Revision 1

#68405

Store at -20C

CST Logo
Orders:

877-616-CELL (2355)

[email protected]

Support:

877-678-TECH (8324)

3 Trask Lane | Danvers | Massachusetts | 01923 | USA

For Research Use Only. Not for Use in Diagnostic Procedures.

Applications:
W

Reactivity:
H

Sensitivity:
Endogenous

MW (kDa):
40

Source/Isotype:
Rabbit IgG

UniProt ID:
#P48023

Entrez-Gene Id:
356

Product Usage Information

Application Dilution
Western Blotting 1:1000

Storage

Supplied in 10 mM sodium HEPES (pH 7.5), 150 mM NaCl, 100 µg/ml BSA, 50% glycerol and less than 0.02% sodium azide. Store at –20°C. Do not aliquot the antibody.

Specificity/Sensitivity

FasL (D1N5E) Rabbit Monoclonal Antibody recognizes endogenous levels of total FasL protein.

Source / Purification

Monoclonal antibody is produced by immunizing animals with recombinant protein specific to the carboxy terminus of human FasL protein. The antigen is within the extracellular domain of FasL.

Background

Association of the receptor Fas with its ligand FasL triggers an apoptotic pathway that plays an important role in immune regulation, development, and progression of cancers (1,2). Loss of function mutation in either Fas (lpr mice) or FasL (gld mice) leads to lymphadenopathy and splenomegaly as a result of decreased apoptosis in CD4-CD8- T lymphocytes (3,4). FasL (CD95L, Apo-1L) is a type II transmembrane protein of 280 amino acids (runs at approximately 40 kDa upon glycosylation) that belongs to the TNF family, which also includes TNF-α, TRAIL, and TWEAK. Binding of FasL to its receptor triggers the formation of a death-inducing signaling complex (DISC) involving the recruitment of the adaptor protein FADD and caspase-8 (5). Activation of caspase-8 from this complex initiates a caspase cascade resulting in the activation of caspase-3 and subsequent cleavage of proteins leading to apoptosis. Unlike Fas, which is constitutively expressed by various cell types, FasL is predominantly expressed on activated T lymphocytes, NK cells, and at immune privileged sites (6). FasL is also expressed in several tumor types as a mechanism to evade immune surveillance (7). Similar to other members of the TNF family, FasL can be cleaved by metalloproteinases producing a 26 kDa trimeric soluble form (8,9).

Species Reactivity

Species reactivity is determined by testing in at least one approved application (e.g., western blot).

Western Blot Buffer

IMPORTANT: For western blots, incubate membrane with diluted primary antibody in 5% w/v BSA, 1X TBS, 0.1% Tween® 20 at 4°C with gentle shaking, overnight.

Applications Key

W: Western Blotting

Cross-Reactivity Key

H: Human

Trademarks and Patents

Cell Signaling Technology is a trademark of Cell Signaling Technology, Inc.

All other trademarks are the property of their respective owners. Visit cellsignal.com/trademarks for more information.

Limited Uses

Except as otherwise expressly agreed in a writing signed by a legally authorized representative of CST, the following terms apply to Products provided by CST, its affiliates or its distributors. Any Customer's terms and conditions that are in addition to, or different from, those contained herein, unless separately accepted in writing by a legally authorized representative of CST, are rejected and are of no force or effect.

Products are labeled with For Research Use Only or a similar labeling statement and have not been approved, cleared, or licensed by the FDA or other regulatory foreign or domestic entity, for any purpose. Customer shall not use any Product for any diagnostic or therapeutic purpose, or otherwise in any manner that conflicts with its labeling statement. Products sold or licensed by CST are provided for Customer as the end-user and solely for research and development uses. Any use of Product for diagnostic, prophylactic or therapeutic purposes, or any purchase of Product for resale (alone or as a component) or other commercial purpose, requires a separate license from CST. Customer shall (a) not sell, license, loan, donate or otherwise transfer or make available any Product to any third party, whether alone or in combination with other materials, or use the Products to manufacture any commercial products, (b) not copy, modify, reverse engineer, decompile, disassemble or otherwise attempt to discover the underlying structure or technology of the Products, or use the Products for the purpose of developing any products or services that would compete with CST products or services, (c) not alter or remove from the Products any trademarks, trade names, logos, patent or copyright notices or markings, (d) use the Products solely in accordance with CST Product Terms of Sale and any applicable documentation, and (e) comply with any license, terms of service or similar agreement with respect to any third party products or services used by Customer in connection with the Products.

Orders: 877-616-CELL (2355) [email protected] Support: 877-678-TECH (8324) [email protected] Web: cellsignal.com
For Research Use Only. Not for Use in Diagnostic Procedures.

Revision 1

Cell Signaling Technology Logo
Western blot analysis of NK-92 cells, untreated (-) or treated (+) with TPA #4174 (80 nM, 1 hr) and Ionomycin #9995 (3 μM, 1 hr) followed by Brefeldin A #9972 (300 ng/ml, 4 hr), using FasL (D1N5E) Rabbit mAb (upper) or β-Actin (D6A8) Rabbit mAb #8457 (lower).
Western Blotting Image 1: FasL (D1N5E) Rabbit Monoclonal Antibody
Western blot anlaysis of extracts from 293T cells, mock transfected (-) or transfected with a construct expressing Myc-tagged full-length human FasL (hFasL-Myc; +), using FasL (D1N5E) Rabbit mAb.
Western Blotting Image 2: FasL (D1N5E) Rabbit Monoclonal Antibody
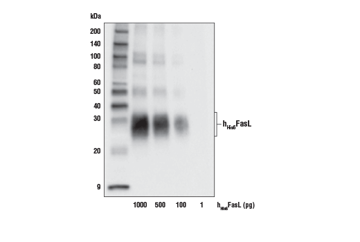
Western blot analysis of extracts from recombinant HumanHis6 Fas Ligand/TNFSF6 (hHis6FasL) #5452 using FasL (D1N5E) Rabbit mAb.
Western Blotting Image 3: FasL (D1N5E) Rabbit Monoclonal Antibody
Orders: 877-616-CELL (2355) [email protected] Support: 877-678-TECH (8324) [email protected] Web: cellsignal.com
For Research Use Only. Not for Use in Diagnostic Procedures.