Revision 1

#12460

Store at -20C

CST Logo
Orders:

877-616-CELL (2355)

[email protected]

Support:

877-678-TECH (8324)

3 Trask Lane | Danvers | Massachusetts | 01923 | USA

For Research Use Only. Not for Use in Diagnostic Procedures.

Applications:
W, IP, IF-IC

Reactivity:
H M R Mk

Sensitivity:
Endogenous

MW (kDa):
138

Source/Isotype:
Rabbit IgG

UniProt ID:
#P42566

Entrez-Gene Id:
2060

Product Usage Information

Application Dilution
Western Blotting 1:1000
Immunoprecipitation 1:100
Immunofluorescence (Immunocytochemistry) 1:200

Storage

Supplied in 10 mM sodium HEPES (pH 7.5), 150 mM NaCl, 100 µg/ml BSA, 50% glycerol and less than 0.02% sodium azide. Store at –20°C. Do not aliquot the antibody.

Specificity/Sensitivity

Eps15 (D3K8R) Rabbit Monoclonal Antibody recognizes endogenous levels of total Eps15 protein. Based upon sequence alignment, this antibody is predicted to react with both Eps15a and Eps15b. This antibody does not cross-react with Eps15R.

Species predicted to react based on 100% sequence homology

Chicken, Xenopus, Dog, Horse

Source / Purification

Monoclonal antibody is produced by immunizing animals with a synthetic peptide corresponding to residues surrounding Pro630 of human Eps15 protein.

Background

Eps15 (EGFR pathway substrate 15) was originally discovered as a substrate for the kinase activity of EGFR (1). Eps15 has a tripartite structure comprising an amino terminal portion, which contains three evolutionarily conserved EH protein-protein interaction domains, a central putative coiled-coil region required for constitutive oligmerization, and a carboxy terminal domain containing multiple copies of the amino acid triplet Asp-Pro-Phe that constitute the AP2 binding domain. The carboxy terminal domain also contains two ubiquitin interaction motifs (UIMs), the last of which is indespensible for Eps15 binding to ubiquitin (1). Several lines of evidence support a role for Eps15 in clathrin-mediated endocytosis, including the endocytosis of synaptic vesicles. Eps15 binds to AP2 as well as other proteins involved in endocytosis and/or synaptic vesicle recycling, such as synaptojanin1 and epsin. Furthermore, Eps15 colocalizes with markers of the plasma membrane clathrin-coated pits and vesicles (2). Eps15 regulates the endosomal trafficking of c-Met (3) and EGFR (4), possibly by recruiting the ubiquitinated receptors to the rims of clathrin-coated pits through interaction between the ubiquitin tag and its UIMs.

The EPS15 gene yields two isoforms that are believed to reside in distinct subcellular locations and are thus implicated in different facets of endosomal trafficking (5). Human EPS15 has been mapped to chromosome 1p31-p32, a region displaying several nonrandom chromosomal abnormalities, including deletions in neuroblastoma and translocations in acute lymphoblastic and myeloid leukemias. Research has shown two translocations t(1;11)(p32;q11) are found in rare cases of myeloid leukemia where the Eps15 gene was fused to the HRX gene, resulting in two reciprocal fusion genes (6).

Species Reactivity

Species reactivity is determined by testing in at least one approved application (e.g., western blot).

Western Blot Buffer

IMPORTANT: For western blots, incubate membrane with diluted primary antibody in 5% w/v nonfat dry milk, 1X TBS, 0.1% Tween® 20 at 4°C with gentle shaking, overnight.

Applications Key

W: Western Blotting IP: Immunoprecipitation IF-IC: Immunofluorescence (Immunocytochemistry)

Cross-Reactivity Key

H: Human M: Mouse R: Rat Mk: Monkey

Trademarks and Patents

Cell Signaling Technology is a trademark of Cell Signaling Technology, Inc.

All other trademarks are the property of their respective owners. Visit cellsignal.com/trademarks for more information.

Limited Uses

Except as otherwise expressly agreed in a writing signed by a legally authorized representative of CST, the following terms apply to Products provided by CST, its affiliates or its distributors. Any Customer's terms and conditions that are in addition to, or different from, those contained herein, unless separately accepted in writing by a legally authorized representative of CST, are rejected and are of no force or effect.

Products are labeled with For Research Use Only or a similar labeling statement and have not been approved, cleared, or licensed by the FDA or other regulatory foreign or domestic entity, for any purpose. Customer shall not use any Product for any diagnostic or therapeutic purpose, or otherwise in any manner that conflicts with its labeling statement. Products sold or licensed by CST are provided for Customer as the end-user and solely for research and development uses. Any use of Product for diagnostic, prophylactic or therapeutic purposes, or any purchase of Product for resale (alone or as a component) or other commercial purpose, requires a separate license from CST. Customer shall (a) not sell, license, loan, donate or otherwise transfer or make available any Product to any third party, whether alone or in combination with other materials, or use the Products to manufacture any commercial products, (b) not copy, modify, reverse engineer, decompile, disassemble or otherwise attempt to discover the underlying structure or technology of the Products, or use the Products for the purpose of developing any products or services that would compete with CST products or services, (c) not alter or remove from the Products any trademarks, trade names, logos, patent or copyright notices or markings, (d) use the Products solely in accordance with CST Product Terms of Sale and any applicable documentation, and (e) comply with any license, terms of service or similar agreement with respect to any third party products or services used by Customer in connection with the Products.

Orders: 877-616-CELL (2355) [email protected] Support: 877-678-TECH (8324) [email protected] Web: cellsignal.com
For Research Use Only. Not for Use in Diagnostic Procedures.

Revision 1

Cell Signaling Technology Logo
Western blot analysis of extracts from various cell lines using Eps15 (D3K8R) Rabbit mAb.
Western Blotting Image 1: Eps15 (D3K8R) Rabbit Monoclonal Antibody
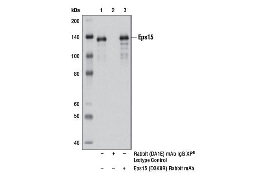
Immunoprecipitation of Eps15 from MCF7 cell extracts using Rabbit (DA1E) mAb IgG XP® Isotype Control #3900 (lane 2) or Eps15 (D3K8R) Rabbit mAb (lane 3). Lane 1 is 10% input. Western blot was performed using Eps15 (D3K8R) Rabbit mAb.
Immunoprecipitation Image 1: Eps15 (D3K8R) Rabbit Monoclonal Antibody
Confocal immunofluorescent analysis of A-431 cells, serum-starved (left) or treated with Human Epidermal Growth Factor (hEGF) #8916 (100 ng/mL, 1 hr, 4ºC; right), using Eps15 (D3K8R) Rabbit mAb (green). Blue pseudocolor = DRAQ5® #4084 (fluorescent DNA dye).
Immunofluorescence Image 1: Eps15 (D3K8R) Rabbit Monoclonal Antibody
Orders: 877-616-CELL (2355) [email protected] Support: 877-678-TECH (8324) [email protected] Web: cellsignal.com
For Research Use Only. Not for Use in Diagnostic Procedures.