Revision 1

#98492

Store at -20C

CST Logo
Orders:

877-616-CELL (2355)

[email protected]

Support:

877-678-TECH (8324)

3 Trask Lane | Danvers | Massachusetts | 01923 | USA

For Research Use Only. Not for Use in Diagnostic Procedures.

Applications:
W, IHC-Bond, IHC-P, IF-F, IF-IC

Reactivity:
H M

Sensitivity:
Endogenous

MW (kDa):
12

Source/Isotype:
Rabbit IgG

UniProt ID:
#P30273

Entrez-Gene Id:
2207

Product Usage Information

This product is the carrier free version of product #78401. All data were generated using the same antibody clone in the standard formulation which contains BSA and glycerol.

This formulation is ideal for use with technologies requiring specialized or custom antibody labeling, including fluorophores, metals, lanthanides, and oligonucleotides. It is not recommended for ChIP, ChIP-seq, CUT&RUN or CUT&Tag assays. If you require a carrier free formulation for chromatin profiling, please contact us. Optimal dilutions/concentrations should be determined by the end user.

BSA and Azide Free antibodies are quality control tested by size exclusion chromatography (SEC) to determine antibody integrity.

Formulation

Supplied in 1X PBS (10 mM Na2HPO4, 3 mM KCl, 2 mM KH2PO4, and 140 mM NaCl (pH 7.8)). BSA and Azide Free.

For standard formulation of this product see product #78401

Storage

Store at -20°C. This product will freeze at -20°C so it is recommended to aliquot into single-use vials to avoid multiple freeze/thaw cycles. A slight precipitate may be present and can be dissolved by gently vortexing. This will not interfere with antibody performance.

Specificity/Sensitivity

FcR gamma (E6Y1A) Rabbit Monoclonal Antibody (BSA and Azide Free) recognizes endogenous levels of total FcRγ protein. Non-specific staining was observed in normal human kidney and salivary gland by immunohistochemistry.

Source / Purification

Monoclonal antibody is produced by immunizing animals with a synthetic peptide corresponding to residues near the carboxy terminus of human FcRγ protein.

Background

FcRγ (Fc receptor gamma-chain, FcεRI gamma, High affinity immunoglobulin epsilon receptor subunit gamma) is a component of the IgE Fc receptor FcεRI, a tetramer of an alpha chain, a beta chain, and two disulfide-linked gamma chains (FcRγ) (1,2). FcεRI is expressed exclusively on basophils and mast cells and is involved in triggering allergic reactions (1-3). FcRγ also forms signaling complexes with other Fc receptors, including FcγRIA and FcγRIIIA. FcRγ shows high homology to the T cell receptor (TCR) ζ chain (4-6) and contains an immunoreceptor tyrosine-based activation motif (ITAM) which elicits a pro-inflammatory response (1-3).

Species Reactivity

Species reactivity is determined by testing in at least one approved application (e.g., western blot).

Applications Key

W: Western Blotting IHC-Bond: IHC Leica Bond IHC-P: Immunohistochemistry (Paraffin) IF-F: Immunofluorescence (Frozen) IF-IC: Immunofluorescence (Immunocytochemistry)

Cross-Reactivity Key

H: Human M: Mouse

Trademarks and Patents

Cell Signaling Technology is a trademark of Cell Signaling Technology, Inc.

All other trademarks are the property of their respective owners. Visit cellsignal.com/trademarks for more information.

Limited Uses

Except as otherwise expressly agreed in a writing signed by a legally authorized representative of CST, the following terms apply to Products provided by CST, its affiliates or its distributors. Any Customer's terms and conditions that are in addition to, or different from, those contained herein, unless separately accepted in writing by a legally authorized representative of CST, are rejected and are of no force or effect.

Products are labeled with For Research Use Only or a similar labeling statement and have not been approved, cleared, or licensed by the FDA or other regulatory foreign or domestic entity, for any purpose. Customer shall not use any Product for any diagnostic or therapeutic purpose, or otherwise in any manner that conflicts with its labeling statement. Products sold or licensed by CST are provided for Customer as the end-user and solely for research and development uses. Any use of Product for diagnostic, prophylactic or therapeutic purposes, or any purchase of Product for resale (alone or as a component) or other commercial purpose, requires a separate license from CST. Customer shall (a) not sell, license, loan, donate or otherwise transfer or make available any Product to any third party, whether alone or in combination with other materials, or use the Products to manufacture any commercial products, (b) not copy, modify, reverse engineer, decompile, disassemble or otherwise attempt to discover the underlying structure or technology of the Products, or use the Products for the purpose of developing any products or services that would compete with CST products or services, (c) not alter or remove from the Products any trademarks, trade names, logos, patent or copyright notices or markings, (d) use the Products solely in accordance with CST Product Terms of Sale and any applicable documentation, and (e) comply with any license, terms of service or similar agreement with respect to any third party products or services used by Customer in connection with the Products.

Orders: 877-616-CELL (2355) [email protected] Support: 877-678-TECH (8324) [email protected] Web: cellsignal.com
For Research Use Only. Not for Use in Diagnostic Procedures.

Revision 1

Cell Signaling Technology Logo
Western blot analysis of extracts from various cell lines using FcRγ (E6Y1A) Rabbit mAb (upper) or GAPDH (D16H11) XP® Rabbit mAb #5174 (lower). Data were generated using the standard formulation of this product.
Western Blotting Image 1: FcR gamma (E6Y1A) Rabbit Monoclonal Antibody (BSA and Azide Free)
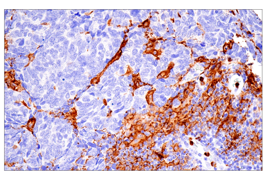
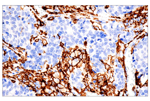
Immunohistochemical analysis of paraffin-embedded human neuroendocrine lung carcinoma using FcRγ (E6Y1A) Rabbit mAb
performed on the Leica® BOND™ Rx. Data were generated using the standard formulation of this product.
Immunohistochemistry Image 1: FcR gamma (E6Y1A) Rabbit Monoclonal Antibody (BSA and Azide Free)
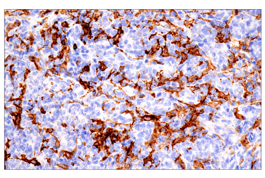
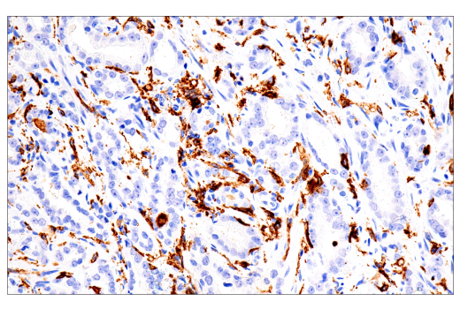
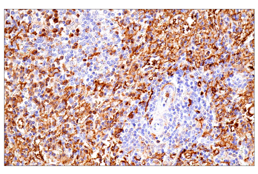
Immunohistochemical analysis of paraffin-embedded human lung sarcoma using FcRγ (E6Y1A) Rabbit mAb performed on the Leica® BOND™ Rx. Data were generated using the standard formulation of this product.
Immunohistochemistry Image 2: FcR gamma (E6Y1A) Rabbit Monoclonal Antibody (BSA and Azide Free)
Orders: 877-616-CELL (2355) [email protected] Support: 877-678-TECH (8324) [email protected] Web: cellsignal.com
For Research Use Only. Not for Use in Diagnostic Procedures.

Revision 1

Cell Signaling Technology Logo
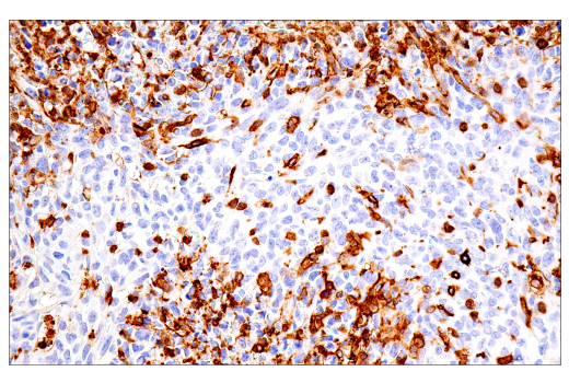
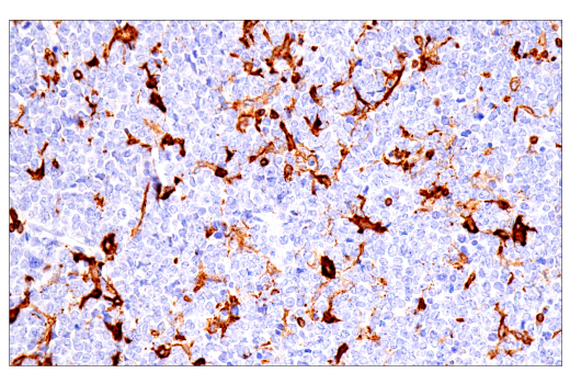
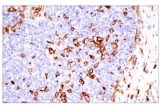
Immunohistochemical analysis of paraffin-embedded human T-cell lymphoblastic lymphoma using FcRγ (E6Y1A) Rabbit mAb performed on the Leica® BOND™ Rx. Data were generated using the standard formulation of this product.
Immunohistochemistry Image 3: FcR gamma (E6Y1A) Rabbit Monoclonal Antibody (BSA and Azide Free)
Immunohistochemical analysis of paraffin-embedded human prostate carcinoma using FcRγ (E6Y1A) Rabbit mAb performed on the Leica® BOND™ Rx. Data were generated using the standard formulation of this product.
Immunohistochemistry Image 4: FcR gamma (E6Y1A) Rabbit Monoclonal Antibody (BSA and Azide Free)
Immunohistochemical analysis of paraffin-embedded human ovarian serous carcinoma using FcRγ (E6Y1A) Rabbit mAb. Data were generated using the standard formulation of this product.
Immunohistochemistry Image 1: FcR gamma (E6Y1A) Rabbit Monoclonal Antibody (BSA and Azide Free)
Orders: 877-616-CELL (2355) [email protected] Support: 877-678-TECH (8324) [email protected] Web: cellsignal.com
For Research Use Only. Not for Use in Diagnostic Procedures.

Revision 1

Cell Signaling Technology Logo
Immunohistochemical analysis of paraffin-embedded human salivary small cell carcinoma using FcRγ (E6Y1A) Rabbit mAb. Data were generated using the standard formulation of this product.
Immunohistochemistry Image 2: FcR gamma (E6Y1A) Rabbit Monoclonal Antibody (BSA and Azide Free)
Immunohistochemical analysis of paraffin-embedded normal human spleen using FcRγ (E6Y1A) Rabbit mAb. Data were generated using the standard formulation of this product.
Immunohistochemistry Image 3: FcR gamma (E6Y1A) Rabbit Monoclonal Antibody (BSA and Azide Free)
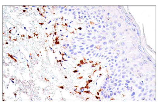
Immunohistochemical analysis of paraffin-embedded normal human skin using FcRγ (E6Y1A) Rabbit mAb. Data were generated using the standard formulation of this product.
Immunohistochemistry Image 4: FcR gamma (E6Y1A) Rabbit Monoclonal Antibody (BSA and Azide Free)
Orders: 877-616-CELL (2355) [email protected] Support: 877-678-TECH (8324) [email protected] Web: cellsignal.com
For Research Use Only. Not for Use in Diagnostic Procedures.

Revision 1

Cell Signaling Technology Logo
Immunohistochemical analysis of paraffin-embedded normal human colon using FcRγ (E6Y1A) Rabbit mAb. Data were generated using the standard formulation of this product.
Immunohistochemistry Image 5: FcR gamma (E6Y1A) Rabbit Monoclonal Antibody (BSA and Azide Free)
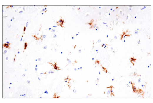
Immunohistochemical analysis of paraffin-embedded normal human brain using FcRγ (E6Y1A) Rabbit mAb. Data were generated using the standard formulation of this product.
Immunohistochemistry Image 6: FcR gamma (E6Y1A) Rabbit Monoclonal Antibody (BSA and Azide Free)
Immunohistochemical analysis of paraffin-embedded normal human appendix using FcRγ (E6Y1A) Rabbit mAb. Data were generated using the standard formulation of this product.
Immunohistochemistry Image 7: FcR gamma (E6Y1A) Rabbit Monoclonal Antibody (BSA and Azide Free)
Orders: 877-616-CELL (2355) [email protected] Support: 877-678-TECH (8324) [email protected] Web: cellsignal.com
For Research Use Only. Not for Use in Diagnostic Procedures.

Revision 1

Cell Signaling Technology Logo
Immunohistochemical analysis of paraffin-embedded A20 syngeneic tumor using FcRγ (E6Y1A) Rabbit mAb. Data were generated using the standard formulation of this product.
Immunohistochemistry Image 8: FcR gamma (E6Y1A) Rabbit Monoclonal Antibody (BSA and Azide Free)
Immunohistochemical analysis of paraffin-embedded 4T1 syngeneic mammary tumor using FcRγ (E6Y1A) Rabbit mAb. Data were generated using the standard formulation of this product.
Immunohistochemistry Image 9: FcR gamma (E6Y1A) Rabbit Monoclonal Antibody (BSA and Azide Free)
Immunohistochemical analysis of paraffin-embedded Renca syngeneic tumor using FcRγ (E6Y1A) Rabbit mAb. Data were generated using the standard formulation of this product.
Immunohistochemistry Image 10: FcR gamma (E6Y1A) Rabbit Monoclonal Antibody (BSA and Azide Free)
Orders: 877-616-CELL (2355) [email protected] Support: 877-678-TECH (8324) [email protected] Web: cellsignal.com
For Research Use Only. Not for Use in Diagnostic Procedures.

Revision 1

Cell Signaling Technology Logo
Immunohistochemical analysis of paraffin-embedded mouse thymus using FcRγ (E6Y1A) Rabbit mAb. Data were generated using the standard formulation of this product.
Immunohistochemistry Image 11: FcR gamma (E6Y1A) Rabbit Monoclonal Antibody (BSA and Azide Free)
Immunohistochemical analysis of paraffin-embedded mouse stomach using FcRγ (E6Y1A) Rabbit mAb. Data were generated using the standard formulation of this product.
Immunohistochemistry Image 12: FcR gamma (E6Y1A) Rabbit Monoclonal Antibody (BSA and Azide Free)
Immunohistochemical analysis of paraffin-embedded mouse lung using FcRγ (E6Y1A) Rabbit mAb. Data were generated using the standard formulation of this product.
Immunohistochemistry Image 13: FcR gamma (E6Y1A) Rabbit Monoclonal Antibody (BSA and Azide Free)
Orders: 877-616-CELL (2355) [email protected] Support: 877-678-TECH (8324) [email protected] Web: cellsignal.com
For Research Use Only. Not for Use in Diagnostic Procedures.

Revision 1

Cell Signaling Technology Logo
Immunohistochemical analysis of paraffin-embedded mouse liver using FcRγ (E6Y1A) Rabbit mAb. Data were generated using the standard formulation of this product.
Immunohistochemistry Image 14: FcR gamma (E6Y1A) Rabbit Monoclonal Antibody (BSA and Azide Free)
Immunohistochemical analysis of paraffin-embedded mouse cerebral cortex using FcRγ (E6Y1A) Rabbit mAb. Data were generated using the standard formulation of this product.
Immunohistochemistry Image 15: FcR gamma (E6Y1A) Rabbit Monoclonal Antibody (BSA and Azide Free)
Immunohistochemical analysis of paraffin-embedded human colon carcinoma using FcRγ (E6Y1A) Rabbit mAb (left) compared to concentration-matched Rabbit (DA1E) mAb IgG XP® Isotype Control #3900 (right). Data were generated using the standard formulation of this product.
Immunohistochemistry Image 16: FcR gamma (E6Y1A) Rabbit Monoclonal Antibody (BSA and Azide Free)
Orders: 877-616-CELL (2355) [email protected] Support: 877-678-TECH (8324) [email protected] Web: cellsignal.com
For Research Use Only. Not for Use in Diagnostic Procedures.

Revision 1

Cell Signaling Technology Logo
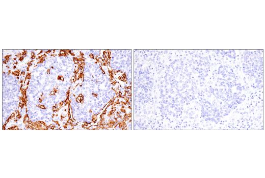
Immunohistochemical analysis of paraffin-embedded THP-1 cell pellet (left, positive) or 293T cell pellet (right, negative) using FcRγ (E6Y1A) Rabbit mAb. Data were generated using the standard formulation of this product.
Immunohistochemistry Image 17: FcR gamma (E6Y1A) Rabbit Monoclonal Antibody (BSA and Azide Free)
Confocal immunofluorescent analysis of fixed frozen mouse spleen labeled with FcRγ (E6Y1A) Rabbit mAb (left, green), and colabeled with DyLight™ 650 Phalloidin #12956 (right, red) and DAPI #4083 (right, blue). Data were generated using the standard formulation of this product.
Immunofluorescence Image 1: FcR gamma (E6Y1A) Rabbit Monoclonal Antibody (BSA and Azide Free)
Confocal immunofluorescent analysis of fixed frozen mouse small intestine labeled with FcRγ (E6Y1A) Rabbit mAb (left, green). Free secondary binding sites were then blocked with Rabbit (DA1E) mAb IgG XP® Isotype Control #3900 prior to colabeling with LAMP1 (E5N9Z) Rabbit mAb (Alexa Fluor® 594 Conjugate) #73294 (right, yellow pseudocolor), DyLight™ 650 Phalloidin #12956 (right, red), and DAPI #4083 (right, blue). Data were generated using the standard formulation of this product.
Immunofluorescence Image 2: FcR gamma (E6Y1A) Rabbit Monoclonal Antibody (BSA and Azide Free)
Orders: 877-616-CELL (2355) [email protected] Support: 877-678-TECH (8324) [email protected] Web: cellsignal.com
For Research Use Only. Not for Use in Diagnostic Procedures.

Revision 1

Cell Signaling Technology Logo
Confocal immunofluorescent analysis of THP-1 cells differentiated with TPA (12-O-Tetradecanoylphorbol-13-Acetate) #4174 (left, positive) and 293T cells (right, negative) using FcRγ (E6Y1A) Rabbit mAb (green), DyLight™ 650 Phalloidin #12956 (red), and DAPI #4083 (blue). Data were generated using the standard formulation of this product.
Immunofluorescence Image 1: FcR gamma (E6Y1A) Rabbit Monoclonal Antibody (BSA and Azide Free)
Orders: 877-616-CELL (2355) [email protected] Support: 877-678-TECH (8324) [email protected] Web: cellsignal.com
For Research Use Only. Not for Use in Diagnostic Procedures.