Revision 1

#9782

Store at -20C

CST Logo
Orders:

877-616-CELL (2355)

[email protected]

Support:

877-678-TECH (8324)

3 Trask Lane | Danvers | Massachusetts | 01923 | USA

For Research Use Only. Not for Use in Diagnostic Procedures.

Product Includes Product # Quantity Mol. Wt Isotype/Source
Vimentin (D21H3) Rabbit Monoclonal Antibody574120 µl57 kDaRabbit IgG
N-Cadherin (D4R1H) Rabbit Monoclonal Antibody1311620 µl140 kDaRabbit IgG
Claudin-1 (D5H1D) Rabbit Monoclonal Antibody1325520 µl20 kDaRabbit IgG
beta-Catenin (D10A8) Rabbit Monoclonal Antibody848020 µl92 kDaRabbit IgG
ZO-1 (D7D12) Rabbit Monoclonal Antibody819320 µl220 kDaRabbit IgG
Snail (C15D3) Rabbit Monoclonal Antibody387920 µl29 kDaRabbit IgG
Slug (C19G7) Rabbit Monoclonal Antibody958520 µl30 kDaRabbit IgG
ZEB1 (D80D3) Rabbit Monoclonal Antibody339620 µl200 kDaRabbit IgG
E-Cadherin (24E10) Rabbit Monoclonal Antibody319520 µl135 kDaRabbit IgG
Anti-rabbit IgG, HRP-linked Antibody7074100 µlGoat

Please visit cellsignal.com for individual component applications, species cross-reactivity, dilutions, protocols, and additional product information.

Description

The Epithelial-Mesenchymal Transition (EMT) Antibody Sampler Kit provides an economical means of evaluating EMT. The kit contains enough primary antibody to perform two western blots per primary.

Storage

Supplied in 10 mM sodium HEPES (pH 7.5), 150 mM NaCl, 100 µg/ml BSA, 50% glycerol and less than 0.02% sodium azide. Store at –20°C. Do not aliquot the antibody.

Background

Epithelial-mesenchymal transition (EMT) is an essential process during development whereby epithelial cells aquire mesenchymal, fibroblast-like properties and display reduced intracellular adhesion and increased motility. This is a critical feature of normal embryonic development, which is also utilized by malignant epithelial tumors to spread beyond their origin (1-3). This tightly regulated process is associated with a number of cellular and molecular events. EMT depends on a reduction in expression of cell adhesion molecules. Cadherins mediate calcium-dependent cell-cell adhesion and play critical roles in normal tissue development (4). E-cadherin is considered an active suppressor of invasion and growth of many epithelial cancers (4-6). Recent studies indicate that cancer cells have up-regulated N-cadherin in addition to loss of E-cadherin. This change in cadherin expression is called the "cadherin switch" and downregulation of E-cadherin is one of the hallmarks of EMT (1). Tight junctions, or zonula occludens, form a continuous barrier to fluids across the epithelium and endothelium. They function in regulation of paracellular permeability and in the maintenance of cell polarity, blocking the movement of transmembrane proteins between the apical and the basolateral cell surfaces. Tight junctions are composed of claudin and occludin proteins, which join the junctions to the cytoskeleton (7,8). Zona occludens proteins ZO-1, 2, and 3 (also known as TJP 1, 2, and 3) are peripheral membrane adaptor proteins that link junctional transmembrane proteins such as occludin and claudin to the actin cytoskeleton (9). ZO-1 and -2 are required for tight junction formation and function (10,11); mutations in ZO-1 and Claudin induce EMT (12). Vimentin is an intermediate filament of mesenchymal origin and is present at early developmental stages. Vimentin's dynamic structural changes and spatial re-organization in response to extracellular stimuli helps to coordinate various signaling pathways (13). β-catenin is a key downstream effector in the Wnt signaling pathway (14). It is implicated in two major biological processes in vertebrates: early embryonic development (15) and tumorigenesis (16). β-catenin also activates Slug. Slug (SNAI2) is a widely expressed transcriptional repressor and member of the Snail family of zinc finger transcription factors (17). Similar to the related Snail protein, Slug binds to the E-cadherin promoter region to repress transcription during development (18). The binding of Slug to integrin promoter sequences represses integrin expression and results in reduced cell adhesion (19). Down regulation of E-cadherin expression occurs during the EMT during embryonic development (20). ZEB family proteins are zinc finger and homeobox domain containing transcription factors. One of the targets suppressed by ZEB proteins is E-cadherin (1).

Trademarks and Patents

Cell Signaling Technology is a trademark of Cell Signaling Technology, Inc.

All other trademarks are the property of their respective owners. Visit cellsignal.com/trademarks for more information.

Limited Uses

Except as otherwise expressly agreed in a writing signed by a legally authorized representative of CST, the following terms apply to Products provided by CST, its affiliates or its distributors. Any Customer's terms and conditions that are in addition to, or different from, those contained herein, unless separately accepted in writing by a legally authorized representative of CST, are rejected and are of no force or effect.

Products are labeled with For Research Use Only or a similar labeling statement and have not been approved, cleared, or licensed by the FDA or other regulatory foreign or domestic entity, for any purpose. Customer shall not use any Product for any diagnostic or therapeutic purpose, or otherwise in any manner that conflicts with its labeling statement. Products sold or licensed by CST are provided for Customer as the end-user and solely for research and development uses. Any use of Product for diagnostic, prophylactic or therapeutic purposes, or any purchase of Product for resale (alone or as a component) or other commercial purpose, requires a separate license from CST. Customer shall (a) not sell, license, loan, donate or otherwise transfer or make available any Product to any third party, whether alone or in combination with other materials, or use the Products to manufacture any commercial products, (b) not copy, modify, reverse engineer, decompile, disassemble or otherwise attempt to discover the underlying structure or technology of the Products, or use the Products for the purpose of developing any products or services that would compete with CST products or services, (c) not alter or remove from the Products any trademarks, trade names, logos, patent or copyright notices or markings, (d) use the Products solely in accordance with CST Product Terms of Sale and any applicable documentation, and (e) comply with any license, terms of service or similar agreement with respect to any third party products or services used by Customer in connection with the Products.

Orders: 877-616-CELL (2355) [email protected] Support: 877-678-TECH (8324) [email protected] Web: cellsignal.com
For Research Use Only. Not for Use in Diagnostic Procedures.

Revision 1

Cell Signaling Technology Logo
Western blot analysis of extracts from A172 and MCF7 cells using N-Cadherin (D4R1H) XP® Rabbit mAb (upper) or β-Actin (D6A8) Rabbit mAb #8457 (lower).
undefined Image 1: Epithelial-Mesenchymal Transition (EMT) Antibody Sampler Kit
Western blot analysis of extracts from A431 and MCF7 cells using Claudin-1 (D5H1D) XP® Rabbit mAb (upper) or β-Actin (D6A8) Rabbit mAb #8457 (lower).
undefined Image 2: Epithelial-Mesenchymal Transition (EMT) Antibody Sampler Kit
Western blot analysis of extracts from various cell lines, using E-Cadherin (24E10) Rabbit mAb.
undefined Image 3: Epithelial-Mesenchymal Transition (EMT) Antibody Sampler Kit
Orders: 877-616-CELL (2355) [email protected] Support: 877-678-TECH (8324) [email protected] Web: cellsignal.com
For Research Use Only. Not for Use in Diagnostic Procedures.

Revision 1

Cell Signaling Technology Logo
Immunohistochemical analysis of paraffin-embedded human prostate adenocarcinoma using E-Cadherin (24E10) Rabbit mAb performed on the Leica BOND Rx.
undefined Image 4: Epithelial-Mesenchymal Transition (EMT) Antibody Sampler Kit
Western blot analysis of extracts from COS cells, mock transfected or transfected with a construct expressing human ZEB1, using ZEB1 (D80D3) Rabbit mAb.
undefined Image 5: Epithelial-Mesenchymal Transition (EMT) Antibody Sampler Kit
Western blot analysis of extracts from various cell lines using Snail (C15D3) Rabbit mAb.
undefined Image 6: Epithelial-Mesenchymal Transition (EMT) Antibody Sampler Kit
Orders: 877-616-CELL (2355) [email protected] Support: 877-678-TECH (8324) [email protected] Web: cellsignal.com
For Research Use Only. Not for Use in Diagnostic Procedures.

Revision 1

Cell Signaling Technology Logo
Western blot analysis of extracts from control HeLa cells (lane 1) or Vimentin knockout HeLa cells (lane 2) using Vimentin (D21H3) XP® Rabbit mAb #5741 (upper) or β-Actin (13E5) Rabbit mAb #4970 (lower). The absence of signal in the Vimentin knockout HeLa cells confirms specificity of the antibody for Vimentin.
undefined Image 7: Epithelial-Mesenchymal Transition (EMT) Antibody Sampler Kit
After the primary antibody is bound to the target protein, a complex with HRP-linked secondary antibody is formed. The LumiGLO® is added and emits light during enzyme catalyzed decomposition.
undefined Image 8: Epithelial-Mesenchymal Transition (EMT) Antibody Sampler Kit
Western blot analysis of extracts from various cell lines using ZO-1 (D7D12) Rabbit mAb.
undefined Image 9: Epithelial-Mesenchymal Transition (EMT) Antibody Sampler Kit
Orders: 877-616-CELL (2355) [email protected] Support: 877-678-TECH (8324) [email protected] Web: cellsignal.com
For Research Use Only. Not for Use in Diagnostic Procedures.

Revision 1

Cell Signaling Technology Logo
Western blot analysis of extracts from control HeLa cells (lane 1) or HeLa cells with an apparent in-frame truncation mutation in the gene encoding β-Catenin (lane 2) using β-Catenin (D10A8) XP® Rabbit mAb, #8480 (upper) or β-actin (D6A8) Rabbit mAb #8457 (lower). The change in β-Catenin molecular weight in the mutated HeLa cells is consistent with an in-frame deletion.
undefined Image 10: Epithelial-Mesenchymal Transition (EMT) Antibody Sampler Kit
CUT&RUN was performed with HCT 116 cells and β-Catenin (D10A8) XP® Rabbit mAb, using CUT&RUN Assay Kit #86652. DNA library was prepared using DNA Library Prep Kit for Illumina® (ChIP-seq, CUT&RUN) #56795. The figure shows binding across Axin2, a known target gene of β-Catenin (see additional figure containing CUT&RUN-qPCR data).
undefined Image 11: Epithelial-Mesenchymal Transition (EMT) Antibody Sampler Kit
Immunohistochemical analysis of paraffin-embedded human prostate adenocarcinoma using ß-Catenin (D10A8) XP® Rabbit mAb performed on the Leica® BOND™ Rx.
undefined Image 12: Epithelial-Mesenchymal Transition (EMT) Antibody Sampler Kit
Orders: 877-616-CELL (2355) [email protected] Support: 877-678-TECH (8324) [email protected] Web: cellsignal.com
For Research Use Only. Not for Use in Diagnostic Procedures.

Revision 1

Cell Signaling Technology Logo
Western blot analysis of extracts from A204, SKMEL5, and NIH/3T3 cells using Slug (C19G7) Rabbit mAb.
undefined Image 13: Epithelial-Mesenchymal Transition (EMT) Antibody Sampler Kit
Immunohistochemical analysis of paraffin-embedded human non-Hodgkin Lymphoma using N-Cadherin (D4R1H) XP® Rabbit mAb performed on the Leica® BOND™ Rx.
undefined Image 14: Epithelial-Mesenchymal Transition (EMT) Antibody Sampler Kit
Simple Western™ analysis of lysates (0.1 mg/mL) from A172 lysate using N-Cadherin (D4R1H) XP® Rabbit mAb #13116. The virtual lane view (left) shows the target band (as indicated) at 1:10 and 1:50 dilutions of primary antibody. The corresponding electropherogram view (right) plots chemiluminescence by molecular weight along the capillary at 1:10 (blue line) and 1:50 (green line) dilutions of primary antibody. This experiment was performed under reducing conditions on the Jess™ Simple Western instrument from ProteinSimple, a BioTechne brand, using the 12-230 kDa separation module.
undefined Image 15: Epithelial-Mesenchymal Transition (EMT) Antibody Sampler Kit
Orders: 877-616-CELL (2355) [email protected] Support: 877-678-TECH (8324) [email protected] Web: cellsignal.com
For Research Use Only. Not for Use in Diagnostic Procedures.

Revision 1

Cell Signaling Technology Logo
Immunoprecipitation of claudin-1 from A-431 cell extracts using Rabbit (DA1E) mAb IgG XP® Isotype Control #3900 (lane 2) or Claudin-1 (D5H1D) XP® Rabbit mAb (lane 3). Lane 1 is 10% input. Western blot was performed using Claudin-1 (D5H1D) Rabbit mAb.
undefined Image 16: Epithelial-Mesenchymal Transition (EMT) Antibody Sampler Kit
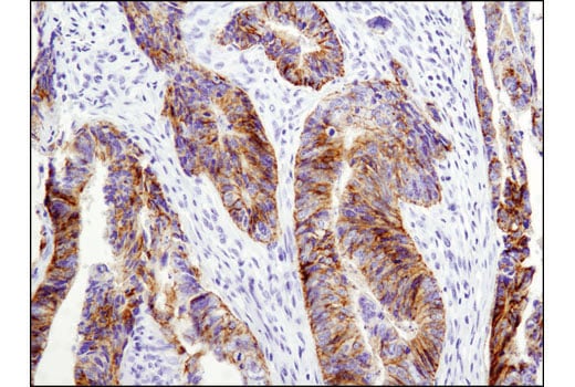
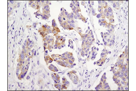
Immunohistochemical analysis of paraffin-embedded human papillary thyroid carcinoma using E-Cadherin (24E10) Rabbit mAb performed on the Leica BOND Rx.
undefined Image 17: Epithelial-Mesenchymal Transition (EMT) Antibody Sampler Kit
Western blot analysis of extracts from Jurkat, HT1080 and A172 cells using ZEB1 (D80D3) Rabbit mAb.
undefined Image 18: Epithelial-Mesenchymal Transition (EMT) Antibody Sampler Kit
Orders: 877-616-CELL (2355) [email protected] Support: 877-678-TECH (8324) [email protected] Web: cellsignal.com
For Research Use Only. Not for Use in Diagnostic Procedures.

Revision 1

Cell Signaling Technology Logo
Western blot analysis of extracts from various cell lines using Vimentin (D21H3) XP® Rabbit mAb.
undefined Image 19: Epithelial-Mesenchymal Transition (EMT) Antibody Sampler Kit
Immunoprecipitation and western blot analysis of extracts from Hep G2 cells using ZO-1 (D7D12) Rabbit mAb. Lane 1 is 10% input.
undefined Image 20: Epithelial-Mesenchymal Transition (EMT) Antibody Sampler Kit
Western blot analysis of extracts from various cell lines using β-Catenin (D10A8) XP® Rabbit mAb.
undefined Image 21: Epithelial-Mesenchymal Transition (EMT) Antibody Sampler Kit
Orders: 877-616-CELL (2355) [email protected] Support: 877-678-TECH (8324) [email protected] Web: cellsignal.com
For Research Use Only. Not for Use in Diagnostic Procedures.

Revision 1

Cell Signaling Technology Logo
CUT&RUN was performed with HCT 116 cells and β-Catenin (D10A8) XP® Rabbit mAb, using CUT&RUN Assay Kit #86652. DNA Libraries were prepared using DNA Library Prep Kit for Illumina® (ChIP-seq, CUT&RUN) #56795. The figures show binding across chromosome 17 (upper), including Axin2 (lower), a known target gene of β-Catenin (see additional figure containing CUT&RUN-qPCR data).
undefined Image 22: Epithelial-Mesenchymal Transition (EMT) Antibody Sampler Kit
Immunohistochemical analysis of paraffin-embedded human colon adenocarcinoma using ß-Catenin (D10A8) XP® Rabbit mAb performed on the Leica® BOND™ Rx.
undefined Image 23: Epithelial-Mesenchymal Transition (EMT) Antibody Sampler Kit
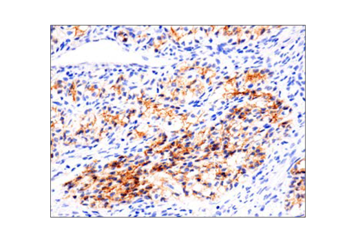
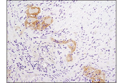
Immunohistochemical analysis of paraffin-embedded human granulosa cell tumor of the ovary using N-Cadherin (D4R1H) XP® Rabbit mAb performed on the Leica® BOND™ Rx.
undefined Image 24: Epithelial-Mesenchymal Transition (EMT) Antibody Sampler Kit
Orders: 877-616-CELL (2355) [email protected] Support: 877-678-TECH (8324) [email protected] Web: cellsignal.com
For Research Use Only. Not for Use in Diagnostic Procedures.

Revision 1

Cell Signaling Technology Logo
Immunohistochemical analysis of paraffin-embedded human colon carcinoma using Claudin-1 (D5H1D) XP® Rabbit mAb.
undefined Image 25: Epithelial-Mesenchymal Transition (EMT) Antibody Sampler Kit
Immunohistochemical analysis of paraffin-embedded human lung carcinoma, using E-Cadherin (24E10) Rabbit mAb.
undefined Image 26: Epithelial-Mesenchymal Transition (EMT) Antibody Sampler Kit
Western blot analysis of extracts from HeLa and NIH/3T3 cells using Vimentin (D21H3) XP® Rabbit mAb #5741 (green), and α-Actinin (E7U1O) Mouse mAb #69758 (red). Anti-rabbit IgG (H+L) (DyLight 800 4X PEG Conjugate) #5151 (green) and Anti-mouse IgG (H+L) (DyLight 680 Conjugate) #5470 (red) were used as secondary antibodies.
undefined Image 27: Epithelial-Mesenchymal Transition (EMT) Antibody Sampler Kit
Orders: 877-616-CELL (2355) [email protected] Support: 877-678-TECH (8324) [email protected] Web: cellsignal.com
For Research Use Only. Not for Use in Diagnostic Procedures.

Revision 1

Cell Signaling Technology Logo
CUT&RUN was performed with HCT 116 cells and either β-Catenin (D10A8) XP® Rabbit mAb or Rabbit (DA1E) mAb IgG XP® Isotype Control (CUT&RUN) #66362, using CUT&RUN Assay Kit #86652. The enriched DNA was quantified by real-time PCR using SimpleChIP® Human Axin2 Intron 1 Primers #8973, SimpleChIP® Human CaMK2D Intron 3 Primers #5111 and SimpleChIP® Human α Satellite Repeat Primers #4486. The amount of immunoprecipitated DNA in each sample is represented as signal relative to the total amount of input chromatin, which is equivalent to one.
undefined Image 28: Epithelial-Mesenchymal Transition (EMT) Antibody Sampler Kit
Immunohistochemical analysis of paraffin-embedded human serous adenocarcinoma of the ovary using ß-Catenin (D10A8) XP® Rabbit mAb performed on the Leica® BOND™ Rx.
undefined Image 29: Epithelial-Mesenchymal Transition (EMT) Antibody Sampler Kit
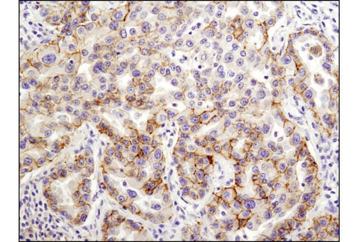
Immunohistochemical analysis of paraffin-embedded human gastric carcinoma using N-Cadherin (D4R1H) XP® Rabbit mAb performed on the Leica® BOND™ Rx.
undefined Image 30: Epithelial-Mesenchymal Transition (EMT) Antibody Sampler Kit
Orders: 877-616-CELL (2355) [email protected] Support: 877-678-TECH (8324) [email protected] Web: cellsignal.com
For Research Use Only. Not for Use in Diagnostic Procedures.

Revision 1

Cell Signaling Technology Logo
Immunohistochemical analysis of paraffin-embedded human lung carcinoma using Claudin-1 (D5H1D) XP® Rabbit mAb.
undefined Image 31: Epithelial-Mesenchymal Transition (EMT) Antibody Sampler Kit
Immunohistochemical analysis of paraffin-embedded human metastatic adenocarcinoma in lymph node, using E-Cadherin (24E10) Rabbit mAb.
undefined Image 32: Epithelial-Mesenchymal Transition (EMT) Antibody Sampler Kit
Simple Western™ analysis of lysates (1 mg/mL) from HeLa cells using Vimentin (D21H3) XP ® Rabbit mAb #5741. The virtual lane view (left) shows a single target band (as indicated) at 1:10 and 1:50 dilutions of primary antibody. The corresponding electropherogram view (right) plots chemiluminescence by molecular weight along the capillary at 1:10 (blue line) and 1:50 (green line) dilutions of primary antibody. This experiment was performed under reducing conditions on the Jess™ Simple Western instrument from ProteinSimple, a BioTechne brand, using the 12-230 kDa separation module.
undefined Image 33: Epithelial-Mesenchymal Transition (EMT) Antibody Sampler Kit
Orders: 877-616-CELL (2355) [email protected] Support: 877-678-TECH (8324) [email protected] Web: cellsignal.com
For Research Use Only. Not for Use in Diagnostic Procedures.

Revision 1

Cell Signaling Technology Logo
Immunohistochemical analysis of paraffin-embedded human colon adenocarcinoma using ß-Catenin (D10A8) XP® Rabbit mAb.
undefined Image 34: Epithelial-Mesenchymal Transition (EMT) Antibody Sampler Kit
Confocal immunofluorescent analysis of A204 cells (left) and PANC-1 cells (right) using Slug (C19G7) Rabbit mAb (green). Actin filaments have been labeled with DY554 phalloidin (red).
undefined Image 35: Epithelial-Mesenchymal Transition (EMT) Antibody Sampler Kit
Immunohistochemical analysis of paraffin-embedded human colon using N-Cadherin (D4R1H) XP® Rabbit mAb. Note staining of myenteric plexus.
undefined Image 36: Epithelial-Mesenchymal Transition (EMT) Antibody Sampler Kit
Orders: 877-616-CELL (2355) [email protected] Support: 877-678-TECH (8324) [email protected] Web: cellsignal.com
For Research Use Only. Not for Use in Diagnostic Procedures.

Revision 1

Cell Signaling Technology Logo
Immunohistochemical analysis of paraffin-embedded cell pellets, A-431 (left) and MCF7 (right), using Claudin-1 (D5H1D) XP® Rabbit mAb.
undefined Image 37: Epithelial-Mesenchymal Transition (EMT) Antibody Sampler Kit
Immunohistochemical analysis of paraffin-embedded mouse prostate using E-Cadherin (24E10) Rabbit mAb.
undefined Image 38: Epithelial-Mesenchymal Transition (EMT) Antibody Sampler Kit
Immunohistochemical analysis of paraffin-embedded human squamous cell lung carcinoma using Vimentin (D21H3) XP® Rabbit mAb performed on the Leica® BOND™ Rx.
undefined Image 39: Epithelial-Mesenchymal Transition (EMT) Antibody Sampler Kit
Orders: 877-616-CELL (2355) [email protected] Support: 877-678-TECH (8324) [email protected] Web: cellsignal.com
For Research Use Only. Not for Use in Diagnostic Procedures.

Revision 1

Cell Signaling Technology Logo
Immunohistochemical analysis of paraffin-embedded human lung carcinoma using β-Catenin (D10A8) XP® Rabbit mAb.
undefined Image 40: Epithelial-Mesenchymal Transition (EMT) Antibody Sampler Kit
Flow cytometric analysis of PANC-1 cells (blue) and A204 cells (green) using Slug (C19G7) Rabbit mAb (solid lines) or a concentration-matched Rabbit (DA1E) mAb IgG XP® Isotype Control #3900 (dashed lines). Anti-rabbit IgG (H+L), F(ab')2 Fragment (Alexa Fluor® 488 Conjugate) #4412 was used as a secondary antibody.
undefined Image 41: Epithelial-Mesenchymal Transition (EMT) Antibody Sampler Kit
Immunohistochemical analysis of paraffin-embedded human ovarian carcinoma using N-Cadherin (D4R1H) XP® Rabbit mAb.
undefined Image 42: Epithelial-Mesenchymal Transition (EMT) Antibody Sampler Kit
Orders: 877-616-CELL (2355) [email protected] Support: 877-678-TECH (8324) [email protected] Web: cellsignal.com
For Research Use Only. Not for Use in Diagnostic Procedures.

Revision 1

Cell Signaling Technology Logo
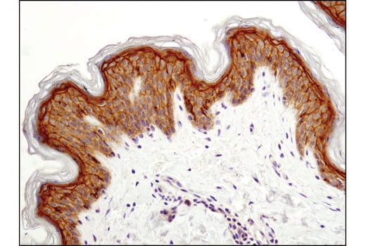
Immunohistochemical analysis of paraffin-embedded human skin using Claudin-1 (D5H1D) XP® Rabbit mAb.
undefined Image 43: Epithelial-Mesenchymal Transition (EMT) Antibody Sampler Kit
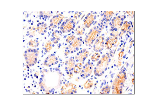
Immunohistochemical analysis of paraffin-embedded mouse pancreas using E-Cadherin (24E10) Rabbit mAb.
undefined Image 44: Epithelial-Mesenchymal Transition (EMT) Antibody Sampler Kit
Immunohistochemical analysis of paraffin-embedded human endometrioid adenocarcinoma using Vimentin (D21H3) XP® Rabbit mAb performed on the Leica® BOND™ Rx.
undefined Image 45: Epithelial-Mesenchymal Transition (EMT) Antibody Sampler Kit
Orders: 877-616-CELL (2355) [email protected] Support: 877-678-TECH (8324) [email protected] Web: cellsignal.com
For Research Use Only. Not for Use in Diagnostic Procedures.

Revision 1

Cell Signaling Technology Logo
Immunohistochemical analysis of paraffin-embedded human colon adenocarcinoma using ß-Catenin (D10A8) XP® Rabbit mAb.
undefined Image 46: Epithelial-Mesenchymal Transition (EMT) Antibody Sampler Kit
Immunohistochemical analysis of paraffin-embedded A172 (positive, left) and MCF7 (negative, right) cell pellets using N-Cadherin (D4R1H) XP® Rabbit mAb.
undefined Image 47: Epithelial-Mesenchymal Transition (EMT) Antibody Sampler Kit
Confocal immunofluorescent images of MCF7 cells using E-Cadherin (24E10) Rabbit mAb (green, left) compared to an isotype control (right). Blue pseudocolor = DRAQ5® (fluorescent DNA dye).
undefined Image 48: Epithelial-Mesenchymal Transition (EMT) Antibody Sampler Kit
Orders: 877-616-CELL (2355) [email protected] Support: 877-678-TECH (8324) [email protected] Web: cellsignal.com
For Research Use Only. Not for Use in Diagnostic Procedures.

Revision 1

Cell Signaling Technology Logo
Immunohistochemical analysis of paraffin-embedded mouse small intestine using E-Cadherin (24E10) Rabbit mAb.
undefined Image 49: Epithelial-Mesenchymal Transition (EMT) Antibody Sampler Kit
Immunohistochemical analysis of paraffin-embedded human breast carcinoma using Vimentin (D21H3) XP® Rabbit mAb.
undefined Image 50: Epithelial-Mesenchymal Transition (EMT) Antibody Sampler Kit
Immunohistochemical analysis of paraffin-embedded human colon carcinoma using β-Catenin (D10A8) XP® Rabbit mAb.
undefined Image 51: Epithelial-Mesenchymal Transition (EMT) Antibody Sampler Kit
Orders: 877-616-CELL (2355) [email protected] Support: 877-678-TECH (8324) [email protected] Web: cellsignal.com
For Research Use Only. Not for Use in Diagnostic Procedures.

Revision 1

Cell Signaling Technology Logo
Confocal immunofluorescent analysis of A172 (positive, left) and MCF7 (negative, right) cells using N-Cadherin (D4R1H) XP® Rabbit mAb (green). Blue pseudocolor= DRAQ5® #4084 (fluorescent DNA dye).
undefined Image 52: Epithelial-Mesenchymal Transition (EMT) Antibody Sampler Kit
Immunohistochemical analysis of paraffin-embedded mouse lung using E-Cadherin (24E10) Rabbit mAb.
undefined Image 53: Epithelial-Mesenchymal Transition (EMT) Antibody Sampler Kit
Immunohistochemical analysis of paraffin-embedded mouse colon using Vimentin (D21H3) XP® Rabbit mAb.
undefined Image 54: Epithelial-Mesenchymal Transition (EMT) Antibody Sampler Kit
Orders: 877-616-CELL (2355) [email protected] Support: 877-678-TECH (8324) [email protected] Web: cellsignal.com
For Research Use Only. Not for Use in Diagnostic Procedures.

Revision 1

Cell Signaling Technology Logo
Immunohistochemical analysis of paraffin-embedded human breast carcinoma using β-Catenin (D10A8) XP® Rabbit mAb.
undefined Image 55: Epithelial-Mesenchymal Transition (EMT) Antibody Sampler Kit
Immunohistochemical analysis of paraffin-embedded mouse stomach using E-Cadherin (24E10) Rabbit mAb.
undefined Image 56: Epithelial-Mesenchymal Transition (EMT) Antibody Sampler Kit
Immunohistochemical analysis of paraffin-embedded rat colon using Vimentin (D21H3) XP® Rabbit mAb.
undefined Image 57: Epithelial-Mesenchymal Transition (EMT) Antibody Sampler Kit
Orders: 877-616-CELL (2355) [email protected] Support: 877-678-TECH (8324) [email protected] Web: cellsignal.com
For Research Use Only. Not for Use in Diagnostic Procedures.

Revision 1

Cell Signaling Technology Logo
Immunohistochemical analysis of paraffin-embedded mouse colon using β-Catenin (D10A8) XP® Rabbit mAb in the presence of control peptide (left) or antigen-specific peptide (right).
undefined Image 58: Epithelial-Mesenchymal Transition (EMT) Antibody Sampler Kit
Immunohistochemical analysis of paraffin-embedded human breast carcinoma, using E-Cadherin (24E10) Rabbit mAb in the presence of control peptide (left) or E-Cadherin Blocking Peptide #1056 (right).
undefined Image 59: Epithelial-Mesenchymal Transition (EMT) Antibody Sampler Kit
Flow cytometric analysis of Jurkat cells (blue, negative) and MCF7 cells (green, positive) using E-Cadherin (24E10) Rabbit mAb (solid lines) or a concentration-matched Rabbit (DA1E) mAb IgG XP® Isotype Control #3900 (dashed lines). Anti-rabbit IgG (H+L), F(ab')₂ Fragment (Alexa Fluor® 488 Conjugate) #4412 was used as a secondary antibody.
undefined Image 60: Epithelial-Mesenchymal Transition (EMT) Antibody Sampler Kit
Orders: 877-616-CELL (2355) [email protected] Support: 877-678-TECH (8324) [email protected] Web: cellsignal.com
For Research Use Only. Not for Use in Diagnostic Procedures.

Revision 1

Cell Signaling Technology Logo
Immunohistochemical analysis of paraffin-embedded rhesus kidney using Vimentin (D21H3) XP® Rabbit mAb.
undefined Image 61: Epithelial-Mesenchymal Transition (EMT) Antibody Sampler Kit
Immunohistochemical analysis of paraffin-embedded cell pellets, HeLa (left) or NCI-H28 (right), using β-Catenin (D10A8) XP® Rabbit mAb.
undefined Image 62: Epithelial-Mesenchymal Transition (EMT) Antibody Sampler Kit
Immunohistochemical analysis of paraffin-embedded Syrian hamster small intestine using Vimentin (D21H3) XP® Rabbit mAb.
undefined Image 63: Epithelial-Mesenchymal Transition (EMT) Antibody Sampler Kit
Orders: 877-616-CELL (2355) [email protected] Support: 877-678-TECH (8324) [email protected] Web: cellsignal.com
For Research Use Only. Not for Use in Diagnostic Procedures.

Revision 1

Cell Signaling Technology Logo
Immunohistochemical analysis of paraffin-embedded human tonsil using Vimentin (D21H3) XP® Rabbit mAb in the presence of control peptide (left) or antigen-specific peptide (right).
undefined Image 64: Epithelial-Mesenchymal Transition (EMT) Antibody Sampler Kit
Confocal immunofluorescent analysis of mouse colon using β-Catenin (D10A8) XP® Rabbit mAb (green). Actin filaments were labeled with DY-554 phalloidin (red). Blue pseudocolor = DRAQ5® #4084 (fluorescent DNA dye).
undefined Image 65: Epithelial-Mesenchymal Transition (EMT) Antibody Sampler Kit
Confocal immunofluorescent analysis of fixed frozen mouse kidney labeled with Vimentin (D21H3) XP® Rabbit mAb (left, green) and co-labeled with F4/80 (BM8.1) Rat mAb (right, red), and ProLong® Gold Antifade Reagent with DAPI #8961 (right, blue).
undefined Image 66: Epithelial-Mesenchymal Transition (EMT) Antibody Sampler Kit
Orders: 877-616-CELL (2355) [email protected] Support: 877-678-TECH (8324) [email protected] Web: cellsignal.com
For Research Use Only. Not for Use in Diagnostic Procedures.

Revision 1

Cell Signaling Technology Logo
Confocal immunofluorescent analysis of HeLa (left) and NCI-H28 (right) cells using β-Catenin (D10A8) XP® Rabbit mAb (green). Blue pseudocolor = DRAQ5® #4084 (fluorescent DNA dye).
undefined Image 67: Epithelial-Mesenchymal Transition (EMT) Antibody Sampler Kit
Confocal immunofluorescent analysis of fixed frozen mouse cerebellum labeled with Vimentin (D21H3) XP® Rabbit mAb (left, green) and co-labeled with F4/80 (BM8.1) Rat mAb (right, red), and ProLong® Gold Antifade Reagent with DAPI #8961 (right, blue).
undefined Image 68: Epithelial-Mesenchymal Transition (EMT) Antibody Sampler Kit
Flow cytometric analysis of NCI-H28 cells (green) and HeLa cells (blue) using β-Catenin (D10A8) XP® Rabbit mAb (solid lines) or concentration-matched Rabbit Isotype Control #3900 (dashed lines). Anti-rabbit IgG (H+L), F(ab')2 Fragment (Alexa Fluor® 488 Conjugate) #4412 was used as secondary antibody.
undefined Image 69: Epithelial-Mesenchymal Transition (EMT) Antibody Sampler Kit
Orders: 877-616-CELL (2355) [email protected] Support: 877-678-TECH (8324) [email protected] Web: cellsignal.com
For Research Use Only. Not for Use in Diagnostic Procedures.

Revision 1

Cell Signaling Technology Logo
Confocal immunofluorescent analysis of fixed frozen mouse colon using Vimentin (D21H3) XP® Rabbit mAb (green), F4/80 (BM8.1) Rat mAb (red), and ProLong® Gold Antifade Reagent with DAPI #8961 (blue).
undefined Image 70: Epithelial-Mesenchymal Transition (EMT) Antibody Sampler Kit
Confocal immunofluorescent analysis of SNB19 cells using Vimentin (D21H3) Rabbit mAb (green). Blue pseudocolor = DRAQ5® #4084 (fluorescent DNA dye).
undefined Image 71: Epithelial-Mesenchymal Transition (EMT) Antibody Sampler Kit
Chromatin immunoprecipitations were performed with cross-linked chromatin from HCT116 cells and either β-Catenin (D10A8) XP® Rabbit mAb or Non-phospho (Active) β-Catenin (Ser33/37/Thr41) (D13A1) Rabbit mAb #8814, using SimpleChIP® Enzymatic Chromatin IP Kit (Magnetic Beads) #9005. DNA Libraries were prepared using DNA Library Prep Kit for Illumina® (ChIP-seq, CUT&RUN) #56795. The figure shows binding across AXIN2, a known target gene of β-Catenin (see additional figure containing ChIP-qPCR data).
undefined Image 72: Epithelial-Mesenchymal Transition (EMT) Antibody Sampler Kit
Orders: 877-616-CELL (2355) [email protected] Support: 877-678-TECH (8324) [email protected] Web: cellsignal.com
For Research Use Only. Not for Use in Diagnostic Procedures.

Revision 1

Cell Signaling Technology Logo
Flow cytometric analysis of MCF7 cells (blue, negative) and HeLa cells (green, positive) using Vimentin (D21H3) XP® Rabbit mAb(solid lines) or a concentration-matched Rabbit (DA1E) mAb IgG XP® Isotype Control #3900 (dashed lines). Anti-rabbit IgG (H+L), F(ab')2 Fragment (Alexa Fluor® 488 Conjugate) #4412 was used as a secondary antibody.
undefined Image 73: Epithelial-Mesenchymal Transition (EMT) Antibody Sampler Kit
Chromatin immunoprecipitations were performed with cross-linked chromatin from HCT116 cells and either β-Catenin (D10A8) XP® Rabbit mAb or Non-phospho (Active) β-Catenin (Ser33/37/Thr41) (D13A1) Rabbit mAb #8814, using SimpleChIP® Enzymatic Chromatin IP Kit (Magnetic Beads) #9005. DNA Libraries were prepared using DNA Library Prep Kit for Illumina® (ChIP-seq, CUT&RUN) #56795. The figure shows binding across chromosome 17 (upper), including AXIN2 (lower), a known target gene of β-Catenin (see additional figure containing ChIP-qPCR data).
undefined Image 74: Epithelial-Mesenchymal Transition (EMT) Antibody Sampler Kit
Chromatin immunoprecipitations were performed with cross-linked chromatin from HCT 116 cells and either β-Catenin (D10A8) XP® Rabbit mAb or Normal Rabbit IgG #2729 using SimpleChIP® Enzymatic Chromatin IP Kit (Magnetic Beads) #9003. The enriched DNA was quantified by real-time PCR using SimpleChIP® Human Axin2 Intron 1 Primers #8973, SimpleChIP® Human CaMK2D Intron 3 Primers #5111, human c-Myc promoter primers, and SimpleChIP® Human α Satellite Repeat Primers #4486. The amount of immunoprecipitated DNA in each sample is represented as signal relative to the total amount of input chromatin, which is equivalent to one.
undefined Image 75: Epithelial-Mesenchymal Transition (EMT) Antibody Sampler Kit
Orders: 877-616-CELL (2355) [email protected] Support: 877-678-TECH (8324) [email protected] Web: cellsignal.com
For Research Use Only. Not for Use in Diagnostic Procedures.

Revision 1

Cell Signaling Technology Logo
Confocal immunofluorescent analysis of fixed frozen mouse liver labeled with N-Cadherin (D4R1H) XP® Rabbit mAb (green), DyLight 554 Phalloidin #13054 (red) and ProLong® Gold Antifade Reagent with DAPI #8961 (blue).
undefined Image 76: Epithelial-Mesenchymal Transition (EMT) Antibody Sampler Kit
Confocal immunofluorescent analysis of fixed frozen mouse choroid plexus labeled with N-Cadherin (D4R1H) XP® Rabbit mAb (green) and ProLong® Gold Antifade Reagent with DAPI #8961 (blue).
undefined Image 77: Epithelial-Mesenchymal Transition (EMT) Antibody Sampler Kit
Confocal immunofluorescent analysis of fixed frozen mouse heart labeled with N-Cadherin (D4R1H) XP® Rabbit mAb (green), DyLight 554 Phalloidin #13054 (red) and ProLong® Gold Antifade Reagent with DAPI #8961 (blue).
undefined Image 78: Epithelial-Mesenchymal Transition (EMT) Antibody Sampler Kit
Orders: 877-616-CELL (2355) [email protected] Support: 877-678-TECH (8324) [email protected] Web: cellsignal.com
For Research Use Only. Not for Use in Diagnostic Procedures.

Revision 1

Cell Signaling Technology Logo
Simple Western™ analysis of lysates (0.1 mg/mL) from MCF-7 cells using E-Cadherin (24E10) Rabbit mAb #3195. The virtual lane view (left) shows a single target band (as indicated) at 1:10 and 1:50 dilutions of primary antibody. The corresponding electropherogram view (right) plots chemiluminescence by molecular weight along the capillary at 1:10 (blue line) and 1:50 (green line) dilutions of primary antibody. This experiment was performed under reducing conditions on the Jess™ Simple Western instrument from ProteinSimple, a BioTechne brand, using the 12-230 kDa separation module.
undefined Image 79: Epithelial-Mesenchymal Transition (EMT) Antibody Sampler Kit
Confocal immunofluorescent analysis of fixed frozen mouse small intestine using E-Cadherin (24E10) Rabbit mAb (green) and ProLong Gold Antifade Reagent with DAPI #8961 (blue).
undefined Image 80: Epithelial-Mesenchymal Transition (EMT) Antibody Sampler Kit
Confocal immunofluorescent analysis of fixed frozen mouse pancreas using E-Cadherin (24E10) Rabbit mAb (green) and ProLong Gold Antifade Reagent with DAPI #8961 (blue).
undefined Image 81: Epithelial-Mesenchymal Transition (EMT) Antibody Sampler Kit
Orders: 877-616-CELL (2355) [email protected] Support: 877-678-TECH (8324) [email protected] Web: cellsignal.com
For Research Use Only. Not for Use in Diagnostic Procedures.

Revision 1

Cell Signaling Technology Logo
Immunoprecipitation of ZEB1 protein from Jurkat cell extracts. Lane 1 is 10% input, lane 2 is Rabbit (DA1E) mAb IgG XP® Isotype Control #3900, and lane 3 is ZEB1 (D80D3) Rabbit mAb. Western blot analysis was performed using ZEB1 (D80D3) Rabbit mAb.
undefined Image 82: Epithelial-Mesenchymal Transition (EMT) Antibody Sampler Kit
Immunoprecipitation of β-Catenin from HeLa cell extracts. Lane 1 is 10% input, lane 2 is precipitated with Rabbit (DA1E) mAb IgG XP® Isotype Control #3900, and lane 3 is β-Catenin (D10A8) XP® Rabbit mAb, #8480. Western blot was performed using β-Catenin (15B8) Mouse mAb, #37447.
undefined Image 83: Epithelial-Mesenchymal Transition (EMT) Antibody Sampler Kit
Simple Western™ analysis of lysates (0.1 mg/mL) from HeLa cells using β-Catenin (D10A8) XP® Rabbit mAb #8480. The virtual lane view (left) shows the target band (as indicated) at 1:10 and 1:50 dilutions of primary antibody. The corresponding electropherogram view (right) plots chemiluminescence by molecular weight along the capillary at 1:10 (blue line) and 1:50 (green line) dilutions of primary antibody. This experiment was performed under reducing conditions on the Jess™ ​​​​​​​ Simple Western instrument from ProteinSimple, a BioTechne brand, using the 12-230 kDa separation module.
undefined Image 84: Epithelial-Mesenchymal Transition (EMT) Antibody Sampler Kit
Orders: 877-616-CELL (2355) [email protected] Support: 877-678-TECH (8324) [email protected] Web: cellsignal.com
For Research Use Only. Not for Use in Diagnostic Procedures.