Revision 1

#15083

Store at -20C

CST Logo
Orders:

877-616-CELL (2355)

[email protected]

Support:

877-678-TECH (8324)

3 Trask Lane | Danvers | Massachusetts | 01923 | USA

For Research Use Only. Not for Use in Diagnostic Procedures.

Applications:
W, IP

Reactivity:
H

Sensitivity:
Endogenous

MW (kDa):
55, 70-100

Source/Isotype:
Rabbit IgG

UniProt ID:
#P49281

Entrez-Gene Id:
4891

Product Usage Information

Application Dilution
Western Blotting 1:1000
Immunoprecipitation 1:50

Storage

Supplied in 10 mM sodium HEPES (pH 7.5), 150 mM NaCl, 100 µg/ml BSA, 50% glycerol and less than 0.02% sodium azide. Store at –20°C. Do not aliquot the antibody.

Specificity/Sensitivity

DMT1/SLC11A2 (D3V8G) Rabbit Monoclonal Antibody recognizes endogenous levels of total DMT1 protein.

Source / Purification

Monoclonal antibody is produced by immunizing animals with a synthetic peptide corresponding to residues near the amino terminus of human DMT1 protein.

Background

Divalent metal-ion transporter 1 (DMT1, SLC11A2, NRAMP2) is a transmembrane metal ion transport protein that plays critical roles in non-heme iron absorption in the intestine and iron acquisition by erythroid precursor cells (1,2). Following the cellular uptake of iron, DMT1 transfers ferric iron from the endosomes to the cytoplasm (3,4). The DMT1 protein can transport up to eight different metals, including iron, manganese, cobalt, and cadmium (5). Four mammalian DMT1 isoforms are expressed in various tissues and are differentially regulated at both the transcriptional and post-translational level (6,7). Mutations in the corresponding SLC11A2 gene can result in hypochromic microcytic anemia and iron overload. Aberrant iron transport in these individuals results in erythroid hyperplasia, high serum iron, and impaired liver function (8-10). Research studies show elevated DMT1 levels and iron accumulation in the substantia nigra of Parkinson's disease patients and the corresponding animal model (11,12).

Species Reactivity

Species reactivity is determined by testing in at least one approved application (e.g., western blot).

Western Blot Buffer

IMPORTANT: For western blots, incubate membrane with diluted primary antibody in 5% w/v BSA, 1X TBS, 0.1% Tween® 20 at 4°C with gentle shaking, overnight.

Applications Key

W: Western Blotting IP: Immunoprecipitation

Cross-Reactivity Key

H: Human

Trademarks and Patents

Cell Signaling Technology is a trademark of Cell Signaling Technology, Inc.

All other trademarks are the property of their respective owners. Visit cellsignal.com/trademarks for more information.

Limited Uses

Except as otherwise expressly agreed in a writing signed by a legally authorized representative of CST, the following terms apply to Products provided by CST, its affiliates or its distributors. Any Customer's terms and conditions that are in addition to, or different from, those contained herein, unless separately accepted in writing by a legally authorized representative of CST, are rejected and are of no force or effect.

Products are labeled with For Research Use Only or a similar labeling statement and have not been approved, cleared, or licensed by the FDA or other regulatory foreign or domestic entity, for any purpose. Customer shall not use any Product for any diagnostic or therapeutic purpose, or otherwise in any manner that conflicts with its labeling statement. Products sold or licensed by CST are provided for Customer as the end-user and solely for research and development uses. Any use of Product for diagnostic, prophylactic or therapeutic purposes, or any purchase of Product for resale (alone or as a component) or other commercial purpose, requires a separate license from CST. Customer shall (a) not sell, license, loan, donate or otherwise transfer or make available any Product to any third party, whether alone or in combination with other materials, or use the Products to manufacture any commercial products, (b) not copy, modify, reverse engineer, decompile, disassemble or otherwise attempt to discover the underlying structure or technology of the Products, or use the Products for the purpose of developing any products or services that would compete with CST products or services, (c) not alter or remove from the Products any trademarks, trade names, logos, patent or copyright notices or markings, (d) use the Products solely in accordance with CST Product Terms of Sale and any applicable documentation, and (e) comply with any license, terms of service or similar agreement with respect to any third party products or services used by Customer in connection with the Products.

Orders: 877-616-CELL (2355) [email protected] Support: 877-678-TECH (8324) [email protected] Web: cellsignal.com
For Research Use Only. Not for Use in Diagnostic Procedures.

Revision 1

Cell Signaling Technology Logo
Western blot analysis of extracts from SK-MEL-5 and SK-MEL-2 cells using DMT1/SLC11A2 (D3V8G) Rabbit mAb.
Western Blotting Image 1: DMT1/SLC11A2 (D3V8G) Rabbit Monoclonal Antibody
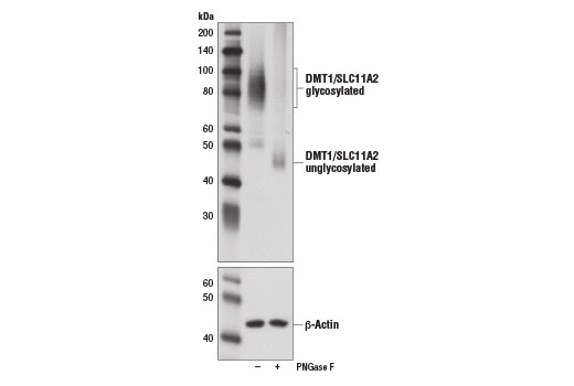
Western blot analysis of extracts from human SK-MEL-5 cells, untreated (-) or treated with PNGase F (+), using DMT1/SLC11A2 (D3V8G) Rabbit mAb (upper) and β-Actin (13E5) Rabbit mAb #4970 (lower).
Western Blotting Image 2: DMT1/SLC11A2 (D3V8G) Rabbit Monoclonal Antibody
Immunoprecipitation of DMT1 from SK-MEL-5 cell extracts using Rabbit (DA1E) mAb IgG XP® Isotype Control #3900 (lane 2) or DMT1/SLC11A2 (D3V8G) Rabbit mAb (lane 3). Lane 1 is 10% input. Western blot analysis was performed using DMT1/SLC11A2 (D3V8G) Rabbit mAb.
Immunoprecipitation Image 1: DMT1/SLC11A2 (D3V8G) Rabbit Monoclonal Antibody
Orders: 877-616-CELL (2355) [email protected] Support: 877-678-TECH (8324) [email protected] Web: cellsignal.com
For Research Use Only. Not for Use in Diagnostic Procedures.