Revision 6

#14980

Store at -20C

CST Logo
Orders:

877-616-CELL (2355)

[email protected]

Support:

877-678-TECH (8324)

3 Trask Lane | Danvers | Massachusetts | 01923 | USA

For Research Use Only. Not for Use in Diagnostic Procedures.

Applications:
W

Reactivity:
H M R Mk

Sensitivity:
Endogenous

MW (kDa):
80

Source/Isotype:
Rabbit

UniProt ID:
#P15170-3

Entrez-Gene Id:
2935

Product Usage Information

Application Dilution
Western Blotting 1:1000

Storage

Supplied in 10 mM sodium HEPES (pH 7.5), 150 mM NaCl, 100 µg/ml BSA and 50% glycerol. Store at –20°C. Do not aliquot the antibody.

Specificity/Sensitivity

eRF3 Antibody recognizes endogenous levels of total eRF3 protein. This antibody recognizes eRF3a and eRF3b proteins.

Source / Purification

Polyclonal antibodies are produced by immunizing animals with a synthetic peptide corresponding to residues surrounding Pro180 of human eRF3a protein, isoform 3. Antibodies are purified by protein A and peptide affinity chromatography.

Background

Eukaryotic release factor 3 (eRF3, GSPT) is an evolutionarily conserved class II release factor and member of the GTPase superfamily that cooperates with eRF1 in polypeptide translation termination (1). Paralogous genes encode a pair of eRF3 proteins (eRF3a/GSPT1, eRF3b/GSPT2) that share a conserved carboxy-terminal GTPase/eRF1-binding domain and a non-conserved amino-terminal PABP1 binding site (2). The eRF3 carboxy-terminal region is involved in translation termination through binding and activation of the eRF1 release factor (1). The amino-terminal region of eRF3 is not required for eRF1 binding and activation, but is implicated in control of mRNA stability (3,4). Expression of eRF3 proteins vary, with eRF3a ubiquitously expressed and proliferation-dependent, while eRF3b expression is more restricted to brain tissue (2,5,6). Research studies demonstrate that eRF3 undergoes caspase-mediated cleavage and degradation related to reduced protein synthesis during DNA damage-induced apoptosis (7). Additional studies indicate that polyglycine expansion of the eRF3a amino terminus is associated with an increased susceptibility to breast and gastric cancer (8,9). It is likely that the polyglycine expansions of amino-terminal eRF3a may affect the ability of eRF3a to undergo caspase-mediated cleavage (9).

Species Reactivity

Species reactivity is determined by testing in at least one approved application (e.g., western blot).

Western Blot Buffer

IMPORTANT: For western blots, incubate membrane with diluted primary antibody in 5% w/v nonfat dry milk, 1X TBS, 0.1% Tween® 20 at 4°C with gentle shaking, overnight.

Applications Key

W: Western Blotting

Cross-Reactivity Key

H: Human M: Mouse R: Rat Mk: Monkey

Trademarks and Patents

Cell Signaling Technology is a trademark of Cell Signaling Technology, Inc.

All other trademarks are the property of their respective owners. Visit cellsignal.com/trademarks for more information.

Limited Uses

Except as otherwise expressly agreed in a writing signed by a legally authorized representative of CST, the following terms apply to Products provided by CST, its affiliates or its distributors. Any Customer's terms and conditions that are in addition to, or different from, those contained herein, unless separately accepted in writing by a legally authorized representative of CST, are rejected and are of no force or effect.

Products are labeled with For Research Use Only or a similar labeling statement and have not been approved, cleared, or licensed by the FDA or other regulatory foreign or domestic entity, for any purpose. Customer shall not use any Product for any diagnostic or therapeutic purpose, or otherwise in any manner that conflicts with its labeling statement. Products sold or licensed by CST are provided for Customer as the end-user and solely for research and development uses. Any use of Product for diagnostic, prophylactic or therapeutic purposes, or any purchase of Product for resale (alone or as a component) or other commercial purpose, requires a separate license from CST. Customer shall (a) not sell, license, loan, donate or otherwise transfer or make available any Product to any third party, whether alone or in combination with other materials, or use the Products to manufacture any commercial products, (b) not copy, modify, reverse engineer, decompile, disassemble or otherwise attempt to discover the underlying structure or technology of the Products, or use the Products for the purpose of developing any products or services that would compete with CST products or services, (c) not alter or remove from the Products any trademarks, trade names, logos, patent or copyright notices or markings, (d) use the Products solely in accordance with CST Product Terms of Sale and any applicable documentation, and (e) comply with any license, terms of service or similar agreement with respect to any third party products or services used by Customer in connection with the Products.

Orders: 877-616-CELL (2355) [email protected] Support: 877-678-TECH (8324) [email protected] Web: cellsignal.com
For Research Use Only. Not for Use in Diagnostic Procedures.

Revision 6

Cell Signaling Technology Logo
Western blot analysis of extracts from various cell lines using eRF3 Antibody.
Western Blotting Image 1: eRF3 Antibody
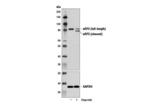
Western blot analysis of extracts from THP-1 cells, untreated (-) or treated with Etoposide #2200 (25 μM, 24 hr; +), using eRF3 Antibody (upper) and GAPDH (D16H11) XP® Rabbit mAb #5174 (lower). Etoposide treatment of THP-1 cells induces cleavage of full-length eRF3.
Western Blotting Image 2: eRF3 Antibody
Western blot analysis of extracts from 293T cells, mock transfected (-) or transfected with a construct expressing Myc/DDK-tagged full-length human eRF3a protein, isoform 3 (heRF3a-Myc/DDK; +), using eRF3 Antibody.
Western Blotting Image 3: eRF3 Antibody
Orders: 877-616-CELL (2355) [email protected] Support: 877-678-TECH (8324) [email protected] Web: cellsignal.com
For Research Use Only. Not for Use in Diagnostic Procedures.