Revision 3

#16098

Store at -20C

CST Logo
Orders:

877-616-CELL (2355)

[email protected]

Support:

877-678-TECH (8324)

3 Trask Lane | Danvers | Massachusetts | 01923 | USA

For Research Use Only. Not for Use in Diagnostic Procedures.

Applications:
W, IHC-Bond, IHC-P, IF-F, IF-IC, FC-FP, ELISA+

Reactivity:
H M R Mk

Sensitivity:
Endogenous

MW (kDa):
98

Source/Isotype:
Rabbit IgG

UniProt ID:
#Q15910

Entrez-Gene Id:
2146

Product Usage Information

This product is the carrier free version of product #5246. All data were generated using the same antibody clone in the standard formulation which contains BSA and glycerol.

This formulation is ideal for use with technologies requiring specialized or custom antibody labeling, including fluorophores, metals, lanthanides, and oligonucleotides. It is not recommended for ChIP, ChIP-seq, CUT&RUN or CUT&Tag assays. If you require a carrier free formulation for chromatin profiling, please contact us. Optimal dilutions/concentrations should be determined by the end user.

BSA and Azide Free antibodies are quality control tested by size exclusion chromatography (SEC) to determine antibody integrity.

Formulation

Supplied in 1X PBS (10 mM Na2HPO4, 3 mM KCl, 2 mM KH2PO4, and 140 mM NaCl (pH 7.8)). BSA and Azide Free.

For standard formulation of this product see product #5246.

Storage

Store at -20°C. This product will freeze at -20°C so it is recommended to aliquot into single-use vials to avoid multiple freeze/thaw cycles. A slight precipitate may be present and can be dissolved by gently vortexing. This will not interfere with antibody performance.

Specificity/Sensitivity

Ezh2 (D2C9) Rabbit Monoclonal Antibody (BSA and Azide Free) detects endogenous levels of total Ezh2 protein. This antibody does not cross-react with Ezh1 protein.

Source / Purification

Monoclonal antibody is produced by immunizing animals with a synthetic peptide corresponding to residues surrounding Arg354 of human Ezh2 protein.

Background

The polycomb group (PcG) proteins are involved in maintaining the silenced state of several developmentally regulated genes and contribute to the maintenance of cell identity, cell cycle regulation, and oncogenesis (1,2). Enhancer of zeste homolog 2 (Ezh2), a member of this large protein family, contains four conserved regions, including domain I, domain II, and a cysteine-rich amino acid stretch that precedes the carboxy-terminal SET domain (3). The SET domain has been linked with histone methyltransferase (HMTase) activity. Moreover, mammalian Ezh2 is a member of a histone deacetylase complex that functions in gene silencing, acting at the level of chromatin structure (4). Ezh2 complexes methylate histone H3 at Lys9 and 27 in vitro, which is thought to be involved in targeting transcriptional regulators to specific loci (5). Ezh2 is deregulated in various tumor types, and its role, both as a primary effector and as a mediator of tumorigenesis, has become a subject of increased interest (6).

Species Reactivity

Species reactivity is determined by testing in at least one approved application (e.g., western blot).

Applications Key

W: Western Blotting IHC-Bond: IHC Leica Bond IHC-P: Immunohistochemistry (Paraffin) IF-F: Immunofluorescence (Frozen) IF-IC: Immunofluorescence (Immunocytochemistry) FC-FP: Flow Cytometry (Fixed/Permeabilized) ELISA+: ELISA and/or ELISA-like Assays

Cross-Reactivity Key

H: Human M: Mouse R: Rat Mk: Monkey

Trademarks and Patents

Cell Signaling Technology is a trademark of Cell Signaling Technology, Inc.

All other trademarks are the property of their respective owners. Visit cellsignal.com/trademarks for more information.

Limited Uses

Except as otherwise expressly agreed in a writing signed by a legally authorized representative of CST, the following terms apply to Products provided by CST, its affiliates or its distributors. Any Customer's terms and conditions that are in addition to, or different from, those contained herein, unless separately accepted in writing by a legally authorized representative of CST, are rejected and are of no force or effect.

Products are labeled with For Research Use Only or a similar labeling statement and have not been approved, cleared, or licensed by the FDA or other regulatory foreign or domestic entity, for any purpose. Customer shall not use any Product for any diagnostic or therapeutic purpose, or otherwise in any manner that conflicts with its labeling statement. Products sold or licensed by CST are provided for Customer as the end-user and solely for research and development uses. Any use of Product for diagnostic, prophylactic or therapeutic purposes, or any purchase of Product for resale (alone or as a component) or other commercial purpose, requires a separate license from CST. Customer shall (a) not sell, license, loan, donate or otherwise transfer or make available any Product to any third party, whether alone or in combination with other materials, or use the Products to manufacture any commercial products, (b) not copy, modify, reverse engineer, decompile, disassemble or otherwise attempt to discover the underlying structure or technology of the Products, or use the Products for the purpose of developing any products or services that would compete with CST products or services, (c) not alter or remove from the Products any trademarks, trade names, logos, patent or copyright notices or markings, (d) use the Products solely in accordance with CST Product Terms of Sale and any applicable documentation, and (e) comply with any license, terms of service or similar agreement with respect to any third party products or services used by Customer in connection with the Products.

Orders: 877-616-CELL (2355) [email protected] Support: 877-678-TECH (8324) [email protected] Web: cellsignal.com
For Research Use Only. Not for Use in Diagnostic Procedures.

Revision 3

Cell Signaling Technology Logo
Western blot analysis of extracts from MCF7, Neuro-2a, and COS-7 cell lines using Ezh2 (D2C9) XP® Rabbit mAb. Data were generated using the standard formulation of this product.
Western Blotting Image 1: Ezh2 (D2C9) Rabbit Monoclonal Antibody (BSA and Azide Free)
Immunohistochemical analysis of paraffin-embedded human colon adenocarcinoma using Ezh2 (D2C9) XP® Rabbit mAb performed on the Leica BOND Rx. Data were generated using the standard formulation of this product.
Immunohistochemistry Image 1: Ezh2 (D2C9) Rabbit Monoclonal Antibody (BSA and Azide Free)
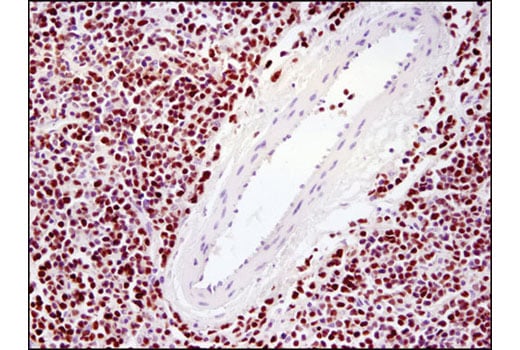
Immunohistochemical analysis of paraffin-embedded human B-cell non-Hodgkin lymphoma using Ezh2 (D2C9) XP® Rabbit mAb performed on the Leica BOND Rx. Data were generated using the standard formulation of this product.
Immunohistochemistry Image 2: Ezh2 (D2C9) Rabbit Monoclonal Antibody (BSA and Azide Free)
Orders: 877-616-CELL (2355) [email protected] Support: 877-678-TECH (8324) [email protected] Web: cellsignal.com
For Research Use Only. Not for Use in Diagnostic Procedures.

Revision 3

Cell Signaling Technology Logo
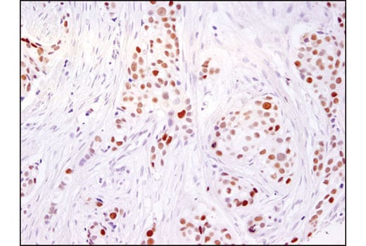
Immunohistochemical analysis of paraffin-embedded human breast carcinoma using Ezh2 (D2C9) XP® Rabbit mAb. Data were generated using the standard formulation of this product.
Immunohistochemistry Image 1: Ezh2 (D2C9) Rabbit Monoclonal Antibody (BSA and Azide Free)
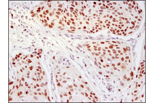
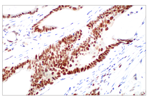
Immunohistochemical analysis of paraffin-embedded human cervical carcinoma using Ezh2 (D2C9) XP® Rabbit mAb. Data were generated using the standard formulation of this product.
Immunohistochemistry Image 2: Ezh2 (D2C9) Rabbit Monoclonal Antibody (BSA and Azide Free)
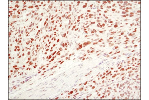
Immunohistochemical analysis of paraffin-embedded human lymphoma using Ezh2 (D2C9) XP® Rabbit mAb. Data were generated using the standard formulation of this product.
Immunohistochemistry Image 3: Ezh2 (D2C9) Rabbit Monoclonal Antibody (BSA and Azide Free)
Orders: 877-616-CELL (2355) [email protected] Support: 877-678-TECH (8324) [email protected] Web: cellsignal.com
For Research Use Only. Not for Use in Diagnostic Procedures.

Revision 3

Cell Signaling Technology Logo
Immunohistochemical analysis of paraffin-embedded 4T1 mouse syngeneic tumor using Ezh2 (D2C9) XP® Rabbit mAb. Data were generated using the standard formulation of this product.
Immunohistochemistry Image 4: Ezh2 (D2C9) Rabbit Monoclonal Antibody (BSA and Azide Free)
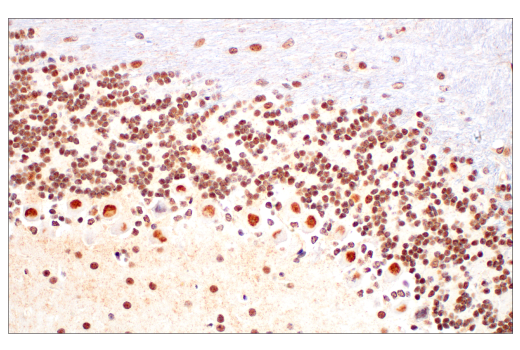
Immunohistochemical analysis of paraffin-embedded mouse brain using Ezh2 (D2C9) XP® Rabbit mAb. Data were generated using the standard formulation of this product.
Immunohistochemistry Image 5: Ezh2 (D2C9) Rabbit Monoclonal Antibody (BSA and Azide Free)
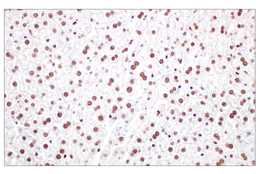
Immunohistochemical analysis of paraffin-embedded mouse liver using Ezh2 (D2C9) XP® Rabbit mAb. Data were generated using the standard formulation of this product.
Immunohistochemistry Image 6: Ezh2 (D2C9) Rabbit Monoclonal Antibody (BSA and Azide Free)
Orders: 877-616-CELL (2355) [email protected] Support: 877-678-TECH (8324) [email protected] Web: cellsignal.com
For Research Use Only. Not for Use in Diagnostic Procedures.

Revision 3

Cell Signaling Technology Logo
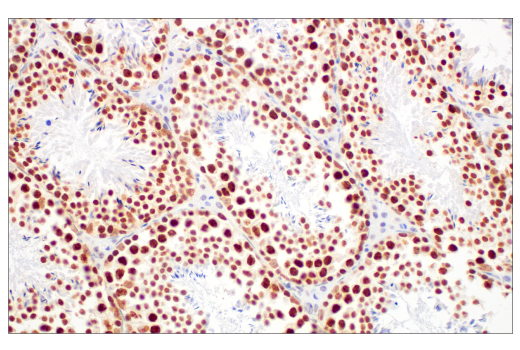
Immunohistochemical analysis of paraffin-embedded mouse testis using Ezh2 (D2C9) XP® Rabbit mAb. Data were generated using the standard formulation of this product.
Immunohistochemistry Image 7: Ezh2 (D2C9) Rabbit Monoclonal Antibody (BSA and Azide Free)
Confocal immunofluorescent analysis of mouse hippocampus (left) and cerebellum (right) using Ezh2 (D2C9) XP® Rabbit mAb (green). Actin filaments were labeled with DyLight™ 554 Phalloidin #13054 (red). Blue pseudocolor = DRAQ5® #4084 (fluorescent DNA dye). Data were generated using the standard formulation of this product.
Immunofluorescence Image 1: Ezh2 (D2C9) Rabbit Monoclonal Antibody (BSA and Azide Free)
Confocal immunofluorescent analysis of HeLa cells using Ezh2 (D2C9) XP® Rabbit mAb (green) and S6 Ribosomal Protein (54D2) Mouse mAb #2317 (blue). Actin filaments were labeled with DY-554 phalloidin (red). Data were generated using the standard formulation of this product.
Immunofluorescence Image 1: Ezh2 (D2C9) Rabbit Monoclonal Antibody (BSA and Azide Free)
Orders: 877-616-CELL (2355) [email protected] Support: 877-678-TECH (8324) [email protected] Web: cellsignal.com
For Research Use Only. Not for Use in Diagnostic Procedures.

Revision 3

Cell Signaling Technology Logo
Flow cytometric analysis of human peripheral blood mononuclear cells untreated (left) and treated (right) with anti-human CD3 (10ug/ml, coated plates) and anti-human CD28 (5ug/ml) for 3 days at 37ºC using EZH2 (D2C9) XP® Rabbit mAb and co-stained with an anti-human CD3 antibody. Anti-rabbit IgG (H+L), F(ab')2 Fragment (Alexa Fluor 488 Conjugate) #4412 was used as a secondary antibody. Data were generated using the standard formulation of this product.
Flow Cytometry Image 1: Ezh2 (D2C9) Rabbit Monoclonal Antibody (BSA and Azide Free)
Data using Total Ezh2 Matched Antibody Pair #52912 are shown. The two antibodies function as a capture-target-detection sandwich (#16098 and #44495, respectively) to detect endogenous protein expression in COS-7 cells.
ELISA and/or ELISA-like Assays Image 1: Ezh2 (D2C9) Rabbit Monoclonal Antibody (BSA and Azide Free)
Orders: 877-616-CELL (2355) [email protected] Support: 877-678-TECH (8324) [email protected] Web: cellsignal.com
For Research Use Only. Not for Use in Diagnostic Procedures.