Revision 4

#87223

Store at -20C

CST Logo
Orders:

877-616-CELL (2355)

[email protected]

Support:

877-678-TECH (8324)

3 Trask Lane | Danvers | Massachusetts | 01923 | USA

For Research Use Only. Not for Use in Diagnostic Procedures.

Applications:
W, IHC-P, IF-IC

Reactivity:
H

Sensitivity:
Endogenous

MW (kDa):
58

Source/Isotype:
Rabbit IgG

UniProt ID:
#P16444

Entrez-Gene Id:
1800

Product Usage Information

Application Dilution
Western Blotting 1:1000
Immunohistochemistry (Paraffin) 1:800 - 1:3200
Immunofluorescence (Immunocytochemistry) 1:400 - 1:1600

Storage

Supplied in 10 mM sodium HEPES (pH 7.5), 150 mM NaCl, 100 µg/ml BSA, 50% glycerol and less than 0.02% sodium azide. Store at –20°C. Do not aliquot the antibody.

For a carrier free (BSA and azide free) version of this product see product #40632.

Specificity/Sensitivity

DPEP-1/MDP (E4O6J) Rabbit Monoclonal Antibody recognizes endogenous levels of total DPEP-1/MDP protein. This antibody does not cross-react with either DPEP-2 or DPEP-3 protein.

Source / Purification

Monoclonal antibody is produced by immunizing animals with a synthetic peptide corresponding to residues near the amino terminus of human DPEP-1/MDP protein.

Background

Dipeptidase-1 (DPEP-1, RDP, MDP) is a GPI-linked glycoprotein expressed in the epithelial brush border of the kidney epithelium and exists as a disulfide-linked homodimer (1). Research studies have shown that the enzymatic activity of DPEP-1 is involved in kidney metabolism of glutathione, leukotrienes, and β-lactam antibiotics (2,3). Independent of its enzymatic activity, DPEP-1 has been implicated in pathologic inflammation by acting as an adhesion receptor for neutrophils on endothelial cells within the lung (4). DPEP-1 has also been implicated in human cancer and numerous studies have demonstrated that expression of this enzyme is upregulated in colorectal cancer and promotes metastasis (5-7).

Species Reactivity

Species reactivity is determined by testing in at least one approved application (e.g., western blot).

Western Blot Buffer

IMPORTANT: For western blots, incubate membrane with diluted primary antibody in 5% w/v nonfat dry milk, 1X TBS, 0.1% Tween® 20 at 4°C with gentle shaking, overnight.

Applications Key

W: Western Blotting IHC-P: Immunohistochemistry (Paraffin) IF-IC: Immunofluorescence (Immunocytochemistry)

Cross-Reactivity Key

H: Human

Trademarks and Patents

Cell Signaling Technology is a trademark of Cell Signaling Technology, Inc.

SignalStain is a registered trademark of Cell Signaling Technology, Inc.

All other trademarks are the property of their respective owners. Visit cellsignal.com/trademarks for more information.

Limited Uses

Except as otherwise expressly agreed in a writing signed by a legally authorized representative of CST, the following terms apply to Products provided by CST, its affiliates or its distributors. Any Customer's terms and conditions that are in addition to, or different from, those contained herein, unless separately accepted in writing by a legally authorized representative of CST, are rejected and are of no force or effect.

Products are labeled with For Research Use Only or a similar labeling statement and have not been approved, cleared, or licensed by the FDA or other regulatory foreign or domestic entity, for any purpose. Customer shall not use any Product for any diagnostic or therapeutic purpose, or otherwise in any manner that conflicts with its labeling statement. Products sold or licensed by CST are provided for Customer as the end-user and solely for research and development uses. Any use of Product for diagnostic, prophylactic or therapeutic purposes, or any purchase of Product for resale (alone or as a component) or other commercial purpose, requires a separate license from CST. Customer shall (a) not sell, license, loan, donate or otherwise transfer or make available any Product to any third party, whether alone or in combination with other materials, or use the Products to manufacture any commercial products, (b) not copy, modify, reverse engineer, decompile, disassemble or otherwise attempt to discover the underlying structure or technology of the Products, or use the Products for the purpose of developing any products or services that would compete with CST products or services, (c) not alter or remove from the Products any trademarks, trade names, logos, patent or copyright notices or markings, (d) use the Products solely in accordance with CST Product Terms of Sale and any applicable documentation, and (e) comply with any license, terms of service or similar agreement with respect to any third party products or services used by Customer in connection with the Products.

Orders: 877-616-CELL (2355) [email protected] Support: 877-678-TECH (8324) [email protected] Web: cellsignal.com
For Research Use Only. Not for Use in Diagnostic Procedures.

Revision 4

Cell Signaling Technology Logo
Western blot analysis of extracts from various cell lines using DPEP-1/MDP (E4O6J) XP® Rabbit mAb (upper) and β-Actin (D6A8) Rabbit mAb #8457 (lower). Absence of signal in extracts from SK-MEL-2 cells is predicted from RNAseq data and confirms the specificity of the antibody for DPEP-1/MDP protein.
Western Blotting Image 1: DPEP-1/MDP (E4O6J) Rabbit Monoclonal Antibody
Western blot analysis of extracts from HT55 cells, untreated (-) or treated with PNGase F (+), using DPEP-1/MDP (E4O6J) XP® Rabbit mAb (upper) and β-Actin (D6A8) Rabbit mAb #8457 (lower).
Western Blotting Image 2: DPEP-1/MDP (E4O6J) Rabbit Monoclonal Antibody
Western blot analysis of extracts from 293T cells, mock transfected (-) or transfected with constructs expressing Myc/DDK-tagged full-length human DPEP-1/MDP protein (hDPEP-1-Myc/DDK; +), Myc/DDK-tagged full-length human DPEP-2 protein (hDPEP-2-Myc/DDK; +), Myc/DDK-tagged full-length human DPEP-3 protein (hDPEP-3-Myc/DDK; +), using DPEP-1/MDP (E4O6J) XP® Rabbit mAb (upper), DYKDDDDK Tag Antibody #2368 (middle), and β-Actin (D6A8) Rabbit mAb #8457 (lower).
Western Blotting Image 3: DPEP-1/MDP (E4O6J) Rabbit Monoclonal Antibody
Orders: 877-616-CELL (2355) [email protected] Support: 877-678-TECH (8324) [email protected] Web: cellsignal.com
For Research Use Only. Not for Use in Diagnostic Procedures.

Revision 4

Cell Signaling Technology Logo
Immunohistochemical analysis of paraffin-embedded human colon carcinoma using DPEP-1/MDP (E4O6J) XP® Rabbit mAb.
Immunohistochemistry Image 1: DPEP-1/MDP (E4O6J) Rabbit Monoclonal Antibody
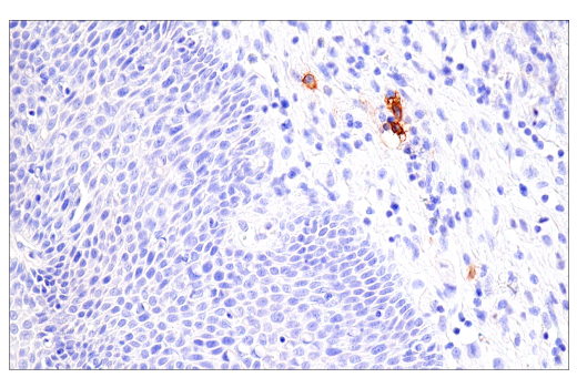
Immunohistochemical analysis of paraffin-embedded human urothelial carcinoma using DPEP-1/MDP (E4O6J) XP® Rabbit mAb.
Immunohistochemistry Image 2: DPEP-1/MDP (E4O6J) Rabbit Monoclonal Antibody
Immunohistochemical analysis of paraffin-embedded human esophageal carcinoma using DPEP-1/MDP (E4O6J) XP® Rabbit mAb.
Immunohistochemistry Image 3: DPEP-1/MDP (E4O6J) Rabbit Monoclonal Antibody
Orders: 877-616-CELL (2355) [email protected] Support: 877-678-TECH (8324) [email protected] Web: cellsignal.com
For Research Use Only. Not for Use in Diagnostic Procedures.

Revision 4

Cell Signaling Technology Logo
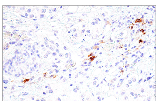
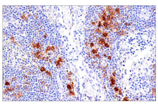
Immunohistochemical analysis of paraffin-embedded human lymph node using DPEP-1/MDP (E4O6J) XP® Rabbit mAb.
Immunohistochemistry Image 4: DPEP-1/MDP (E4O6J) Rabbit Monoclonal Antibody
Immunohistochemical analysis of paraffin-embedded normal human small intestine using DPEP-1/MDP (E4O6J) XP® Rabbit mAb.
Immunohistochemistry Image 5: DPEP-1/MDP (E4O6J) Rabbit Monoclonal Antibody
Immunohistochemical analysis of paraffin-embedded normal human pancreas using DPEP-1/MDP (E4O6J) XP® Rabbit mAb.
Immunohistochemistry Image 6: DPEP-1/MDP (E4O6J) Rabbit Monoclonal Antibody
Orders: 877-616-CELL (2355) [email protected] Support: 877-678-TECH (8324) [email protected] Web: cellsignal.com
For Research Use Only. Not for Use in Diagnostic Procedures.

Revision 4

Cell Signaling Technology Logo
Immunohistochemical analysis of paraffin-embedded normal human myometrium using DPEP-1/MDP (E4O6J) XP® Rabbit mAb.
Immunohistochemistry Image 7: DPEP-1/MDP (E4O6J) Rabbit Monoclonal Antibody
Immunohistochemical analysis of paraffin-embedded normal human testis (left), kidney (middle), or colon carcinoma (right) using DPEP-1/MDP (E4O6J) XP® Rabbit mAb (top) or a DPEP-1/MDP Rabbit mAb (bottom). These two antibodies detect unique, non-overlapping epitopes on human DPEP-1/MDP protein. The similar staining patterns obtained with both antibodies help to confirm the specificity of the staining.
Immunohistochemistry Image 8: DPEP-1/MDP (E4O6J) Rabbit Monoclonal Antibody
Immunohistochemical analysis of paraffin-embedded human endometrioid adenocarcinoma using DPEP-1/MDP (E4O6J) XP® Rabbit mAb (left) compared to concentration-matched Rabbit (DA1E) mAb IgG XP® Isotype Control #3900 (right).
Immunohistochemistry Image 9: DPEP-1/MDP (E4O6J) Rabbit Monoclonal Antibody
Orders: 877-616-CELL (2355) [email protected] Support: 877-678-TECH (8324) [email protected] Web: cellsignal.com
For Research Use Only. Not for Use in Diagnostic Procedures.

Revision 4

Cell Signaling Technology Logo
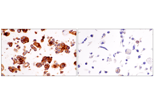
Immunohistochemical analysis of paraffin-embedded LS 180 cell pellet (left, high-expressing) or SW480 cell pellet (right, low-expressing) using DPEP-1/MDP (E4O6J) XP® Rabbit mAb.
Immunohistochemistry Image 10: DPEP-1/MDP (E4O6J) Rabbit Monoclonal Antibody
Confocal immunofluorescent analysis of DiFi cells (left, positive) and SK-MEL-2 cells (right, negative) using DPEP-1/MDP (E4O6J) XP® Rabbit mAb (green), β-Actin (8H10D10) Mouse mAb #3700 (red), and DAPI #4083 (blue).
Immunofluorescence Image 1: DPEP-1/MDP (E4O6J) Rabbit Monoclonal Antibody
Orders: 877-616-CELL (2355) [email protected] Support: 877-678-TECH (8324) [email protected] Web: cellsignal.com
For Research Use Only. Not for Use in Diagnostic Procedures.