Revision 6

#48453

Store at -20C

CST Logo
Orders:

877-616-CELL (2355)

[email protected]

Support:

877-678-TECH (8324)

3 Trask Lane | Danvers | Massachusetts | 01923 | USA

For Research Use Only. Not for Use in Diagnostic Procedures.

Applications:
W, W-S, IP, IHC-P, IF-F, IF-IC

Reactivity:
H M R

Sensitivity:
Endogenous

MW (kDa):
170

Source/Isotype:
Mouse IgG1

UniProt ID:
#Q15075

Entrez-Gene Id:
8411

Product Usage Information

Application Dilution
Western Blotting 1:1000
Simple Western™ 1:50 - 1:250
Immunoprecipitation 1:50
Immunohistochemistry (Paraffin) 1:400 - 1:1600
Immunofluorescence (Frozen) 1:50 - 1:200
Immunofluorescence (Immunocytochemistry) 1:50 - 1:200

Storage

Supplied in 10 mM sodium HEPES (pH 7.5), 150 mM NaCl, 100 µg/ml BSA, 50% glycerol and less than 0.02% sodium azide. Store at –20°C. Do not aliquot the antibody.

Specificity/Sensitivity

EEA1 (E9Q6G) Mouse Monoclonal Antibody recognizes endogenous levels of total EEA1 protein.

Source / Purification

Monoclonal antibody is produced by immunizing animals with a synthetic peptide corresponding to residues surrounding Ser70 of human EEA1 protein.

Background

EEA1 is an early endosomal marker and a Rab5 effector protein essential for early endosomal membrane fusion and trafficking (1-2). The carboxy terminus of EEA1 contains a FYVE domain which binds to phosphatidylinositol-3-phosphate (PtdIns(3)P), targeting EEA1 to early endosomes (3). The stable association of EEA1 with the endosomal membrane is regulated by PI3 kinase, Rab5 and calcium/calmodulin (4-6). Once on the membrane, EEA1 interacts with Rab5, NSF and syntaxin 13 to promote early endosomal membrane docking and fusion (7).

Species Reactivity

Species reactivity is determined by testing in at least one approved application (e.g., western blot).

Western Blot Buffer

IMPORTANT: For western blots, incubate membrane with diluted primary antibody in 5% w/v nonfat dry milk, 1X TBS, 0.1% Tween® 20 at 4°C with gentle shaking, overnight.

Applications Key

W: Western Blotting W-S: Simple Western™ IP: Immunoprecipitation IHC-P: Immunohistochemistry (Paraffin) IF-F: Immunofluorescence (Frozen) IF-IC: Immunofluorescence (Immunocytochemistry)

Cross-Reactivity Key

H: Human M: Mouse R: Rat

Trademarks and Patents

Cell Signaling Technology is a trademark of Cell Signaling Technology, Inc.

All other trademarks are the property of their respective owners. Visit cellsignal.com/trademarks for more information.

Limited Uses

Except as otherwise expressly agreed in a writing signed by a legally authorized representative of CST, the following terms apply to Products provided by CST, its affiliates or its distributors. Any Customer's terms and conditions that are in addition to, or different from, those contained herein, unless separately accepted in writing by a legally authorized representative of CST, are rejected and are of no force or effect.

Products are labeled with For Research Use Only or a similar labeling statement and have not been approved, cleared, or licensed by the FDA or other regulatory foreign or domestic entity, for any purpose. Customer shall not use any Product for any diagnostic or therapeutic purpose, or otherwise in any manner that conflicts with its labeling statement. Products sold or licensed by CST are provided for Customer as the end-user and solely for research and development uses. Any use of Product for diagnostic, prophylactic or therapeutic purposes, or any purchase of Product for resale (alone or as a component) or other commercial purpose, requires a separate license from CST. Customer shall (a) not sell, license, loan, donate or otherwise transfer or make available any Product to any third party, whether alone or in combination with other materials, or use the Products to manufacture any commercial products, (b) not copy, modify, reverse engineer, decompile, disassemble or otherwise attempt to discover the underlying structure or technology of the Products, or use the Products for the purpose of developing any products or services that would compete with CST products or services, (c) not alter or remove from the Products any trademarks, trade names, logos, patent or copyright notices or markings, (d) use the Products solely in accordance with CST Product Terms of Sale and any applicable documentation, and (e) comply with any license, terms of service or similar agreement with respect to any third party products or services used by Customer in connection with the Products.

Orders: 877-616-CELL (2355) [email protected] Support: 877-678-TECH (8324) [email protected] Web: cellsignal.com
For Research Use Only. Not for Use in Diagnostic Procedures.

Revision 6

Cell Signaling Technology Logo
Western blot analysis of extracts from T-47D, HeLa, and NIH/3T3 cells using EEA1 (E9Q6G) Mouse mAb (upper) and β-Actin (D6A8) Rabbit mAb #8457 (lower).
Western Blotting Image 1: EEA1 (E9Q6G) Mouse Monoclonal Antibody
Simple WesternTM analysis of lysates (0.1 mg/ml) from HeLa cells using EEA1 (E9Q6G) Mouse mAb #48453. The virtual lane view (left) shows the target band (as indicated) at 1:50 and 1:250 dilutions of primary antibody. The corresponding electropherogram view (right) plots chemiluminescence by molecular weight along the capillary at 1:50 (blue line) and 1:250 (green line) dilutions of primary antibody. This experiment was performed under reducing conditions on the JessTM Simple Western instrument from ProteinSimple, a BioTechne brand, using the 66-440kDa.
Western Blotting Image 1: EEA1 (E9Q6G) Mouse Monoclonal Antibody
Immunoprecipitation of EEA1 protein from T-47D cell extracts. Lane 1 is 10% input, lane 2 is Mouse (G3A1) mAb IgG1 Isotype Control #5415, and lane 3 is EEA1 (E9Q6G) Mouse mAb. Western blot analysis was performed using EEA1 (E9Q6G) Mouse mAb.
Immunoprecipitation Image 1: EEA1 (E9Q6G) Mouse Monoclonal Antibody
Orders: 877-616-CELL (2355) [email protected] Support: 877-678-TECH (8324) [email protected] Web: cellsignal.com
For Research Use Only. Not for Use in Diagnostic Procedures.

Revision 6

Cell Signaling Technology Logo
Immunohistochemical analysis of paraffin-embedded human infiltrating ductal carcinoma of the breast using EEA1 (E9Q6G) Mouse mAb.
Immunohistochemistry Image 1: EEA1 (E9Q6G) Mouse Monoclonal Antibody
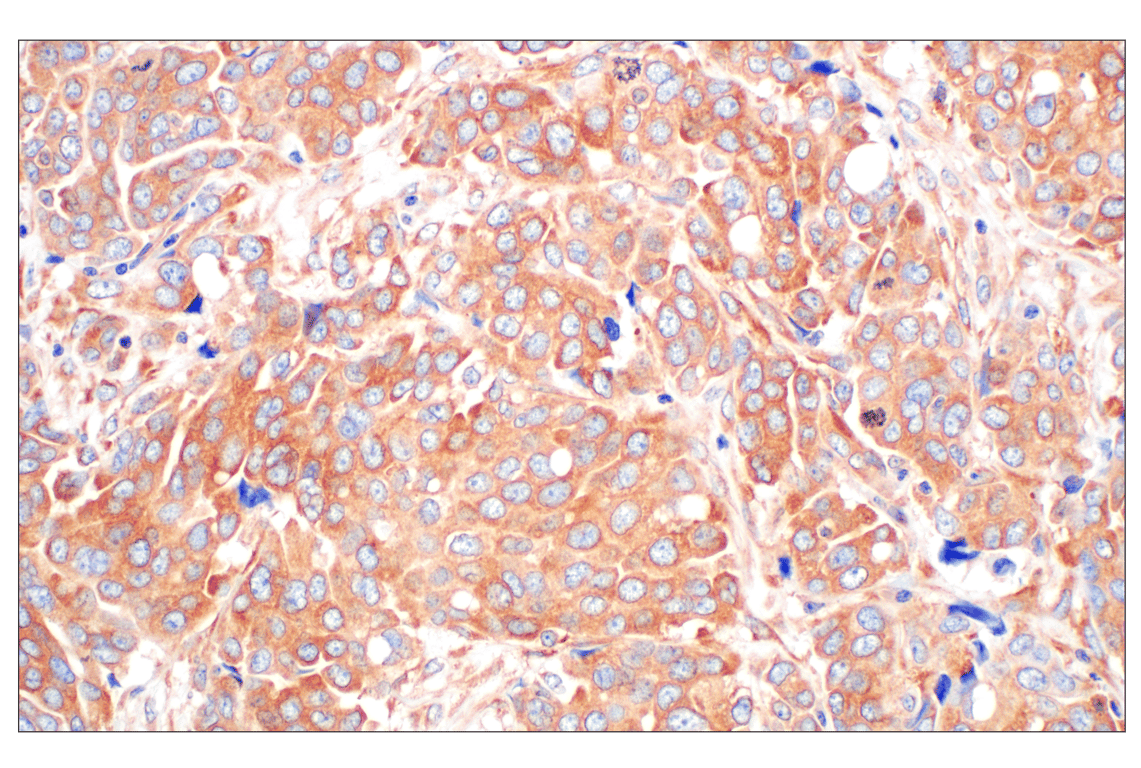
Immunohistochemical analysis of paraffin-embedded human serous papillary carcinoma of the ovary using EEA1 (E9Q6G) Mouse mAb.
Immunohistochemistry Image 2: EEA1 (E9Q6G) Mouse Monoclonal Antibody
Immunohistochemical analysis of paraffin-embedded human non-Hodgkin lymphoma using EEA1 (E9Q6G) Mouse mAb.
Immunohistochemistry Image 3: EEA1 (E9Q6G) Mouse Monoclonal Antibody
Orders: 877-616-CELL (2355) [email protected] Support: 877-678-TECH (8324) [email protected] Web: cellsignal.com
For Research Use Only. Not for Use in Diagnostic Procedures.

Revision 6

Cell Signaling Technology Logo
Immunohistochemical analysis of paraffin-embedded human renal cell carcinoma using EEA1 (E9Q6G) Mouse mAb.
Immunohistochemistry Image 4: EEA1 (E9Q6G) Mouse Monoclonal Antibody
Immunohistochemical analysis of paraffin-embedded human endometrioid adenocarcinoma using EEA1 (E9Q6G) Mouse mAb.
Immunohistochemistry Image 5: EEA1 (E9Q6G) Mouse Monoclonal Antibody
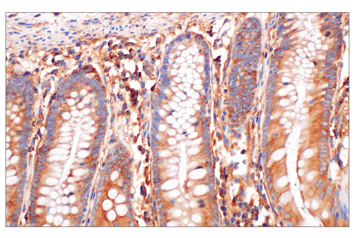
Immunohistochemical analysis of paraffin-embedded normal human colon using EEA1 (E9Q6G) Mouse mAb.
Immunohistochemistry Image 6: EEA1 (E9Q6G) Mouse Monoclonal Antibody
Orders: 877-616-CELL (2355) [email protected] Support: 877-678-TECH (8324) [email protected] Web: cellsignal.com
For Research Use Only. Not for Use in Diagnostic Procedures.

Revision 6

Cell Signaling Technology Logo
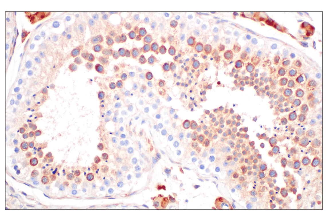
Immunohistochemical analysis of paraffin-embedded normal human testis using EEA1 (E9Q6G) Mouse mAb.
Immunohistochemistry Image 7: EEA1 (E9Q6G) Mouse Monoclonal Antibody
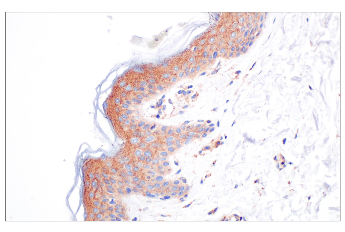
Immunohistochemical analysis of paraffin-embedded normal human skin using EEA1 (E9Q6G) Mouse mAb.
Immunohistochemistry Image 8: EEA1 (E9Q6G) Mouse Monoclonal Antibody
Immunohistochemical analysis of paraffin-embedded normal human esophagus using EEA1 (E9Q6G) Mouse mAb.
Immunohistochemistry Image 9: EEA1 (E9Q6G) Mouse Monoclonal Antibody
Orders: 877-616-CELL (2355) [email protected] Support: 877-678-TECH (8324) [email protected] Web: cellsignal.com
For Research Use Only. Not for Use in Diagnostic Procedures.

Revision 6

Cell Signaling Technology Logo
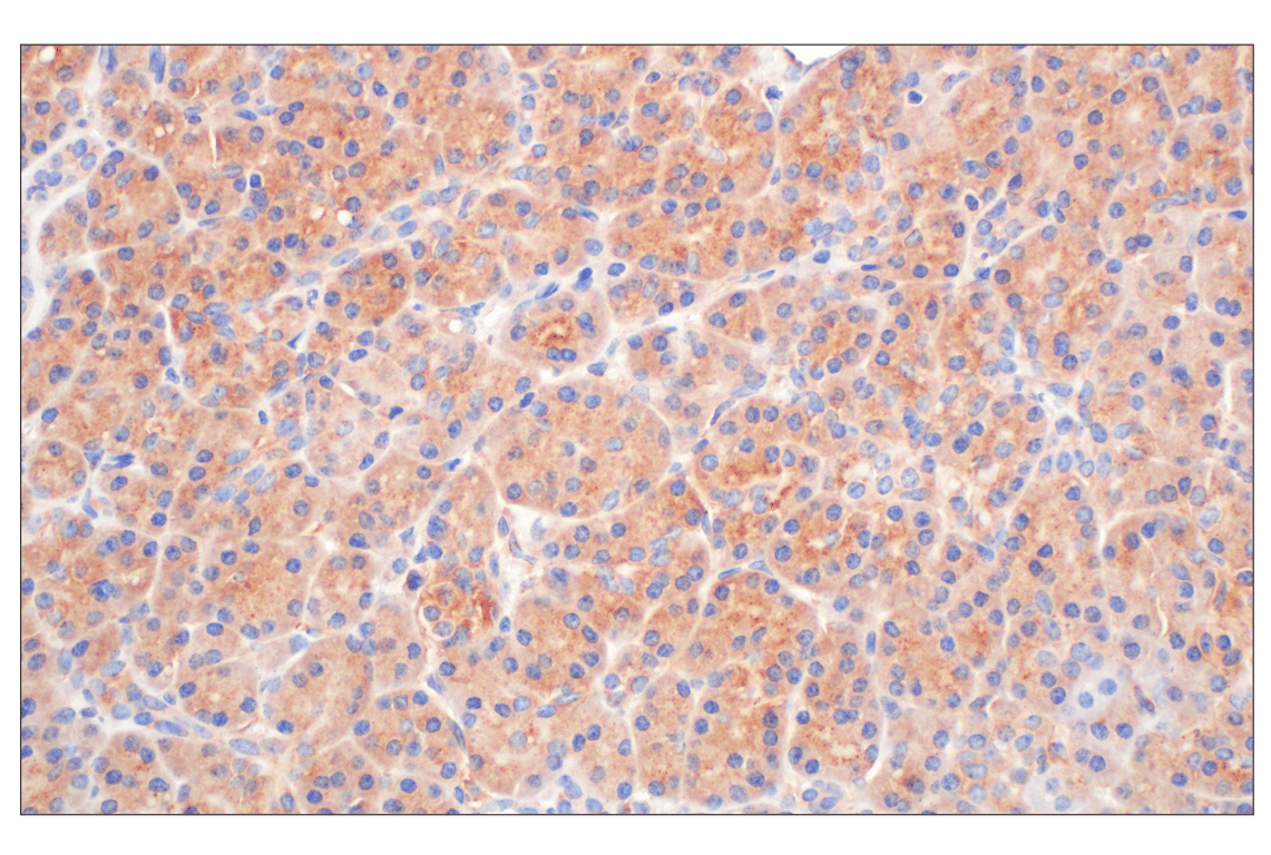
Immunohistochemical analysis of paraffin-embedded normal human pancreas using EEA1 (E9Q6G) Mouse mAb.
Immunohistochemistry Image 10: EEA1 (E9Q6G) Mouse Monoclonal Antibody
Immunohistochemical analysis of various paraffin-embedded mouse tissues: brain (left), pancreas (middle) and testis (right) using EEA1 (E9Q6G) Mouse mAb (top) or no primary antibody (bottom).
Immunohistochemistry Image 11: EEA1 (E9Q6G) Mouse Monoclonal Antibody
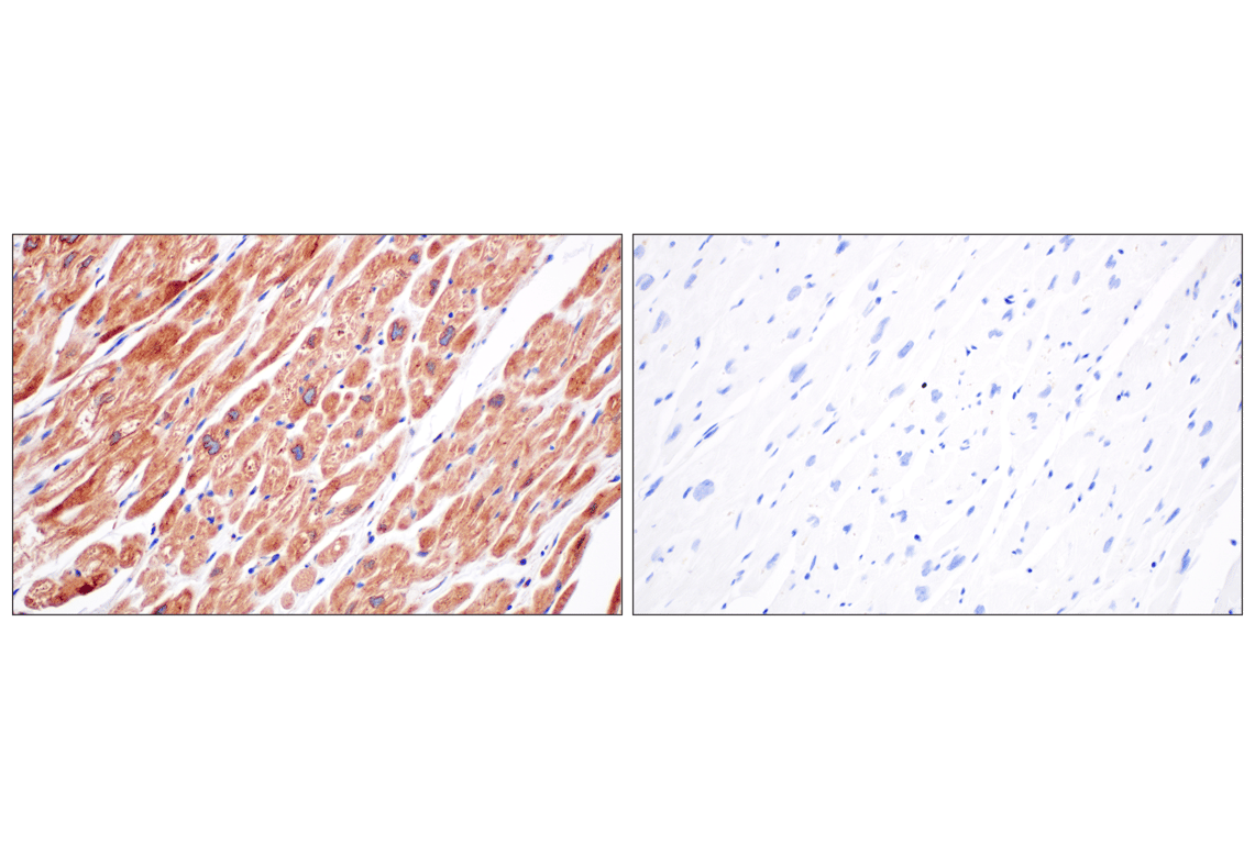
Immunohistochemical analysis of paraffin-embedded normal human heart using EEA1 (E9Q6G) Mouse mAb (left) compared to concentration-matched Mouse (G3A1) mAb IgG1 Isotype Control #5415 (right).
Immunohistochemistry Image 12: EEA1 (E9Q6G) Mouse Monoclonal Antibody
Orders: 877-616-CELL (2355) [email protected] Support: 877-678-TECH (8324) [email protected] Web: cellsignal.com
For Research Use Only. Not for Use in Diagnostic Procedures.

Revision 6

Cell Signaling Technology Logo
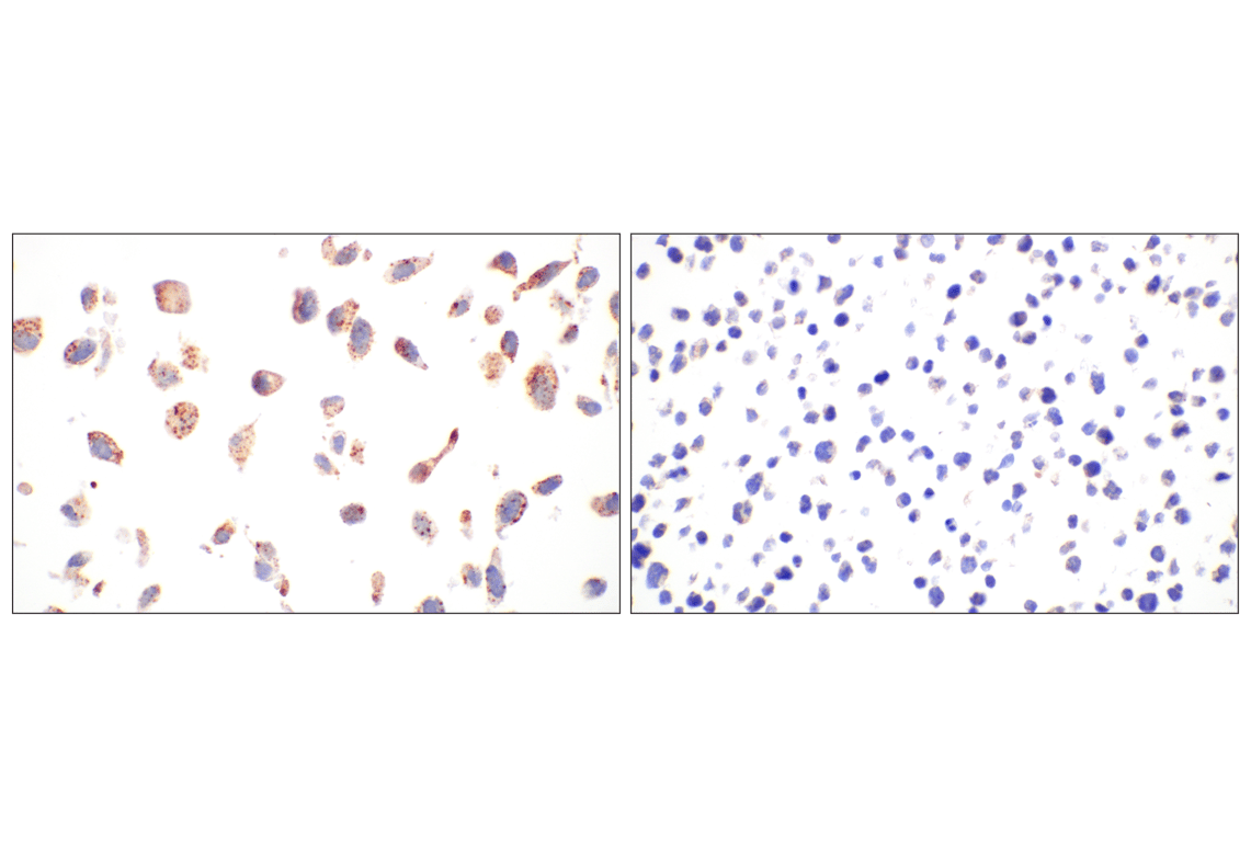
Immunohistochemical analysis of paraffin-embedded U-118 MG cell pellet (left, high-expressing) or Ri-1 cell pellet (right, low-expressing) using EEA1 (E9Q6G) Mouse mAb.
Immunohistochemistry Image 13: EEA1 (E9Q6G) Mouse Monoclonal Antibody
Confocal immunofluorescent analysis of fixed frozen mouse thalamus, labeled with EEA1 (E9Q6G) Mouse mAb #48453 (left, green) and co-labeled with GFAP (E4L7M) XP® Rabbit mAb #80788 (right, red) and DAPI #4083 (right, blue).
Immunofluorescence Image 1: EEA1 (E9Q6G) Mouse Monoclonal Antibody
Confocal immunofluorescent analysis of fixed frozen mouse hippocampus, labeled with EEA1 (E9Q6G) Mouse mAb #48453 (left, green) and co-labeled with GFAP (E4L7M) XP® Rabbit mAb #80788 (right, red) and DAPI #4083 (right, blue).
Immunofluorescence Image 2: EEA1 (E9Q6G) Mouse Monoclonal Antibody
Orders: 877-616-CELL (2355) [email protected] Support: 877-678-TECH (8324) [email protected] Web: cellsignal.com
For Research Use Only. Not for Use in Diagnostic Procedures.

Revision 6

Cell Signaling Technology Logo
Confocal immunofluorescent analysis of T-47D cells (left) or NIH/3T3 cells (right), using EEA1 (E9Q6G) Mouse mAb (green). Actin filaments were labeled with DyLight™ 554 Phalloidin #13054 (red). Samples were mounted in ProLong® Gold Antifade Reagent with DAPI #8961 (blue).
Immunofluorescence Image 1: EEA1 (E9Q6G) Mouse Monoclonal Antibody
Orders: 877-616-CELL (2355) [email protected] Support: 877-678-TECH (8324) [email protected] Web: cellsignal.com
For Research Use Only. Not for Use in Diagnostic Procedures.