Revision 6

#66631

Store at -20C

CST Logo
Orders:

877-616-CELL (2355)

[email protected]

Support:

877-678-TECH (8324)

3 Trask Lane | Danvers | Massachusetts | 01923 | USA

For Research Use Only. Not for Use in Diagnostic Procedures.

Applications:
W, IHC-Bond, IHC-P

Reactivity:
H

Sensitivity:
Endogenous

MW (kDa):
70

Source/Isotype:
Rabbit IgG

UniProt ID:
#Q15762

Entrez-Gene Id:
10666

Product Usage Information

Application Dilution
Western Blotting 1:1000
IHC Leica Bond 1:50 - 1:200
Immunohistochemistry (Paraffin) 1:50 - 1:200

Storage

Supplied in 10 mM sodium HEPES (pH 7.5), 150 mM NaCl, 100 µg/ml BSA, 50% glycerol and less than 0.02% sodium azide. Store at –20°C. Do not aliquot the antibody.

For a carrier free (BSA and azide free) version of this product see product #66991.

Specificity/Sensitivity

DNAM-1/CD226 (E8L9G) Rabbit Monoclonal Antibody recognizes endogenous levels of total DNAM-1/CD226 protein.

Source / Purification

Monoclonal antibody is produced by immunizing animals with recombinant protein specific to the amino terminus of human DNAM-1/CD226 protein.

Background

DNAM-1/CD226 is a member of the immunoglobulin-like superfamily. It is expressed on T cells, natural killer (NK) cells, monocytes, and macrophages. It is a major activating receptor on NK cells. Engagement with its ligands Nectin-2 (CD112) and PVR (poliovirus receptor, also known as CD155) on the target cells leads to downstream activation of ERK, AKT, and PLCg2 signaling pathways that are crucial for NK activation and NK-mediated killing (1-4). LFA-1 physically associates with DNAM-1/CD226 and contributes to its signaling (5). Activating signal of DNAM-1/CD226 is counterbalanced by inhibitory receptors TIGIT and CD96, competing for the common ligands CD122 and PVR (6,7).

Species Reactivity

Species reactivity is determined by testing in at least one approved application (e.g., western blot).

Western Blot Buffer

IMPORTANT: For western blots, incubate membrane with diluted primary antibody in 5% w/v nonfat dry milk, 1X TBS, 0.1% Tween® 20 at 4°C with gentle shaking, overnight.

Applications Key

W: Western Blotting IHC-Bond: IHC Leica Bond IHC-P: Immunohistochemistry (Paraffin)

Cross-Reactivity Key

H: Human

Trademarks and Patents

Cell Signaling Technology is a trademark of Cell Signaling Technology, Inc.

SignalStain is a registered trademark of Cell Signaling Technology, Inc.

All other trademarks are the property of their respective owners. Visit cellsignal.com/trademarks for more information.

Limited Uses

Except as otherwise expressly agreed in a writing signed by a legally authorized representative of CST, the following terms apply to Products provided by CST, its affiliates or its distributors. Any Customer's terms and conditions that are in addition to, or different from, those contained herein, unless separately accepted in writing by a legally authorized representative of CST, are rejected and are of no force or effect.

Products are labeled with For Research Use Only or a similar labeling statement and have not been approved, cleared, or licensed by the FDA or other regulatory foreign or domestic entity, for any purpose. Customer shall not use any Product for any diagnostic or therapeutic purpose, or otherwise in any manner that conflicts with its labeling statement. Products sold or licensed by CST are provided for Customer as the end-user and solely for research and development uses. Any use of Product for diagnostic, prophylactic or therapeutic purposes, or any purchase of Product for resale (alone or as a component) or other commercial purpose, requires a separate license from CST. Customer shall (a) not sell, license, loan, donate or otherwise transfer or make available any Product to any third party, whether alone or in combination with other materials, or use the Products to manufacture any commercial products, (b) not copy, modify, reverse engineer, decompile, disassemble or otherwise attempt to discover the underlying structure or technology of the Products, or use the Products for the purpose of developing any products or services that would compete with CST products or services, (c) not alter or remove from the Products any trademarks, trade names, logos, patent or copyright notices or markings, (d) use the Products solely in accordance with CST Product Terms of Sale and any applicable documentation, and (e) comply with any license, terms of service or similar agreement with respect to any third party products or services used by Customer in connection with the Products.

Orders: 877-616-CELL (2355) [email protected] Support: 877-678-TECH (8324) [email protected] Web: cellsignal.com
For Research Use Only. Not for Use in Diagnostic Procedures.

Revision 6

Cell Signaling Technology Logo
Western blot analysis of extracts from various cell lines using DNAM-1/CD226 (E8L9G) XP® Rabbit mAb (upper) or β-Actin (D6A8) Rabbit mAb #8457 (lower).
Western Blotting Image 1: DNAM-1/CD226 (E8L9G) Rabbit Monoclonal Antibody
Immunohistochemical analysis of paraffin-embedded human non-small cell lung carcinoma using DNAM-1/CD226 (E8L9G) XP® Rabbit mAb performed on the Leica® BOND™ Rx.
Immunohistochemistry Image 1: DNAM-1/CD226 (E8L9G) Rabbit Monoclonal Antibody
Immunohistochemical analysis of paraffin-embedded 293T cell pellet, untransfected (left) or DNAM-1-transfected (right), using DNAM-1/CD226 (E8L9G) XP® Rabbit mAb.
Immunohistochemistry Image 1: DNAM-1/CD226 (E8L9G) Rabbit Monoclonal Antibody
Orders: 877-616-CELL (2355) [email protected] Support: 877-678-TECH (8324) [email protected] Web: cellsignal.com
For Research Use Only. Not for Use in Diagnostic Procedures.

Revision 6

Cell Signaling Technology Logo
Immunohistochemical analysis of paraffin-embedded human non-Hodgkin lymphoma (left) or ovarian serous carcinoma (right) using DNAM-1/CD226 (E8L9G) XP® Rabbit mAb (top) or DNAM-1/CD226 Rabbit mAb (bottom). These two antibodies detect independent, unique epitopes on human DNAM-1/CD226. The similar staining patterns obtained with both antibodies help to confirm the specificity of the staining.
Immunohistochemistry Image 2: DNAM-1/CD226 (E8L9G) Rabbit Monoclonal Antibody
Immunohistochemical analysis of paraffin-embedded TALL-1 cell pellet (left, positive), HEL cell pellet (middle, positive), or H820 cell pellet (right, negative) using DNAM-1/CD226 (E8L9G) XP® Rabbit mAb.
Immunohistochemistry Image 3: DNAM-1/CD226 (E8L9G) Rabbit Monoclonal Antibody
Immunohistochemical analysis of paraffin-embedded human colon carcinoma using DNAM-1/CD226 (E8L9G) XP® Rabbit mAb.
Immunohistochemistry Image 4: DNAM-1/CD226 (E8L9G) Rabbit Monoclonal Antibody
Orders: 877-616-CELL (2355) [email protected] Support: 877-678-TECH (8324) [email protected] Web: cellsignal.com
For Research Use Only. Not for Use in Diagnostic Procedures.

Revision 6

Cell Signaling Technology Logo
Immunohistochemical analysis of paraffin-embedded human spleen using DNAM-1/CD226 (E8L9G) XP® Rabbit mAb (left) compared to concentration-matched Rabbit (DA1E) mAb IgG XP® Isotype Control #3900 (right).
Immunohistochemistry Image 5: DNAM-1/CD226 (E8L9G) Rabbit Monoclonal Antibody
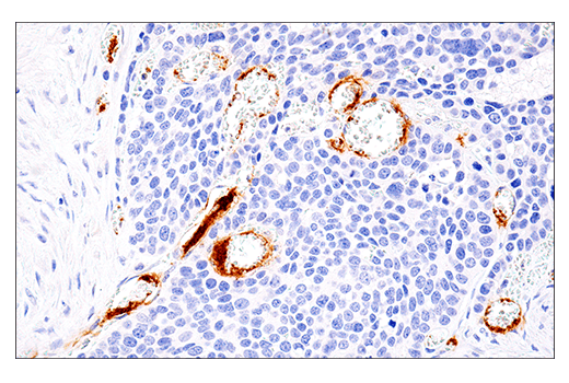
Immunohistochemical analysis of paraffin-embedded human prostate carcinoma using DNAM-1/CD226 (E8L9G) XP® Rabbit mAb.
Immunohistochemistry Image 6: DNAM-1/CD226 (E8L9G) Rabbit Monoclonal Antibody
Orders: 877-616-CELL (2355) [email protected] Support: 877-678-TECH (8324) [email protected] Web: cellsignal.com
For Research Use Only. Not for Use in Diagnostic Procedures.