Revision 8

#96397

Store at -20C

CST Logo
Orders:

877-616-CELL (2355)

[email protected]

Support:

877-678-TECH (8324)

3 Trask Lane | Danvers | Massachusetts | 01923 | USA

For Research Use Only. Not for Use in Diagnostic Procedures.

Applications:
W, IP, IHC-Bond, IHC-P, FC-FP

Reactivity:
M

Sensitivity:
Endogenous

MW (kDa):
60-80

Source/Isotype:
Rabbit IgG

UniProt ID:
#P08101

Entrez-Gene Id:
14130

Product Usage Information

Application Dilution
Western Blotting 1:1000
Immunoprecipitation 1:50
IHC Leica Bond 1:100
Immunohistochemistry (Paraffin) 1:100
Flow Cytometry (Fixed/Permeabilized) 1:400

Storage

Supplied in 10 mM sodium HEPES (pH 7.5), 150 mM NaCl, 100 µg/ml BSA, 50% glycerol and less than 0.02% sodium azide. Store at –20°C. Do not aliquot the antibody.

For a carrier free (BSA and azide free) version of this product see product #81563.

Specificity/Sensitivity

Fc-gamma RIIB (D8F9C) Rabbit Monoclonal Antibody recognizes endogenous levels of total FcγRIIB protein. Please note that non-specific signal was observed in kidney tubules by IHC.

Source / Purification

Monoclonal antibody is produced by immunizing animals with a synthetic peptide corresponding to residues surrounding Pro284 of mouse FcγRIIB protein.

Background

FcγRIIB (CD32B) is a low affinity, IgG Fc-binding receptor expressed on B cells, monocytes, macrophages, and dendritic cells (DCs) (1-3). It is the inhibitory Fc receptor and signals through an immunoreceptor tyrosine-based inhibitory motif (ITIM) within its carboxy-terminal cytoplasmic tail (2). Binding of immune complexes to FcγRIIB results in tyrosine phosphorylation of the ITIM motif at Tyr292 and recruitment of the phosphatase SHIP, which mediates inhibitory effects on immune cell activation (2,4). In this way, FcγRIIB suppresses the effects of activating Fc-binding receptors (3). For example, mice deficient for FcγRIIB have greater T cell and DC responses following injection of immune complexes (5,6). In addition, FcγRIIB plays a role in B cell affinity maturation (7). Signaling through FcγRIIB in the absence of signaling through the B cell receptor (BCR) is proapoptotic, while signaling through FcγRIIB and the BCR simultaneously attenuates the apoptotic signal and results in selection of B cells with higher antigen affinity (7).

Species Reactivity

Species reactivity is determined by testing in at least one approved application (e.g., western blot).

Western Blot Buffer

IMPORTANT: For western blots, incubate membrane with diluted primary antibody in 5% w/v BSA, 1X TBS, 0.1% Tween® 20 at 4°C with gentle shaking, overnight.

Applications Key

W: Western Blotting IP: Immunoprecipitation IHC-Bond: IHC Leica Bond IHC-P: Immunohistochemistry (Paraffin) FC-FP: Flow Cytometry (Fixed/Permeabilized)

Cross-Reactivity Key

M: Mouse

Trademarks and Patents

Cell Signaling Technology is a trademark of Cell Signaling Technology, Inc.

Alexa Fluor is a registered trademark of Life Technologies Corporation.

All other trademarks are the property of their respective owners. Visit cellsignal.com/trademarks for more information.

Limited Uses

Except as otherwise expressly agreed in a writing signed by a legally authorized representative of CST, the following terms apply to Products provided by CST, its affiliates or its distributors. Any Customer's terms and conditions that are in addition to, or different from, those contained herein, unless separately accepted in writing by a legally authorized representative of CST, are rejected and are of no force or effect.

Products are labeled with For Research Use Only or a similar labeling statement and have not been approved, cleared, or licensed by the FDA or other regulatory foreign or domestic entity, for any purpose. Customer shall not use any Product for any diagnostic or therapeutic purpose, or otherwise in any manner that conflicts with its labeling statement. Products sold or licensed by CST are provided for Customer as the end-user and solely for research and development uses. Any use of Product for diagnostic, prophylactic or therapeutic purposes, or any purchase of Product for resale (alone or as a component) or other commercial purpose, requires a separate license from CST. Customer shall (a) not sell, license, loan, donate or otherwise transfer or make available any Product to any third party, whether alone or in combination with other materials, or use the Products to manufacture any commercial products, (b) not copy, modify, reverse engineer, decompile, disassemble or otherwise attempt to discover the underlying structure or technology of the Products, or use the Products for the purpose of developing any products or services that would compete with CST products or services, (c) not alter or remove from the Products any trademarks, trade names, logos, patent or copyright notices or markings, (d) use the Products solely in accordance with CST Product Terms of Sale and any applicable documentation, and (e) comply with any license, terms of service or similar agreement with respect to any third party products or services used by Customer in connection with the Products.

Orders: 877-616-CELL (2355) [email protected] Support: 877-678-TECH (8324) [email protected] Web: cellsignal.com
For Research Use Only. Not for Use in Diagnostic Procedures.

Revision 8

Cell Signaling Technology Logo
Western blot analysis of extracts from various cell lines using FcγRIIB (D8F9C) XP® Rabbit mAb (upper) or β-Actin (D6A8) Rabbit mAb #8457 (lower).
Western Blotting Image 1: Fc-gamma RIIB (D8F9C) Rabbit Monoclonal Antibody
Western blot analysis of whole spleen extracts from wild type C57BL/6 mice (lane 1) on Fcgr2b knockout (Taconic Biosciences, Model 580-F) (lane 2) FcγRIIB (D8F9C) XP(r) Rabbit mAb #96397 (upper) and β-Actin (D6A8) Rabbit mAb #8457 (lower). The abscence of signal in the Fcgr2b knockout tissue confirms specificity of the antibody for FcγRIIB.
Western Blotting Image 2: Fc-gamma RIIB (D8F9C) Rabbit Monoclonal Antibody
Immunoprecipitation of FcγRIIB from J774A.1 cell extracts. Lane 1 is 10% input, lane 2 is Rabbit (DA1E) mAb IgG XP® Isotype Control #3900, and lane 3 is FcγRIIB (D8F9C) XP® Rabbit mAb. Western blot analysis was performed using FcγRIIB (D8F9C) XP® Rabbit mAb.
Immunoprecipitation Image 1: Fc-gamma RIIB (D8F9C) Rabbit Monoclonal Antibody
Orders: 877-616-CELL (2355) [email protected] Support: 877-678-TECH (8324) [email protected] Web: cellsignal.com
For Research Use Only. Not for Use in Diagnostic Procedures.

Revision 8

Cell Signaling Technology Logo
Immunohistochemical analysis of paraffin-embedded LL/2 syngeneic tumor using Fc-gamma-RIIB (D8F9C) XP® Rabbit mAb performed on the Leica® BOND™ Rx.
Immunohistochemistry Image 1: Fc-gamma RIIB (D8F9C) Rabbit Monoclonal Antibody
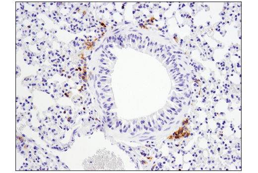
Immunohistochemical analysis of paraffin-embedded mouse lung using FcγRIIB (D8F9C) XP® Rabbit mAb.
Immunohistochemistry Image 1: Fc-gamma RIIB (D8F9C) Rabbit Monoclonal Antibody
Immunohistochemical analysis of paraffin-embedded mouse forestomach using FcγRIIB (D8F9C) XP® Rabbit mAb.
Immunohistochemistry Image 2: Fc-gamma RIIB (D8F9C) Rabbit Monoclonal Antibody
Orders: 877-616-CELL (2355) [email protected] Support: 877-678-TECH (8324) [email protected] Web: cellsignal.com
For Research Use Only. Not for Use in Diagnostic Procedures.

Revision 8

Cell Signaling Technology Logo
Immunohistochemical analysis of paraffin-embedded mouse placenta using FcγRIIB (D8F9C) XP® Rabbit mAb.
Immunohistochemistry Image 3: Fc-gamma RIIB (D8F9C) Rabbit Monoclonal Antibody
Immunohistochemical analysis of paraffin-embedded lung (left) or colon (right) from C57BL/6NTac (wt/wt, model #B6-F, top) and FcγRIIB knockout (-/-, model #580-F, bottom) mice using FcγRIIB (D8F9C) XP® Rabbit mAb. Mice from Taconic Biosciences, Inc.
Immunohistochemistry Image 4: Fc-gamma RIIB (D8F9C) Rabbit Monoclonal Antibody
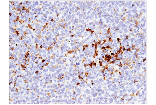
Immunohistochemical analysis of paraffin-embedded mouse spleen using FcγRIIB (D8F9C) XP® Rabbit mAb in the presence of control peptide (left) or antigen-specific peptide (right).
Immunohistochemistry Image 5: Fc-gamma RIIB (D8F9C) Rabbit Monoclonal Antibody
Orders: 877-616-CELL (2355) [email protected] Support: 877-678-TECH (8324) [email protected] Web: cellsignal.com
For Research Use Only. Not for Use in Diagnostic Procedures.

Revision 8

Cell Signaling Technology Logo
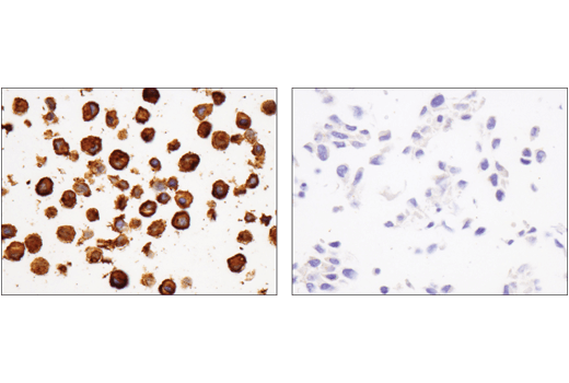
Immunohistochemical analysis of paraffin-embedded J774A.1 cell pellet (left, positive) or NIH/3T3 cell pellet (right, negative) using FcγRIIB (D8F9C) XP® Rabbit mAb.
Immunohistochemistry Image 6: Fc-gamma RIIB (D8F9C) Rabbit Monoclonal Antibody
Flow cytometric analysis of mouse splenocytes using FcγRIIB (D8F9C) XP® Rabbit mAb (right) compared to concentration-matched Rabbit (DA1E) mAb IgG XP® Isotype Control #3900 (left). Samples were co-stained with CD45R (B220)-APC to distinguish the B cell population. Anti-rabbit IgG (H+L), F(ab')2 Fragment (Alexa Fluor® 488 Conjugate) #4412 was used as a secondary antibody. Total viable cells were used for analysis.
Flow Cytometry Image 1: Fc-gamma RIIB (D8F9C) Rabbit Monoclonal Antibody
Flow cytometric analysis of mouse splenocytes using FcγRIIB (D8F9C) XP® Rabbit mAb (right) compared to concentration-matched Rabbit (DA1E) mAb IgG XP® Isotype Control #3900 (left). Samples were co-stained with CD3-FITC to distinguish the T cell population. Anti-rabbit IgG (H+L), F(ab')2 Fragment (Alexa Fluor® 647 Conjugate) #4414 was used as a secondary antibody. Total viable cells were used for analysis.
Flow Cytometry Image 2: Fc-gamma RIIB (D8F9C) Rabbit Monoclonal Antibody
Orders: 877-616-CELL (2355) [email protected] Support: 877-678-TECH (8324) [email protected] Web: cellsignal.com
For Research Use Only. Not for Use in Diagnostic Procedures.

Revision 8

Cell Signaling Technology Logo
Flow cytometric analysis of NIH/3T3 cells (blue) and J774A.1 cells (green) using FcγRIIB (D8F9C) XP® Rabbit mAb (solid lines) or concentration-matched Rabbit (DA1E) mAb IgG XP® Isotype Control #3900 (dashed lines). Anti-rabbit IgG (H+L), F(ab')2 Fragment (Alexa Fluor® 488 Conjugate) #4412 was used as a secondary antibody.
Flow Cytometry Image 3: Fc-gamma RIIB (D8F9C) Rabbit Monoclonal Antibody
Flow cytometric analysis of fixed and permeabilized splenocytes from wild type C57BL/6 (top) or Fcgr2b knockout (Taconic Biosciences, Model 580-F) (bottom) mice using FcγRIIB (D8F9C) XP® Rabbit mAb (right) or concentration-matched Rabbit (DA1E) mAb IgG XP® Isotype Control #3900 (left) co-stained with CD45R/B220 (RA3-6B2) Rat mAb (PE-Cy7® Conjugate) #82922. Anti-rabbit IgG (H+L), F(ab')2 Fragment (Alexa Fluor® 647 Conjugate) #4414 was used as a secondary antibody.
Flow Cytometry Image 4: Fc-gamma RIIB (D8F9C) Rabbit Monoclonal Antibody
Orders: 877-616-CELL (2355) [email protected] Support: 877-678-TECH (8324) [email protected] Web: cellsignal.com
For Research Use Only. Not for Use in Diagnostic Procedures.