Revision 1

#4759

Store at -20C

ER Protein Folding Antibody Sampler Kit

1 Kit

(7 x 20 microliters)

CST Logo
Orders:

877-616-CELL (2355)

[email protected]

Support:

877-678-TECH (8324)

3 Trask Lane | Danvers | Massachusetts | 01923 | USA

For Research Use Only. Not for Use in Diagnostic Procedures.

Product Includes Product # Quantity Mol. Wt Isotype/Source
BiP (C50B12) Rabbit Monoclonal Antibody317720 µl78 kDaRabbit IgG
Ero1-L alpha Antibody326420 µl60 kDaRabbit
ERp44 (D17A6) Rabbit Monoclonal Antibody379820 µl44 kDaRabbit IgG
ERp57 (G117) Antibody288120 µl57 kDaRabbit
ERp72 (D70D12) Rabbit Monoclonal Antibody503320 µl72 kDaRabbit IgG
Grp94 Antibody210420 µl100 kDaRabbit
PDI (C81H6) Rabbit Monoclonal Antibody350120 µl57 kDaRabbit
Anti-rabbit IgG, HRP-linked Antibody7074100 µlGoat

Please visit cellsignal.com for individual component applications, species cross-reactivity, dilutions, protocols, and additional product information.

Description

The ER Protein Folding Antibody Sampler Kit contains reagents to investigate the initiation of translation within the cell. The kit contains enough primary and secondary antibodies to perform two Western blot experiments per primary antibody.

Storage

Supplied in 10 mM sodium HEPES (pH 7.5), 150 mM NaCl, 100 µg/ml BSA, 50% glycerol and less than 0.02% sodium azide. Store at –20°C. Do not aliquot the antibody.

Background

After their synthesis, secretory proteins translocate into the endoplasmic reticulum (ER) where they are post-translationally modified and properly folded. To reach their native conformation, many secretory proteins require the formation of intra- or inter-molecular disulfide bonds (1). This process is called oxidative protein folding. Disulfide isomerase (PDI) catalyzes the formation and isomerization of these disulfide bonds (2). Studies on mechanisms of oxidative folding suggest that molecular oxygen oxidizes the ER-protein Ero1, which in turn oxidizes PDI through disulfide exchange (3). This event is then followed by PDI-catalyzed disulfide bond formation on folding proteins (3). Other ER resident proteins that possess the thioredoxin homology domains, including endoplasmic reticulum stress proteins 72, 57 and 44 (ERp72, ERp57 and ERp44), constitute the PDI family (4,5,6). The ER also contains a pool of molecular chaperones, including Grp94, to help proteins fold properly. Grp94 is a glucose-regulated protein (7) with sequence homology to Hsp90 (8). BiP is another chaperone whose synthesis is increased when protein folding is disturbed. BiP binds to misfolded proteins to prevent them from forming aggregates and assists in proper refolding (9).

Trademarks and Patents

Cell Signaling Technology is a trademark of Cell Signaling Technology, Inc.

U.S. Patent No. 7,429,487, foreign equivalents, and child patents deriving therefrom.

All other trademarks are the property of their respective owners. Visit cellsignal.com/trademarks for more information.

Limited Uses

Except as otherwise expressly agreed in a writing signed by a legally authorized representative of CST, the following terms apply to Products provided by CST, its affiliates or its distributors. Any Customer's terms and conditions that are in addition to, or different from, those contained herein, unless separately accepted in writing by a legally authorized representative of CST, are rejected and are of no force or effect.

Products are labeled with For Research Use Only or a similar labeling statement and have not been approved, cleared, or licensed by the FDA or other regulatory foreign or domestic entity, for any purpose. Customer shall not use any Product for any diagnostic or therapeutic purpose, or otherwise in any manner that conflicts with its labeling statement. Products sold or licensed by CST are provided for Customer as the end-user and solely for research and development uses. Any use of Product for diagnostic, prophylactic or therapeutic purposes, or any purchase of Product for resale (alone or as a component) or other commercial purpose, requires a separate license from CST. Customer shall (a) not sell, license, loan, donate or otherwise transfer or make available any Product to any third party, whether alone or in combination with other materials, or use the Products to manufacture any commercial products, (b) not copy, modify, reverse engineer, decompile, disassemble or otherwise attempt to discover the underlying structure or technology of the Products, or use the Products for the purpose of developing any products or services that would compete with CST products or services, (c) not alter or remove from the Products any trademarks, trade names, logos, patent or copyright notices or markings, (d) use the Products solely in accordance with CST Product Terms of Sale and any applicable documentation, and (e) comply with any license, terms of service or similar agreement with respect to any third party products or services used by Customer in connection with the Products.

Orders: 877-616-CELL (2355) [email protected] Support: 877-678-TECH (8324) [email protected] Web: cellsignal.com
For Research Use Only. Not for Use in Diagnostic Procedures.

Revision 1

Cell Signaling Technology Logo
Western blot analysis of extracts from various cell types using Grp94 Antibody.
undefined Image 1: ER Protein Folding Antibody Sampler Kit
Western blot analysis of extracts from various cell types using ERp57 (G117) Antibody.
undefined Image 2: ER Protein Folding Antibody Sampler Kit
Western blot analysis of extracts from various cell lines using BiP (C50B12) Rabbit mAb.
undefined Image 3: ER Protein Folding Antibody Sampler Kit
Orders: 877-616-CELL (2355) [email protected] Support: 877-678-TECH (8324) [email protected] Web: cellsignal.com
For Research Use Only. Not for Use in Diagnostic Procedures.

Revision 1

Cell Signaling Technology Logo
Western blot analysis of extracts from various cell lines, using Ero1-Lα Antibody.
undefined Image 4: ER Protein Folding Antibody Sampler Kit
Western blot analysis of extracts from various cell types using PDI (C81H6) Rabbit mAb.
undefined Image 5: ER Protein Folding Antibody Sampler Kit
Western blot analysis of extracts from various cell types using ERp44 (D17A6) XP® Rabbit mAb.
undefined Image 6: ER Protein Folding Antibody Sampler Kit
Orders: 877-616-CELL (2355) [email protected] Support: 877-678-TECH (8324) [email protected] Web: cellsignal.com
For Research Use Only. Not for Use in Diagnostic Procedures.

Revision 1

Cell Signaling Technology Logo
Western blot analysis of extracts from various cell lines using ERp72 (D70D12) XP® Rabbit mAb.
undefined Image 7: ER Protein Folding Antibody Sampler Kit
After the primary antibody is bound to the target protein, a complex with HRP-linked secondary antibody is formed. The LumiGLO® is added and emits light during enzyme catalyzed decomposition.
undefined Image 8: ER Protein Folding Antibody Sampler Kit
Immunohistochemical analysis of paraffin-embedded human lung carcinoma using PDI (C81H6) Rabbit mAb.
undefined Image 9: ER Protein Folding Antibody Sampler Kit
Orders: 877-616-CELL (2355) [email protected] Support: 877-678-TECH (8324) [email protected] Web: cellsignal.com
For Research Use Only. Not for Use in Diagnostic Procedures.

Revision 1

Cell Signaling Technology Logo
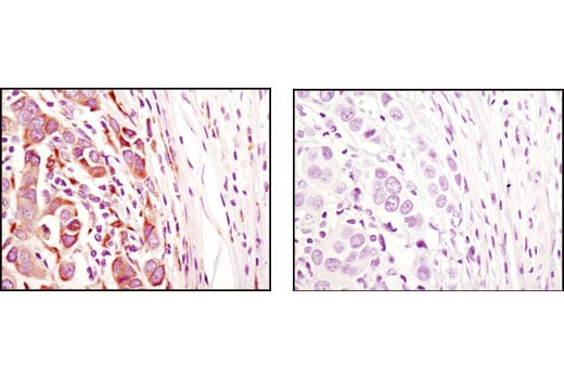
Immunohistochemical analysis of paraffin-embedded human breast carcinoma using ERp44 (D17A6) XP® Rabbit mAb in the presence of control peptide (left) or antigen-specific peptide (right).
undefined Image 10: ER Protein Folding Antibody Sampler Kit
Confocal immunofluorescent analysis of PANC-1 cells using ERp72 (D70D12) XP® Rabbit mAb (green) and β-Actin (8H10D10) Mouse mAb #3700 (red). Blue pseudocolor = DRAQ5® #4084 (fluorescent DNA dye).
undefined Image 11: ER Protein Folding Antibody Sampler Kit
Immunohistochemical analysis of paraffin-embedded human lymphoma using PDI (C81H6) Rabbit mAb.
undefined Image 12: ER Protein Folding Antibody Sampler Kit
Orders: 877-616-CELL (2355) [email protected] Support: 877-678-TECH (8324) [email protected] Web: cellsignal.com
For Research Use Only. Not for Use in Diagnostic Procedures.

Revision 1

Cell Signaling Technology Logo
Immunohistochemical analysis of paraffin-embedded mouse spleen using PDI (C81H6) Rabbit mAb.
undefined Image 13: ER Protein Folding Antibody Sampler Kit
Confocal immunofluorescent analysis of NIH/3T3 cells using PDI (C81H6) Rabbit mAb (green) and β-Actin (8H10D10) Mouse mAb #3700 (red). Blue pseudocolor = DRAQ5® #4084 (fluorescent DNA dye).
undefined Image 14: ER Protein Folding Antibody Sampler Kit
Immunohistochemical analysis of paraffin-embedded human glioblastoma using BiP (C50B12) Rabbit mAb.
undefined Image 15: ER Protein Folding Antibody Sampler Kit
Orders: 877-616-CELL (2355) [email protected] Support: 877-678-TECH (8324) [email protected] Web: cellsignal.com
For Research Use Only. Not for Use in Diagnostic Procedures.

Revision 1

Cell Signaling Technology Logo
Immunohistochemical analysis of paraffin-embedded human colon carcinoma using BiP (C50B12) Rabbit mAb.
undefined Image 16: ER Protein Folding Antibody Sampler Kit
Immunohistochemical analysis of paraffin-embedded human hepatocellular carcinoma using BiP (C50B12) Rabbit mAb.
undefined Image 17: ER Protein Folding Antibody Sampler Kit
Immunohistochemical analysis of paraffin-embedded human breast carcinoma using BiP (C50B12) Rabbit mAb in the presence of control peptide (left) or BiP Blocking Peptide #1084 (right).
undefined Image 18: ER Protein Folding Antibody Sampler Kit
Orders: 877-616-CELL (2355) [email protected] Support: 877-678-TECH (8324) [email protected] Web: cellsignal.com
For Research Use Only. Not for Use in Diagnostic Procedures.

Revision 1

Cell Signaling Technology Logo
Flow cytometric analysis of fixed and permeabilized MDA-MB-231 cells, untreated (blue) or treated with tunicamycin (1 µg/mL, 18 hr; green) using BiP (C50B12) Rabbit Monoclonal Antibody (solid lines) or concentration-matched Rabbit (DA1E) Monoclonal Antibody IgG Isotype Control #3900 (dashed lines). Anti-rabbit IgG (H+L), F(ab')2 Fragment (Alexa Fluor® 488 Conjugate) #4412 was used as a secondary antibody.
undefined Image 19: ER Protein Folding Antibody Sampler Kit
Confocal immunofluorescent analysis of human iPSC-derived astrocyte cells at 7 days in vitro using PDI (C81H6) Rabbit mAb (green), GFAP (GA5) Mouse mAb #3670 (red), and DAPI #4083 (blue). iCell Astrocytes 2.0 were kindly provided by FUJIFILM Cellular Dynamics, Inc.
undefined Image 20: ER Protein Folding Antibody Sampler Kit
Confocal immunofluorescent analysis of fixed frozen mouse spleen using PDI (C81H6) Rabbit mAb and ProLong Gold Antifade Reagent with DAPI #8961 (blue).
undefined Image 21: ER Protein Folding Antibody Sampler Kit
Orders: 877-616-CELL (2355) [email protected] Support: 877-678-TECH (8324) [email protected] Web: cellsignal.com
For Research Use Only. Not for Use in Diagnostic Procedures.

Revision 1

Cell Signaling Technology Logo
Confocal immunofluorescent analysis of fixed frozen mouse lung using PDI (C81H6) Rabbit mAb and ProLong Gold Antifade Reagent with DAPI #8961 (blue).
undefined Image 22: ER Protein Folding Antibody Sampler Kit
Flow cytometric analysis of Hep G2 cells using ERp72 (D70D12) XP® Rabbit mAb (solid line) compared to concentration-matched Rabbit (DA1E) mAb IgG XP® Isotype control #3900 (dashed line). Anti-rabbit IgG (H+L), F(ab')2 Fragment (Alexa Fluor® 488 Conjugate) #4412 was used as a secondary antibody.
undefined Image 23: ER Protein Folding Antibody Sampler Kit
Orders: 877-616-CELL (2355) [email protected] Support: 877-678-TECH (8324) [email protected] Web: cellsignal.com
For Research Use Only. Not for Use in Diagnostic Procedures.