glycerol, and less than 0.02% sodium azide. Store at –20°C. Do not aliquot the antibody.

For a carrier free (BSA and azide free) version of this product see product #78117.

Specificity/Sensitivity

Dectin-1/ Clec7a (E3P5W) Rabbit Monoclonal Antibody recognizes endogenous levels of total Dectin-1/Clec7a protein.

Source / Purification

Monoclonal antibody is produced by immunizing animals with a synthetic peptide corresponding to residues surrounding Pro29 of mouse Dectin-1/Clec7a protein.

Background

Dectin-1, also known as Clec7a, is a C-type lectin receptor expressed by macrophages, monocytes, dendritic cells, neutrophils, and a subset of γδ T cells (1,2). Dectin-1 is a glycoprotein with eight different isoforms, generated through alternative splicing (3-5). It plays an important role in anti-fungal immunity by acting as a pattern recognition receptor for β-glucans found on the cell wall of fungi and some bacteria (5,6). Dectin-1 is composed of a short amino-terminal cytoplasmic domain containing an ITAM-like motif, a transmembrane domain, and an extracellular carboxy-terminal C-type lectin domain (5). Dectin-1 recognizes β-glucans through its C-type lectin domain and transduces signals through its ITAM-like motif by recruiting and activating Syk (7,8). Dendritic cells activated through Dectin-1 promote differentiation of Th17 cells by producing IL-6 and IL-23 (9).

Species Reactivity

Species reactivity is determined by testing in at least one approved application (e.g., western blot).

Western Blot Buffer

IMPORTANT: For western blots, incubate membrane with diluted primary antibody in 5% w/v BSA, 1X TBS, 0.1% Tween® 20 at 4°C with gentle shaking, overnight.

Applications Key

W: Western Blotting IHC-P: Immunohistochemistry (Paraffin) IF-F: Immunofluorescence (Frozen)

Cross-Reactivity Key

M: Mouse

Trademarks and Patents

Cell Signaling Technology is a trademark of Cell Signaling Technology, Inc.

All other trademarks are the property of their respective owners. Visit cellsignal.com/trademarks for more information.

Limited Uses

Except as otherwise expressly agreed in a writing signed by a legally authorized representative of CST, the following terms apply to Products provided by CST, its affiliates or its distributors. Any Customer's terms and conditions that are in addition to, or different from, those contained herein, unless separately accepted in writing by a legally authorized representative of CST, are rejected and are of no force or effect.

Products are labeled with For Research Use Only or a similar labeling statement and have not been approved, cleared, or licensed by the FDA or other regulatory foreign or domestic entity, for any purpose. Customer shall not use any Product for any diagnostic or therapeutic purpose, or otherwise in any manner that conflicts with its labeling statement. Products sold or licensed by CST are provided for Customer as the end-user and solely for research and development uses. Any use of Product for diagnostic, prophylactic or therapeutic purposes, or any purchase of Product for resale (alone or as a component) or other commercial purpose, requires a separate license from CST. Customer shall (a) not sell, license, loan, donate or otherwise transfer or make available any Product to any third party, whether alone or in combination with other materials, or use the Products to manufacture any commercial products, (b) not copy, modify, reverse engineer, decompile, disassemble or otherwise attempt to discover the underlying structure or technology of the Products, or use the Products for the purpose of developing any products or services that would compete with CST products or services, (c) not alter or remove from the Products any trademarks, trade names, logos, patent or copyright notices or markings, (d) use the Products solely in accordance with CST Product Terms of Sale and any applicable documentation, and (e) comply with any license, terms of service or similar agreement with respect to any third party products or services used by Customer in connection with the Products.

Orders: 877-616-CELL (2355) [email protected] Support: 877-678-TECH (8324) [email protected] Web: cellsignal.com
For Research Use Only. Not for Use in Diagnostic Procedures.

Revision 3

Cell Signaling Technology Logo
Western blot analysis of extracts from SIM-A9 cells, untreated (-) or treated with PNGase (+), using Dectin-1/Clec7a (E3P5W) Rabbit mAb (upper) or β-Actin (D6A8) Rabbit mAb #8457 (lower).
Western Blotting Image 1: Dectin-1/ Clec7a (E3P5W) Rabbit Monoclonal Antibody

Immunohistochemical analysis of paraffin-embedded A20 syngeneic tumor using Dectin-1/Clec7a (E3P5W) Rabbit mAb.

Immunohistochemistry Image 1: Dectin-1/ Clec7a (E3P5W) Rabbit Monoclonal Antibody
Immunohistochemical analysis of paraffin-embedded 4T1 syngeneic mammary tumor using Dectin-1/Clec7a (E3P5W) Rabbit mAb.

Immunohistochemistry Image 2: Dectin-1/ Clec7a (E3P5W) Rabbit Monoclonal Antibody
Orders: 877-616-CELL (2355) [email protected] Support: 877-678-TECH (8324) [email protected] Web: cellsignal.com
For Research Use Only. Not for Use in Diagnostic Procedures.

Revision 3

Cell Signaling Technology Logo
Immunohistochemical analysis of paraffin-embedded GL261 syngeneic tumor using Dectin-1/Clec7a (E3P5W) Rabbit mAb.
Immunohistochemistry Image 3: Dectin-1/ Clec7a (E3P5W) Rabbit Monoclonal Antibody
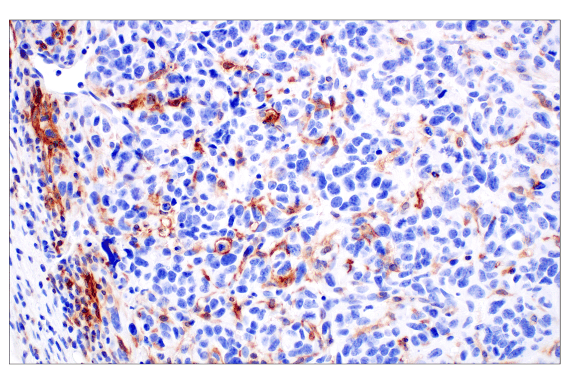
Immunohistochemical analysis of paraffin-embedded mouse thymus using Dectin-1/Clec7a (E3P5W) Rabbit mAb.

Immunohistochemistry Image 4: Dectin-1/ Clec7a (E3P5W) Rabbit Monoclonal Antibody
Immunohistochemical analysis of paraffin-embedded mouse lung using Dectin-1/Clec7a (E3P5W) Rabbit mAb.
Immunohistochemistry Image 5: Dectin-1/ Clec7a (E3P5W) Rabbit Monoclonal Antibody
Orders: 877-616-CELL (2355) [email protected] Support: 877-678-TECH (8324) [email protected] Web: cellsignal.com
For Research Use Only. Not for Use in Diagnostic Procedures.

Revision 3

Cell Signaling Technology Logo
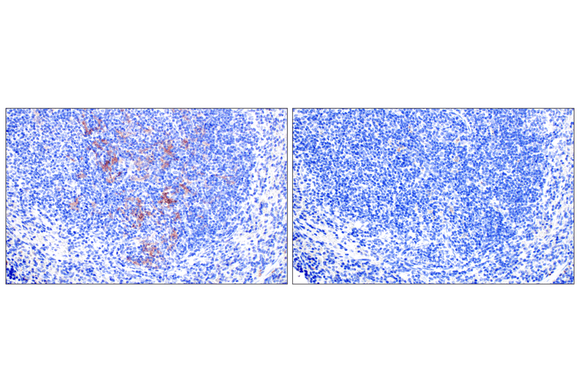
Immunohistochemical analysis of paraffin-embedded mouse spleen using Dectin-1/Clec7a (E3P5W) Rabbit mAb (left) compared to concentration-matched Rabbit (DA1E) mAb IgG XP® Isotype Control #3900 (right).
Immunohistochemistry Image 6: Dectin-1/ Clec7a (E3P5W) Rabbit Monoclonal Antibody
Immunohistochemical analysis of paraffin-embedded SIM-A9 cell pellet (left, positive) or C2C12 cell pellet (right, negative) using Dectin-1/Clec7a (E3P5W) Rabbit mAb.
Immunohistochemistry Image 7: Dectin-1/ Clec7a (E3P5W) Rabbit Monoclonal Antibody
Confocal immunofluorescent analysis of fixed frozen brain from an amyloid mouse model of Alzheimer's disease using Dectin-1/Clec7a (E3P5W) Rabbit mAb (left, green). Free secondary binding sites were then blocked with Rabbit (DA1E) mAb IgG XP® Isotype Control #3900 prior to co-labeling with CD45 (D3F8Q) Rabbit mAb (Alexa Fluor® 555 Conjugate) #19581 (middle, red) and β-Amyloid (D54D2) XP® Rabbit mAb (Alexa Fluor® 647 Conjugate) #42284 (right, blue pseudocolor).
Immunofluorescence Image 1: Dectin-1/ Clec7a (E3P5W) Rabbit Monoclonal Antibody
Orders: 877-616-CELL (2355) [email protected] Support: 877-678-TECH (8324) [email protected] Web: cellsignal.com
For Research Use Only. Not for Use in Diagnostic Procedures.

Revision 3

Cell Signaling Technology Logo
Confocal immunofluorescent analysis of fixed frozen mouse lung using Dectin-1/Clec7a (E3P5W) Rabbit mAb (left, green). Free secondary binding sites were then blocked with Rabbit (DA1E) mAb IgG XP® Isotype Control #3900 prior to co-labeling with CD45 (D3F8Q) Rabbit mAb (Alexa Fluor® 555 Conjugate) #19581 (right, red) and ProLong Gold Antifade Reagent with DAPI #8961 (right, blue).
Immunofluorescence Image 2: Dectin-1/ Clec7a (E3P5W) Rabbit Monoclonal Antibody
Confocal immunofluorescent analysis of fixed frozen mouse Peyer’s patch using Dectin-1/Clec7a (E3P5W) Rabbit mAb (left, green). Free secondary binding sites were then blocked with Rabbit (DA1E) mAb IgG XP® Isotype Control #3900 prior to co-labeling with CD45 (D3F8Q) Rabbit mAb (Alexa Fluor® 555 Conjugate) #19581 (right, red) and ProLong Gold Antifade Reagent with DAPI #8961 (right, blue).
Immunofluorescence Image 3: Dectin-1/ Clec7a (E3P5W) Rabbit Monoclonal Antibody
Orders: 877-616-CELL (2355) [email protected] Support: 877-678-TECH (8324) [email protected] Web: cellsignal.com
For Research Use Only. Not for Use in Diagnostic Procedures.