Revision 1

#73741

Store at -20C

CST Logo
Orders:

877-616-CELL (2355)

[email protected]

Support:

877-678-TECH (8324)

3 Trask Lane | Danvers | Massachusetts | 01923 | USA

For Research Use Only. Not for Use in Diagnostic Procedures.

Applications:
W, IHC-P

Reactivity:
M

Sensitivity:
Endogenous

MW (kDa):
30-40

Source/Isotype:
Rabbit IgG

UniProt ID:
#A0A0B4J1G0

Entrez-Gene Id:
246256

Product Usage Information

Application Dilution
Western Blotting 1:1000
Immunohistochemistry (Paraffin) 1:100 - 1:400

Storage

Supplied in 10 mM sodium HEPES (pH 7.5), 150 mM NaCl, 100 µg/ml BSA, 50% glycerol and less than 0.02% sodium azide. Store at –20°C. Do not aliquot the antibody.

Specificity/Sensitivity

Fc-gammaRIV (E8I7C) Rabbit Monoclonal Antibody recognizes endogenous levels of total mouse FcγRIV protein. This antibody does not cross-react with mouse FcγRIA, FcγRIIA, or FcγRIIB. Non-specific staining was observed in adipose tissue by immunohistochemistry.

Source / Purification

Monoclonal antibody is produced by immunizing animals with mouse FcγRIV recombinant protein.

Background

FcγRIV is an activating Fcγ receptor present in mice but not humans (2). Binding of Fc receptors to IgG, immune complexes, and opsonized particles results in immune cell activation and effector responses (2). FcγRIV is expressed by myeloid cells and binds to IgG2a and IgG2b, but not to IgG1 or IgG3 (1). FcγRIV signals through ITAM-containing FcRγ (2).

Species Reactivity

Species reactivity is determined by testing in at least one approved application (e.g., western blot).

Western Blot Buffer

IMPORTANT: For western blots, incubate membrane with diluted primary antibody in 5% w/v BSA, 1X TBS, 0.1% Tween® 20 at 4°C with gentle shaking, overnight.

Applications Key

W: Western Blotting IHC-P: Immunohistochemistry (Paraffin)

Cross-Reactivity Key

M: Mouse

Trademarks and Patents

Cell Signaling Technology is a trademark of Cell Signaling Technology, Inc.

SignalStain is a registered trademark of Cell Signaling Technology, Inc.

All other trademarks are the property of their respective owners. Visit cellsignal.com/trademarks for more information.

Limited Uses

Except as otherwise expressly agreed in a writing signed by a legally authorized representative of CST, the following terms apply to Products provided by CST, its affiliates or its distributors. Any Customer's terms and conditions that are in addition to, or different from, those contained herein, unless separately accepted in writing by a legally authorized representative of CST, are rejected and are of no force or effect.

Products are labeled with For Research Use Only or a similar labeling statement and have not been approved, cleared, or licensed by the FDA or other regulatory foreign or domestic entity, for any purpose. Customer shall not use any Product for any diagnostic or therapeutic purpose, or otherwise in any manner that conflicts with its labeling statement. Products sold or licensed by CST are provided for Customer as the end-user and solely for research and development uses. Any use of Product for diagnostic, prophylactic or therapeutic purposes, or any purchase of Product for resale (alone or as a component) or other commercial purpose, requires a separate license from CST. Customer shall (a) not sell, license, loan, donate or otherwise transfer or make available any Product to any third party, whether alone or in combination with other materials, or use the Products to manufacture any commercial products, (b) not copy, modify, reverse engineer, decompile, disassemble or otherwise attempt to discover the underlying structure or technology of the Products, or use the Products for the purpose of developing any products or services that would compete with CST products or services, (c) not alter or remove from the Products any trademarks, trade names, logos, patent or copyright notices or markings, (d) use the Products solely in accordance with CST Product Terms of Sale and any applicable documentation, and (e) comply with any license, terms of service or similar agreement with respect to any third party products or services used by Customer in connection with the Products.

Orders: 877-616-CELL (2355) [email protected] Support: 877-678-TECH (8324) [email protected] Web: cellsignal.com
For Research Use Only. Not for Use in Diagnostic Procedures.

Revision 1

Cell Signaling Technology Logo
Western blot analysis of extracts from 293T cells, mock transfected (-) or transfected (+) with constructs expressing Myc/DDK-tagged full-length mouse FcγRIA protein (mFcγRIA-Myc/DDK), Myc/DDK-tagged full-length mouse FcγRIIA protein (mFcγRIIA-Myc/DDK), Myc/DDK-tagged full-length mouse FcγRIIB protein (mFcγRIIB-Myc/DDK), and Myc/DDK-tagged full-length mouse FcγRIV protein (mFcγRIV-Myc/DDK), using FcγRIV (E8I7C) Rabbit mAb (upper), Myc-Tag (71D10) Rabbit mAb #2278 (middle), and β-Actin (D6A8) Rabbit mAb #8457 (lower).
Western Blotting Image 1: Fc-gammaRIV (E8I7C) Rabbit Monoclonal Antibody
Western blot analysis of extracts from various mouse cells using FcγRIV (E8I7C) Rabbit mAb (upper) or β-Actin (D6A8) Rabbit mAb #8457 (lower).
Western Blotting Image 2: Fc-gammaRIV (E8I7C) Rabbit Monoclonal Antibody
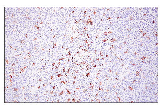
Immunohistochemical analysis of paraffin-embedded CT26.WT syngeneic tumor using FcγRIV (E8I7C) Rabbit mAb.
Immunohistochemistry Image 1: Fc-gammaRIV (E8I7C) Rabbit Monoclonal Antibody
Orders: 877-616-CELL (2355) [email protected] Support: 877-678-TECH (8324) [email protected] Web: cellsignal.com
For Research Use Only. Not for Use in Diagnostic Procedures.

Revision 1

Cell Signaling Technology Logo
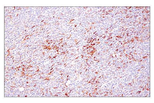
Immunohistochemical analysis of paraffin-embedded GL-261 syngeneic tumor using FcγRIV (E8I7C) Rabbit mAb.
Immunohistochemistry Image 2: Fc-gammaRIV (E8I7C) Rabbit Monoclonal Antibody
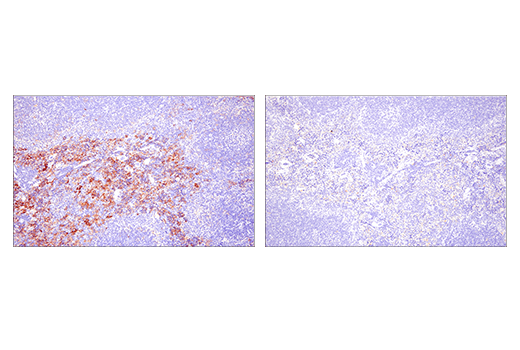
Immunohistochemical analysis of paraffin-embedded J774A.1 cell pellet (left, positive) or 3T3 cell pellet (right, negative) using FcγRIV (E8I7C) Rabbit mAb.
Immunohistochemistry Image 3: Fc-gammaRIV (E8I7C) Rabbit Monoclonal Antibody
Immunohistochemical analysis of paraffin-embedded mouse spleen using FcγRIV (E8I7C) Rabbit mAb (left) compared to concentration-matched Rabbit (DA1E) mAb IgG XP® Isotype Control #3900 (right).
Immunohistochemistry Image 4: Fc-gammaRIV (E8I7C) Rabbit Monoclonal Antibody
Orders: 877-616-CELL (2355) [email protected] Support: 877-678-TECH (8324) [email protected] Web: cellsignal.com
For Research Use Only. Not for Use in Diagnostic Procedures.

Revision 1

Cell Signaling Technology Logo
Immunohistochemical analysis of paraffin-embedded mouse liver using FcγRIV (E8I7C) Rabbit mAb.
Immunohistochemistry Image 5: Fc-gammaRIV (E8I7C) Rabbit Monoclonal Antibody
Immunohistochemical analysis of paraffin-embedded mouse lung using FcγRIV (E8I7C) Rabbit mAb.
Immunohistochemistry Image 6: Fc-gammaRIV (E8I7C) Rabbit Monoclonal Antibody
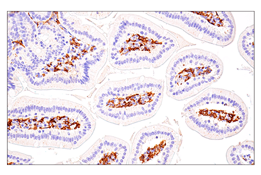
Immunohistochemical analysis of paraffin-embedded mouse small intestine using FcγRIV (E8I7C) Rabbit mAb.
Immunohistochemistry Image 7: Fc-gammaRIV (E8I7C) Rabbit Monoclonal Antibody
Orders: 877-616-CELL (2355) [email protected] Support: 877-678-TECH (8324) [email protected] Web: cellsignal.com
For Research Use Only. Not for Use in Diagnostic Procedures.