Revision 1

#40134

Store at -20C

CST Logo
Orders:

877-616-CELL (2355)

[email protected]

Support:

877-678-TECH (8324)

3 Trask Lane | Danvers | Massachusetts | 01923 | USA

For Research Use Only. Not for Use in Diagnostic Procedures.

Applications:
IHC-P

Reactivity:
H

Sensitivity:
Endogenous

Source/Isotype:
Rabbit IgG

UniProt ID:
#P27487

Entrez-Gene Id:
1803

Product Usage Information

Application Dilution
Immunohistochemistry (Paraffin) 1:200

Storage

Supplied in 10 mM sodium HEPES (pH 7.5), 150 mM NaCl, 100 µg/ml BSA, 50% glycerol and less than 0.02% sodium azide. Store at –20°C. Do not aliquot the antibody.

Specificity/Sensitivity

DPP4/CD26 (D6D8K) Rabbit Monoclonal Antibody (IHC Formulated) recognizes endogenous levels of total DPP4 protein.

Source / Purification

Monoclonal antibody is produced by immunizing animals with a synthetic peptide corresponding to residues surrounding Leu491 of human DPP4 protein.

Background

DPP4 (CD26) is a type II transmembrane glycoprotein expressed ubiquitously in most tissues and different cell types (1,2). The protein has a short cytoplasmic domain, a transmembrane domain, a flexible stalk fragment, and an extracellular fragment (2). Both the catalytic peptide hydrolase domain and the beta-propeller ligand binding domain are located in the extracellular fragment (2). DPP4 is a multifunctional protein that exists in both a membrane-bound form as well as an extracellular soluble form. As a peptidase, it removes N-terminal dipeptides sequentially from proteins with a proline or alanine as the penultimate P1 amino acid (3,4). DPP4 has been shown to cleave a wide range of substrates, including GLP-1, BNP, substance P, etc. It is also involved in the regulation of related biological functions (5). In addition to its peptidase activity, DPP4 interacts with multiple important cell surface ligands, such as adenosine deaminase, fibronectin, and IGF2 receptor, to influence processes like T cell activation, cell migration, and proliferation (5). Several DPP4 inhibitors have been developed and their effects have been tested in the field of diabetes, cardiovascular disease, and tumor immunity (2,5,6).

This product detects a SARS-CoV-2-related target for research into the mechanisms of the Novel Coronavirus, which has caused the COVID-19 pandemic.

Species Reactivity

Species reactivity is determined by testing in at least one approved application (e.g., western blot).

Applications Key

IHC-P: Immunohistochemistry (Paraffin)

Cross-Reactivity Key

H: Human

Trademarks and Patents

Cell Signaling Technology is a trademark of Cell Signaling Technology, Inc.

SignalStain is a registered trademark of Cell Signaling Technology, Inc.

All other trademarks are the property of their respective owners. Visit cellsignal.com/trademarks for more information.

Limited Uses

Except as otherwise expressly agreed in a writing signed by a legally authorized representative of CST, the following terms apply to Products provided by CST, its affiliates or its distributors. Any Customer's terms and conditions that are in addition to, or different from, those contained herein, unless separately accepted in writing by a legally authorized representative of CST, are rejected and are of no force or effect.

Products are labeled with For Research Use Only or a similar labeling statement and have not been approved, cleared, or licensed by the FDA or other regulatory foreign or domestic entity, for any purpose. Customer shall not use any Product for any diagnostic or therapeutic purpose, or otherwise in any manner that conflicts with its labeling statement. Products sold or licensed by CST are provided for Customer as the end-user and solely for research and development uses. Any use of Product for diagnostic, prophylactic or therapeutic purposes, or any purchase of Product for resale (alone or as a component) or other commercial purpose, requires a separate license from CST. Customer shall (a) not sell, license, loan, donate or otherwise transfer or make available any Product to any third party, whether alone or in combination with other materials, or use the Products to manufacture any commercial products, (b) not copy, modify, reverse engineer, decompile, disassemble or otherwise attempt to discover the underlying structure or technology of the Products, or use the Products for the purpose of developing any products or services that would compete with CST products or services, (c) not alter or remove from the Products any trademarks, trade names, logos, patent or copyright notices or markings, (d) use the Products solely in accordance with CST Product Terms of Sale and any applicable documentation, and (e) comply with any license, terms of service or similar agreement with respect to any third party products or services used by Customer in connection with the Products.

Orders: 877-616-CELL (2355) [email protected] Support: 877-678-TECH (8324) [email protected] Web: cellsignal.com
For Research Use Only. Not for Use in Diagnostic Procedures.

Revision 1

Cell Signaling Technology Logo
Immunohistochemical analysis of paraffin-embedded Caco-2 (left) and HT-1080 (right) cell pellets using DPP4/CD26 (D6D8K) Rabbit mAb.
Immunohistochemistry Image 1: DPP4/CD26 (D6D8K) Rabbit Monoclonal Antibody (IHC Formulated)
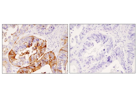
Immunohistochemical analysis of paraffin-embedded human colon carcinoma using DPP4/CD26 (D6D8K) Rabbit mAb in the presence of control peptide (left) or antigen-specific peptide (right).
Immunohistochemistry Image 2: DPP4/CD26 (D6D8K) Rabbit Monoclonal Antibody (IHC Formulated)
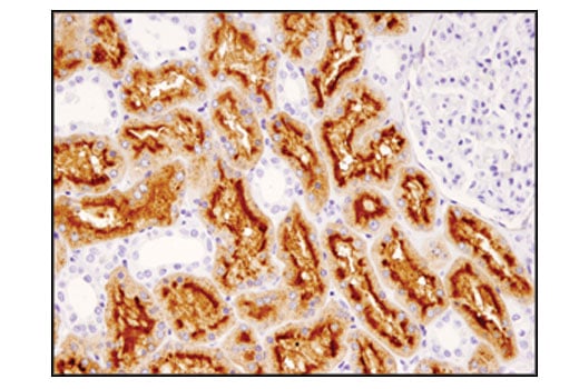
Immunohistochemical analysis of paraffin-embedded normal human kidney using DPP4/CD26 (D6D8K) Rabbit mAb.
Immunohistochemistry Image 3: DPP4/CD26 (D6D8K) Rabbit Monoclonal Antibody (IHC Formulated)
Orders: 877-616-CELL (2355) [email protected] Support: 877-678-TECH (8324) [email protected] Web: cellsignal.com
For Research Use Only. Not for Use in Diagnostic Procedures.

Revision 1

Cell Signaling Technology Logo
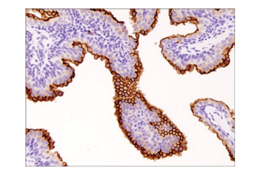
Immunohistochemical analysis of paraffin-embedded human prostate carcinoma using DPP4/CD26 (D6D8K) Rabbit mAb.
Immunohistochemistry Image 4: DPP4/CD26 (D6D8K) Rabbit Monoclonal Antibody (IHC Formulated)
Orders: 877-616-CELL (2355) [email protected] Support: 877-678-TECH (8324) [email protected] Web: cellsignal.com
For Research Use Only. Not for Use in Diagnostic Procedures.