Revision 13

#85322

Store at -20C

CST Logo
Orders:

877-616-CELL (2355)

[email protected]

Support:

877-678-TECH (8324)

3 Trask Lane | Danvers | Massachusetts | 01923 | USA

For Research Use Only. Not for Use in Diagnostic Procedures.

Applications:
W, W-S, IP, IHC-P, IF-IC, FC-FP, ChIP, ChIP-seq, C&R, C&T, eCLIP

Reactivity:
H M R Mk

Sensitivity:
Endogenous

MW (kDa):
50-70

Source/Isotype:
Rabbit IgG

UniProt ID:
#O75530

Entrez-Gene Id:
8726

Product Usage Information

For optimal ChIP and ChIP-seq results, use 5 μl of antibody and 10 μg of chromatin (approximately 4 x 106 cells) per IP. This antibody has been validated using SimpleChIP® Enzymatic Chromatin IP Kits.

The CUT&RUN dilution was determined using CUT&RUN Assay Kit #86652.

The CUT&Tag dilution was determined using CUT&Tag Assay Kit #77552.

Application Dilution
Western Blotting 1:1000
Simple Western™ 1:10 - 1:50
Immunoprecipitation 1:50
Immunohistochemistry (Paraffin) 1:50 - 1:200
Immunofluorescence (Immunocytochemistry) 1:50 - 1:200
Flow Cytometry (Fixed/Permeabilized) 1:50 - 1:200
Chromatin IP 1:100
Chromatin IP-seq 1:100
CUT&RUN 1:100
CUT&Tag 1:100
eCLIP 1:200
For more information about the RBP-eCLIP service please visit Eclipsebio.

Storage

Supplied in 10 mM sodium HEPES (pH 7.5), 150 mM NaCl, 100 µg/ml BSA, 50% glycerol and less than 0.02% sodium azide. Store at –20°C. Do not aliquot the antibody.

For a carrier free (BSA and azide free) version of this product see product #53069.

Specificity/Sensitivity

EED (E4L6E) Rabbit Monoclonal Antibody recognizes endogenous levels of total EED protein.

Species predicted to react based on 100% sequence homology

Bovine, Pig

Source / Purification

Monoclonal antibody is produced by immunizing animals with a synthetic peptide corresponding to residues near the amino terminus of human EED protein.

Background

The polycomb group (PcG) proteins contribute to the maintenance of cell identity, stem cell self-renewal, cell cycle regulation and oncogenesis by maintaining the silenced state of genes that promote cell lineage specification, cell death and cell-cycle arrest (1-4). PcG proteins exist in two complexes that cooperate to maintain long-term gene silencing through epigenetic chromatin modifications. The first complex, EED-EZH2, is recruited to genes by DNA-binding transcription factors and methylates histone H3 on Lys27. Methylation of Lys27 facilitates the recruitment of the second complex, PRC1, which ubiquitinylates histone H2A on Lys119 (5). Embryonic ectoderm development protein (EED) is a component of the PRC2 complex, which together with Ezh2 and SUZ12 is absolutely required for histone methyl-transferase activity (6). EED, SUZ12 and EZH2 are overexpressed in various types of cancer, including tumors of the colon, breast, prostate and ovary (7-9).

Species Reactivity

Species reactivity is determined by testing in at least one approved application (e.g., western blot).

Western Blot Buffer

IMPORTANT: For western blots, incubate membrane with diluted primary antibody in 5% w/v BSA, 1X TBS, 0.1% Tween® 20 at 4°C with gentle shaking, overnight.

Applications Key

W: Western Blotting W-S: Simple Western™ IP: Immunoprecipitation IHC-P: Immunohistochemistry (Paraffin) IF-IC: Immunofluorescence (Immunocytochemistry) FC-FP: Flow Cytometry (Fixed/Permeabilized) ChIP: Chromatin IP ChIP-seq: Chromatin IP-seq C&R: CUT&RUN C&T: CUT&Tag eCLIP: eCLIP

Cross-Reactivity Key

H: Human M: Mouse R: Rat Mk: Monkey

Trademarks and Patents

Cell Signaling Technology is a trademark of Cell Signaling Technology, Inc.

Alexa Fluor is a registered trademark of Life Technologies Corporation.

All other trademarks are the property of their respective owners. Visit cellsignal.com/trademarks for more information.

Limited Uses

Except as otherwise expressly agreed in a writing signed by a legally authorized representative of CST, the following terms apply to Products provided by CST, its affiliates or its distributors. Any Customer's terms and conditions that are in addition to, or different from, those contained herein, unless separately accepted in writing by a legally authorized representative of CST, are rejected and are of no force or effect.

Products are labeled with For Research Use Only or a similar labeling statement and have not been approved, cleared, or licensed by the FDA or other regulatory foreign or domestic entity, for any purpose. Customer shall not use any Product for any diagnostic or therapeutic purpose, or otherwise in any manner that conflicts with its labeling statement. Products sold or licensed by CST are provided for Customer as the end-user and solely for research and development uses. Any use of Product for diagnostic, prophylactic or therapeutic purposes, or any purchase of Product for resale (alone or as a component) or other commercial purpose, requires a separate license from CST. Customer shall (a) not sell, license, loan, donate or otherwise transfer or make available any Product to any third party, whether alone or in combination with other materials, or use the Products to manufacture any commercial products, (b) not copy, modify, reverse engineer, decompile, disassemble or otherwise attempt to discover the underlying structure or technology of the Products, or use the Products for the purpose of developing any products or services that would compete with CST products or services, (c) not alter or remove from the Products any trademarks, trade names, logos, patent or copyright notices or markings, (d) use the Products solely in accordance with CST Product Terms of Sale and any applicable documentation, and (e) comply with any license, terms of service or similar agreement with respect to any third party products or services used by Customer in connection with the Products.

Orders: 877-616-CELL (2355) [email protected] Support: 877-678-TECH (8324) [email protected] Web: cellsignal.com
For Research Use Only. Not for Use in Diagnostic Procedures.

Revision 13

Cell Signaling Technology Logo
Western blot analysis of extracts from various cell lines using EED (E4L6E) XP® Rabbit mAb.
Western Blotting Image 1: EED (E4L6E) Rabbit Monoclonal Antibody

Simple Western™ analysis of lysates (1 mg/mL) from COS-7 cells using EED (E4L6E) XP® Rabbit mAb #85322. The virtual lane view (left) shows the target bands (as indicated) at 1:10 and 1:50 dilutions of primary antibody. The corresponding electropherogram view (right) plots chemiluminescence by molecular weight along the capillary at 1:10 (blue line) and 1:50 (green line) dilutions of primary antibody. This experiment was performed under reducing conditions on the Jess™ Simple Western instrument from ProteinSimple, a BioTechne brand, using the 12-230 kDa separation module.
Western Blotting Image 1: EED (E4L6E) Rabbit Monoclonal Antibody
Immunoprecipitation of EED from TF-1 cell extracts. Lane 1 is 10% input, lane 2 is Rabbit (DA1E) mAb IgG XP® Isotype Control #3900, and lane 3 is EED (E4L6E) XP® Rabbit mAb. Western blot analysis was performed using EED (E4L6E) XP® Rabbit mAb. Mouse Anti-Rabbit IgG (Light-Chain Specific) (D4W3E) mAb (HRP Conjugate) #93702 was used as the secondary antibody.
Immunoprecipitation Image 1: EED (E4L6E) Rabbit Monoclonal Antibody
Orders: 877-616-CELL (2355) [email protected] Support: 877-678-TECH (8324) [email protected] Web: cellsignal.com
For Research Use Only. Not for Use in Diagnostic Procedures.

Revision 13

Cell Signaling Technology Logo
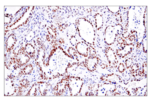
Immunohistochemical analysis of paraffin-embedded human squamous cell lung carcinoma using EED (E4L6E) XP® Rabbit mAb.
Immunohistochemistry Image 1: EED (E4L6E) Rabbit Monoclonal Antibody
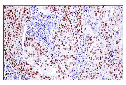
Immunohistochemical analysis of paraffin-embedded human endometrioid adenocarcinoma using EED (E4L6E) XP® Rabbit mAb.
Immunohistochemistry Image 2: EED (E4L6E) Rabbit Monoclonal Antibody
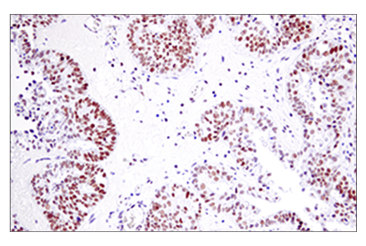
Immunohistochemical analysis of paraffin-embedded human ovarian clear cell carcinoma using EED (E4L6E) XP® Rabbit mAb.
Immunohistochemistry Image 3: EED (E4L6E) Rabbit Monoclonal Antibody
Orders: 877-616-CELL (2355) [email protected] Support: 877-678-TECH (8324) [email protected] Web: cellsignal.com
For Research Use Only. Not for Use in Diagnostic Procedures.

Revision 13

Cell Signaling Technology Logo
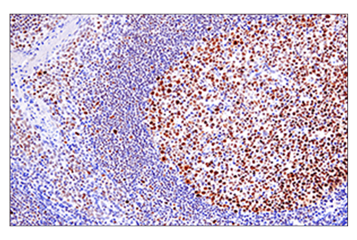
Immunohistochemical analysis of paraffin-embedded human tonsil using EED (E4L6E) XP® Rabbit mAb.
Immunohistochemistry Image 4: EED (E4L6E) Rabbit Monoclonal Antibody
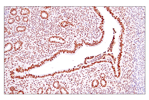
Immunohistochemical analysis of paraffin-embedded mouse endometrium using EED (E4L6E) XP® Rabbit mAb.
Immunohistochemistry Image 5: EED (E4L6E) Rabbit Monoclonal Antibody
Immunohistochemical analysis of paraffin-embedded mouse small intestine using EED (E4L6E) XP® Rabbit mAb.
Immunohistochemistry Image 6: EED (E4L6E) Rabbit Monoclonal Antibody
Orders: 877-616-CELL (2355) [email protected] Support: 877-678-TECH (8324) [email protected] Web: cellsignal.com
For Research Use Only. Not for Use in Diagnostic Procedures.

Revision 13

Cell Signaling Technology Logo
Immunohistochemical analysis of paraffin-embedded human ovarian serous carcinoma using EED (E4L6E) XP® Rabbit mAb (left) compared to concentration-matched Rabbit (DA1E) mAb IgG XP® Isotype Control #3900 (right).
Immunohistochemistry Image 7: EED (E4L6E) Rabbit Monoclonal Antibody
Immunohistochemical analysis of paraffin-embedded Daudi cell pellet (left, high-expressing) or HCC1419 cell pellet (right, low-expressing) using EED (E4L6E) XP® Rabbit mAb.
Immunohistochemistry Image 8: EED (E4L6E) Rabbit Monoclonal Antibody
Confocal immunofluorescent analysis of OVCAR8 cells (left, high-expressing) or A-498 cells (right, low-expressing), using EED (E4L6E) XP® Rabbit mAb (green). Actin filaments were labeled with DyLight™ 554 Phalloidin #13054 (red).
Immunofluorescence Image 1: EED (E4L6E) Rabbit Monoclonal Antibody
Orders: 877-616-CELL (2355) [email protected] Support: 877-678-TECH (8324) [email protected] Web: cellsignal.com
For Research Use Only. Not for Use in Diagnostic Procedures.

Revision 13

Cell Signaling Technology Logo
Flow cytometric analysis of U-87 MG cells (blue, moderate) and TF-1 cells (green, positive) using EED (E4L6E) XP® Rabbit mAb (solid lines) or a concentration-matched Rabbit (DA1E) mAb IgG XP® Isotype Control #3900 (dashed lines). Anti-rabbit IgG (H+L), F(ab')2 Fragment (Alexa Fluor® 488 Conjugate) #4412 was used as a secondary antibody.
Flow Cytometry Image 1: EED (E4L6E) Rabbit Monoclonal Antibody
Chromatin immunoprecipitations were performed with cross-linked chromatin from NCCIT and EED (E4L6E) XP® Rabbit mAb or Ezh2 (D2C9) XP® Rabbit mAb #5246, using SimpleChIP® Plus Enzymatic Chromatin IP Kit (Magnetic Beads) #9005. DNA Libraries were prepared using DNA Library Prep Kit for Illumina #56795. Ezh2 and EED are both components of the Polycomb PRC2 complex. The figure shows binding across HOXA1, a known target gene of Ezh2 and EED (see additional figure containing ChIP-qPCR data).
Chromatin Immunoprecipitation Image 1: EED (E4L6E) Rabbit Monoclonal Antibody
Chromatin immunoprecipitations were performed with cross-linked chromatin from NCCIT and EED (E4L6E) XP® Rabbit mAb or Ezh2 (D2C9) XP® Rabbit mAb #5246, using SimpleChIP Plus Enzymatic Chromatin IP Kit (Magnetic Beads) #9005. DNA Libraries were prepared using DNA Library Prep Kit for Illumina #56795. Ezh2 and EED are both components of the Polycomb PRC2 complex. The figure shows binding across chromosome 7 (upper), including HOXA1 (lower), a known target gene of Ezh2 and EED (see additional figure containing ChIP-qPCR data).
Chromatin Immunoprecipitation Image 2: EED (E4L6E) Rabbit Monoclonal Antibody
Orders: 877-616-CELL (2355) [email protected] Support: 877-678-TECH (8324) [email protected] Web: cellsignal.com
For Research Use Only. Not for Use in Diagnostic Procedures.

Revision 13

Cell Signaling Technology Logo
Chromatin immunoprecipitations were performed with cross-linked chromatin from NCCIT and either EED (E4L6E) XP® Rabbit mAb or Normal Rabbit IgG #2729 using SimpleChIP® Plus Enzymatic Chromatin IP Kit (Magnetic Beads) #9005. The enriched DNA was quantified by real-time PCR using SimpleChIP® Human HoxA1 Intron 1 Primers #7707, SimpleChIP® Human HoxA2 Promoter Primers #5517, and SimpleChIP® Human α Satellite Repeat Primers #4486. The amount of immunoprecipitated DNA in each sample is represented as signal relative to the total amount of input chromatin, which is equivalent to one.
Chromatin Immunoprecipitation Image 3: EED (E4L6E) Rabbit Monoclonal Antibody
CUT&RUN was performed with NCCIT cells and EED (E4L6E) XP® Rabbit mAb, using CUT&RUN Assay Kit #86652. DNA library was prepared using DNA Library Prep Kit for Illumina Systems (ChIP-seq, CUT&RUN) #56795. The figure shows binding across HOXA3 gene.
CUT & RUN Image 1: EED (E4L6E) Rabbit Monoclonal Antibody
CUT&RUN was performed with NCCIT cells and EED (E4L6E) XP® Rabbit mAb, using CUT&RUN Assay Kit #86652. DNA library was prepared using DNA Library Prep Kit for Illumina Systems (ChIP-seq, CUT&RUN) #56795. The figures show binding across HOXA (upper) and HOXD (lower).
CUT & RUN Image 2: EED (E4L6E) Rabbit Monoclonal Antibody
Orders: 877-616-CELL (2355) [email protected] Support: 877-678-TECH (8324) [email protected] Web: cellsignal.com
For Research Use Only. Not for Use in Diagnostic Procedures.

Revision 13

Cell Signaling Technology Logo
CUT&RUN was performed with NCCIT cells and either EED (E4L6E) XP® Rabbit mAb or Rabbit (DA1E) mAb IgG XP® Isotype Control (CUT&RUN) #66362, using CUT&RUN Assay Kit #86652. The enriched DNA was quantified by real-time PCR using human PAX7 promoter primers, human PAX3 promoter primers, and human SUCO promoter primers. The amount of immunoprecipitated DNA in each sample is represented as signal relative to the total amount of input chromatin, which is equivalent to one.
CUT & RUN Image 3: EED (E4L6E) Rabbit Monoclonal Antibody
CUT&Tag was performed with NCCIT cells and EED (E4L6E) XP® Rabbit mAb, using CUT&Tag Assay Kit #77552. DNA library was prepared using CUT&Tag Dual Index Primers and PCR Master Mix for Illumina Systems #47415. The figure shows binding across HOXA1, a known target gene of EED (see our ChIP-qPCR figure).
CUT & Tag Image 1: EED (E4L6E) Rabbit Monoclonal Antibody
CUT&Tag was performed with NCCIT cells and EED (E4L6E) XP® Rabbit mAb, using CUT&Tag Assay Kit #77552. DNA library was prepared using CUT&Tag Dual Index Primers and PCR Master Mix for Illumina Systems #47415. The figures show binding across the HOXA gene cluster (upper), and the HOXD gene cluster (lower), which are known target genes of EED (see our ChIP-qPCR figure).
CUT & Tag Image 2: EED (E4L6E) Rabbit Monoclonal Antibody
Orders: 877-616-CELL (2355) [email protected] Support: 877-678-TECH (8324) [email protected] Web: cellsignal.com
For Research Use Only. Not for Use in Diagnostic Procedures.

Revision 13

Cell Signaling Technology Logo
Enhanced cross-linking and immunoprecipitation (eCLIP) was performed with RNA from K-562 cells and EED (E4L6E) XP® Rabbit mAb using a protocol based on the RBP-eCLIP method from Eclipsebio. The figure shows binding across the EED transcript. Data is kindly provided by the laboratory of Dr. Gene Yeo and used with permission.
eCLIP Image 1: EED (E4L6E) Rabbit Monoclonal Antibody
Orders: 877-616-CELL (2355) [email protected] Support: 877-678-TECH (8324) [email protected] Web: cellsignal.com
For Research Use Only. Not for Use in Diagnostic Procedures.