Revision 1

#58268

Store at -80C

CST Logo
Orders:

877-616-CELL (2355)

[email protected]

Support:

877-678-TECH (8324)

3 Trask Lane | Danvers | Massachusetts | 01923 | USA

For Research Use Only. Not for Use in Diagnostic Procedures.

Applications:
W, IHC-P, IF-IC, FC-FP

Reactivity:
H

Sensitivity:
Endogenous

MW (kDa):
450

Source/Isotype:
Rabbit IgG

UniProt ID:
#P78527

Entrez-Gene Id:
5591

Product Usage Information

This product is the carrier free version of product #38168. All data were generated using the same antibody clone in the standard formulation which contains BSA and glycerol.

This formulation is ideal for use with technologies requiring specialized or custom antibody labeling, including fluorophores, metals, lanthanides, and oligonucleotides. It is not recommended for ChIP, ChIP-seq, CUT&RUN or CUT&Tag assays. If you require a carrier free formulation for chromatin profiling, please contact us. Optimal dilutions/concentrations should be determined by the end user.

BSA and Azide Free antibodies are quality control tested by size exclusion chromatography (SEC) to determine antibody integrity.

Formulation

Supplied in 1X PBS (10 mM Na2HPO4, 3 mM KCl, 2 mM KH2PO4, and 140 mM NaCl (pH 7.8)). BSA and Azide Free.

For standard formulation of this product see product #38168

Storage

Store at -20°C. This product will freeze at -20°C so it is recommended to aliquot into single-use vials to avoid multiple freeze/thaw cycles. A slight precipitate may be present and can be dissolved by gently vortexing. This will not interfere with antibody performance.

Specificity/Sensitivity

DNA-PKcs (E6U3A) Rabbit Monoclonal Antibody (BSA and Azide Free) recognizes endogenous levels of total DNA-PKcs protein.

Source / Purification

Monoclonal antibody is produced by immunizing animals with a synthetic peptide corresponding to residues surrounding Pro608 of human DNA-PKcs protein.

Background

DNA-dependent protein kinase (DNA-PK) is an important factor in the repair of double-stranded breaks in DNA. Cells lacking DNA-PK or in which DNA-PK is inhibited fail to show proper nonhomologous end-joining (NHEJ) (1-7). DNA-PK is composed of two DNA-binding subunits (Ku70 and Ku86) and one 450 kDa catalytic subunit (DNA-PKcs) (8). It is thought that a heterodimer of Ku70 and Ku86 binds to double-stranded DNA broken ends before DNA-PKcs binds and is activated (1,9). Activated DNA-PKcs is a serine/threonine kinase that has been shown to phosphorylate a number of proteins in vitro, including p53, transcription factors, RNA polymerase, and Ku70/Ku86 (10,11). DNA-PKcs autophosphorylation at multiple sites, including Thr2609 and Ser2056, results in an inactivation of DNA-PK kinase activity and NHEJ ability (12,13). It has been demonstrated, however, that DNA-PK preferentially phosphorylates substrates before it autophosphorylates, suggesting that DNA-PK autophosphorylation may play a role in disassembly of the DNA repair machinery (14,15). Autophosphorylation at Thr2609 has also been shown to be required for DNA-PK-mediated double-strand break repair, and phosphorylated DNA-PK co-localizes with H2A.X and 53BP1 at sites of DNA damage (16). Phosphorylation at Ser2056 occurs in response to double-stranded DNA breaks and ATM activation (17).

Species Reactivity

Species reactivity is determined by testing in at least one approved application (e.g., western blot).

Applications Key

W: Western Blotting IHC-P: Immunohistochemistry (Paraffin) IF-IC: Immunofluorescence (Immunocytochemistry) FC-FP: Flow Cytometry (Fixed/Permeabilized)

Cross-Reactivity Key

H: Human

Trademarks and Patents

Cell Signaling Technology is a trademark of Cell Signaling Technology, Inc.

All other trademarks are the property of their respective owners. Visit cellsignal.com/trademarks for more information.

Limited Uses

Except as otherwise expressly agreed in a writing signed by a legally authorized representative of CST, the following terms apply to Products provided by CST, its affiliates or its distributors. Any Customer's terms and conditions that are in addition to, or different from, those contained herein, unless separately accepted in writing by a legally authorized representative of CST, are rejected and are of no force or effect.

Products are labeled with For Research Use Only or a similar labeling statement and have not been approved, cleared, or licensed by the FDA or other regulatory foreign or domestic entity, for any purpose. Customer shall not use any Product for any diagnostic or therapeutic purpose, or otherwise in any manner that conflicts with its labeling statement. Products sold or licensed by CST are provided for Customer as the end-user and solely for research and development uses. Any use of Product for diagnostic, prophylactic or therapeutic purposes, or any purchase of Product for resale (alone or as a component) or other commercial purpose, requires a separate license from CST. Customer shall (a) not sell, license, loan, donate or otherwise transfer or make available any Product to any third party, whether alone or in combination with other materials, or use the Products to manufacture any commercial products, (b) not copy, modify, reverse engineer, decompile, disassemble or otherwise attempt to discover the underlying structure or technology of the Products, or use the Products for the purpose of developing any products or services that would compete with CST products or services, (c) not alter or remove from the Products any trademarks, trade names, logos, patent or copyright notices or markings, (d) use the Products solely in accordance with CST Product Terms of Sale and any applicable documentation, and (e) comply with any license, terms of service or similar agreement with respect to any third party products or services used by Customer in connection with the Products.

Orders: 877-616-CELL (2355) [email protected] Support: 877-678-TECH (8324) [email protected] Web: cellsignal.com
For Research Use Only. Not for Use in Diagnostic Procedures.

Revision 1

Cell Signaling Technology Logo
Western blot analysis of extracts from M059K cells, which express normal levels of DNA-PKcs, and M059J cells, which lack DNA-PKcs, using DNA-PKcs (E6U3A) Rabbit mAb (upper) or α-Actinin (D6F6) XP® Rabbit mAb #6487 (lower). Data were generated using the standard formulation of this product.
Western Blotting Image 1: DNA-PKcs (E6U3A) Rabbit Monoclonal Antibody (BSA and Azide Free)
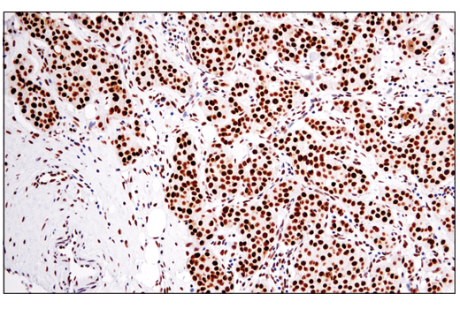
Immunohistochemical analysis of paraffin-embedded human ductal breast carcinoma using DNA-PKcs (E6U3A) Rabbit mAb. Data were generated using the standard formulation of this product.
Immunohistochemistry Image 1: DNA-PKcs (E6U3A) Rabbit Monoclonal Antibody (BSA and Azide Free)
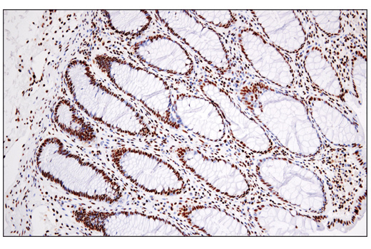
Immunohistochemical analysis of paraffin-embedded normal human colon using DNA-PKcs (E6U3A) Rabbit mAb. Data were generated using the standard formulation of this product.
Immunohistochemistry Image 2: DNA-PKcs (E6U3A) Rabbit Monoclonal Antibody (BSA and Azide Free)
Orders: 877-616-CELL (2355) [email protected] Support: 877-678-TECH (8324) [email protected] Web: cellsignal.com
For Research Use Only. Not for Use in Diagnostic Procedures.

Revision 1

Cell Signaling Technology Logo
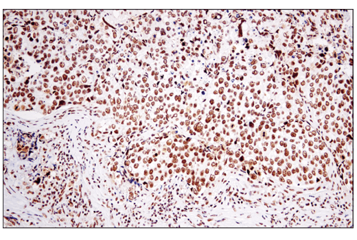
Immunohistochemical analysis of paraffin-embedded human renal cell carcinoma using DNA-PKcs (E6U3A) Rabbit mAb. Data were generated using the standard formulation of this product.
Immunohistochemistry Image 3: DNA-PKcs (E6U3A) Rabbit Monoclonal Antibody (BSA and Azide Free)
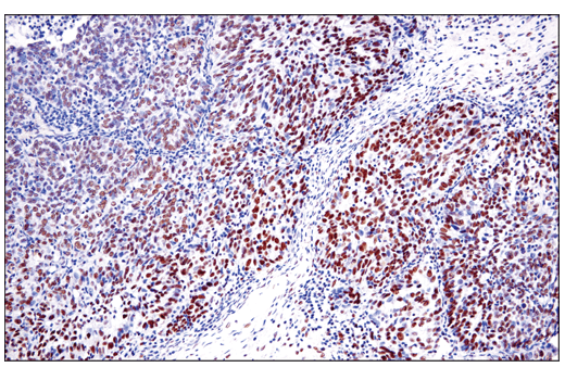
Immunohistochemical analysis of paraffin-embedded human lung squamous cell carcinoma using DNA-PKcs (E6U3A) Rabbit mAb. Data were generated using the standard formulation of this product.
Immunohistochemistry Image 4: DNA-PKcs (E6U3A) Rabbit Monoclonal Antibody (BSA and Azide Free)
Immunohistochemical analysis of paraffin-embedded human endometriod carcinoma using DNA-PKcs (E6U3A) Rabbit mAb. Data were generated using the standard formulation of this product.
Immunohistochemistry Image 5: DNA-PKcs (E6U3A) Rabbit Monoclonal Antibody (BSA and Azide Free)
Orders: 877-616-CELL (2355) [email protected] Support: 877-678-TECH (8324) [email protected] Web: cellsignal.com
For Research Use Only. Not for Use in Diagnostic Procedures.

Revision 1

Cell Signaling Technology Logo
Immunohistochemical analysis of paraffin-embedded M059K cell pellet (left, positive) or M059J cell pellet (right, negative) using DNA-PKcs (E6U3A) Rabbit mAb. Data were generated using the standard formulation of this product.
Immunohistochemistry Image 6: DNA-PKcs (E6U3A) Rabbit Monoclonal Antibody (BSA and Azide Free)
Confocal immunofluorescent analysis of M059K cells (left, positive) and M059J cells (right, negative) using DNA-PKcs (E6U3A) Rabbit mAb (green). Actin filaments were labeled with DyLight™ 554 Phalloidin #13054 (red). Data were generated using the standard formulation of this product.
Immunofluorescence Image 1: DNA-PKcs (E6U3A) Rabbit Monoclonal Antibody (BSA and Azide Free)
Flow cytometric analysis of M059J cells (blue) and M059K cells (green) using DNA-PKcs (E6U3A) Rabbit mAb (solid lines) or a concentration matched Rabbit (DA1E) mAb IgG XP® Isotype Control #3900 (dashed lines). Anti-rabbit IgG (H+L), F(ab')2 Fragment (Alexa Fluor® 488 Conjugate) #4412 was used as a secondary antibody. Data were generated using the standard formulation of this product.
Flow Cytometry Image 1: DNA-PKcs (E6U3A) Rabbit Monoclonal Antibody (BSA and Azide Free)
Orders: 877-616-CELL (2355) [email protected] Support: 877-678-TECH (8324) [email protected] Web: cellsignal.com
For Research Use Only. Not for Use in Diagnostic Procedures.