Revision 4

#3411

Store at -20C

CST Logo
Orders:

877-616-CELL (2355)

[email protected]

Support:

877-678-TECH (8324)

3 Trask Lane | Danvers | Massachusetts | 01923 | USA

For Research Use Only. Not for Use in Diagnostic Procedures.

Applications:
W, IP, IHC-P, IF-IC

Reactivity:
H M R Mk

Sensitivity:
Endogenous

MW (kDa):
166

Source/Isotype:
Rabbit IgG

UniProt ID:
#Q14152

Entrez-Gene Id:
8661

Product Usage Information

Application Dilution
Western Blotting 1:1000
Immunoprecipitation 1:100
Immunohistochemistry (Paraffin) 1:200 - 1:800
Immunofluorescence (Immunocytochemistry) 1:200 - 1:800

Storage

Supplied in 10 mM sodium HEPES (pH 7.5), 150 mM NaCl, 100 µg/ml BSA, 50% glycerol and less than 0.02% sodium azide. Store at –20°C. Do not aliquot the antibody.

For a carrier free (BSA and azide free) version of this product see product #52223.

Specificity/Sensitivity

eIF3A (D51F4) Rabbit Monoclonal Antibody detects endogenous levels of total eIF3A protein.

Source / Purification

Monoclonal antibody is produced by immunizing animals with a synthetic peptide corresponding to residues surrounding Asp1055 of human eIF3A protein.

Background

Translation initiation requires a set of factors to facilitate the association of the 40S ribosomal subunit with mRNA. The eIF4F complex, consisting of eIF4E, eIF4A, and eIF4G, binds to the 5' cap structure of mRNA. eIF4F and eIF4B unwind the secondary structure of mRNA at its 5' untranslated region. The 40S ribosomal subunit, along with some initiation factors, including eIF3, then binds to the 5' mRNA cap and searches along the mRNA for the initiation codon. eIF3 is a large translation initiation complex with 10 to 13 different subunits. eIF3A, eIF3B, eIF3C, eIF3E, eIF3F, and eIF3H are the core subunits critical for the function of this complex. eIF3 physically interacts with eIF4G, which may be responsible for the association of the 40S ribosomal subunit with mRNA (1). eIF3 also stabilizes the binding of Met-tRNAf.eIF2.GTP to the 40S ribosomal subunit and helps keep the integrity of the resulting complex upon addition of the 60S ribosomal subunit (2). Studies have shown that mTOR interacts with eIF3 directly (3,4). When cells are stimulated by hormones or mitogenic signals, mTOR binds to the eIF3 complex and phosphorylates S6K1 (3). This process results in the dissociation of S6K1 from eIF3 and S6K1 activation. The activated S6K1 then phosphorylates its downstream targets, including ribosomal protein S6 and eIF4B, resulting in stimulation of translation. Further findings demonstrated that activated mTOR signaling induces the association of eIF3 with eIF4G upon stimulation with insulin (3).

Species Reactivity

Species reactivity is determined by testing in at least one approved application (e.g., western blot).

Western Blot Buffer

IMPORTANT: For western blots, incubate membrane with diluted primary antibody in 5% w/v BSA, 1X TBS, 0.1% Tween® 20 at 4°C with gentle shaking, overnight.

Applications Key

W: Western Blotting IP: Immunoprecipitation IHC-P: Immunohistochemistry (Paraffin) IF-IC: Immunofluorescence (Immunocytochemistry)

Cross-Reactivity Key

H: Human M: Mouse R: Rat Mk: Monkey

Trademarks and Patents

Cell Signaling Technology is a trademark of Cell Signaling Technology, Inc.

All other trademarks are the property of their respective owners. Visit cellsignal.com/trademarks for more information.

Limited Uses

Except as otherwise expressly agreed in a writing signed by a legally authorized representative of CST, the following terms apply to Products provided by CST, its affiliates or its distributors. Any Customer's terms and conditions that are in addition to, or different from, those contained herein, unless separately accepted in writing by a legally authorized representative of CST, are rejected and are of no force or effect.

Products are labeled with For Research Use Only or a similar labeling statement and have not been approved, cleared, or licensed by the FDA or other regulatory foreign or domestic entity, for any purpose. Customer shall not use any Product for any diagnostic or therapeutic purpose, or otherwise in any manner that conflicts with its labeling statement. Products sold or licensed by CST are provided for Customer as the end-user and solely for research and development uses. Any use of Product for diagnostic, prophylactic or therapeutic purposes, or any purchase of Product for resale (alone or as a component) or other commercial purpose, requires a separate license from CST. Customer shall (a) not sell, license, loan, donate or otherwise transfer or make available any Product to any third party, whether alone or in combination with other materials, or use the Products to manufacture any commercial products, (b) not copy, modify, reverse engineer, decompile, disassemble or otherwise attempt to discover the underlying structure or technology of the Products, or use the Products for the purpose of developing any products or services that would compete with CST products or services, (c) not alter or remove from the Products any trademarks, trade names, logos, patent or copyright notices or markings, (d) use the Products solely in accordance with CST Product Terms of Sale and any applicable documentation, and (e) comply with any license, terms of service or similar agreement with respect to any third party products or services used by Customer in connection with the Products.

Orders: 877-616-CELL (2355) [email protected] Support: 877-678-TECH (8324) [email protected] Web: cellsignal.com
For Research Use Only. Not for Use in Diagnostic Procedures.

Revision 4

Cell Signaling Technology Logo
Western blot analysis of extracts from various cell types using eIF3A (D51F4) XP® Rabbit mAb.
Western Blotting Image 1: eIF3A (D51F4) Rabbit Monoclonal Antibody
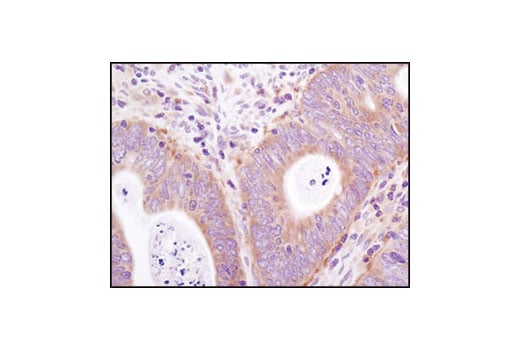
Immunohistochemical analysis of paraffin-embedded human colon carcinoma using eIF3A (D51F4) XP® Rabbit mAb.
Immunohistochemistry Image 1: eIF3A (D51F4) Rabbit Monoclonal Antibody
Confocal immunofluorescent analysis of HeLa cells using eIF3A (D51F4) XP® Rabbit mAb (green). Actin filaments have been labeled with DY-554 phalloidin (red). Blue pseudocolor = DRAQ5® #4084 (fluorescent DNA dye).
Immunofluorescence Image 1: eIF3A (D51F4) Rabbit Monoclonal Antibody
Orders: 877-616-CELL (2355) [email protected] Support: 877-678-TECH (8324) [email protected] Web: cellsignal.com
For Research Use Only. Not for Use in Diagnostic Procedures.