Revision 3

#87871

Store at -20C

CST Logo
Orders:

877-616-CELL (2355)

[email protected]

Support:

877-678-TECH (8324)

3 Trask Lane | Danvers | Massachusetts | 01923 | USA

For Research Use Only. Not for Use in Diagnostic Procedures.

Applications:
W, W-S, IP

Reactivity:
M

Sensitivity:
Endogenous

MW (kDa):
40-50

Source/Isotype:
Rabbit IgG

UniProt ID:
#P25446

Entrez-Gene Id:
14102

Product Usage Information

Application Dilution
Western Blotting 1:1000
Simple Western™ 1:10 - 1:50
Immunoprecipitation 1:50

Storage

Supplied in 10 mM sodium HEPES (pH 7.5), 150 mM NaCl, 100 µg/mL BSA, 50% glycerol, and less than 0.02% sodium azide. Store at –20°C. Do not aliquot the antibody.

Specificity/Sensitivity

Fas (F1R2S) Rabbit Monoclonal Antibody recognizes endogenous levels of total Fas protein.

Source / Purification

Monoclonal antibody is produced by immunizing animals with a synthetic peptide corresponding to residues surrounding Glu46 of mouse Fas protein, within the extracellular region.

Background

Association of the receptor Fas with its ligand FasL triggers an apoptotic pathway that plays an important role in immune regulation, development, and progression of cancers (1,2). Loss of function mutation in either Fas (lpr mice) or FasL (gld mice) leads to lymphadenopathy and splenomegaly as a result of decreased apoptosis in CD4-CD8- T lymphocytes (3,4). FasL (CD95L, Apo-1L) is a type II transmembrane protein of 280 amino acids (runs at approximately 40 kDa upon glycosylation) that belongs to the TNF family, which also includes TNF-α, TRAIL, and TWEAK. Binding of FasL to its receptor triggers the formation of a death-inducing signaling complex (DISC) involving the recruitment of the adaptor protein FADD and caspase-8 (5). Activation of caspase-8 from this complex initiates a caspase cascade resulting in the activation of caspase-3 and subsequent cleavage of proteins leading to apoptosis. Unlike Fas, which is constitutively expressed by various cell types, FasL is predominantly expressed on activated T lymphocytes, NK cells, and at immune privileged sites (6). FasL is also expressed in several tumor types as a mechanism to evade immune surveillance (7). Similar to other members of the TNF family, FasL can be cleaved by metalloproteinases producing a 26 kDa trimeric soluble form (8,9).

Species Reactivity

Species reactivity is determined by testing in at least one approved application (e.g., western blot).

Western Blot Buffer

IMPORTANT: For western blots, incubate membrane with diluted primary antibody in 5% w/v BSA, 1X TBS, 0.1% Tween® 20 at 4°C with gentle shaking, overnight.

Applications Key

W: Western Blotting W-S: Simple Western™ IP: Immunoprecipitation

Cross-Reactivity Key

M: Mouse

Trademarks and Patents

Cell Signaling Technology is a trademark of Cell Signaling Technology, Inc.

All other trademarks are the property of their respective owners. Visit cellsignal.com/trademarks for more information.

Limited Uses

Except as otherwise expressly agreed in a writing signed by a legally authorized representative of CST, the following terms apply to Products provided by CST, its affiliates or its distributors. Any Customer's terms and conditions that are in addition to, or different from, those contained herein, unless separately accepted in writing by a legally authorized representative of CST, are rejected and are of no force or effect.

Products are labeled with For Research Use Only or a similar labeling statement and have not been approved, cleared, or licensed by the FDA or other regulatory foreign or domestic entity, for any purpose. Customer shall not use any Product for any diagnostic or therapeutic purpose, or otherwise in any manner that conflicts with its labeling statement. Products sold or licensed by CST are provided for Customer as the end-user and solely for research and development uses. Any use of Product for diagnostic, prophylactic or therapeutic purposes, or any purchase of Product for resale (alone or as a component) or other commercial purpose, requires a separate license from CST. Customer shall (a) not sell, license, loan, donate or otherwise transfer or make available any Product to any third party, whether alone or in combination with other materials, or use the Products to manufacture any commercial products, (b) not copy, modify, reverse engineer, decompile, disassemble or otherwise attempt to discover the underlying structure or technology of the Products, or use the Products for the purpose of developing any products or services that would compete with CST products or services, (c) not alter or remove from the Products any trademarks, trade names, logos, patent or copyright notices or markings, (d) use the Products solely in accordance with CST Product Terms of Sale and any applicable documentation, and (e) comply with any license, terms of service or similar agreement with respect to any third party products or services used by Customer in connection with the Products.

Orders: 877-616-CELL (2355) [email protected] Support: 877-678-TECH (8324) [email protected] Web: cellsignal.com
For Research Use Only. Not for Use in Diagnostic Procedures.

Revision 3

Cell Signaling Technology Logo
Western blot analysis of extracts from various cell lines using Fas (F1R2S) Rabbit mAb (upper) or GAPDH (D16H11) XP® Rabbit mAb #5174 (lower). Low expression of Fas protein in CTLL-2 and L-929 cells is consistent with published observations.
Western Blotting Image 1: Fas (F1R2S) Rabbit Monoclonal Antibody
Western blot analysis of extracts from 293T cells, mock transfected (-) or transfected with a construct expressing full-length mouse Fas protein (mFas; +), using Fas (F1R2S) Rabbit mAb (upper) or GAPDH (D16H11) XP® Rabbit mAb #5174 (lower).
Western Blotting Image 2: Fas (F1R2S) Rabbit Monoclonal Antibody
Simple WesternTM analysis of lysates (0.1 mg/mL) from A20 cells using Fas (F1R2S) Rabbit mAb #87871. The virtual lane view (left) shows the target band (as indicated) at 1:10 and 1:50 dilutions of primary antibody. The corresponding electropherogram view (right) plots chemiluminescence by molecular weight along the capillary at 1:10 (blue line) and 1:50 (green line) dilutions of primary antibody. This experiment was performed under reducing conditions on the JessTM Simple Western instrument from ProteinSimple, a BioTechne brand, using the 12-230 kDa separation module.
Western Blotting Image 1: Fas (F1R2S) Rabbit Monoclonal Antibody
Orders: 877-616-CELL (2355) [email protected] Support: 877-678-TECH (8324) [email protected] Web: cellsignal.com
For Research Use Only. Not for Use in Diagnostic Procedures.

Revision 3

Cell Signaling Technology Logo
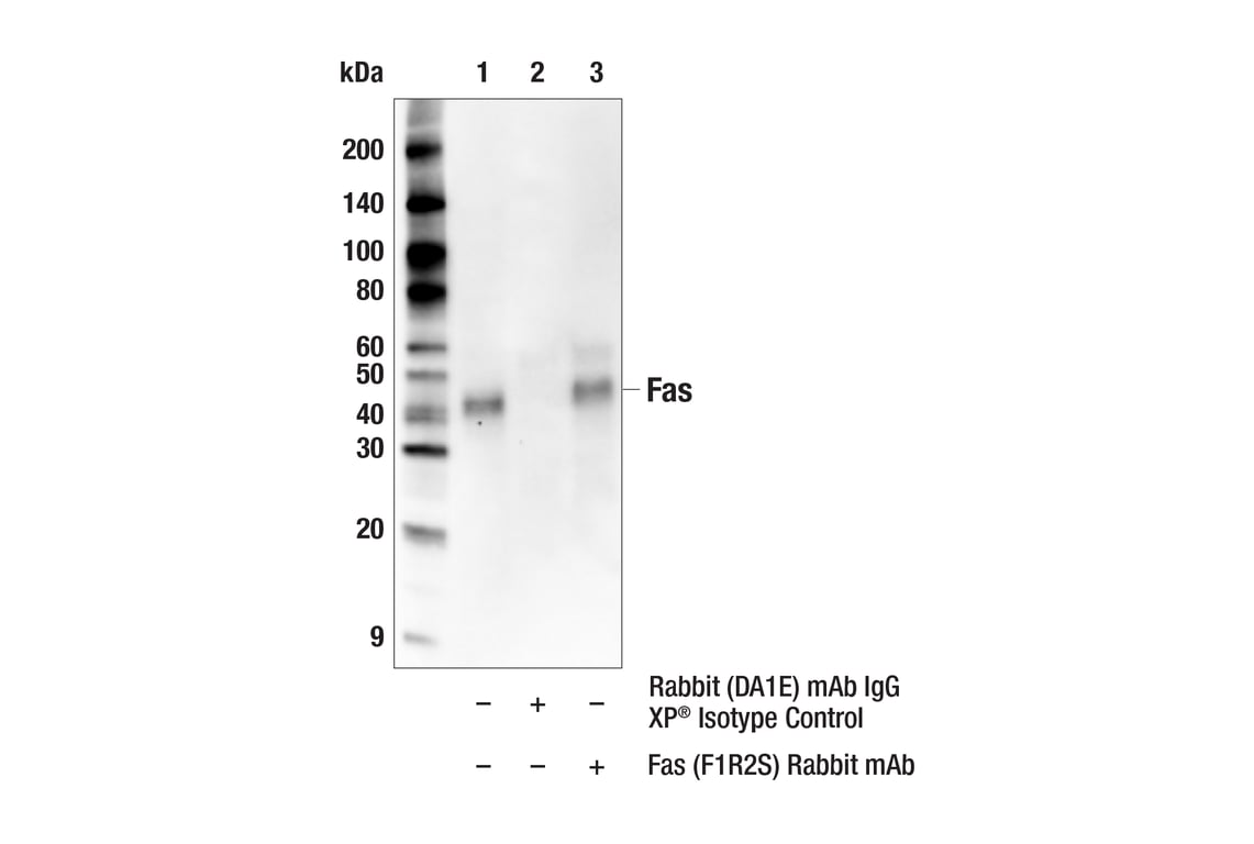
Immunoprecipitation of Fas protein from A20 cell extracts. Lane 1 is 10% input, lane 2 is Rabbit (DA1E) mAb IgG XP® Isotype Control #3900, and lane 3 is Fas (F1R2S) Rabbit mAb. Western blot analysis was performed using Fas (F1R2S) Rabbit mAb. Mouse Anti-rabbit IgG (Conformation Specific) (L27A9) mAb (HRP Conjugate) #5127 was used as a secondary antibody.
Immunoprecipitation Image 1: Fas (F1R2S) Rabbit Monoclonal Antibody
Orders: 877-616-CELL (2355) [email protected] Support: 877-678-TECH (8324) [email protected] Web: cellsignal.com
For Research Use Only. Not for Use in Diagnostic Procedures.