Revision 2

#66058

Store at -20C

CST Logo
Orders:

877-616-CELL (2355)

[email protected]

Support:

877-678-TECH (8324)

3 Trask Lane | Danvers | Massachusetts | 01923 | USA

For Research Use Only. Not for Use in Diagnostic Procedures.

Applications:
W, IHC-P, IF-IC, FC-FP

Reactivity:
H M R

Sensitivity:
Endogenous

MW (kDa):
273

Source/Isotype:
Rabbit IgG

UniProt ID:
#P49327

Entrez-Gene Id:
2194

Product Usage Information

This product is the carrier free version of product #3180. All data were generated using the same antibody clone in the standard formulation which contains BSA and glycerol.

This formulation is ideal for use with technologies requiring specialized or custom antibody labeling, including fluorophores, metals, lanthanides, and oligonucleotides. It is not recommended for ChIP, ChIP-seq, CUT&RUN or CUT&Tag assays. If you require a carrier free formulation for chromatin profiling, please contact us. Optimal dilutions/concentrations should be determined by the end user.

BSA and Azide Free antibodies are quality control tested by size exclusion chromatography (SEC) to determine antibody integrity.

Formulation

Supplied in 1X PBS (10 mM Na2HPO4, 3 mM KCl, 2 mM KH2PO4, and 140 mM NaCl (pH 7.8)). BSA and Azide Free.

For standard formulation of this product see product #3180

Storage

Store at -20°C. This product will freeze at -20°C so it is recommended to aliquot into single-use vials to avoid multiple freeze/thaw cycles. A slight precipitate may be present and can be dissolved by gently vortexing. This will not interfere with antibody performance.

Specificity/Sensitivity

Fatty Acid Synthase (C20G5) Rabbit Monoclonal Antibody (BSA and Azide Free) detects endogenous levels of total fatty acid synthase protein.

Species predicted to react based on 100% sequence homology

Bovine

Source / Purification

Fatty Acid Synthase (C20G5) Rabbit mAb is produced by immunizing rabbits with a synthetic peptide around Gly46 corresponding to the sequence of human fatty acid synthase.

Background

Fatty acid synthase (FASN) catalyzes the synthesis of long-chain fatty acids from acetyl-CoA and malonyl-CoA. FASN is active as a homodimer with seven different catalytic activities and produces lipids in the liver for export to metabolically active tissues or storage in adipose tissue. In most other human tissues, FASN is minimally expressed since they rely on circulating fatty acids for new structural lipid synthesis (1).

According to the research literature, increased expression of FASN has emerged as a phenotype common to most human carcinomas. For example, in breast cancer, immunohistochemical staining showed that the levels of FASN are directly related to the size of breast tumors (2). Research studies also showed that FASN is highly expressed in lung and prostate cancers and that FASN expression is an indicator of poor prognosis in breast and prostate cancer (3-5). Furthermore, inhibition of FASN is selectively cytotoxic to human cancer cells (5). Thus, increased interest has focused on FASN as a potential target for the diagnosis and treatment of cancer as well as metabolic syndrome (6,7).

Species Reactivity

Species reactivity is determined by testing in at least one approved application (e.g., western blot).

Applications Key

W: Western Blotting IHC-P: Immunohistochemistry (Paraffin) IF-IC: Immunofluorescence (Immunocytochemistry) FC-FP: Flow Cytometry (Fixed/Permeabilized)

Cross-Reactivity Key

H: Human M: Mouse R: Rat

Trademarks and Patents

Cell Signaling Technology is a trademark of Cell Signaling Technology, Inc.

U.S. Patent No. 7,429,487, foreign equivalents, and child patents deriving therefrom.

All other trademarks are the property of their respective owners. Visit cellsignal.com/trademarks for more information.

Limited Uses

Except as otherwise expressly agreed in a writing signed by a legally authorized representative of CST, the following terms apply to Products provided by CST, its affiliates or its distributors. Any Customer's terms and conditions that are in addition to, or different from, those contained herein, unless separately accepted in writing by a legally authorized representative of CST, are rejected and are of no force or effect.

Products are labeled with For Research Use Only or a similar labeling statement and have not been approved, cleared, or licensed by the FDA or other regulatory foreign or domestic entity, for any purpose. Customer shall not use any Product for any diagnostic or therapeutic purpose, or otherwise in any manner that conflicts with its labeling statement. Products sold or licensed by CST are provided for Customer as the end-user and solely for research and development uses. Any use of Product for diagnostic, prophylactic or therapeutic purposes, or any purchase of Product for resale (alone or as a component) or other commercial purpose, requires a separate license from CST. Customer shall (a) not sell, license, loan, donate or otherwise transfer or make available any Product to any third party, whether alone or in combination with other materials, or use the Products to manufacture any commercial products, (b) not copy, modify, reverse engineer, decompile, disassemble or otherwise attempt to discover the underlying structure or technology of the Products, or use the Products for the purpose of developing any products or services that would compete with CST products or services, (c) not alter or remove from the Products any trademarks, trade names, logos, patent or copyright notices or markings, (d) use the Products solely in accordance with CST Product Terms of Sale and any applicable documentation, and (e) comply with any license, terms of service or similar agreement with respect to any third party products or services used by Customer in connection with the Products.

Orders: 877-616-CELL (2355) [email protected] Support: 877-678-TECH (8324) [email protected] Web: cellsignal.com
For Research Use Only. Not for Use in Diagnostic Procedures.

Revision 2

Cell Signaling Technology Logo
Western blot analysis of extracts from various cell types using Fatty Acid Synthase (C20G5) Rabbit mAb. Data were generated using the standard formulation of this product.
Western Blotting Image 1: Fatty Acid Synthase (C20G5) Rabbit Monoclonal Antibody (BSA and Azide Free)
Immunohistochemical analysis of paraffin-embedded breast carcinoma using Fatty Acid Synthase (C20G5) Rabbit mAb. Data were generated using the standard formulation of this product.
Immunohistochemistry Image 1: Fatty Acid Synthase (C20G5) Rabbit Monoclonal Antibody (BSA and Azide Free)
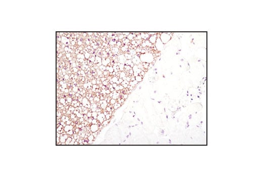
Immunohistochemical analysis of paraffin-embedded hepatocellular carcinoma using Fatty Acid Synthase (C20G5) Rabbit mAb. Data were generated using the standard formulation of this product.
Immunohistochemistry Image 2: Fatty Acid Synthase (C20G5) Rabbit Monoclonal Antibody (BSA and Azide Free)
Orders: 877-616-CELL (2355) [email protected] Support: 877-678-TECH (8324) [email protected] Web: cellsignal.com
For Research Use Only. Not for Use in Diagnostic Procedures.

Revision 2

Cell Signaling Technology Logo
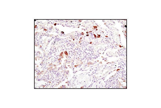
Immunohistochemical analysis of paraffin-embedded lung carcinoma using Fatty Acid Synthase (C20G5) Rabbit mAb. Data were generated using the standard formulation of this product.
Immunohistochemistry Image 3: Fatty Acid Synthase (C20G5) Rabbit Monoclonal Antibody (BSA and Azide Free)
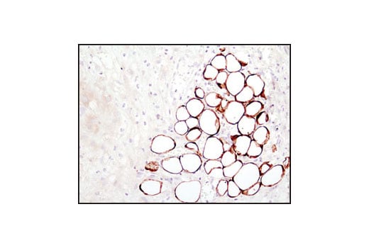
Immunohistochemical analysis of paraffin-embedded lymphoma, showing staining of adipocytes, using Fatty Acid Synthase (C20G5) Rabbit mAb. Data were generated using the standard formulation of this product.
Immunohistochemistry Image 4: Fatty Acid Synthase (C20G5) Rabbit Monoclonal Antibody (BSA and Azide Free)
Immunohistochemical analysis of paraffin-embedded mouse brown fat using Fatty Acid Synthase (C20G5) Rabbit mAb. Data were generated using the standard formulation of this product.
Immunohistochemistry Image 5: Fatty Acid Synthase (C20G5) Rabbit Monoclonal Antibody (BSA and Azide Free)
Orders: 877-616-CELL (2355) [email protected] Support: 877-678-TECH (8324) [email protected] Web: cellsignal.com
For Research Use Only. Not for Use in Diagnostic Procedures.

Revision 2

Cell Signaling Technology Logo
Confocal immunofluorescent analysis of HeLa cells using Fatty Acid Synthase (C20G5) Rabbit mAb (green). Actin filaments have been labeled with DY-554 phalloidin (red). Blue pseudocolor = DRAQ5™ (fluorescent DNA dye). Data were generated using the standard formulation of this product.
Immunofluorescence Image 1: Fatty Acid Synthase (C20G5) Rabbit Monoclonal Antibody (BSA and Azide Free)
Flow cytometric analysis of HeLa cells using Fatty Acid Synthase (C20G5) Rabbit mAb (solid line) compared to concentration-matched Rabbit (DA1E) mAb IgG XP® Isotype Control #3900 (dashed lines). Anti-rabbit IgG (H+L), F(ab')2 Fragment (Alexa Fluor® 488 Conjugate) was used as a secondary antibody. Data were generated using the standard formulation of this product.
Flow Cytometry Image 1: Fatty Acid Synthase (C20G5) Rabbit Monoclonal Antibody (BSA and Azide Free)
Flow cytometric analysis of NIH/3T3 cells using Fatty Acid Synthase (C20G5) Rabbit mAb (solid line) compared to concentration-matched Rabbit (DA1E) mAb IgG XP® Isotype Control #3900 (dashed lines). Anti-rabbit IgG (H+L), F(ab')2 Fragment (Alexa Fluor® 488 Conjugate) was used as a secondary antibody. Data were generated using the standard formulation of this product.
Flow Cytometry Image 2: Fatty Acid Synthase (C20G5) Rabbit Monoclonal Antibody (BSA and Azide Free)
Orders: 877-616-CELL (2355) [email protected] Support: 877-678-TECH (8324) [email protected] Web: cellsignal.com
For Research Use Only. Not for Use in Diagnostic Procedures.