Revision 18

#14452

Store at -20C

CST Logo
Orders:

877-616-CELL (2355)

[email protected]

Support:

877-678-TECH (8324)

3 Trask Lane | Danvers | Massachusetts | 01923 | USA

For Research Use Only. Not for Use in Diagnostic Procedures.

Applications:
W, IHC-P, FC-FP

Reactivity:
H M Mk

Sensitivity:
Endogenous

MW (kDa):
40

Source/Isotype:
Rabbit IgG

UniProt ID:
#P16422

Entrez-Gene Id:
4072

Product Usage Information

Application Dilution
Western Blotting 1:1000
Immunohistochemistry (Paraffin) 1:200
Flow Cytometry (Fixed/Permeabilized) 1:400

Storage

Supplied in 10 mM sodium HEPES (pH 7.5), 150 mM NaCl, 100 µg/ml BSA, 50% glycerol and less than 0.02% sodium azide. Store at –20°C. Do not aliquot the antibody.

For a carrier-free (BSA and azide free) version of this product see product #55725.

Specificity/Sensitivity

EpCAM (D9S3P) Rabbit Monoclonal Antibody recognizes endogenous levels of total EpCAM protein. Non-specific staining was observed in monkey liver by Immunohistochemistry.

Source / Purification

Monoclonal antibody is produced by immunizing animals with recombinant protein specific to human EpCAM protein.

Background

Epithelial cell adhesion and activating molecule (EpCAM/CD326) is a transmembrane glycoprotein that mediates Ca2+-independent, homophilic adhesions on the basolateral surface of most epithelial cells. EpCAM is not expressed in adult squamous epithelium, but it is highly expressed in adeno and squamous cell carcinomas (1). Research studies identified EpCAM as one of the first tumor-associated antigens, and it has long been a marker of epithelial and tumor tissue. Investigators have shown that EpCAM is highly expressed in cancer cells (reviewed in 2,3).

Species Reactivity

Species reactivity is determined by testing in at least one approved application (e.g., western blot).

Western Blot Buffer

IMPORTANT: For western blots, incubate membrane with diluted primary antibody in 5% w/v BSA, 1X TBS, 0.1% Tween® 20 at 4°C with gentle shaking, overnight.

Applications Key

W: Western Blotting IHC-P: Immunohistochemistry (Paraffin) FC-FP: Flow Cytometry (Fixed/Permeabilized)

Cross-Reactivity Key

H: Human M: Mouse Mk: Monkey

Trademarks and Patents

Cell Signaling Technology is a trademark of Cell Signaling Technology, Inc.

Alexa Fluor is a registered trademark of Life Technologies Corporation.

All other trademarks are the property of their respective owners. Visit cellsignal.com/trademarks for more information.

Limited Uses

Except as otherwise expressly agreed in a writing signed by a legally authorized representative of CST, the following terms apply to Products provided by CST, its affiliates or its distributors. Any Customer's terms and conditions that are in addition to, or different from, those contained herein, unless separately accepted in writing by a legally authorized representative of CST, are rejected and are of no force or effect.

Products are labeled with For Research Use Only or a similar labeling statement and have not been approved, cleared, or licensed by the FDA or other regulatory foreign or domestic entity, for any purpose. Customer shall not use any Product for any diagnostic or therapeutic purpose, or otherwise in any manner that conflicts with its labeling statement. Products sold or licensed by CST are provided for Customer as the end-user and solely for research and development uses. Any use of Product for diagnostic, prophylactic or therapeutic purposes, or any purchase of Product for resale (alone or as a component) or other commercial purpose, requires a separate license from CST. Customer shall (a) not sell, license, loan, donate or otherwise transfer or make available any Product to any third party, whether alone or in combination with other materials, or use the Products to manufacture any commercial products, (b) not copy, modify, reverse engineer, decompile, disassemble or otherwise attempt to discover the underlying structure or technology of the Products, or use the Products for the purpose of developing any products or services that would compete with CST products or services, (c) not alter or remove from the Products any trademarks, trade names, logos, patent or copyright notices or markings, (d) use the Products solely in accordance with CST Product Terms of Sale and any applicable documentation, and (e) comply with any license, terms of service or similar agreement with respect to any third party products or services used by Customer in connection with the Products.

Orders: 877-616-CELL (2355) [email protected] Support: 877-678-TECH (8324) [email protected] Web: cellsignal.com
For Research Use Only. Not for Use in Diagnostic Procedures.

Revision 18

Cell Signaling Technology Logo
Western blot analysis of extracts from MCF7 (EpCAM positive), HT-29 (EpCAM positive), and HeLa (EpCAM negative) cells using EpCAM (D9S3P) Rabbit mAb (upper) and β-Actin (D6A8) Rabbit mAb #8457 (lower).
Western Blotting Image 1: EpCAM (D9S3P) Rabbit Monoclonal Antibody
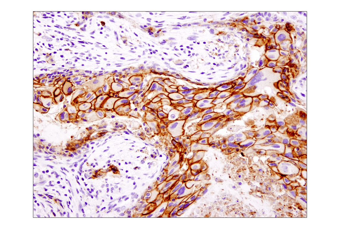
Immunohistochemical analysis of paraffin-embedded human infiltrating ductal breast carcinoma using EpCAM (D9S3P) Rabbit mAb.
Immunohistochemistry Image 1: EpCAM (D9S3P) Rabbit Monoclonal Antibody
Immunohistochemical analysis of paraffin-embedded human colon carcinoma using EpCAM (D9S3P) Rabbit mAb.
Immunohistochemistry Image 2: EpCAM (D9S3P) Rabbit Monoclonal Antibody
Orders: 877-616-CELL (2355) [email protected] Support: 877-678-TECH (8324) [email protected] Web: cellsignal.com
For Research Use Only. Not for Use in Diagnostic Procedures.

Revision 18

Cell Signaling Technology Logo
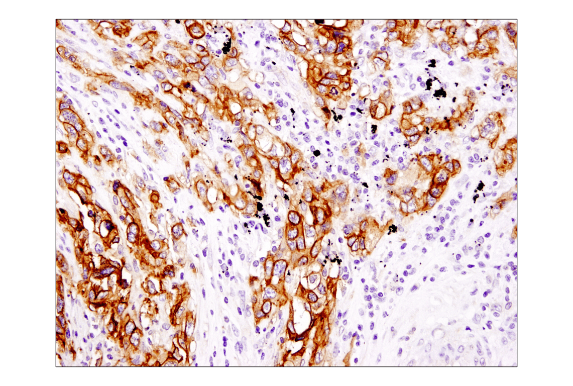
Immunohistochemical analysis of paraffin-embedded human non-small cell lung carcinoma using EpCAM (D9S3P) Rabbit mAb.
Immunohistochemistry Image 3: EpCAM (D9S3P) Rabbit Monoclonal Antibody
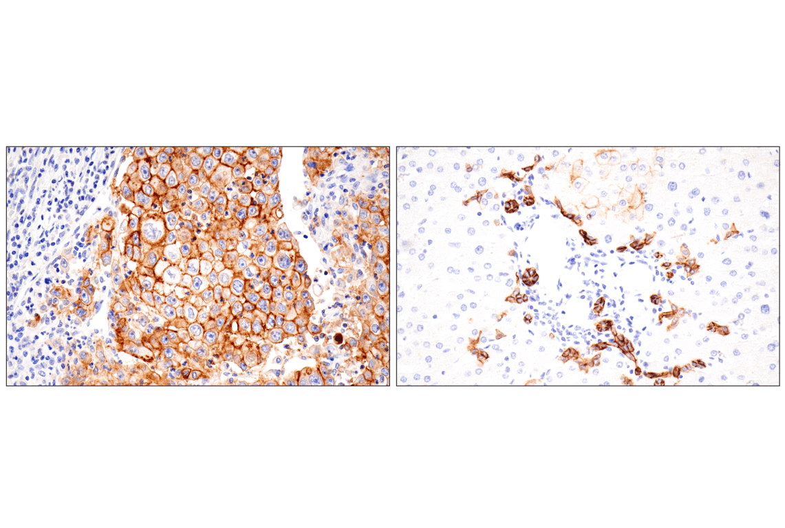
Immunohistochemical analysis of two cases of paraffin-embedded human hepatocellular carcinoma using EpCAM (D9S3P) Rabbit mAb.
Immunohistochemistry Image 4: EpCAM (D9S3P) Rabbit Monoclonal Antibody
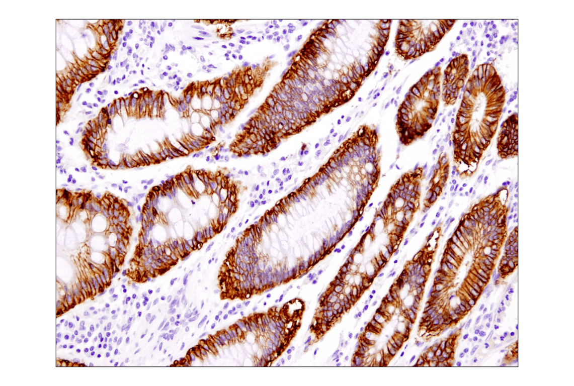
Immunohistochemical analysis of paraffin-embedded rhesus monkey small intestine using EpCAM (D9S3P) Rabbit mAb.
Immunohistochemistry Image 5: EpCAM (D9S3P) Rabbit Monoclonal Antibody
Orders: 877-616-CELL (2355) [email protected] Support: 877-678-TECH (8324) [email protected] Web: cellsignal.com
For Research Use Only. Not for Use in Diagnostic Procedures.

Revision 18

Cell Signaling Technology Logo
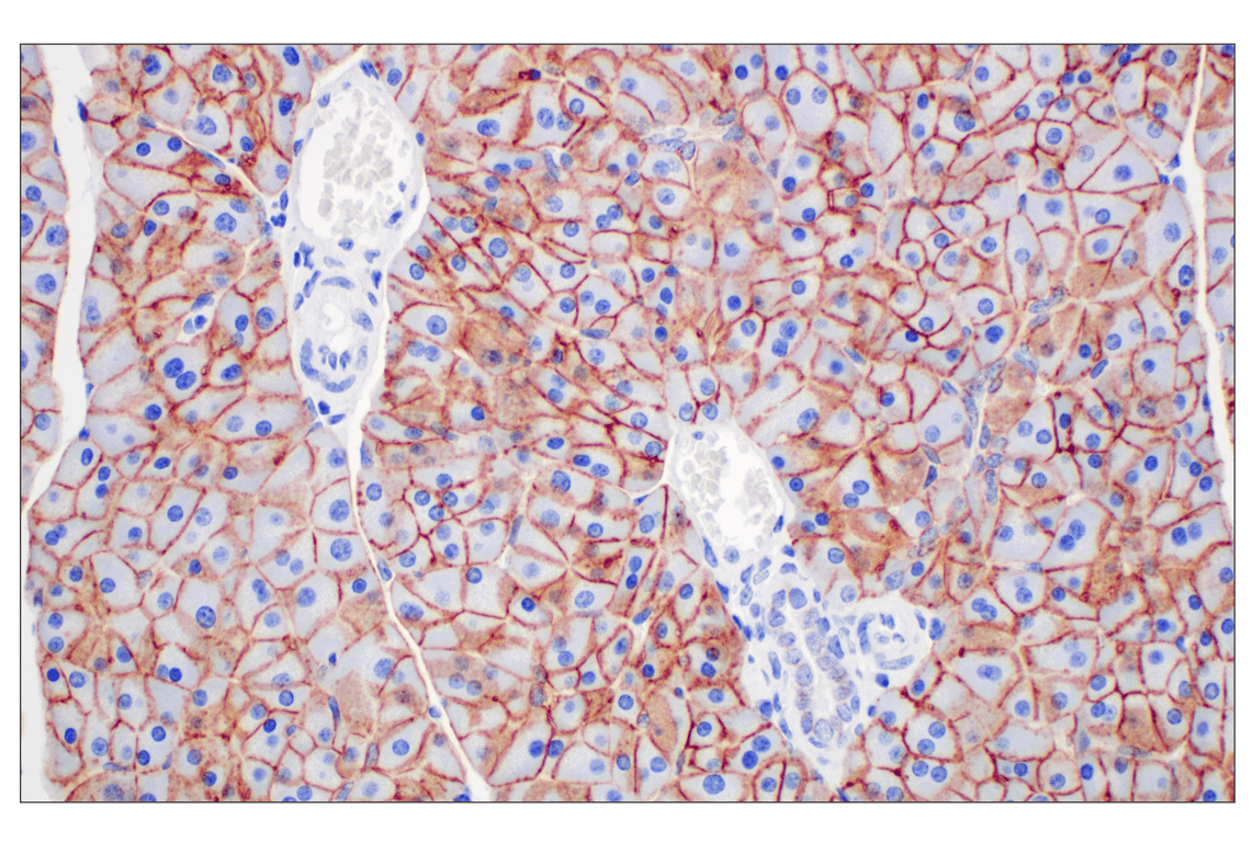
Immunohistochemical analysis of paraffin-embedded mouse pancreas using EpCAM (D9S3P) Rabbit mAb
Immunohistochemistry Image 6: EpCAM (D9S3P) Rabbit Monoclonal Antibody
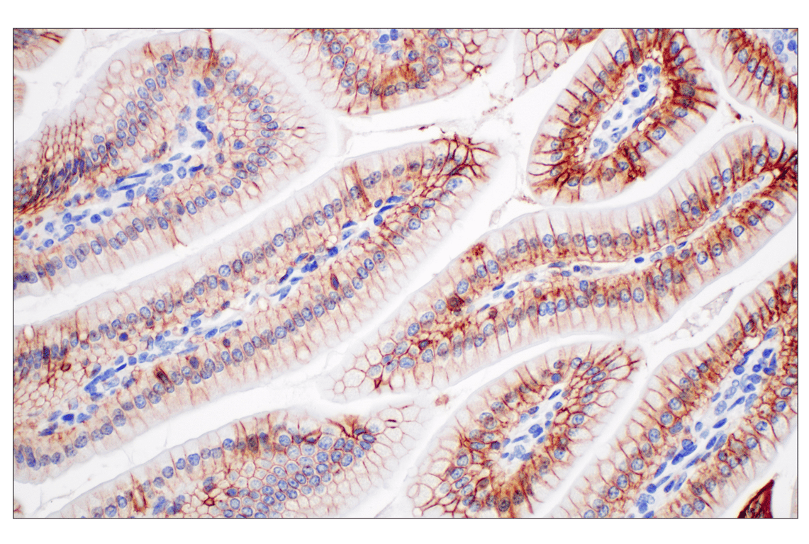
Immunohistochemical analysis of paraffin-embedded mouse small intestine using EpCAM (D9S3P) Rabbit mAb.
Immunohistochemistry Image 7: EpCAM (D9S3P) Rabbit Monoclonal Antibody
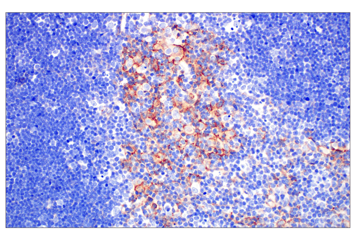
Immunohistochemical analysis of paraffin-embedded mouse thymus using EpCAM (D9S3P) Rabbit mAb.
Immunohistochemistry Image 8: EpCAM (D9S3P) Rabbit Monoclonal Antibody
Orders: 877-616-CELL (2355) [email protected] Support: 877-678-TECH (8324) [email protected] Web: cellsignal.com
For Research Use Only. Not for Use in Diagnostic Procedures.

Revision 18

Cell Signaling Technology Logo
Immunohistochemical analysis of paraffin-embedded HT-29 (left) and HeLa (right) cells using EpCAM (D9S3P) Rabbit mAb.
Immunohistochemistry Image 9: EpCAM (D9S3P) Rabbit Monoclonal Antibody
Flow cytometric analysis of HeLa cells (blue) and MCF7 cells (green) using EpCAM (D9S3P) Rabbit mAb. Anti-rabbit IgG(H+L), F(ab')2 Fragment (Alexa Fluor® 488 Conjugate) #4412 was used as a secondary antibody.
Flow Cytometry Image 1: EpCAM (D9S3P) Rabbit Monoclonal Antibody
Orders: 877-616-CELL (2355) [email protected] Support: 877-678-TECH (8324) [email protected] Web: cellsignal.com
For Research Use Only. Not for Use in Diagnostic Procedures.