Revision 1

#29812

Store at -20C

CST Logo
Orders:

877-616-CELL (2355)

[email protected]

Support:

877-678-TECH (8324)

3 Trask Lane | Danvers | Massachusetts | 01923 | USA

For Research Use Only. Not for Use in Diagnostic Procedures.

Applications:
W, IHC-P

Reactivity:
H M R Mk

Sensitivity:
Endogenous

MW (kDa):
50

Source/Isotype:
Rabbit IgG

UniProt ID:
#P35659

Entrez-Gene Id:
7913

Product Usage Information

Application Dilution
Western Blotting 1:1000
Immunohistochemistry (Paraffin) 1:150 - 1:600

Storage

Supplied in 10 mM sodium HEPES (pH 7.5), 150 mM NaCl, 100 µg/ml BSA, 50% glycerol and less than 0.02% sodium azide. Store at –20°C. Do not aliquot the antibody.

Specificity/Sensitivity

DEK (E4S5J) Rabbit Monoclonal Antibody recognizes endogenous levels of total DEK protein. Non-specific staining has been observed by IHC in nerve cells.

Source / Purification

Monoclonal antibody is produced by immunizing animals with a synthetic peptide corresponding to residues near the carboxy terminus of human DEK protein.

Background

The protein product of the DEK oncogene is a nuclear phosphoprotein that is highly conserved among higher eukaryotic organisms and preferentially expressed in actively proliferating and/or malignant cells (1,2). DEK is an abundant, non-histone chromosomal protein that establishes and maintains heterochromatin by interacting with HP1a, enhancing HP1a binding to tri-methyl histone H3 Lys9 and stabilizing local tri-methyl histone H3 Lys9 levels (3). DEK localized to euchromatin represses transcription by interacting with transcription factors such as RelA/p65 (4). The DEK protein also associates with mRNA processing factors to regulate splicing and nuclear export (5,6).

The DEK proto-oncogene functions as a negative regulator of cellular differentiation, senescence, and apoptosis. DEK is translocated and/or over-expressed in a number of different cancers, including acute myeloid leukemia, breast cancer, cervical cancer, hepatocellular carcinoma, melanoma, and small cell lung cancer (1,2). In addition to the role of DEK in cancer biology, which is mainly related to its intracellular functions, extracellular DEK is implicated in the pathogenesis of autoimmune disorders (1,2). Circulating autoantibodies to DEK have been identified in the serum of patients with autoimmune diseases, including juvenile idiopathic arthritis, sarcoidosis, and systemic lupus erythematosus. DEK is secreted by human monocyte-derived macrophages and apoptotic T-lymphocytes and can act as a chemotactic, pro-inflammatory factor (7,8). Exogenous DEK can penetrate neighboring cells, and translocate to the nucleus to carry out its endogenous nuclear functions (9). IL-8 induced secretion of DEK from macrophages serves as a chemoattractant for peripheral blood leukocytes (7).

Species Reactivity

Species reactivity is determined by testing in at least one approved application (e.g., western blot).

Western Blot Buffer

IMPORTANT: For western blots, incubate membrane with diluted primary antibody in 5% w/v nonfat dry milk, 1X TBS, 0.1% Tween® 20 at 4°C with gentle shaking, overnight.

Applications Key

W: Western Blotting IHC-P: Immunohistochemistry (Paraffin)

Cross-Reactivity Key

H: Human M: Mouse R: Rat Mk: Monkey

Trademarks and Patents

Cell Signaling Technology is a trademark of Cell Signaling Technology, Inc.

SignalStain is a registered trademark of Cell Signaling Technology, Inc.

All other trademarks are the property of their respective owners. Visit cellsignal.com/trademarks for more information.

Limited Uses

Except as otherwise expressly agreed in a writing signed by a legally authorized representative of CST, the following terms apply to Products provided by CST, its affiliates or its distributors. Any Customer's terms and conditions that are in addition to, or different from, those contained herein, unless separately accepted in writing by a legally authorized representative of CST, are rejected and are of no force or effect.

Products are labeled with For Research Use Only or a similar labeling statement and have not been approved, cleared, or licensed by the FDA or other regulatory foreign or domestic entity, for any purpose. Customer shall not use any Product for any diagnostic or therapeutic purpose, or otherwise in any manner that conflicts with its labeling statement. Products sold or licensed by CST are provided for Customer as the end-user and solely for research and development uses. Any use of Product for diagnostic, prophylactic or therapeutic purposes, or any purchase of Product for resale (alone or as a component) or other commercial purpose, requires a separate license from CST. Customer shall (a) not sell, license, loan, donate or otherwise transfer or make available any Product to any third party, whether alone or in combination with other materials, or use the Products to manufacture any commercial products, (b) not copy, modify, reverse engineer, decompile, disassemble or otherwise attempt to discover the underlying structure or technology of the Products, or use the Products for the purpose of developing any products or services that would compete with CST products or services, (c) not alter or remove from the Products any trademarks, trade names, logos, patent or copyright notices or markings, (d) use the Products solely in accordance with CST Product Terms of Sale and any applicable documentation, and (e) comply with any license, terms of service or similar agreement with respect to any third party products or services used by Customer in connection with the Products.

Orders: 877-616-CELL (2355) [email protected] Support: 877-678-TECH (8324) [email protected] Web: cellsignal.com
For Research Use Only. Not for Use in Diagnostic Procedures.

Revision 1

Cell Signaling Technology Logo
Western blot analysis of extracts from various cell lines using DEK (E4S5J) Rabbit mAb (upper) and α-Actinin (D6F6) XP® Rabbit mAb #6487 (lower). As expected, DEK is not expressed when knocked out in 293T cells (293T DEK KO).
Western Blotting Image 1: DEK (E4S5J) Rabbit Monoclonal Antibody
Immunohistochemical analysis of paraffin-embedded human colon carcinoma using DEK (E4S5J) Rabbit mAb.
Immunohistochemistry Image 1: DEK (E4S5J) Rabbit Monoclonal Antibody
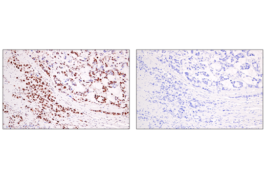
Immunohistochemical analysis of paraffin-embedded human colon carcinoma using DEK (E4S5J) Rabbit mAb (left) compared to concentration matched Rabbit (DA1E) mAb IgG XP® Isotype Control #3900 (right).
Immunohistochemistry Image 2: DEK (E4S5J) Rabbit Monoclonal Antibody
Orders: 877-616-CELL (2355) [email protected] Support: 877-678-TECH (8324) [email protected] Web: cellsignal.com
For Research Use Only. Not for Use in Diagnostic Procedures.

Revision 1

Cell Signaling Technology Logo
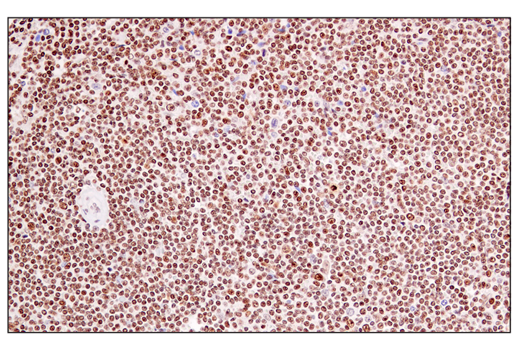
Immunohistochemical analysis of paraffin-embedded human non-Hodgkin's lymphoma using DEK (E4S5J) Rabbit mAb.
Immunohistochemistry Image 3: DEK (E4S5J) Rabbit Monoclonal Antibody
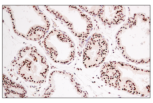
Immunohistochemical analysis of paraffin-embedded mouse prostate using DEK (E4S5J) Rabbit mAb.
Immunohistochemistry Image 4: DEK (E4S5J) Rabbit Monoclonal Antibody
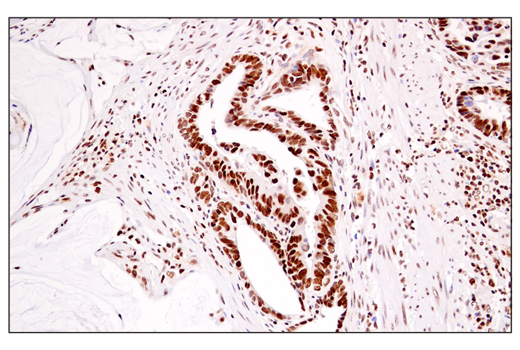
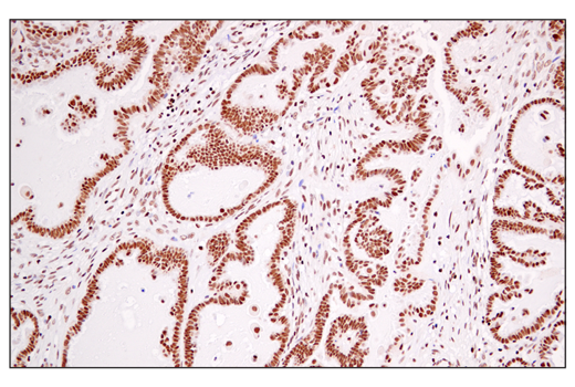
Immunohistochemical analysis of paraffin-embedded human ovarian serous carcinoma using DEK (E4S5J) Rabbit mAb.
Immunohistochemistry Image 5: DEK (E4S5J) Rabbit Monoclonal Antibody
Orders: 877-616-CELL (2355) [email protected] Support: 877-678-TECH (8324) [email protected] Web: cellsignal.com
For Research Use Only. Not for Use in Diagnostic Procedures.

Revision 1

Cell Signaling Technology Logo
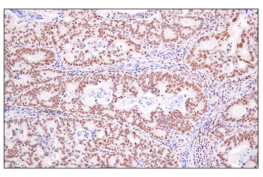
Immunohistochemical analysis of paraffin-embedded human gastric adenocarcinoma using DEK (E4S5J) Rabbit mAb.
Immunohistochemistry Image 6: DEK (E4S5J) Rabbit Monoclonal Antibody
Orders: 877-616-CELL (2355) [email protected] Support: 877-678-TECH (8324) [email protected] Web: cellsignal.com
For Research Use Only. Not for Use in Diagnostic Procedures.