Revision 4

#13826

Store at -20C

CST Logo
Orders:

877-616-CELL (2355)

[email protected]

Support:

877-678-TECH (8324)

3 Trask Lane | Danvers | Massachusetts | 01923 | USA

For Research Use Only. Not for Use in Diagnostic Procedures.

Applications:
W, ChIP, ChIP-seq

Reactivity:
H M R Mk

Sensitivity:
Endogenous

MW (kDa):
50

Source/Isotype:
Rabbit IgG

UniProt ID:
#P11474

Entrez-Gene Id:
2101

Product Usage Information

For optimal ChIP and ChIP-seq results, use 10 μl of antibody and 10 μg of chromatin (approximately 4 x 106 cells) per IP. This antibody has been validated using SimpleChIP® Enzymatic Chromatin IP Kits.
Application Dilution
Western Blotting 1:1000
Chromatin IP 1:50
Chromatin IP-seq 1:50

Storage

Supplied in 10 mM sodium HEPES (pH 7.5), 150 mM NaCl, 100 µg/ml BSA, 50% glycerol and less than 0.02% sodium azide. Store at –20°C. Do not aliquot the antibody.

Specificity/Sensitivity

ERR-alpha (E1G1J) Rabbit Monoclonal Antibody recognizes endogenous levels of total ERRα protein. This antibody does not cross-react with ERR family members ERRβ and ERRγ, and does not cross-react with either ERα or ERβ.

Species predicted to react based on 100% sequence homology

Bovine, Dog, Pig, Horse

Source / Purification

Monoclonal antibody is produced by immunizing animals with a synthetic peptide corresponding to residues near the carboxy terminus of human ERRα protein.

Background

The estrogen-related receptor (ERR) subfamily of orphan nuclear receptors include three protein receptors, ERRα/NR3B1, ERRβ/NR3B2, and ERRγ/NR3B3, that have yet to be associated with natural ligands. PGC-1 coactivators regulate ERR transcription activation ability and receptor-induced transcription of genes involved in lipid metabolism, glucose metabolism, and mitochondrial biogenesis (1).
Estrogen-related receptor α (ERRα/NR3B1) is an orphan nuclear receptor that controls transcription of genes involved in fatty acid oxidation, glucose metabolism, and mitochondrial biogenesis (1,2). The receptor protein contains a non-conserved amino terminal domain (NTD), a central zinc finger DNA binding domain, and a ligand-binding domain. The carboxy-terminal AF2 helix motif of ERRα contains binding sites for nuclear receptor coactivators PGC-1α and PGC-1β (3-5). Research studies demonstrate that ERRα transcriptional activity is regulated through phosphorylation and sumoylation within the NTD (6). ERRα is ubiquitously expressed, with strong expression observed in heart, kidneys, skeletal muscle, and other high metabolic demand tissues (2). Additional studies indicate that ERRα is coexpressed in breast tumors with unfavorable biomarkers (7). The pharmacologic inhibition of ERRα activity in breast cancer might serve as a valuable therapeutic approach (8,9).

Species Reactivity

Species reactivity is determined by testing in at least one approved application (e.g., western blot).

Western Blot Buffer

IMPORTANT: For western blots, incubate membrane with diluted primary antibody in 5% w/v nonfat dry milk, 1X TBS, 0.1% Tween® 20 at 4°C with gentle shaking, overnight.

Applications Key

W: Western Blotting ChIP: Chromatin IP ChIP-seq: Chromatin IP-seq

Cross-Reactivity Key

H: Human M: Mouse R: Rat Mk: Monkey

Trademarks and Patents

Cell Signaling Technology is a trademark of Cell Signaling Technology, Inc.

SimpleChIP is a registered trademark of Cell Signaling Technology, Inc.

All other trademarks are the property of their respective owners. Visit cellsignal.com/trademarks for more information.

Limited Uses

Except as otherwise expressly agreed in a writing signed by a legally authorized representative of CST, the following terms apply to Products provided by CST, its affiliates or its distributors. Any Customer's terms and conditions that are in addition to, or different from, those contained herein, unless separately accepted in writing by a legally authorized representative of CST, are rejected and are of no force or effect.

Products are labeled with For Research Use Only or a similar labeling statement and have not been approved, cleared, or licensed by the FDA or other regulatory foreign or domestic entity, for any purpose. Customer shall not use any Product for any diagnostic or therapeutic purpose, or otherwise in any manner that conflicts with its labeling statement. Products sold or licensed by CST are provided for Customer as the end-user and solely for research and development uses. Any use of Product for diagnostic, prophylactic or therapeutic purposes, or any purchase of Product for resale (alone or as a component) or other commercial purpose, requires a separate license from CST. Customer shall (a) not sell, license, loan, donate or otherwise transfer or make available any Product to any third party, whether alone or in combination with other materials, or use the Products to manufacture any commercial products, (b) not copy, modify, reverse engineer, decompile, disassemble or otherwise attempt to discover the underlying structure or technology of the Products, or use the Products for the purpose of developing any products or services that would compete with CST products or services, (c) not alter or remove from the Products any trademarks, trade names, logos, patent or copyright notices or markings, (d) use the Products solely in accordance with CST Product Terms of Sale and any applicable documentation, and (e) comply with any license, terms of service or similar agreement with respect to any third party products or services used by Customer in connection with the Products.

Orders: 877-616-CELL (2355) [email protected] Support: 877-678-TECH (8324) [email protected] Web: cellsignal.com
For Research Use Only. Not for Use in Diagnostic Procedures.

Revision 4

Cell Signaling Technology Logo
Western blot analysis of extracts from various cell lines using ERRα (E1G1J) Rabbit mAb.
Western Blotting Image 1: ERR-alpha (E1G1J) Rabbit Monoclonal Antibody
Western blot analysis of extracts from BT-474 cells, untreated (-) or XCT790-treated (5 μM, 24 hr; +), using ERRα (E1G1J) Rabbit mAb (upper) and GAPDH (D16H11) XP® Rabbit mAb #5174 (lower). XCT790 is a selective inverse agonist of ERRα that induces its proteasomal degradation (10,11).
Western Blotting Image 2: ERR-alpha (E1G1J) Rabbit Monoclonal Antibody
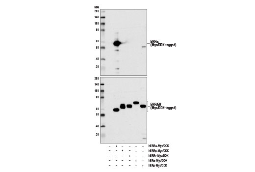
Western blot analysis of extracts from 293T cells, mock transfected (-) or transfected with constructs expressing Myc/DDK-tagged full-length human ERRα protein (hERRα-Myc/DDK; +), full-length human ERRβ protein (hERRβ-Myc/DDK; +); full-length human ERRγ protein (hERRγ-Myc/DDK; +), full-length human ERα protein (ERα-Myc/DDK; +), or full-length human ERβ protein (hERβ-Myc/DDK; +), using ERRα (E1G1J) Rabbit mAb (upper) and DYKDDDDK Tag Antibody #2368 (lower).
Western Blotting Image 3: ERR-alpha (E1G1J) Rabbit Monoclonal Antibody
Orders: 877-616-CELL (2355) [email protected] Support: 877-678-TECH (8324) [email protected] Web: cellsignal.com
For Research Use Only. Not for Use in Diagnostic Procedures.

Revision 4

Cell Signaling Technology Logo
Western blot analysis of heart tissue extracts from ERRα wildtype (+/+) and ERRα knockout (-/-) mice using ERRα (E1G1J) Rabbit mAb (upper) and GAPDH (D16H11) XP® Rabbit mAb #5174 (lower). Heart tissue was kindly provided by Dr. Vincent Giguere of McGill University.
Western Blotting Image 4: ERR-alpha (E1G1J) Rabbit Monoclonal Antibody
Chromatin immunoprecipitations were performed with cross-linked chromatin from Hepa 1-6 cells and ERRα (E1G1J) Rabbit mAb, using SimpleChIP® Plus Enzymatic Chromatin IP Kit (Magnetic Beads) #9005. DNA Libraries were prepared using DNA Library Prep Kit for Illumina (ChIP-seq, CUT&RUN) #56795. The figure shows binding across BAD gene.
Chromatin Immunoprecipitation Image 1: ERR-alpha (E1G1J) Rabbit Monoclonal Antibody
Chromatin immunoprecipitations were performed with cross-linked chromatin from Hepa 1-6 cells and ERRα (E1G1J) Rabbit mAb, using SimpleChIP® Plus Enzymatic Chromatin IP Kit (Magnetic Beads) #9005. DNA Libraries were prepared using DNA Library Prep Kit for Illumina (ChIP-seq, CUT&RUN) #56795. The figure shows binding across chromosome 19 (upper), including BAD (lower).
Chromatin Immunoprecipitation Image 2: ERR-alpha (E1G1J) Rabbit Monoclonal Antibody
Orders: 877-616-CELL (2355) [email protected] Support: 877-678-TECH (8324) [email protected] Web: cellsignal.com
For Research Use Only. Not for Use in Diagnostic Procedures.

Revision 4

Cell Signaling Technology Logo
Chromatin immunoprecipitations were performed with cross-linked chromatin from Hepa 1-6 cells and either ERRα (E1G1J) Rabbit mAb or Normal Rabbit IgG #2729 using SimpleChIP® Enzymatic Chromatin IP Kit (Magnetic Beads) #9003. The enriched DNA was quantified by real-time PCR using mouse ESRRA promoter primers, mouse IDH3A intron 2 primers, SimpleChIP® Mouse OGDH Intron 1 Primers #13828, and SimpleChIP® Mouse MYT-1 Promoter Primers #8985. The amount of immunoprecipitated DNA in each sample is represented as signal relative to the total amount of input chromatin, which is equivalent to one.
Chromatin Immunoprecipitation Image 3: ERR-alpha (E1G1J) Rabbit Monoclonal Antibody
Orders: 877-616-CELL (2355) [email protected] Support: 877-678-TECH (8324) [email protected] Web: cellsignal.com
For Research Use Only. Not for Use in Diagnostic Procedures.