Revision 3

#2858

Store at -20C

CST Logo
Orders:

877-616-CELL (2355)

[email protected]

Support:

877-678-TECH (8324)

3 Trask Lane | Danvers | Massachusetts | 01923 | USA

For Research Use Only. Not for Use in Diagnostic Procedures.

Applications:
W, IHC-P, IF-IC

Reactivity:
H M R

Sensitivity:
Endogenous

MW (kDa):
220

Source/Isotype:
Rabbit

UniProt ID:
#Q04637

Entrez-Gene Id:
1981

Product Usage Information

Application Dilution
Western Blotting 1:1000
Immunohistochemistry (Paraffin) 1:50 - 1:200
Immunofluorescence (Immunocytochemistry) 1:100 - 1:200

Storage

Supplied in 10 mM sodium HEPES (pH 7.5), 150 mM NaCl, 100 µg/ml BSA and 50% glycerol. Store at –20°C. Do not aliquot the antibody.

Specificity/Sensitivity

eIF4GI Antibody detects endogenous levels of total eIF4GI protein.

Source / Purification

Polyclonal antibodies are produced by immunizing animals with a synthetic peptide corresponding to residues surrounding Pro417 of human eIF4GI protein. Antibodies are purified by peptide affinity chromatography.

Background

The initiation of translation is an important biological event and a variety of factors contribute to this process. Members of the eIF4 translation initiation factor family bind to the 5' m7GTP mRNA cap and unwind the mRNA secondary structure (1,2). The amino-terminal portion of eIF4G physically associates with eIF4E to stimulate the binding of eIF4E to the mRNA cap structure (3). eIF4G also interacts with eIF3 and eIF4A and serves as an adaptor molecule in the eIF4 complex (4). Moreover, eIF4G plays a role in internal ribosomal entry site (IRES)-mediated initiation of translation (5,6). The eIF4G family includes eIF4G1 (eIF4GI), eIF4G2 (p97, DAP5 or NAT1), and eIF4G3 (eIF4GII) (7). These factors share a homologous sequence that provides for interaction with initiation factors eIF3 and eIF4A. Both eIF4G1 and eIF4G3 are involved in cap-dependent translation, while eIF4G2 plays a role in IRES-mediated translation of some genes during cell stress (7,8).

Species Reactivity

Species reactivity is determined by testing in at least one approved application (e.g., western blot).

Western Blot Buffer

IMPORTANT: For western blots, incubate membrane with diluted primary antibody in 5% w/v BSA, 1X TBS, 0.1% Tween® 20 at 4°C with gentle shaking, overnight.

Applications Key

W: Western Blotting IHC-P: Immunohistochemistry (Paraffin) IF-IC: Immunofluorescence (Immunocytochemistry)

Cross-Reactivity Key

H: Human M: Mouse R: Rat

Trademarks and Patents

Cell Signaling Technology is a trademark of Cell Signaling Technology, Inc.

All other trademarks are the property of their respective owners. Visit cellsignal.com/trademarks for more information.

Limited Uses

Except as otherwise expressly agreed in a writing signed by a legally authorized representative of CST, the following terms apply to Products provided by CST, its affiliates or its distributors. Any Customer's terms and conditions that are in addition to, or different from, those contained herein, unless separately accepted in writing by a legally authorized representative of CST, are rejected and are of no force or effect.

Products are labeled with For Research Use Only or a similar labeling statement and have not been approved, cleared, or licensed by the FDA or other regulatory foreign or domestic entity, for any purpose. Customer shall not use any Product for any diagnostic or therapeutic purpose, or otherwise in any manner that conflicts with its labeling statement. Products sold or licensed by CST are provided for Customer as the end-user and solely for research and development uses. Any use of Product for diagnostic, prophylactic or therapeutic purposes, or any purchase of Product for resale (alone or as a component) or other commercial purpose, requires a separate license from CST. Customer shall (a) not sell, license, loan, donate or otherwise transfer or make available any Product to any third party, whether alone or in combination with other materials, or use the Products to manufacture any commercial products, (b) not copy, modify, reverse engineer, decompile, disassemble or otherwise attempt to discover the underlying structure or technology of the Products, or use the Products for the purpose of developing any products or services that would compete with CST products or services, (c) not alter or remove from the Products any trademarks, trade names, logos, patent or copyright notices or markings, (d) use the Products solely in accordance with CST Product Terms of Sale and any applicable documentation, and (e) comply with any license, terms of service or similar agreement with respect to any third party products or services used by Customer in connection with the Products.

Orders: 877-616-CELL (2355) [email protected] Support: 877-678-TECH (8324) [email protected] Web: cellsignal.com
For Research Use Only. Not for Use in Diagnostic Procedures.

Revision 3

Cell Signaling Technology Logo
Western blot analysis of extracts from HepG2, RD and A204 cells using eIF4GI Antibody.
Western Blotting Image 1: eIF4GI Antibody
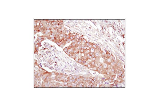
Immunohistochemical analysis of paraffin-embedded human breast carcinoma using eIF4GI Antibody.
Immunohistochemistry Image 1: eIF4GI Antibody
Immunohistochemical analysis of paraffin-embedded human breast carcinoma using eIF4GI Antibody.
Immunohistochemistry Image 2: eIF4GI Antibody
Orders: 877-616-CELL (2355) [email protected] Support: 877-678-TECH (8324) [email protected] Web: cellsignal.com
For Research Use Only. Not for Use in Diagnostic Procedures.

Revision 3

Cell Signaling Technology Logo
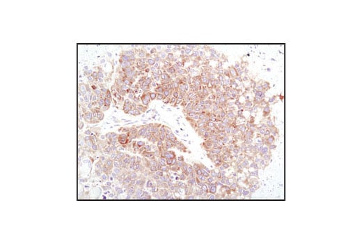
Immunohistochemical analysis of paraffin-embedded human lung carcinoma using eIF4GI Antibody.
Immunohistochemistry Image 3: eIF4GI Antibody
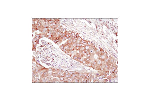
Immunohistochemical analysis of paraffin-embedded human lung carcinoma using eIF4GI Antibody.
Immunohistochemistry Image 4: eIF4GI Antibody
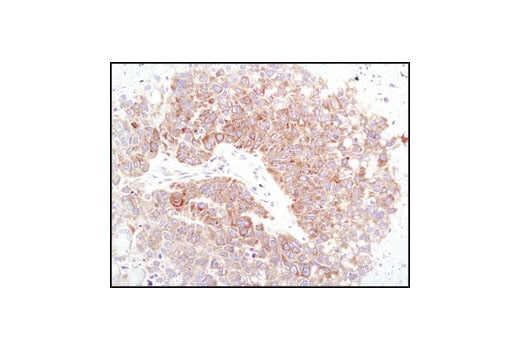
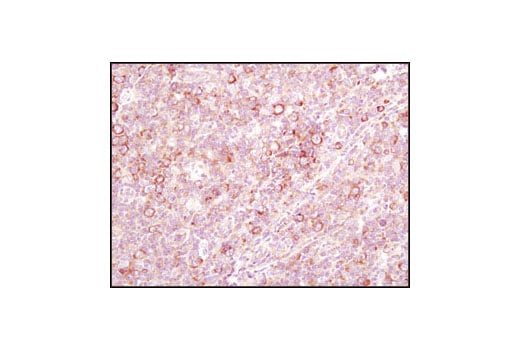
Immunohistochemical analysis of paraffin-embedded human lymphoma using eIF4GI Antibody.
Immunohistochemistry Image 5: eIF4GI Antibody
Orders: 877-616-CELL (2355) [email protected] Support: 877-678-TECH (8324) [email protected] Web: cellsignal.com
For Research Use Only. Not for Use in Diagnostic Procedures.

Revision 3

Cell Signaling Technology Logo
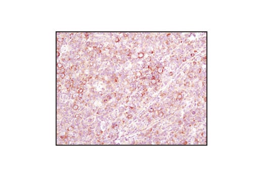
Immunohistochemical analysis of paraffin-embedded human lymphoma using eIF4GI Antibody.
Immunohistochemistry Image 6: eIF4GI Antibody
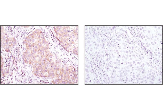
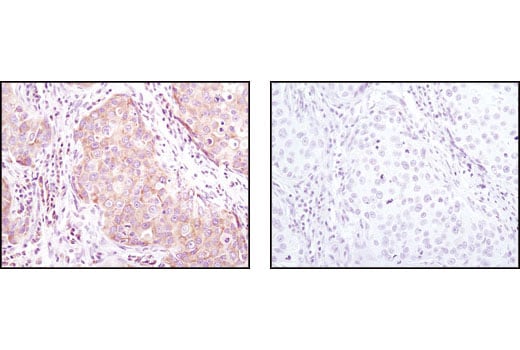
Immunohistochemical analysis of paraffin-embedded human breast carcinoma using eIF4GI Antibody in the presence of control peptide (left) or antigen-specific peptide (right).
Immunohistochemistry Image 7: eIF4GI Antibody
Immunohistochemical analysis of paraffin-embedded human breast carcinoma using eIF4GI Antibody in the presence of control peptide (left) or antigen-specific peptide (right).
Immunohistochemistry Image 8: eIF4GI Antibody
Orders: 877-616-CELL (2355) [email protected] Support: 877-678-TECH (8324) [email protected] Web: cellsignal.com
For Research Use Only. Not for Use in Diagnostic Procedures.

Revision 3

Cell Signaling Technology Logo
Confocal immunofluorescent analysis of HeLa cells using eIF4GI Antibody (green). Actin filaments have been labeled with DY-554 phalloidin (red). Blue pseudocolor = DRAQ5® #4084 (fluorescent DNA dye).
Immunofluorescence Image 1: eIF4GI Antibody
Orders: 877-616-CELL (2355) [email protected] Support: 877-678-TECH (8324) [email protected] Web: cellsignal.com
For Research Use Only. Not for Use in Diagnostic Procedures.