Revision 1

#50311

Store at -20C

CST Logo
Orders:

877-616-CELL (2355)

[email protected]

Support:

877-678-TECH (8324)

3 Trask Lane | Danvers | Massachusetts | 01923 | USA

For Research Use Only. Not for Use in Diagnostic Procedures.

Applications:
W, IF-IC

Reactivity:
H M R

Sensitivity:
Endogenous

MW (kDa):
85, 110

Source/Isotype:
Rabbit IgG

UniProt ID:
#Q9UHB6

Entrez-Gene Id:
51474

Product Usage Information

Application Dilution
Western Blotting 1:1000
Immunofluorescence (Immunocytochemistry) 1:200

Storage

Supplied in 10 mM sodium HEPES (pH 7.5), 150 mM NaCl, 100 µg/ml BSA, 50% glycerol and less than 0.02% sodium azide. Store at –20°C. Do not aliquot the antibody.

Specificity/Sensitivity

EPLIN (D1A7A) Rabbit Monoclonal Antibody recognizes endogenous levels of total EPLIN protein, including EPLIN-α and EPLIN-β isoforms. Based on the absence of signal in NCI-H28 cells, which appear to express low levels of β-Eplin, this antibody may have a preference for α-Eplin by immunofluorescence.

Source / Purification

Monoclonal antibody is produced by immunizing animals with a synthetic peptide corresponding to residues surrounding Gly455 of human EPLIN protein.

Background

Epithelial Protein Lost in Neoplasm (EPLIN) is an actin-binding protein that regulates actin filament dynamics and cross-linking (1). Alpha and beta isoforms are generated from alternate promoters, with the EPLIN-β isoform representing the full-length protein and the EPLIN-α isoform lacking the amino-terminal 160 amino acids (2). Increased expression of EPLIN protein results in more abundant and larger actin stress fibers due to stabilizing of cross-links and inhibition of actin depolymerization. EPLIN protein inhibits Rac1-promoted membrane ruffling and Arp2/3-associated actin filament branching (1).

Research studies demonstrate reduced EPLIN-α expression in tumor tissues, and correlate this reduction with increased invasiveness and poor clinical outcomes (3). The EPLIN protein is an important negative regulator of the epithelial-mesenchymal transition (EMT)(4). While EMT is a critical process during normal embryonic development, dysregulation in transformed cells is a key step in the transition to metastasis (5).

Species Reactivity

Species reactivity is determined by testing in at least one approved application (e.g., western blot).

Western Blot Buffer

IMPORTANT: For western blots, incubate membrane with diluted primary antibody in 5% w/v BSA, 1X TBS, 0.1% Tween® 20 at 4°C with gentle shaking, overnight.

Applications Key

W: Western Blotting IF-IC: Immunofluorescence (Immunocytochemistry)

Cross-Reactivity Key

H: Human M: Mouse R: Rat

Trademarks and Patents

Cell Signaling Technology is a trademark of Cell Signaling Technology, Inc.

All other trademarks are the property of their respective owners. Visit cellsignal.com/trademarks for more information.

Limited Uses

Except as otherwise expressly agreed in a writing signed by a legally authorized representative of CST, the following terms apply to Products provided by CST, its affiliates or its distributors. Any Customer's terms and conditions that are in addition to, or different from, those contained herein, unless separately accepted in writing by a legally authorized representative of CST, are rejected and are of no force or effect.

Products are labeled with For Research Use Only or a similar labeling statement and have not been approved, cleared, or licensed by the FDA or other regulatory foreign or domestic entity, for any purpose. Customer shall not use any Product for any diagnostic or therapeutic purpose, or otherwise in any manner that conflicts with its labeling statement. Products sold or licensed by CST are provided for Customer as the end-user and solely for research and development uses. Any use of Product for diagnostic, prophylactic or therapeutic purposes, or any purchase of Product for resale (alone or as a component) or other commercial purpose, requires a separate license from CST. Customer shall (a) not sell, license, loan, donate or otherwise transfer or make available any Product to any third party, whether alone or in combination with other materials, or use the Products to manufacture any commercial products, (b) not copy, modify, reverse engineer, decompile, disassemble or otherwise attempt to discover the underlying structure or technology of the Products, or use the Products for the purpose of developing any products or services that would compete with CST products or services, (c) not alter or remove from the Products any trademarks, trade names, logos, patent or copyright notices or markings, (d) use the Products solely in accordance with CST Product Terms of Sale and any applicable documentation, and (e) comply with any license, terms of service or similar agreement with respect to any third party products or services used by Customer in connection with the Products.

Orders: 877-616-CELL (2355) [email protected] Support: 877-678-TECH (8324) [email protected] Web: cellsignal.com
For Research Use Only. Not for Use in Diagnostic Procedures.

Revision 1

Cell Signaling Technology Logo
Western blot analysis of extracts from MDA-MB-231 and MDA-MB-486 cells using EPLIN (D1A7A) Rabbit mAb (upper) or β-Actin (D6A8) Rabbit mAb #8457 (lower).
Western Blotting Image 1: EPLIN (D1A7A) Rabbit Monoclonal Antibody
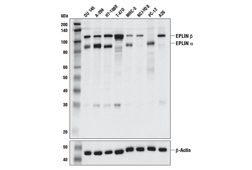
Western blot analysis of extracts from various cell lines using Eplin (D1A7A) Rabbit mAb (upper) or β-Actin (D6A8) Rabbit mAb #8457 (lower).
Western Blotting Image 2: EPLIN (D1A7A) Rabbit Monoclonal Antibody
Confocal immunofluorescent analysis of T-47D cells (left, EPLIN-β high-expressing, EPLIN-α low-expressing), MRC-5 cells (center, EPLIN-β/EPLIN-α moderate-expressing) and NCI-H28 cells (right, EPLIN-β moderate-expressing, EPLIN-α low-expressing) using EPLIN (D1A7A) Rabbit mAb (green). Blue pseudocolor = DRAQ5® #4084 (fluorescent DNA dye).
Immunofluorescence Image 1: EPLIN (D1A7A) Rabbit Monoclonal Antibody
Orders: 877-616-CELL (2355) [email protected] Support: 877-678-TECH (8324) [email protected] Web: cellsignal.com
For Research Use Only. Not for Use in Diagnostic Procedures.