Revision 8

#46403

Store at -20C

CST Logo
Orders:

877-616-CELL (2355)

[email protected]

Support:

877-678-TECH (8324)

3 Trask Lane | Danvers | Massachusetts | 01923 | USA

For Research Use Only. Not for Use in Diagnostic Procedures.

Applications:
W, IHC-P, IF-IC, FC-FP, ELISA+

Reactivity:
H

Sensitivity:
Endogenous

MW (kDa):
40

Source/Isotype:
Mouse IgG1

UniProt ID:
#P16422

Entrez-Gene Id:
4072

Product Usage Information

This product is the carrier free version of product #2929. All data were generated using the same antibody clone in the standard formulation which contains BSA and glycerol.

This formulation is ideal for use with technologies requiring specialized or custom antibody labeling, including fluorophores, metals, lanthanides, and oligonucleotides. It is not recommended for ChIP, ChIP-seq, CUT&RUN, or CUT&Tag assays. If you require a carrier-free formulation for chromatin profiling, please contact us. Optimal dilutions/concentrations should be determined by the end user.

BSA and Azide Free antibodies are quality control tested by size exclusion chromatography (SEC) to determine antibody integrity.

Formulation

Supplied in 1X PBS (10 mM Na2HPO4, 3 mM KCl, 2 mM KH2PO4, and 140 mM NaCl (pH 7.8)). BSA and Azide Free.

For standard formulation of this product see product #2929.

Storage

Store at -20°C. This product will freeze at -20°C so it is recommended to aliquot into single-use vials to avoid multiple freeze/thaw cycles. A slight precipitate may be present and can be dissolved by gently vortexing. This will not interfere with antibody performance.

Specificity/Sensitivity

EpCAM (VU1D9) Mouse Monoclonal Antibody (BSA and Azide Free) detects endogenous levels of total EpCAM protein.

Source / Purification

Monoclonal antibody is produced by immunizing animals with NCI-H69 small cell lung carcinoma cells.

Background

Epithelial cell adhesion and activating molecule (EpCAM/CD326) is a transmembrane glycoprotein that mediates Ca2+-independent, homophilic adhesions on the basolateral surface of most epithelial cells. EpCAM is not expressed in adult squamous epithelium, but it is highly expressed in adeno and squamous cell carcinomas (1). Research studies identified EpCAM as one of the first tumor-associated antigens, and it has long been a marker of epithelial and tumor tissue. Investigators have shown that EpCAM is highly expressed in cancer cells (reviewed in 2,3).

Species Reactivity

Species reactivity is determined by testing in at least one approved application (e.g., western blot).

Applications Key

W: Western Blotting IHC-P: Immunohistochemistry (Paraffin) IF-IC: Immunofluorescence (Immunocytochemistry) FC-FP: Flow Cytometry (Fixed/Permeabilized) ELISA+: ELISA and/or ELISA-like Assays

Cross-Reactivity Key

H: Human

Trademarks and Patents

Cell Signaling Technology is a trademark of Cell Signaling Technology, Inc.

Alexa Fluor is a registered trademark of Life Technologies Corporation.

All other trademarks are the property of their respective owners. Visit cellsignal.com/trademarks for more information.

Limited Uses

Except as otherwise expressly agreed in a writing signed by a legally authorized representative of CST, the following terms apply to Products provided by CST, its affiliates or its distributors. Any Customer's terms and conditions that are in addition to, or different from, those contained herein, unless separately accepted in writing by a legally authorized representative of CST, are rejected and are of no force or effect.

Products are labeled with For Research Use Only or a similar labeling statement and have not been approved, cleared, or licensed by the FDA or other regulatory foreign or domestic entity, for any purpose. Customer shall not use any Product for any diagnostic or therapeutic purpose, or otherwise in any manner that conflicts with its labeling statement. Products sold or licensed by CST are provided for Customer as the end-user and solely for research and development uses. Any use of Product for diagnostic, prophylactic or therapeutic purposes, or any purchase of Product for resale (alone or as a component) or other commercial purpose, requires a separate license from CST. Customer shall (a) not sell, license, loan, donate or otherwise transfer or make available any Product to any third party, whether alone or in combination with other materials, or use the Products to manufacture any commercial products, (b) not copy, modify, reverse engineer, decompile, disassemble or otherwise attempt to discover the underlying structure or technology of the Products, or use the Products for the purpose of developing any products or services that would compete with CST products or services, (c) not alter or remove from the Products any trademarks, trade names, logos, patent or copyright notices or markings, (d) use the Products solely in accordance with CST Product Terms of Sale and any applicable documentation, and (e) comply with any license, terms of service or similar agreement with respect to any third party products or services used by Customer in connection with the Products.

Orders: 877-616-CELL (2355) [email protected] Support: 877-678-TECH (8324) [email protected] Web: cellsignal.com
For Research Use Only. Not for Use in Diagnostic Procedures.

Revision 8

Cell Signaling Technology Logo
Western blot analysis of extracts from HT-29 and HCT-15 cells using EpCAM (VU1D9) Mouse mAb. Data were generated using the standard formulation of this product.
Western Blotting Image 1: EpCAM (VU1D9) Mouse Monoclonal Antibody (BSA and Azide Free)
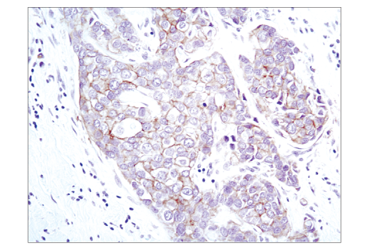
Immunohistochemical analysis of paraffin-embedded human breast carcinoma using EpCAM (VU1D9) Mouse mAb. Data were generated using the standard formulation of this product.
Immunohistochemistry Image 1: EpCAM (VU1D9) Mouse Monoclonal Antibody (BSA and Azide Free)
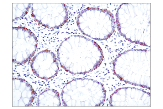
Immunohistochemical analysis of paraffin-embedded human colon using EpCAM (VU1D9) Mouse mAb. Data were generated using the standard formulation of this product.
Immunohistochemistry Image 2: EpCAM (VU1D9) Mouse Monoclonal Antibody (BSA and Azide Free)
Orders: 877-616-CELL (2355) [email protected] Support: 877-678-TECH (8324) [email protected] Web: cellsignal.com
For Research Use Only. Not for Use in Diagnostic Procedures.

Revision 8

Cell Signaling Technology Logo
Confocal immunofluorescent analysis of HT-29 cells using EpCAM (VU1D9) Mouse mAb (green), Alexa Fluor® 555 Phalloidin #8953 (red), and DRAQ5® #4084 (fluorescent DNA dye). Data were generated using the standard formulation of this product.
Immunofluorescence Image 1: EpCAM (VU1D9) Mouse Monoclonal Antibody (BSA and Azide Free)
Flow cytometric analysis of live NCI-H929 cells (blue, negative) and HT-29 cells (green, positive) using EpCAM (VU1D9) Mouse mAb (solid lines) or a concentration-matched Mouse (G3A1) mAb IgG1 Isotype Control #5415 (dashed lines). Anti-mouse IgG (H+L), F(ab')2 Fragment (Alexa Fluor® 488 Conjugate) #4408 was used as a secondary antibody. Data were generated using the standard formulation of this product.
Flow Cytometry Image 1: EpCAM (VU1D9) Mouse Monoclonal Antibody (BSA and Azide Free)
Data using Total EpCAM Matched Antibody Pair #75612 are shown. The two antibodies function as a capture-target-detection sandwich (#32431 and #46403, respectively) to detect endogenous protein expression in various cells, as shown in the figure.
ELISA and/or ELISA-like Assays Image 1: EpCAM (VU1D9) Mouse Monoclonal Antibody (BSA and Azide Free)
Orders: 877-616-CELL (2355) [email protected] Support: 877-678-TECH (8324) [email protected] Web: cellsignal.com
For Research Use Only. Not for Use in Diagnostic Procedures.