Revision 1

#20312

Store at -20C

CST Logo
Orders:

877-616-CELL (2355)

[email protected]

Support:

877-678-TECH (8324)

3 Trask Lane | Danvers | Massachusetts | 01923 | USA

For Research Use Only. Not for Use in Diagnostic Procedures.

Applications:
W, IP

Reactivity:
H

Sensitivity:
Endogenous

MW (kDa):
40-50

Source/Isotype:
Rabbit IgG

UniProt ID:
#P31994

Entrez-Gene Id:
2213

Product Usage Information

Application Dilution
Western Blotting 1:1000
Immunoprecipitation 1:200

Storage

Supplied in 10 mM sodium HEPES (pH 7.5), 150 mM NaCl, 100 µg/ml BSA, 50% glycerol and less than 0.02% sodium azide. Store at –20°C. Do not aliquot the antibody.

Specificity/Sensitivity

Fc-gamma RIIB (D8T4C) Rabbit Monoclonal Antibody recognizes endogenous levels of total FcγRIIB protein. Based on western blot analysis of lysates from cells transfected with constructs expressing FcγRIIA or FcγRIIB, this antibody has a strong preference for FcγRIIB and demonstrates weak cross-reactivity with FcγRIIA.

Source / Purification

Monoclonal antibody is produced by immunizing animals with a synthetic peptide corresponding to residues near the carboxy terminus of human FcγRIIB protein.

Background

FcγRIIB (CD32B) is a low affinity, IgG Fc-binding receptor expressed on B cells, monocytes, macrophages, and dendritic cells (DCs) (1-3). It is the inhibitory Fc receptor and signals through an immunoreceptor tyrosine-based inhibitory motif (ITIM) within its carboxy-terminal cytoplasmic tail (2). Binding of immune complexes to FcγRIIB results in tyrosine phosphorylation of the ITIM motif at Tyr292 and recruitment of the phosphatase SHIP, which mediates inhibitory effects on immune cell activation (2,4). In this way, FcγRIIB suppresses the effects of activating Fc-binding receptors (3). For example, mice deficient for FcγRIIB have greater T cell and DC responses following injection of immune complexes (5,6). In addition, FcγRIIB plays a role in B cell affinity maturation (7). Signaling through FcγRIIB in the absence of signaling through the B cell receptor (BCR) is proapoptotic, while signaling through FcγRIIB and the BCR simultaneously attenuates the apoptotic signal and results in selection of B cells with higher antigen affinity (7).

Species Reactivity

Species reactivity is determined by testing in at least one approved application (e.g., western blot).

Western Blot Buffer

IMPORTANT: For western blots, incubate membrane with diluted primary antibody in 5% w/v nonfat dry milk, 1X TBS, 0.1% Tween® 20 at 4°C with gentle shaking, overnight.

Applications Key

W: Western Blotting IP: Immunoprecipitation

Cross-Reactivity Key

H: Human

Trademarks and Patents

Cell Signaling Technology is a trademark of Cell Signaling Technology, Inc.

All other trademarks are the property of their respective owners. Visit cellsignal.com/trademarks for more information.

Limited Uses

Except as otherwise expressly agreed in a writing signed by a legally authorized representative of CST, the following terms apply to Products provided by CST, its affiliates or its distributors. Any Customer's terms and conditions that are in addition to, or different from, those contained herein, unless separately accepted in writing by a legally authorized representative of CST, are rejected and are of no force or effect.

Products are labeled with For Research Use Only or a similar labeling statement and have not been approved, cleared, or licensed by the FDA or other regulatory foreign or domestic entity, for any purpose. Customer shall not use any Product for any diagnostic or therapeutic purpose, or otherwise in any manner that conflicts with its labeling statement. Products sold or licensed by CST are provided for Customer as the end-user and solely for research and development uses. Any use of Product for diagnostic, prophylactic or therapeutic purposes, or any purchase of Product for resale (alone or as a component) or other commercial purpose, requires a separate license from CST. Customer shall (a) not sell, license, loan, donate or otherwise transfer or make available any Product to any third party, whether alone or in combination with other materials, or use the Products to manufacture any commercial products, (b) not copy, modify, reverse engineer, decompile, disassemble or otherwise attempt to discover the underlying structure or technology of the Products, or use the Products for the purpose of developing any products or services that would compete with CST products or services, (c) not alter or remove from the Products any trademarks, trade names, logos, patent or copyright notices or markings, (d) use the Products solely in accordance with CST Product Terms of Sale and any applicable documentation, and (e) comply with any license, terms of service or similar agreement with respect to any third party products or services used by Customer in connection with the Products.

Orders: 877-616-CELL (2355) [email protected] Support: 877-678-TECH (8324) [email protected] Web: cellsignal.com
For Research Use Only. Not for Use in Diagnostic Procedures.

Revision 1

Cell Signaling Technology Logo
Western blot analysis of extracts from 293T cells, mock transfected (-) or transfected with a construct expressing full-length human FcγRIIA (hFcγRIIA; +) or human FcγRIIB (hFcγRIIB; +) as indicated, using FcγRIIB (D8T4C) Rabbit mAb (upper), FcγRIIA antibody (middle), and β-Actin (D6A8) Rabbit mAb #8457 (lower).
Western Blotting Image 1: Fc-gamma RIIB (D8T4C) Rabbit Monoclonal Antibody
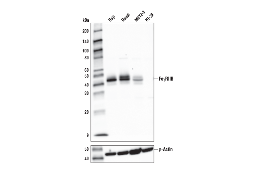
Western blot analysis of extracts from various cell lines using FcγRIIB (D8T4C) Rabbit mAb (upper) or β-Actin (D6A8) Rabbit mAb #8457 (lower).
Western Blotting Image 2: Fc-gamma RIIB (D8T4C) Rabbit Monoclonal Antibody
Immunoprecipitation of FcγRIIB from Raji cell extracts. Lane 1 is 10% input, lane 2 is Rabbit (DA1E) mAb IgG XP® Isotype Control #3900, and lane 3 is FcγRIIB (D8T4C) Rabbit mAb. Western blot analysis was performed using FcγRIIB (D8T4C) Rabbit mAb. Mouse Anti-Rabbit IgG (Conformation Specific) (L27A9) mAb (HRP Conjugate) #5127 was used as the secondary antibody.
Immunoprecipitation Image 1: Fc-gamma RIIB (D8T4C) Rabbit Monoclonal Antibody
Orders: 877-616-CELL (2355) [email protected] Support: 877-678-TECH (8324) [email protected] Web: cellsignal.com
For Research Use Only. Not for Use in Diagnostic Procedures.