Revision 12

#5246

Store at -20C

CST Logo
Orders:

877-616-CELL (2355)

[email protected]

Support:

877-678-TECH (8324)

3 Trask Lane | Danvers | Massachusetts | 01923 | USA

For Research Use Only. Not for Use in Diagnostic Procedures.

Applications:
W, W-S, IP, IHC-Bond, IHC-P, IF-F, IF-IC, FC-FP, ChIP, ChIP-seq, C&R, C&T, eCLIP

Reactivity:
H M R Mk

Sensitivity:
Endogenous

MW (kDa):
98

Source/Isotype:
Rabbit IgG

UniProt ID:
#Q15910

Entrez-Gene Id:
2146

Product Usage Information

For optimal ChIP and ChIP-seq results, use 5 μl of antibody and 10 μg of chromatin (approximately 4 x 106 cells) per IP. This antibody has been validated using SimpleChIP® Enzymatic Chromatin IP Kits.

The CUT&RUN dilution was determined using CUT&RUN Assay Kit #86652.

The CUT&Tag dilution was determined using CUT&Tag Assay Kit #77552.
Application Dilution
Western Blotting 1:1000
Simple Western™ 1:10 - 1:50
Immunoprecipitation 1:300
IHC Leica Bond 1:50 - 1:200
Immunohistochemistry (Paraffin) 1:50
Immunofluorescence (Frozen) 1:100 - 1:400
Immunofluorescence (Immunocytochemistry) 1:100 - 1:400
Flow Cytometry (Fixed/Permeabilized) 1:100 - 1:400
Chromatin IP 1:100
Chromatin IP-seq 1:100
CUT&RUN 1:100
CUT&Tag 1:100
eCLIP 1:200
For more information about the RBP-eCLIP service please visit Eclipsebio.

Storage

Supplied in 10 mM sodium HEPES (pH 7.5), 150 mM NaCl, 100 µg/ml BSA, 50% glycerol and less than 0.02% sodium azide. Store at –20°C. Do not aliquot the antibody.

For a carrier free (BSA and azide free) version of this product see product #16098.

Specificity/Sensitivity

Ezh2 (D2C9) Rabbit Monoclonal Antibody detects endogenous levels of total Ezh2 protein. This antibody does not cross-react with Ezh1 protein.

Source / Purification

Monoclonal antibody is produced by immunizing animals with a synthetic peptide corresponding to residues surrounding Arg354 of human Ezh2 protein.

Background

The polycomb group (PcG) proteins are involved in maintaining the silenced state of several developmentally regulated genes and contribute to the maintenance of cell identity, cell cycle regulation, and oncogenesis (1,2). Enhancer of zeste homolog 2 (Ezh2), a member of this large protein family, contains four conserved regions, including domain I, domain II, and a cysteine-rich amino acid stretch that precedes the carboxy-terminal SET domain (3). The SET domain has been linked with histone methyltransferase (HMTase) activity. Moreover, mammalian Ezh2 is a member of a histone deacetylase complex that functions in gene silencing, acting at the level of chromatin structure (4). Ezh2 complexes methylate histone H3 at Lys9 and 27 in vitro, which is thought to be involved in targeting transcriptional regulators to specific loci (5). Ezh2 is deregulated in various tumor types, and its role, both as a primary effector and as a mediator of tumorigenesis, has become a subject of increased interest (6).

Species Reactivity

Species reactivity is determined by testing in at least one approved application (e.g., western blot).

Western Blot Buffer

IMPORTANT: For western blots, incubate membrane with diluted primary antibody in 5% w/v nonfat dry milk, 1X TBS, 0.1% Tween® 20 at 4°C with gentle shaking, overnight.

Applications Key

W: Western Blotting W-S: Simple Western™ IP: Immunoprecipitation IHC-Bond: IHC Leica Bond IHC-P: Immunohistochemistry (Paraffin) IF-F: Immunofluorescence (Frozen) IF-IC: Immunofluorescence (Immunocytochemistry) FC-FP: Flow Cytometry (Fixed/Permeabilized) ChIP: Chromatin IP ChIP-seq: Chromatin IP-seq C&R: CUT&RUN C&T: CUT&Tag eCLIP: eCLIP

Cross-Reactivity Key

H: Human M: Mouse R: Rat Mk: Monkey

Trademarks and Patents

Cell Signaling Technology is a trademark of Cell Signaling Technology, Inc.

All other trademarks are the property of their respective owners. Visit cellsignal.com/trademarks for more information.

Limited Uses

Except as otherwise expressly agreed in a writing signed by a legally authorized representative of CST, the following terms apply to Products provided by CST, its affiliates or its distributors. Any Customer's terms and conditions that are in addition to, or different from, those contained herein, unless separately accepted in writing by a legally authorized representative of CST, are rejected and are of no force or effect.

Products are labeled with For Research Use Only or a similar labeling statement and have not been approved, cleared, or licensed by the FDA or other regulatory foreign or domestic entity, for any purpose. Customer shall not use any Product for any diagnostic or therapeutic purpose, or otherwise in any manner that conflicts with its labeling statement. Products sold or licensed by CST are provided for Customer as the end-user and solely for research and development uses. Any use of Product for diagnostic, prophylactic or therapeutic purposes, or any purchase of Product for resale (alone or as a component) or other commercial purpose, requires a separate license from CST. Customer shall (a) not sell, license, loan, donate or otherwise transfer or make available any Product to any third party, whether alone or in combination with other materials, or use the Products to manufacture any commercial products, (b) not copy, modify, reverse engineer, decompile, disassemble or otherwise attempt to discover the underlying structure or technology of the Products, or use the Products for the purpose of developing any products or services that would compete with CST products or services, (c) not alter or remove from the Products any trademarks, trade names, logos, patent or copyright notices or markings, (d) use the Products solely in accordance with CST Product Terms of Sale and any applicable documentation, and (e) comply with any license, terms of service or similar agreement with respect to any third party products or services used by Customer in connection with the Products.

Orders: 877-616-CELL (2355) [email protected] Support: 877-678-TECH (8324) [email protected] Web: cellsignal.com
For Research Use Only. Not for Use in Diagnostic Procedures.

Revision 12

Cell Signaling Technology Logo
Western blot analysis of extracts from MCF7, Neuro-2a, and COS-7 cell lines using Ezh2 (D2C9) XP® Rabbit mAb.
Western Blotting Image 1: Ezh2 (D2C9) Rabbit Monoclonal Antibody
Simple Western™ analysis of lysates (0.1 mg/mL) from MCF-7 cells using Ezh2 (D2C9) XP® Rabbit mAb #5246. The virtual lane view (left) shows the target band (as indicated) at 1:10 and 1:50 dilutions of primary antibody. The corresponding electropherogram view (right) plots chemiluminescence by molecular weight along the capillary at 1:10 (blue line) and 1:50 (green line) dilutions of primary antibody. This experiment was performed under reducing conditions on the Jess™ ​​​​​​​ Simple Western instrument from ProteinSimple, a BioTechne brand, using the 66 – 440 kDa separation module.
Western Blotting Image 1: Ezh2 (D2C9) Rabbit Monoclonal Antibody
Immunohistochemical analysis of paraffin-embedded human colon adenocarcinoma using Ezh2 (D2C9) XP® Rabbit mAb performed on the Leica BOND Rx.
Immunohistochemistry Image 1: Ezh2 (D2C9) Rabbit Monoclonal Antibody
Orders: 877-616-CELL (2355) [email protected] Support: 877-678-TECH (8324) [email protected] Web: cellsignal.com
For Research Use Only. Not for Use in Diagnostic Procedures.

Revision 12

Cell Signaling Technology Logo
Immunohistochemical analysis of paraffin-embedded human B-cell non-Hodgkin lymphoma using Ezh2 (D2C9) XP® Rabbit mAb performed on the Leica BOND Rx.
Immunohistochemistry Image 2: Ezh2 (D2C9) Rabbit Monoclonal Antibody
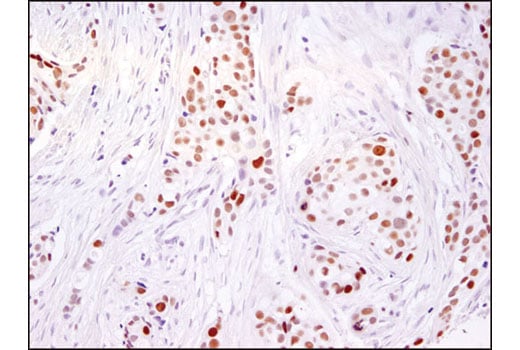
Immunohistochemical analysis of paraffin-embedded human breast carcinoma using Ezh2 (D2C9) XP® Rabbit mAb.
Immunohistochemistry Image 1: Ezh2 (D2C9) Rabbit Monoclonal Antibody
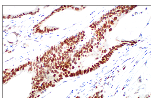
Immunohistochemical analysis of paraffin-embedded human cervical carcinoma using Ezh2 (D2C9) XP® Rabbit mAb.
Immunohistochemistry Image 2: Ezh2 (D2C9) Rabbit Monoclonal Antibody
Orders: 877-616-CELL (2355) [email protected] Support: 877-678-TECH (8324) [email protected] Web: cellsignal.com
For Research Use Only. Not for Use in Diagnostic Procedures.

Revision 12

Cell Signaling Technology Logo
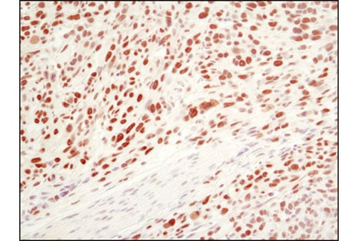
Immunohistochemical analysis of paraffin-embedded human lymphoma using Ezh2 (D2C9) XP® Rabbit mAb.
Immunohistochemistry Image 3: Ezh2 (D2C9) Rabbit Monoclonal Antibody
Immunohistochemical analysis of paraffin-embedded 4T1 mouse syngeneic tumor using Ezh2 (D2C9) XP® Rabbit mAb.
Immunohistochemistry Image 4: Ezh2 (D2C9) Rabbit Monoclonal Antibody
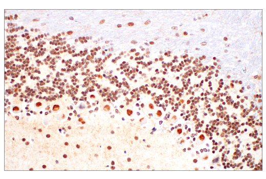
Immunohistochemical analysis of paraffin-embedded mouse brain using Ezh2 (D2C9) XP® Rabbit mAb.
Immunohistochemistry Image 5: Ezh2 (D2C9) Rabbit Monoclonal Antibody
Orders: 877-616-CELL (2355) [email protected] Support: 877-678-TECH (8324) [email protected] Web: cellsignal.com
For Research Use Only. Not for Use in Diagnostic Procedures.

Revision 12

Cell Signaling Technology Logo
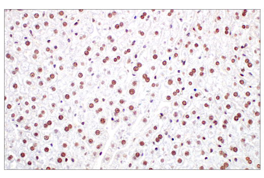
Immunohistochemical analysis of paraffin-embedded mouse liver using Ezh2 (D2C9) XP® Rabbit mAb.
Immunohistochemistry Image 6: Ezh2 (D2C9) Rabbit Monoclonal Antibody
Immunohistochemical analysis of paraffin-embedded mouse testis using Ezh2 (D2C9) XP® Rabbit mAb.
Immunohistochemistry Image 7: Ezh2 (D2C9) Rabbit Monoclonal Antibody
Confocal immunofluorescent analysis of mouse hippocampus (left) and cerebellum (right) using Ezh2 (D2C9) XP® Rabbit mAb (green). Actin filaments were labeled with DyLight™ 554 Phalloidin #13054 (red). Blue pseudocolor = DRAQ5® #4084 (fluorescent DNA dye).
Immunofluorescence Image 1: Ezh2 (D2C9) Rabbit Monoclonal Antibody
Orders: 877-616-CELL (2355) [email protected] Support: 877-678-TECH (8324) [email protected] Web: cellsignal.com
For Research Use Only. Not for Use in Diagnostic Procedures.

Revision 12

Cell Signaling Technology Logo
Confocal immunofluorescent analysis of HeLa cells using Ezh2 (D2C9) XP® Rabbit mAb (green) and S6 Ribosomal Protein (54D2) Mouse mAb #2317 (blue). Actin filaments were labeled with DY-554 phalloidin (red).
Immunofluorescence Image 1: Ezh2 (D2C9) Rabbit Monoclonal Antibody
Flow cytometric analysis of human peripheral blood mononuclear cells untreated (left) and treated (right) with anti-human CD3 (10ug/ml, coated plates) and anti-human CD28 (5ug/ml) for 3 days at 37ºC using EZH2 (D2C9) XP® Rabbit mAb and co-stained with an anti-human CD3 antibody. Anti-rabbit IgG (H+L), F(ab')2 Fragment (Alexa Fluor 488 Conjugate) #4412 was used as a secondary antibody.
Flow Cytometry Image 1: Ezh2 (D2C9) Rabbit Monoclonal Antibody
Chromatin immunoprecipitations were performed with cross-linked chromatin from Hela cells and either Ezh2 (D2C9) XP® Rabbit mAb or Tri-Methyl-Histone H3 (Lys27) (C36B11) Rabbit mAb, using SimpleChIP® Enzymatic Chromatin IP Kit (Magnetic Beads) #9003. DNA Libraries were prepared using DNA Library Prep Kit for Illumina® (ChIP-seq, CUT&RUN) #56795. EZH2 and H3K27me3 are known to associate with each other on chromatin. The figure shows binding of both EZH2 and H3K27me3 across the MYT1 gene. For additional ChIP-seq tracks, please download the product datasheet.
Chromatin Immunoprecipitation Image 1: Ezh2 (D2C9) Rabbit Monoclonal Antibody
Orders: 877-616-CELL (2355) [email protected] Support: 877-678-TECH (8324) [email protected] Web: cellsignal.com
For Research Use Only. Not for Use in Diagnostic Procedures.

Revision 12

Cell Signaling Technology Logo
Chromatin immunoprecipitations were performed with cross-linked chromatin from Hela cells and either Ezh2 (D2C9) XP® Rabbit mAb or Tri-Methyl-Histone H3 (Lys27) (C36B11) Rabbit mAb, using SimpleChIP® Enzymatic Chromatin IP Kit (Magnetic Beads) #9003. DNA Libraries were prepared using DNA Library Prep Kit for Illumina® (ChIP-seq, CUT&RUN) #56795. EZH2 and H3K27me3 are known to associate with each other on chromatin. The figure shows binding of both EZH2 and H3K27me3 across chromosome 20 (upper), including MYT1 gene (lower).
Chromatin Immunoprecipitation Image 2: Ezh2 (D2C9) Rabbit Monoclonal Antibody
Chromatin immunoprecipitations were performed with cross-linked chromatin from NCCIT cells and either Ezh2 (D2C9) XP® Rabbit mAb or Normal Rabbit IgG #2729 using SimpleChIP® Enzymatic Chromatin IP Kit (Magnetic Beads) #9003. The enriched DNA was quantified by real-time PCR using SimpleChIP® Human HoxA1 Intron 1 Primers #7707, SimpleChIP® Human HoxA2 Promoter Primers #5517, and SimpleChIP® Human α Satellite Repeat Primers #4486. The amount of immunoprecipitated DNA in each sample is represented as signal relative to the total amount of input chromatin, which is equivalent to one.
Chromatin Immunoprecipitation Image 3: Ezh2 (D2C9) Rabbit Monoclonal Antibody
CUT&RUN was performed with NCCIT cells and Ezh2 (D2C9) XP® Rabbit mAb, using CUT&RUN Assay Kit #86652. DNA Libraries were prepared using DNA Library Prep Kit for Illumina® (ChIP-seq, CUT&RUN) #56795. The figures show binding across HoxA1, a known target gene of Ezh2 (see additional figure containing CUT&RUN-qPCR data).
CUT & RUN Image 1: Ezh2 (D2C9) Rabbit Monoclonal Antibody
Orders: 877-616-CELL (2355) [email protected] Support: 877-678-TECH (8324) [email protected] Web: cellsignal.com
For Research Use Only. Not for Use in Diagnostic Procedures.

Revision 12

Cell Signaling Technology Logo
CUT&RUN was performed with NCCIT cells and Ezh2 (D2C9) XP® Rabbit mAb, using CUT&RUN Assay Kit #86652. DNA Libraries were prepared using DNA Library Prep Kit for Illumina® (ChIP-seq, CUT&RUN) #56795. The figures show binding across chromosome 7 (upper), including HoxA genes (lower), a known cluster of EZH2 target genes (see additional figure containing CUT&RUN-qPCR data).
CUT & RUN Image 2: Ezh2 (D2C9) Rabbit Monoclonal Antibody
CUT&RUN was performed with NCCIT cells and either Ezh2 (D2C9) XP® Rabbit mAb or Rabbit (DA1E) mAb IgG XP® Isotype Control (CUT&RUN) #66362, using CUT&RUN Assay Kit #86652. The enriched DNA was quantified by real-time PCR using SimpleChIP® Human HoxA1 Intron 1 Primers #7707, SimpleChIP® Human HoxA2 Promoter Primers #5517, and SimpleChIP® Human α Satellite Repeat Primers #4486. The amount of immunoprecipitated DNA in each sample is represented as signal relative to the total amount of input chromatin, which is equivalent to one.
CUT & RUN Image 3: Ezh2 (D2C9) Rabbit Monoclonal Antibody
CUT&Tag was performed with NCCIT cells and Ezh2 (D2C9) XP® Rabbit mAb, using CUT&Tag Assay Kit #77552. DNA library was prepared using CUT&Tag Dual Index Primers and PCR Master Mix for Illumina Systems #47415. The figure shows binding across HOXA1, a known target gene of Ezh2 (see our ChIP-qPCR figure).
CUT & Tag Image 1: Ezh2 (D2C9) Rabbit Monoclonal Antibody
Orders: 877-616-CELL (2355) [email protected] Support: 877-678-TECH (8324) [email protected] Web: cellsignal.com
For Research Use Only. Not for Use in Diagnostic Procedures.

Revision 12

Cell Signaling Technology Logo
CUT&Tag was performed with NCCIT cells and Ezh2 (D2C9) XP® Rabbit mAb, using CUT&Tag Assay Kit #77552. DNA library was prepared using CUT&Tag Dual Index Primers and PCR Master Mix for Illumina Systems #47415. The figures show binding across the HOXA gene cluster (upper), and the HOXD gene cluster (lower), known target genes of Ezh2 (see our ChIP-qPCR figure).
CUT & Tag Image 2: Ezh2 (D2C9) Rabbit Monoclonal Antibody
Enhanced cross-linking and immunoprecipitation (eCLIP) was performed with RNA from K-562 cells and Ezh2 (D2C9) XP® Rabbit mAb using a protocol based on the RBP-eCLIP Kit from EclipseBio. The figure shows binding across the LINC02476 transcript. Data is kindly provided by the laboratory of Dr. Gene Yeo and used with permission.
eCLIP Image 1: Ezh2 (D2C9) Rabbit Monoclonal Antibody
Orders: 877-616-CELL (2355) [email protected] Support: 877-678-TECH (8324) [email protected] Web: cellsignal.com
For Research Use Only. Not for Use in Diagnostic Procedures.