Revision 1

#87095

Store at -20C

CST Logo
Orders:

877-616-CELL (2355)

[email protected]

Support:

877-678-TECH (8324)

3 Trask Lane | Danvers | Massachusetts | 01923 | USA

For Research Use Only. Not for Use in Diagnostic Procedures.

Applications:
W, IHC-P

Reactivity:
H M R

Sensitivity:
Endogenous

MW (kDa):
125

Source/Isotype:
Mouse IgG1 kappa

UniProt ID:
#Q05397

Entrez-Gene Id:
5747

Product Usage Information

This product is the carrier free version of product #62220. All data were generated using the same antibody clone in the standard formulation which contains BSA and glycerol.

This formulation is ideal for use with technologies requiring specialized or custom antibody labeling, including fluorophores, metals, lanthanides, and oligonucleotides. It is not recommended for ChIP, ChIP-seq, CUT&RUN or CUT&Tag assays. If you require a carrier free formulation for chromatin profiling, please contact us. Optimal dilutions/concentrations should be determined by the end user.

BSA and Azide Free antibodies are quality control tested by size exclusion chromatography (SEC) to determine antibody integrity.

Formulation

Supplied in 1X PBS (10 mM Na2HPO4, 3 mM KCl, 2 mM KH2PO4, and 140 mM NaCl (pH 7.8)). BSA and Azide Free.

For standard formulation of this product see product #62220.

Storage

Store at -20°C. This product will freeze at -20°C so it is recommended to aliquot into single-use vials to avoid multiple freeze/thaw cycles. A slight precipitate may be present and can be dissolved by gently vortexing. This will not interfere with antibody performance.

Specificity/Sensitivity

FAK (F7Z4C) Mouse Monoclonal Antibody (BSA and Azide Free) recognizes endogenous levels of total FAK protein.

Source / Purification

Monoclonal antibody is produced by immunizing animals with a synthetic peptide corresponding to residues surrounding Ala895 of human FAK protein.

Background

Focal adhesion kinase (FAK) is a widely expressed cytoplasmic protein tyrosine kinase involved in integrin-mediated signal transduction. It plays an important role in the control of several biological processes, including cell spreading, migration, and survival (1). Activation of FAK by integrin clustering leads to autophosphorylation at Tyr397, which is a binding site for the Src family kinases PI3K and PLCγ (2-5). Recruitment of Src family kinases results in the phosphorylation of Tyr407, Tyr576, and Tyr577 in the catalytic domain, and Tyr871 and Tyr925 in the carboxy-terminal region of FAK (6,7).

Species Reactivity

Species reactivity is determined by testing in at least one approved application (e.g., western blot).

Applications Key

W: Western Blotting IHC-P: Immunohistochemistry (Paraffin)

Cross-Reactivity Key

H: Human M: Mouse R: Rat

Trademarks and Patents

Cell Signaling Technology is a trademark of Cell Signaling Technology, Inc.

All other trademarks are the property of their respective owners. Visit cellsignal.com/trademarks for more information.

Limited Uses

Except as otherwise expressly agreed in a writing signed by a legally authorized representative of CST, the following terms apply to Products provided by CST, its affiliates or its distributors. Any Customer's terms and conditions that are in addition to, or different from, those contained herein, unless separately accepted in writing by a legally authorized representative of CST, are rejected and are of no force or effect.

Products are labeled with For Research Use Only or a similar labeling statement and have not been approved, cleared, or licensed by the FDA or other regulatory foreign or domestic entity, for any purpose. Customer shall not use any Product for any diagnostic or therapeutic purpose, or otherwise in any manner that conflicts with its labeling statement. Products sold or licensed by CST are provided for Customer as the end-user and solely for research and development uses. Any use of Product for diagnostic, prophylactic or therapeutic purposes, or any purchase of Product for resale (alone or as a component) or other commercial purpose, requires a separate license from CST. Customer shall (a) not sell, license, loan, donate or otherwise transfer or make available any Product to any third party, whether alone or in combination with other materials, or use the Products to manufacture any commercial products, (b) not copy, modify, reverse engineer, decompile, disassemble or otherwise attempt to discover the underlying structure or technology of the Products, or use the Products for the purpose of developing any products or services that would compete with CST products or services, (c) not alter or remove from the Products any trademarks, trade names, logos, patent or copyright notices or markings, (d) use the Products solely in accordance with CST Product Terms of Sale and any applicable documentation, and (e) comply with any license, terms of service or similar agreement with respect to any third party products or services used by Customer in connection with the Products.

Orders: 877-616-CELL (2355) [email protected] Support: 877-678-TECH (8324) [email protected] Web: cellsignal.com
For Research Use Only. Not for Use in Diagnostic Procedures.

Revision 1

Cell Signaling Technology Logo
Western blot analysis of extracts from various tissues and cell lines using FAK (F7Z4C) Mouse mAb (upper) or GAPDH (D16H11) XP® Rabbit mAb #5174 (lower). Data were generated using the standard formulation of this product.
Western Blotting Image 1: FAK (F7Z4C) Mouse Monoclonal Antibody (BSA and Azide Free)
Western blot analysis of extracts from control MEF cells and FAK KO (-/-) MEF cells using FAK (F7Z4C) Mouse mAb (upper) or GAPDH (D16H11) XP® Rabbit mAb #5174 (lower). Data were generated using the standard formulation of this product.
Western Blotting Image 2: FAK (F7Z4C) Mouse Monoclonal Antibody (BSA and Azide Free)
Immunohistochemical analysis of paraffin-embedded human adenoid cystic carcinoma of the salivary gland using FAK (F7Z4C) Mouse mAb. Data were generated using the standard formulation of this product.
Immunohistochemistry Image 1: FAK (F7Z4C) Mouse Monoclonal Antibody (BSA and Azide Free)
Orders: 877-616-CELL (2355) [email protected] Support: 877-678-TECH (8324) [email protected] Web: cellsignal.com
For Research Use Only. Not for Use in Diagnostic Procedures.

Revision 1

Cell Signaling Technology Logo
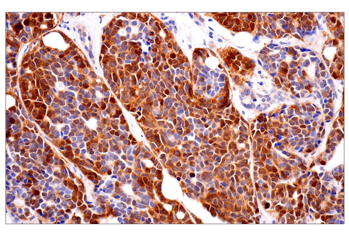
Immunohistochemical analysis of paraffin-embedded human ductal carcinoma of the breast using FAK (F7Z4C) Mouse mAb. Data were generated using the standard formulation of this product.
Immunohistochemistry Image 2: FAK (F7Z4C) Mouse Monoclonal Antibody (BSA and Azide Free)
Immunohistochemical analysis of paraffin-embedded human papillary thyroid carcinoma using FAK (F7Z4C) Mouse mAb. Data were generated using the standard formulation of this product.
Immunohistochemistry Image 3: FAK (F7Z4C) Mouse Monoclonal Antibody (BSA and Azide Free)
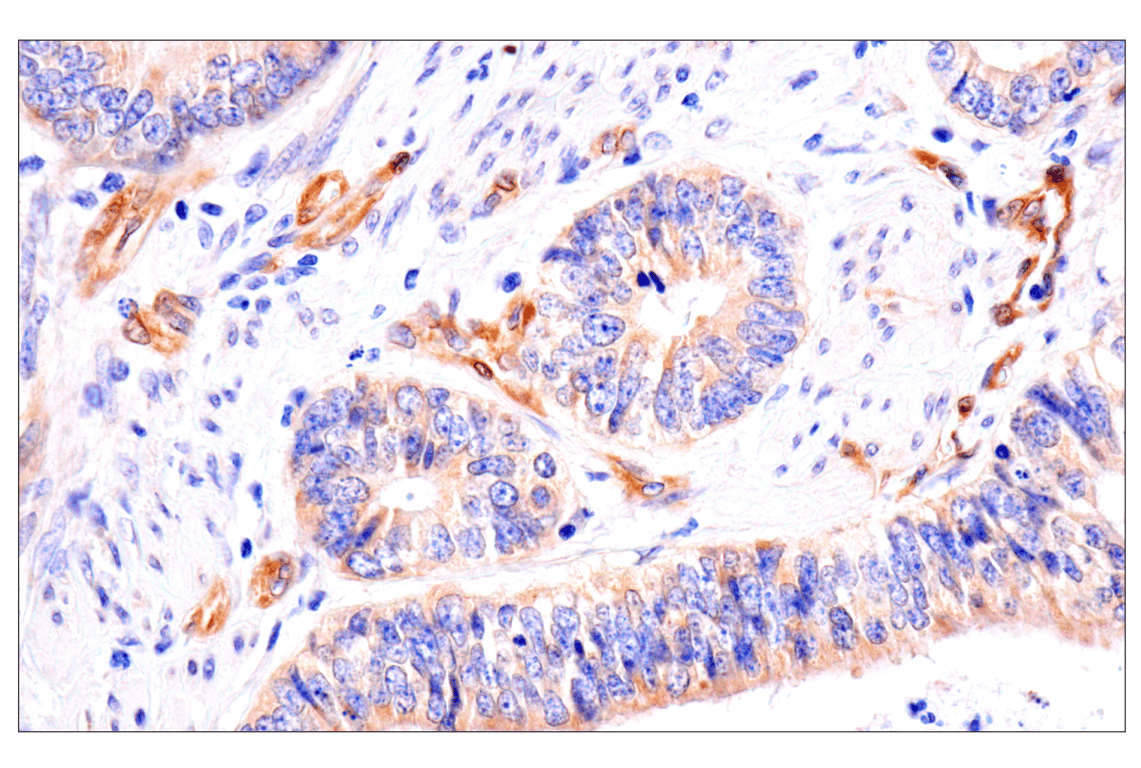
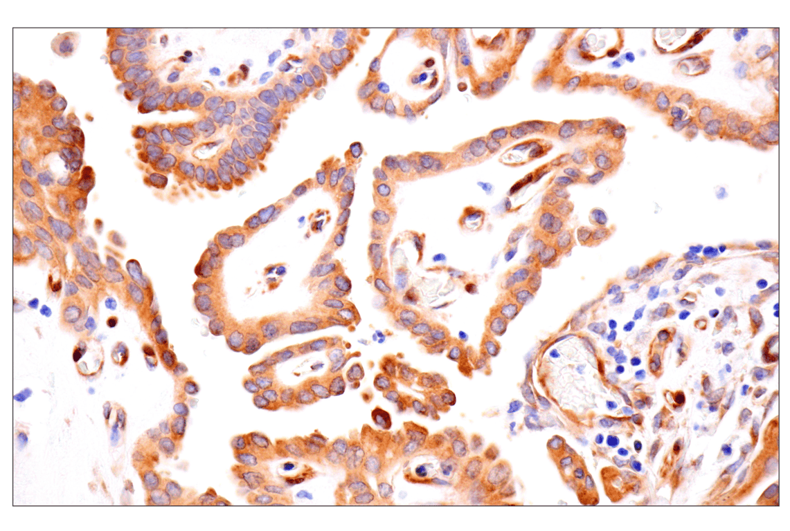
Immunohistochemical analysis of paraffin-embedded human endometrioid adenocarcinoma using FAK (F7Z4C) Mouse mAb. Data were generated using the standard formulation of this product.
Immunohistochemistry Image 4: FAK (F7Z4C) Mouse Monoclonal Antibody (BSA and Azide Free)
Orders: 877-616-CELL (2355) [email protected] Support: 877-678-TECH (8324) [email protected] Web: cellsignal.com
For Research Use Only. Not for Use in Diagnostic Procedures.

Revision 1

Cell Signaling Technology Logo
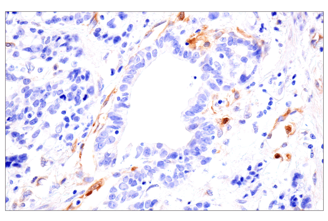
Immunohistochemical analysis of paraffin-embedded human esophageal adenocarcinoma using FAK (F7Z4C) Mouse mAb. Data were generated using the standard formulation of this product.
Immunohistochemistry Image 5: FAK (F7Z4C) Mouse Monoclonal Antibody (BSA and Azide Free)
Immunohistochemical analysis of paraffin-embedded normal human testis using FAK (F7Z4C) Mouse mAb. Data were generated using the standard formulation of this product.
Immunohistochemistry Image 6: FAK (F7Z4C) Mouse Monoclonal Antibody (BSA and Azide Free)
Immunohistochemical analysis of paraffin-embedded LL/2 syngeneic tumor using FAK (F7Z4C) Mouse mAb (left) or no primary antibody (right). Data were generated using the standard formulation of this product.
Immunohistochemistry Image 7: FAK (F7Z4C) Mouse Monoclonal Antibody (BSA and Azide Free)
Orders: 877-616-CELL (2355) [email protected] Support: 877-678-TECH (8324) [email protected] Web: cellsignal.com
For Research Use Only. Not for Use in Diagnostic Procedures.

Revision 1

Cell Signaling Technology Logo
Immunohistochemical analysis of paraffin-embedded mouse testis using FAK (F7Z4C) Mouse mAb (left) or no primary antibody (right). Data were generated using the standard formulation of this product.
Immunohistochemistry Image 8: FAK (F7Z4C) Mouse Monoclonal Antibody (BSA and Azide Free)
Immunohistochemical analysis of paraffin-embedded mouse spleen using FAK (F7Z4C) Mouse mAb (left) or no primary antibody (right). Data were generated using the standard formulation of this product.
Immunohistochemistry Image 9: FAK (F7Z4C) Mouse Monoclonal Antibody (BSA and Azide Free)
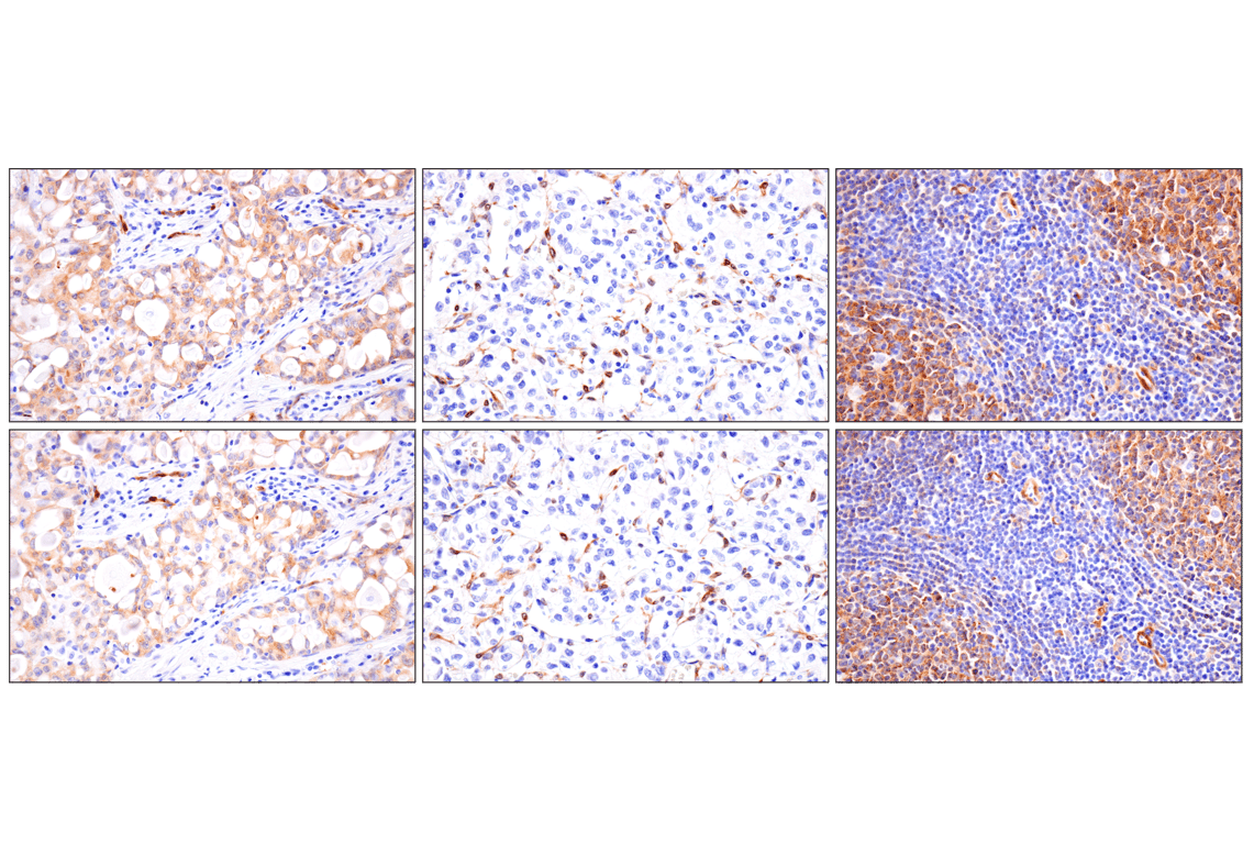
Immunohistochemical analysis of paraffin-embedded human lung adenocarcinoma (left), renal cell carcinoma (middle), and tonsil (right) using FAK (F7Z4C) Mouse mAb (top) or FAK (D5O7U) XP® Rabbit mAb #71433 (bottom). These two antibodies detect unique, non-overlapping epitopes on human FAK. The similar staining patterns obtained with both antibodies help to confirm the specificity of the staining. Data were generated using the standard formulation of this product.
Immunohistochemistry Image 10: FAK (F7Z4C) Mouse Monoclonal Antibody (BSA and Azide Free)
Orders: 877-616-CELL (2355) [email protected] Support: 877-678-TECH (8324) [email protected] Web: cellsignal.com
For Research Use Only. Not for Use in Diagnostic Procedures.

Revision 1

Cell Signaling Technology Logo
Immunohistochemical analysis of paraffin-embedded human adenoid cystic carcinoma of the salivary gland using FAK (F7Z4C) Mouse mAb (left) compared to concentration-matched Mouse (G3A1) mAb IgG1 Isotype Control #5415 (right). Data were generated using the standard formulation of this product.
Immunohistochemistry Image 11: FAK (F7Z4C) Mouse Monoclonal Antibody (BSA and Azide Free)
Immunohistochemical analysis of paraffin-embedded MEF cell pellets, wild-type (left, positive) or FAK KO (-/-) (right, negative), using FAK (F7Z4C) Mouse mAb. Data were generated using the standard formulation of this product.
Immunohistochemistry Image 12: FAK (F7Z4C) Mouse Monoclonal Antibody (BSA and Azide Free)
Orders: 877-616-CELL (2355) [email protected] Support: 877-678-TECH (8324) [email protected] Web: cellsignal.com
For Research Use Only. Not for Use in Diagnostic Procedures.