Revision 8

#3598

Store at -20C

CST Logo
Orders:

877-616-CELL (2355)

[email protected]

Support:

877-678-TECH (8324)

3 Trask Lane | Danvers | Massachusetts | 01923 | USA

For Research Use Only. Not for Use in Diagnostic Procedures.

Applications:
W, IP, IHC-P

Reactivity:
H M R Mk B

Sensitivity:
Endogenous

MW (kDa):
130

Source/Isotype:
Rabbit IgG

UniProt ID:
#Q9Y6K1

Entrez-Gene Id:
1788

Product Usage Information

Application Dilution
Western Blotting 1:1000
Immunoprecipitation 1:50
Immunohistochemistry (Paraffin) 1:50

Storage

Supplied in 10 mM sodium HEPES (pH 7.5), 150 mM NaCl, 100 µg/ml BSA, 50% glycerol and less than 0.02% sodium azide. Store at –20°C. Do not aliquot the antibody.

For a carrier free (BSA and azide free) version of this product see product #58658.

Specificity/Sensitivity

DNMT3A (D23G1) Rabbit Monoclonal Antibody detects endogenous levels of total DNMT3A protein. This antibody does not detect DNMT3A isoform 2 (Q9Y6K1-2/ NP_715640.2 or NP_001307822.1). In addition, this antibody does not cross-react with DNMT3B or other DNMT proteins. Focal cytoplasmic staining was observed in some tissues tested, testis in particular.

Species predicted to react based on 100% sequence homology

Hamster, Dog, Pig, Horse

Source / Purification

Monoclonal antibody is produced by immunizing animals with a synthetic peptide surrounding Lys96 of human DNMT3A protein.

Background

Methylation of DNA at cytosine residues in mammalian cells is a heritable, epigenetic modification that is critical for proper regulation of gene expression, genomic imprinting and development (1,2). Three families of mammalian DNA methyltransferases have been identified: DNMT1, DNMT2, and DNMT3 (1,2). DNMT1 is constitutively expressed in proliferating cells and functions as a maintenance methyltransferase, transferring proper methylation patterns to newly synthesized DNA during replication. DNMT3A and DNMT3B are strongly expressed in embryonic stem cells with reduced expression in adult somatic tissues. DNMT3A and DNMT3B function as de novo methyltransferases that methylate previously unmethylated regions of DNA. DNMT2 is expressed at low levels in adult somatic tissues and its inactivation affects neither de novo nor maintenance DNA methylation. DNMT1, DNMT3A, and DNMT3B together form a protein complex that interacts with histone deacetylases (HDAC1, HDAC2, Sin3A), transcriptional repressor proteins (RB, TAZ-1), and heterochromatin proteins (HP1, SUV39H1) to maintain proper levels of DNA methylation and facilitate gene silencing (3-8). Improper DNA methylation contributes to diseased states such as cancer (1,2). Hypermethylation of promoter CpG islands within tumor suppressor genes correlates with gene silencing and the development of cancer. In addition, hypomethylation of bulk genomic DNA correlates with and may contribute to the onset of cancer. DNMT1, DNMT3A, and DNMT3B are overexpressed in many cancers, including acute and chronic myelogenous leukemias, in addition to colon, breast, and stomach carcinomas (9-12).

Species Reactivity

Species reactivity is determined by testing in at least one approved application (e.g., western blot).

Western Blot Buffer

IMPORTANT: For western blots, incubate membrane with diluted primary antibody in 5% w/v BSA, 1X TBS, 0.1% Tween® 20 at 4°C with gentle shaking, overnight.

Applications Key

W: Western Blotting IP: Immunoprecipitation IHC-P: Immunohistochemistry (Paraffin)

Cross-Reactivity Key

H: Human M: Mouse R: Rat Mk: Monkey B: Bovine

Trademarks and Patents

Cell Signaling Technology is a trademark of Cell Signaling Technology, Inc.

All other trademarks are the property of their respective owners. Visit cellsignal.com/trademarks for more information.

Limited Uses

Except as otherwise expressly agreed in a writing signed by a legally authorized representative of CST, the following terms apply to Products provided by CST, its affiliates or its distributors. Any Customer's terms and conditions that are in addition to, or different from, those contained herein, unless separately accepted in writing by a legally authorized representative of CST, are rejected and are of no force or effect.

Products are labeled with For Research Use Only or a similar labeling statement and have not been approved, cleared, or licensed by the FDA or other regulatory foreign or domestic entity, for any purpose. Customer shall not use any Product for any diagnostic or therapeutic purpose, or otherwise in any manner that conflicts with its labeling statement. Products sold or licensed by CST are provided for Customer as the end-user and solely for research and development uses. Any use of Product for diagnostic, prophylactic or therapeutic purposes, or any purchase of Product for resale (alone or as a component) or other commercial purpose, requires a separate license from CST. Customer shall (a) not sell, license, loan, donate or otherwise transfer or make available any Product to any third party, whether alone or in combination with other materials, or use the Products to manufacture any commercial products, (b) not copy, modify, reverse engineer, decompile, disassemble or otherwise attempt to discover the underlying structure or technology of the Products, or use the Products for the purpose of developing any products or services that would compete with CST products or services, (c) not alter or remove from the Products any trademarks, trade names, logos, patent or copyright notices or markings, (d) use the Products solely in accordance with CST Product Terms of Sale and any applicable documentation, and (e) comply with any license, terms of service or similar agreement with respect to any third party products or services used by Customer in connection with the Products.

Orders: 877-616-CELL (2355) [email protected] Support: 877-678-TECH (8324) [email protected] Web: cellsignal.com
For Research Use Only. Not for Use in Diagnostic Procedures.

Revision 8

Cell Signaling Technology Logo
Western blot analysis of extracts from 293, NIH/3T3 and H-4-II-E cells using DNMT3A (D23G1) Rabbit mAb.
Western Blotting Image 1: DNMT3A (D23G1) Rabbit Monoclonal Antibody
Immunoprecipitation of DNMT3A from HeLa cell extracts. Lane 1 is 10% input, lane 2 is Rabbit (DA1E) mAb IgG XP® Isotype Control #3900, and lane 3 is DNMT3A (D23G1) Rabbit mAb. Western blot was performed using DNMT3A (D23G1) Rabbit mAb.
Immunoprecipitation Image 1: DNMT3A (D23G1) Rabbit Monoclonal Antibody
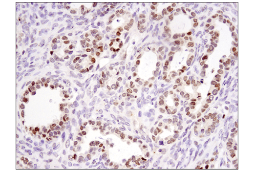
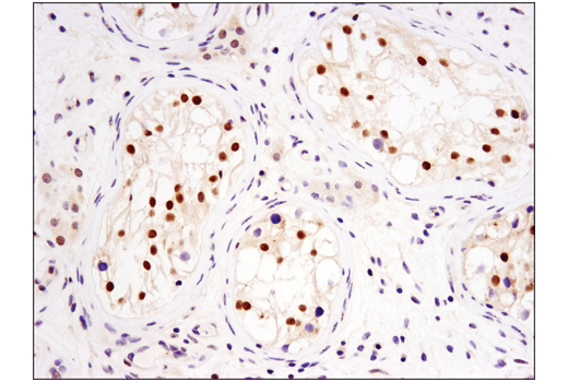
Immunohistochemical analysis of paraffin-embedded human serous papillary carcinoma of the ovary using DNMT3A (D23G1) Rabbit mAb.
Immunohistochemistry Image 1: DNMT3A (D23G1) Rabbit Monoclonal Antibody
Orders: 877-616-CELL (2355) [email protected] Support: 877-678-TECH (8324) [email protected] Web: cellsignal.com
For Research Use Only. Not for Use in Diagnostic Procedures.

Revision 8

Cell Signaling Technology Logo
Immunohistochemical analysis of paraffin-embedded SHSY5Y cell pellet (left, high), HCT116 cell pellet (middle, moderate) and T47D cell pellet (right, low) using DNMT3A (D23G1) Rabbit mAb.
Immunohistochemistry Image 2: DNMT3A (D23G1) Rabbit Monoclonal Antibody
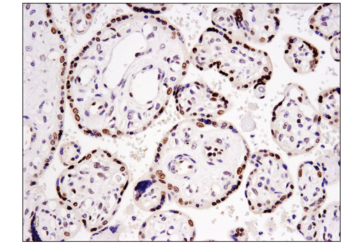
Immunohistochemical analysis of paraffin-embedded human placenta using DNMT3A (D23G1) Rabbit mAb.
Immunohistochemistry Image 3: DNMT3A (D23G1) Rabbit Monoclonal Antibody
Immunohistochemical analysis of paraffin-embedded human testis using DNMT3A (D23G1) Rabbit mAb.
Immunohistochemistry Image 4: DNMT3A (D23G1) Rabbit Monoclonal Antibody
Orders: 877-616-CELL (2355) [email protected] Support: 877-678-TECH (8324) [email protected] Web: cellsignal.com
For Research Use Only. Not for Use in Diagnostic Procedures.

Revision 8

Cell Signaling Technology Logo
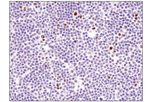
Immunohistochemical analysis of paraffin-embedded human non-Hodgkin lymphoma using DNMT3A (D23G1) Rabbit mAb.
Immunohistochemistry Image 5: DNMT3A (D23G1) Rabbit Monoclonal Antibody
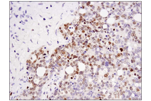
Immunohistochemical analysis of paraffin-embedded human ovarian clear cell carcinoma using DNMT3A (D23G1) Rabbit mAb.
Immunohistochemistry Image 6: DNMT3A (D23G1) Rabbit Monoclonal Antibody
Orders: 877-616-CELL (2355) [email protected] Support: 877-678-TECH (8324) [email protected] Web: cellsignal.com
For Research Use Only. Not for Use in Diagnostic Procedures.