Revision 1

#74965

Store at -20C

CST Logo
Orders:

877-616-CELL (2355)

[email protected]

Support:

877-678-TECH (8324)

3 Trask Lane | Danvers | Massachusetts | 01923 | USA

For Research Use Only. Not for Use in Diagnostic Procedures.

Product Includes Product # Quantity Mol. Wt Isotype/Source
DNA-PKcs (E6U3A) Rabbit Monoclonal Antibody38168100 µl450 kDaRabbit IgG
Phospho-DNA-PKcs (Ser2056) (E9J4G) Rabbit Monoclonal Antibody68716100 µl450 kDaRabbit IgG

Please visit cellsignal.com for individual component applications, species cross-reactivity, dilutions, protocols, and additional product information.

UniProt ID:
#P78527

Entrez-Gene Id:
5591

Description

PhosphoPlus® Duets from Cell Signaling Technology (CST) provide a means to assess protein activation status. Each Duet contains an activation-state and total protein antibody to your target of interest. These antibodies have been selected from CST's product offering based upon superior performance in specified applications.

Storage

Supplied in 10 mM sodium HEPES (pH 7.5), 150 mM NaCl, 100 µg/ml BSA, 50% glycerol and less than 0.02% sodium azide. Store at –20°C. Do not aliquot the antibody.

Background

DNA-dependent protein kinase (DNA-PK) is an important factor in the repair of double-stranded breaks in DNA. Cells lacking DNA-PK or in which DNA-PK is inhibited fail to show proper nonhomologous end-joining (NHEJ) (1-7). DNA-PK is composed of two DNA-binding subunits (Ku70 and Ku86) and one 450 kDa catalytic subunit (DNA-PKcs) (8). It is thought that a heterodimer of Ku70 and Ku86 binds to double-stranded DNA broken ends before DNA-PKcs binds and is activated (1,9). Activated DNA-PKcs is a serine/threonine kinase that has been shown to phosphorylate a number of proteins in vitro, including p53, transcription factors, RNA polymerase, and Ku70/Ku86 (10,11). DNA-PKcs autophosphorylation at multiple sites, including Thr2609 and Ser2056, results in an inactivation of DNA-PK kinase activity and NHEJ ability (12,13). It has been demonstrated, however, that DNA-PK preferentially phosphorylates substrates before it autophosphorylates, suggesting that DNA-PK autophosphorylation may play a role in disassembly of the DNA repair machinery (14,15). Autophosphorylation at Thr2609 has also been shown to be required for DNA-PK-mediated double-strand break repair, and phosphorylated DNA-PK co-localizes with H2A.X and 53BP1 at sites of DNA damage (16). Phosphorylation at Ser2056 occurs in response to double-stranded DNA breaks and ATM activation (17).

Trademarks and Patents

Cell Signaling Technology is a trademark of Cell Signaling Technology, Inc.

PhosphoPlus is a registered trademark of Cell Signaling Technology, Inc.

All other trademarks are the property of their respective owners. Visit cellsignal.com/trademarks for more information.

Limited Uses

Except as otherwise expressly agreed in a writing signed by a legally authorized representative of CST, the following terms apply to Products provided by CST, its affiliates or its distributors. Any Customer's terms and conditions that are in addition to, or different from, those contained herein, unless separately accepted in writing by a legally authorized representative of CST, are rejected and are of no force or effect.

Products are labeled with For Research Use Only or a similar labeling statement and have not been approved, cleared, or licensed by the FDA or other regulatory foreign or domestic entity, for any purpose. Customer shall not use any Product for any diagnostic or therapeutic purpose, or otherwise in any manner that conflicts with its labeling statement. Products sold or licensed by CST are provided for Customer as the end-user and solely for research and development uses. Any use of Product for diagnostic, prophylactic or therapeutic purposes, or any purchase of Product for resale (alone or as a component) or other commercial purpose, requires a separate license from CST. Customer shall (a) not sell, license, loan, donate or otherwise transfer or make available any Product to any third party, whether alone or in combination with other materials, or use the Products to manufacture any commercial products, (b) not copy, modify, reverse engineer, decompile, disassemble or otherwise attempt to discover the underlying structure or technology of the Products, or use the Products for the purpose of developing any products or services that would compete with CST products or services, (c) not alter or remove from the Products any trademarks, trade names, logos, patent or copyright notices or markings, (d) use the Products solely in accordance with CST Product Terms of Sale and any applicable documentation, and (e) comply with any license, terms of service or similar agreement with respect to any third party products or services used by Customer in connection with the Products.

Orders: 877-616-CELL (2355) [email protected] Support: 877-678-TECH (8324) [email protected] Web: cellsignal.com
For Research Use Only. Not for Use in Diagnostic Procedures.

Revision 1

Cell Signaling Technology Logo
Western blot analysis of extracts from M059K cells, which express normal levels of DNA-PKcs, and M059J cells, which lack DNA-PKcs, using DNA-PKcs (E6U3A) Rabbit mAb (upper) or α-Actinin (D6F6) XP® Rabbit mAb #6487 (lower).
undefined Image 1: PhosphoPlus<sup>®</sup> DNA-PKcs (Ser2056) Antibody Duet
Western blot analysis of extracts from M059K (DNA-PKcs positive) and M059J (DNA-PKcs negative) cells, untreated (-), or treated with neocarzinostatin (0.5 µg/ml, 1 hr; +) to induce DNA double strand breaks, using Phospho-DNA-PKcs (Ser2056) (E9J4G) Rabbit mAb (upper), total DNA-PKcs (E6U3A) Rabbit mAb #38168 (middle), or α-Actinin (D6F6) XP® Rabbit mAb #6487 (lower).
undefined Image 2: PhosphoPlus<sup>®</sup> DNA-PKcs (Ser2056) Antibody Duet
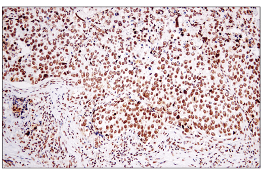
Immunohistochemical analysis of paraffin-embedded human ductal breast carcinoma using Phospho-DNA-PKcs (Ser2056) (E9J4G) Rabbit mAb.
undefined Image 3: PhosphoPlus<sup>®</sup> DNA-PKcs (Ser2056) Antibody Duet
Orders: 877-616-CELL (2355) [email protected] Support: 877-678-TECH (8324) [email protected] Web: cellsignal.com
For Research Use Only. Not for Use in Diagnostic Procedures.

Revision 1

Cell Signaling Technology Logo
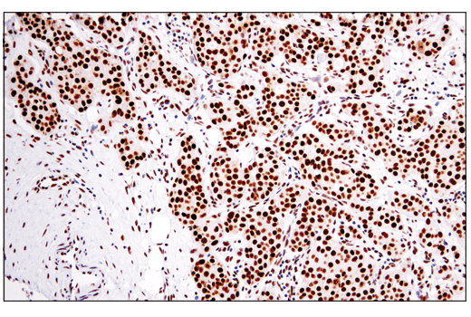
Immunohistochemical analysis of paraffin-embedded human ductal breast carcinoma using DNA-PKcs (E6U3A) Rabbit mAb.
undefined Image 4: PhosphoPlus<sup>®</sup> DNA-PKcs (Ser2056) Antibody Duet
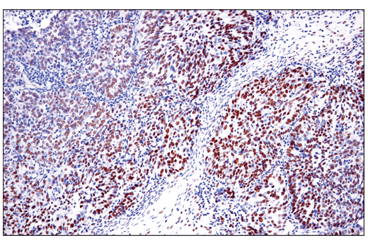
Immunohistochemical analysis of paraffin-embedded human ductal breast carcinoma using Phospho-DNA-PKcs (Ser2056) (E9J4G) Rabbit mAb.
undefined Image 5: PhosphoPlus<sup>®</sup> DNA-PKcs (Ser2056) Antibody Duet
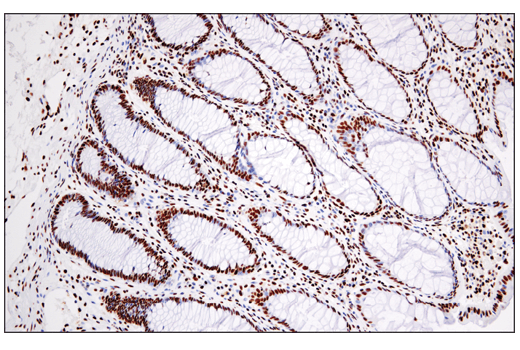
Immunohistochemical analysis of paraffin-embedded normal human colon using DNA-PKcs (E6U3A) Rabbit mAb.
undefined Image 6: PhosphoPlus<sup>®</sup> DNA-PKcs (Ser2056) Antibody Duet
Orders: 877-616-CELL (2355) [email protected] Support: 877-678-TECH (8324) [email protected] Web: cellsignal.com
For Research Use Only. Not for Use in Diagnostic Procedures.

Revision 1

Cell Signaling Technology Logo
Immunohistochemical analysis of paraffin-embedded human ovarian serous carcinoma using Phospho-DNA-PKcs (Ser2056) (E9J4G) Rabbit mAb.
undefined Image 7: PhosphoPlus<sup>®</sup> DNA-PKcs (Ser2056) Antibody Duet
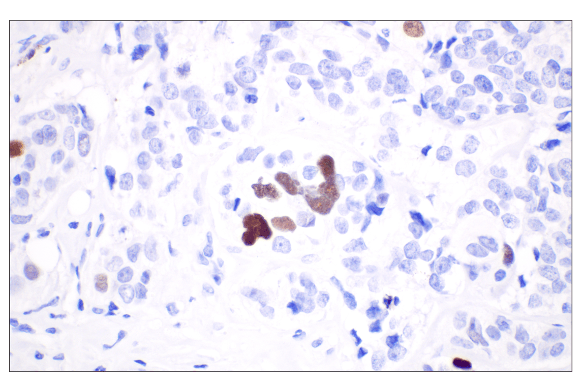
Immunohistochemical analysis of paraffin-embedded human renal cell carcinoma using DNA-PKcs (E6U3A) Rabbit mAb.
undefined Image 8: PhosphoPlus<sup>®</sup> DNA-PKcs (Ser2056) Antibody Duet
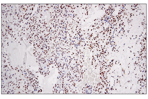
Immunohistochemical analysis of paraffin-embedded human lung squamous cell carcinoma using DNA-PKcs (E6U3A) Rabbit mAb.
undefined Image 9: PhosphoPlus<sup>®</sup> DNA-PKcs (Ser2056) Antibody Duet
Orders: 877-616-CELL (2355) [email protected] Support: 877-678-TECH (8324) [email protected] Web: cellsignal.com
For Research Use Only. Not for Use in Diagnostic Procedures.

Revision 1

Cell Signaling Technology Logo
Colon 209: Immunohistochemical analysis of paraffin-embedded human adenocarcinoma of the colon, untreated (left) or lambda phosphatase treated (right), using Phospho-DNA-PKcs (Ser2056) (E9J4G) Rabbit mAb.
undefined Image 10: PhosphoPlus<sup>®</sup> DNA-PKcs (Ser2056) Antibody Duet
Immunohistochemical analysis of paraffin-embedded human endometrioid carcinoma using DNA-PKcs (E6U3A) Rabbit mAb.
undefined Image 11: PhosphoPlus<sup>®</sup> DNA-PKcs (Ser2056) Antibody Duet
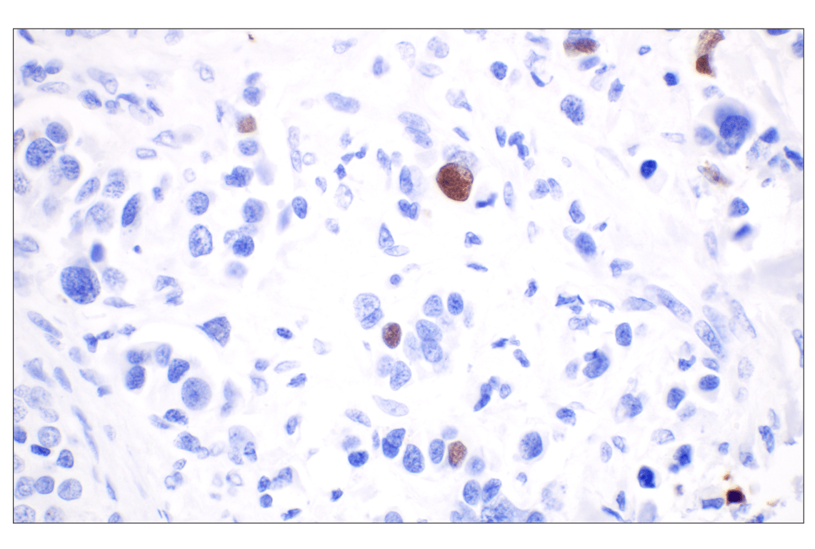
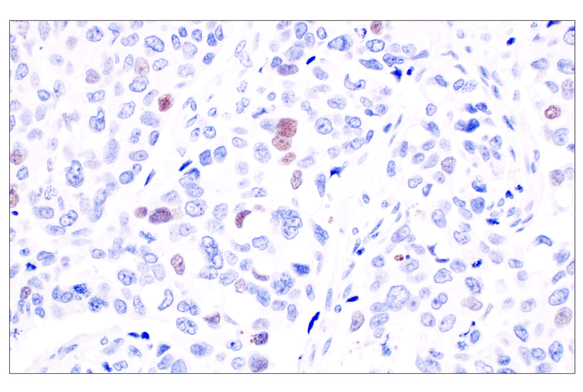
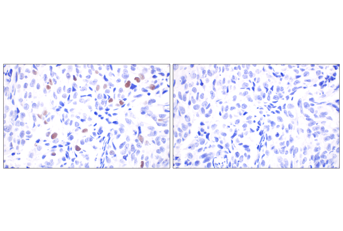
Immunohistochemical analysis of paraffin-embedded human infiltrating ductal carcinoma of the breast using Phospho-DNA-PKcs (Ser2056) (E9J4G) Rabbit mAb (left) compared to concentration-matched Rabbit (DA1E) mAb IgG XP® Isotype Control #3900 (right).
undefined Image 12: PhosphoPlus<sup>®</sup> DNA-PKcs (Ser2056) Antibody Duet
Orders: 877-616-CELL (2355) [email protected] Support: 877-678-TECH (8324) [email protected] Web: cellsignal.com
For Research Use Only. Not for Use in Diagnostic Procedures.

Revision 1

Cell Signaling Technology Logo
Immunohistochemical analysis of paraffin-embedded M059K cell pellet (left, positive) or M059J cell pellet (right, negative) using DNA-PKcs (E6U3A) Rabbit mAb.
undefined Image 13: PhosphoPlus<sup>®</sup> DNA-PKcs (Ser2056) Antibody Duet
Immunohistochemical analysis of paraffin-embedded HCT 116 cell pellets, untreated (left) or treated with Neocarzinoastatin (0.25 μM, 1 hr), (right), using Phospho-DNA-PKcs (Ser2056) (E9J4G) Rabbit mAb.
undefined Image 14: PhosphoPlus<sup>®</sup> DNA-PKcs (Ser2056) Antibody Duet
Confocal immunofluorescent analysis of M059K cells (left, positive) and M059J cells (right, negative) using DNA-PKcs (E6U3A) Rabbit mAb (green). Actin filaments were labeled with DyLight™ 554 Phalloidin #13054 (red).
undefined Image 15: PhosphoPlus<sup>®</sup> DNA-PKcs (Ser2056) Antibody Duet
Orders: 877-616-CELL (2355) [email protected] Support: 877-678-TECH (8324) [email protected] Web: cellsignal.com
For Research Use Only. Not for Use in Diagnostic Procedures.

Revision 1

Cell Signaling Technology Logo
Flow cytometric analysis of M059J cells (blue) and M059K cells (green) using DNA-PKcs (E6U3A) Rabbit mAb (solid lines) or a concentration matched Rabbit (DA1E) mAb IgG XP® Isotype Control #3900 (dashed lines). Anti-rabbit IgG (H+L), F(ab')2 Fragment (Alexa Fluor® 488 Conjugate) #4412 was used as a secondary antibody.
undefined Image 16: PhosphoPlus<sup>®</sup> DNA-PKcs (Ser2056) Antibody Duet
Orders: 877-616-CELL (2355) [email protected] Support: 877-678-TECH (8324) [email protected] Web: cellsignal.com
For Research Use Only. Not for Use in Diagnostic Procedures.