Revision 1

#9956

Store at -20C

ER Stress Antibody Sampler Kit

1 Kit

(7 x 20 microliters)

CST Logo
Orders:

877-616-CELL (2355)

[email protected]

Support:

877-678-TECH (8324)

3 Trask Lane | Danvers | Massachusetts | 01923 | USA

For Research Use Only. Not for Use in Diagnostic Procedures.

Product Includes Product # Quantity Mol. Wt Isotype/Source
BiP (C50B12) Rabbit Monoclonal Antibody317720 µl78 kDaRabbit IgG
Calnexin (C5C9) Rabbit Monoclonal Antibody267920 µl90 kDaRabbit IgG
Ero1-L alpha Antibody326420 µl60 kDaRabbit
IRE1 alpha (14C10) Rabbit Monoclonal Antibody329420 µl130 kDaRabbit IgG
PDI (C81H6) Rabbit Monoclonal Antibody350120 µl57 kDaRabbit
CHOP (L63F7) Mouse Monoclonal Antibody289520 µl27 kDaMouse IgG2a
PERK (D11A8) Rabbit Monoclonal Antibody568320 µl140 kDaRabbit IgG
Anti-rabbit IgG, HRP-linked Antibody7074100 µlGoat
Anti-mouse IgG, HRP-linked Antibody7076100 µlHorse

Please visit cellsignal.com for individual component applications, species cross-reactivity, dilutions, protocols, and additional product information.

Description

The ER Stress Sampler Kit contains reagents to investigate ER stress within the cell. The kit contains enough primary and secondary antibodies to perform two Western blot experiments per primary antibody.

Storage

Supplied in 10 mM sodium HEPES (pH 7.5), 150 mM NaCl, 100 µg/ml BSA, 50% glycerol and less than 0.02% sodium azide. Store at –20°C. Do not aliquot the antibody.

Background

Secretory and transmembrane proteins are synthesized on polysomes and translocate into the endoplasmic reticulum (ER) where they are often modified by the formation of disulfide bonds, amino-linked glycosylation and folding. The ER contains a pool of molecular chaperone proteins including calnexin, BiP and protein disulfide isomerase (PDI). Calnexin is an ER membrane, calcium-binding protein that retains newly synthesized glycoproteins inside the ER to ensure proper folding and quality control (1,2). Irregular protein folding within the ER increases BiP synthesis, which binds misfolded proteins to prevent them from forming aggregates and to assist them to refold properly (3).
PDI catalyzes the formation and isomerization of disulfide bonds required for a protein to reach its native state (4). Studies have found that the resident ER protein endoplasmic oxidoreductin-1 (Ero1) provides oxidizing potential to the ER in Saccharomyces cerevisiae (5). Ero1-Lα is an ER membrane-associated N-glycoprotein that promotes oxidative protein folding (6). Disruptions of ER homeostasis leads to the accumulation of unfolded proteins. The ER has developed an adaptive mechanism called the unfolded protein response (UPR) to counteract compromised protein folding (7). This is regulated by proteins such as the membrane-bound transcription factor protease site 2 (MBTPS2) and the serine/threonine kinase IRE1 (8-12). The PERK eIF2α kinase is an ER resident transmembrane protein that couples ER stress signals to translation inhibition. ER stress increases PERK activity, which phosphorylates eIF2α to reduce protein translation. PERK activation during ER stress correlates with autophosphorylation of its cytoplasmic kinase domain (13,14). Phosphorylation of PERK at Thr980 can serve as a marker for its activation status.
During ER stress, the level of CHOP expression is elevated and CHOP functions to mediate programmed cell death (15).

Trademarks and Patents

Cell Signaling Technology is a trademark of Cell Signaling Technology, Inc.

All other trademarks are the property of their respective owners. Visit cellsignal.com/trademarks for more information.

Limited Uses

Except as otherwise expressly agreed in a writing signed by a legally authorized representative of CST, the following terms apply to Products provided by CST, its affiliates or its distributors. Any Customer's terms and conditions that are in addition to, or different from, those contained herein, unless separately accepted in writing by a legally authorized representative of CST, are rejected and are of no force or effect.

Products are labeled with For Research Use Only or a similar labeling statement and have not been approved, cleared, or licensed by the FDA or other regulatory foreign or domestic entity, for any purpose. Customer shall not use any Product for any diagnostic or therapeutic purpose, or otherwise in any manner that conflicts with its labeling statement. Products sold or licensed by CST are provided for Customer as the end-user and solely for research and development uses. Any use of Product for diagnostic, prophylactic or therapeutic purposes, or any purchase of Product for resale (alone or as a component) or other commercial purpose, requires a separate license from CST. Customer shall (a) not sell, license, loan, donate or otherwise transfer or make available any Product to any third party, whether alone or in combination with other materials, or use the Products to manufacture any commercial products, (b) not copy, modify, reverse engineer, decompile, disassemble or otherwise attempt to discover the underlying structure or technology of the Products, or use the Products for the purpose of developing any products or services that would compete with CST products or services, (c) not alter or remove from the Products any trademarks, trade names, logos, patent or copyright notices or markings, (d) use the Products solely in accordance with CST Product Terms of Sale and any applicable documentation, and (e) comply with any license, terms of service or similar agreement with respect to any third party products or services used by Customer in connection with the Products.

Orders: 877-616-CELL (2355) [email protected] Support: 877-678-TECH (8324) [email protected] Web: cellsignal.com
For Research Use Only. Not for Use in Diagnostic Procedures.

Revision 1

Cell Signaling Technology Logo
Western blot analysis of extracts from C6 and A-204 cells, untreated or treated with thapsigargin (300 nM, 2 hours) or tunicamycin (24 μg/ml, 2 hours), using CHOP (L63F7) Mouse mAb.
undefined Image 1: ER Stress Antibody Sampler Kit
Western blot analysis of extracts from various cell lines using BiP (C50B12) Rabbit mAb.
undefined Image 2: ER Stress Antibody Sampler Kit
Western blot analysis of extracts from various cell lines, using Ero1-Lα Antibody.
undefined Image 3: ER Stress Antibody Sampler Kit
Orders: 877-616-CELL (2355) [email protected] Support: 877-678-TECH (8324) [email protected] Web: cellsignal.com
For Research Use Only. Not for Use in Diagnostic Procedures.

Revision 1

Cell Signaling Technology Logo
Western blot analysis of extracts from various cell lines, using IRE1α (14C10) Rabbit mAb.
undefined Image 4: ER Stress Antibody Sampler Kit
Western blot analysis of extracts from various cell lines using PERK (D11A8) Rabbit mAb.
undefined Image 5: ER Stress Antibody Sampler Kit
After the primary antibody is bound to the target protein, a complex with HRP-linked secondary antibody is formed. The LumiGLO® is added and emits light during enzyme catalyzed decomposition.
undefined Image 6: ER Stress Antibody Sampler Kit
Orders: 877-616-CELL (2355) [email protected] Support: 877-678-TECH (8324) [email protected] Web: cellsignal.com
For Research Use Only. Not for Use in Diagnostic Procedures.

Revision 1

Cell Signaling Technology Logo
After the primary antibody is bound to the target protein, a complex with HRP-linked secondary antibody is formed. The LumiGLO* is added and emits light during enzyme catalyzed decomposition.
undefined Image 7: ER Stress Antibody Sampler Kit
Confocal immunofluorescent analysis of A-204 cells, untreated (left) or tunicamycin-treated (right), using CHOP (L63F7) Mouse mAb (green). Actin filaments have been labeled with DY-554 phalloidin (red).
undefined Image 8: ER Stress Antibody Sampler Kit
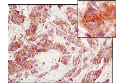
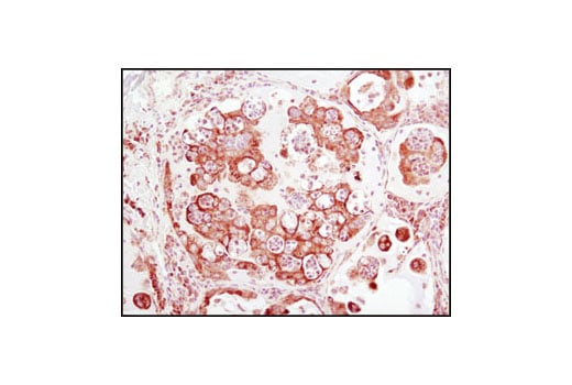
Immunohistochemical analysis of paraffin-embedded human breast carcinoma using PERK (D11A8) Rabbit mAb.
undefined Image 9: ER Stress Antibody Sampler Kit
Orders: 877-616-CELL (2355) [email protected] Support: 877-678-TECH (8324) [email protected] Web: cellsignal.com
For Research Use Only. Not for Use in Diagnostic Procedures.

Revision 1

Cell Signaling Technology Logo
Flow cytometric analysis of HeLa cells, treated with tunicamycin (2 µg/mL, 8 hr; green) or untreated (blue) using CHOP (L63F7) Mouse mAb (solid lines) or concentration-matched Mouse (E5Y6Q) mAb IgG2a Isotype Control #61656 (dashed lines). Anti-mouse IgG (H+L), F(ab')2 Fragment (Alexa Fluor® 488 Conjugate) #4408 was used as a secondary antibody.
undefined Image 10: ER Stress Antibody Sampler Kit
Chromatin immunoprecipitations were performed with cross-linked chromatin from MEF wild-type cells treated with tunicamycin (2ug/ml) overnight, and CHOP (L63F7) Mouse mAb #2895 or Normal Rabbit IgG #2729 using SimpleChIP® Enzymatic Chromatin IP Kit (Magnetic Beads) #9003. The enriched DNA was quantified by real-time PCR using SimpleChIP® Mouse ATF-3 Intron 1 Primers #13059, mouse CHOP promoter primers, and SimpleChIP® Mouse RPL30 Intron 2 Primers #7015. The amount of immunoprecipitated DNA in each sample is represented as signal relative to the total amount of input chromatin, which is equivalent to one.
undefined Image 11: ER Stress Antibody Sampler Kit
Western blot analysis of extracts from PANC1, HepG2 and A204 cells using Calnexin (C5C9) Rabbit mAb.
undefined Image 12: ER Stress Antibody Sampler Kit
Orders: 877-616-CELL (2355) [email protected] Support: 877-678-TECH (8324) [email protected] Web: cellsignal.com
For Research Use Only. Not for Use in Diagnostic Procedures.

Revision 1

Cell Signaling Technology Logo
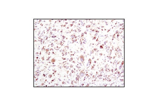
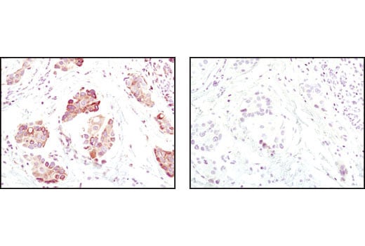
Immunohistochemical analysis of paraffin-embedded human breast carcinoma using Calnexin (C5C9) Rabbit mAb in the presence of control peptide (left) or antigen-specific peptide (right).
undefined Image 13: ER Stress Antibody Sampler Kit
Simple Western™ analysis of lysates (0.1 mg/mL) from HepG2 cells using Calnexin (C5C9) Rabbit mAb #2679. The virtual lane view (left) shows the target bands (as indicated) at 1:50 and 1:250 dilutions of primary antibody. The corresponding electropherogram view (right) plots chemiluminescence by molecular weight along the capillary at 1:50 (blue line) and 1:250 (green line) dilutions of primary antibody. This experiment was performed under reducing conditions on the Jess™ ​​​​​​​Simple Western instrument from ProteinSimple, a BioTechne brand, using the 12-230 kDa separation module.
undefined Image 14: ER Stress Antibody Sampler Kit
Confocal immunofluorescent analysis of HeLa cells using Calnexin (C5C9) Rabbit mAb #2679 (green), β-Actin (8H10D10) Mouse mAb #3700 (red), and DAPI #4083 (blue).
undefined Image 15: ER Stress Antibody Sampler Kit
Orders: 877-616-CELL (2355) [email protected] Support: 877-678-TECH (8324) [email protected] Web: cellsignal.com
For Research Use Only. Not for Use in Diagnostic Procedures.

Revision 1

Cell Signaling Technology Logo
Immunohistochemical analysis of paraffin-embedded human glioblastoma using BiP (C50B12) Rabbit mAb.
undefined Image 16: ER Stress Antibody Sampler Kit
Immunohistochemical analysis of paraffin-embedded human colon carcinoma using BiP (C50B12) Rabbit mAb.
undefined Image 17: ER Stress Antibody Sampler Kit
Immunohistochemical analysis of paraffin-embedded human hepatocellular carcinoma using BiP (C50B12) Rabbit mAb.
undefined Image 18: ER Stress Antibody Sampler Kit
Orders: 877-616-CELL (2355) [email protected] Support: 877-678-TECH (8324) [email protected] Web: cellsignal.com
For Research Use Only. Not for Use in Diagnostic Procedures.

Revision 1

Cell Signaling Technology Logo
Immunohistochemical analysis of paraffin-embedded human breast carcinoma using BiP (C50B12) Rabbit mAb in the presence of control peptide (left) or BiP Blocking Peptide #1084 (right).
undefined Image 19: ER Stress Antibody Sampler Kit
Flow cytometric analysis of fixed and permeabilized MDA-MB-231 cells, untreated (blue) or treated with tunicamycin (1 µg/mL, 18 hr; green) using BiP (C50B12) Rabbit Monoclonal Antibody (solid lines) or concentration-matched Rabbit (DA1E) Monoclonal Antibody IgG Isotype Control #3900 (dashed lines). Anti-rabbit IgG (H+L), F(ab')2 Fragment (Alexa Fluor® 488 Conjugate) #4412 was used as a secondary antibody.
undefined Image 20: ER Stress Antibody Sampler Kit
Simple WesternTM analysis of lysates (0.1 mg/ml) from C2C12 cells using IRE1α (14C10) Rabbit mAb #3294. The virtual lane view (left) shows the target band (as indicated) at 1:10 and 1:50 dilutions of primary antibody. The corresponding electropherogram view (right) plots chemiluminescence by molecular weight along the capillary at 1:10 (blue line) and 1:50 (green line) dilutions of primary antibody. This experiment was performed under reducing conditions on the JessTM Simple Western instrument from ProteinSimple, a BioTechne brand, using the 66-440kDa.
undefined Image 21: ER Stress Antibody Sampler Kit
Orders: 877-616-CELL (2355) [email protected] Support: 877-678-TECH (8324) [email protected] Web: cellsignal.com
For Research Use Only. Not for Use in Diagnostic Procedures.

Revision 1

Cell Signaling Technology Logo
Western blot analysis of extracts from various cell types using PDI (C81H6) Rabbit mAb.
undefined Image 22: ER Stress Antibody Sampler Kit
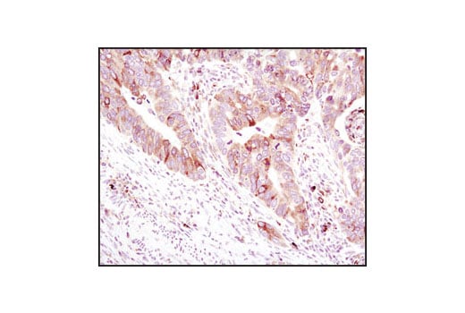
Immunohistochemical analysis of paraffin-embedded human lung carcinoma using PDI (C81H6) Rabbit mAb.
undefined Image 23: ER Stress Antibody Sampler Kit
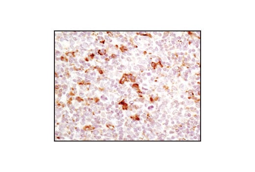
Immunohistochemical analysis of paraffin-embedded human lymphoma using PDI (C81H6) Rabbit mAb.
undefined Image 24: ER Stress Antibody Sampler Kit
Orders: 877-616-CELL (2355) [email protected] Support: 877-678-TECH (8324) [email protected] Web: cellsignal.com
For Research Use Only. Not for Use in Diagnostic Procedures.

Revision 1

Cell Signaling Technology Logo
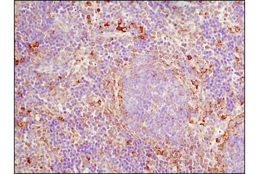
Immunohistochemical analysis of paraffin-embedded mouse spleen using PDI (C81H6) Rabbit mAb.
undefined Image 25: ER Stress Antibody Sampler Kit
Confocal immunofluorescent analysis of NIH/3T3 cells using PDI (C81H6) Rabbit mAb (green) and β-Actin (8H10D10) Mouse mAb #3700 (red). Blue pseudocolor = DRAQ5® #4084 (fluorescent DNA dye).
undefined Image 26: ER Stress Antibody Sampler Kit
Confocal immunofluorescent analysis of human iPSC-derived astrocyte cells at 7 days in vitro using PDI (C81H6) Rabbit mAb (green), GFAP (GA5) Mouse mAb #3670 (red), and DAPI #4083 (blue). iCell Astrocytes 2.0 were kindly provided by FUJIFILM Cellular Dynamics, Inc.
undefined Image 27: ER Stress Antibody Sampler Kit
Orders: 877-616-CELL (2355) [email protected] Support: 877-678-TECH (8324) [email protected] Web: cellsignal.com
For Research Use Only. Not for Use in Diagnostic Procedures.

Revision 1

Cell Signaling Technology Logo
Confocal immunofluorescent analysis of fixed frozen mouse spleen using PDI (C81H6) Rabbit mAb and ProLong Gold Antifade Reagent with DAPI #8961 (blue).
undefined Image 28: ER Stress Antibody Sampler Kit
Confocal immunofluorescent analysis of fixed frozen mouse lung using PDI (C81H6) Rabbit mAb and ProLong Gold Antifade Reagent with DAPI #8961 (blue).
undefined Image 29: ER Stress Antibody Sampler Kit
Orders: 877-616-CELL (2355) [email protected] Support: 877-678-TECH (8324) [email protected] Web: cellsignal.com
For Research Use Only. Not for Use in Diagnostic Procedures.