Revision 6

#78401

Store at -20C

CST Logo
Orders:

877-616-CELL (2355)

[email protected]

Support:

877-678-TECH (8324)

3 Trask Lane | Danvers | Massachusetts | 01923 | USA

For Research Use Only. Not for Use in Diagnostic Procedures.

Applications:
W, IP, IHC-Bond, IHC-P, IF-F, IF-IC

Reactivity:
H M

Sensitivity:
Endogenous

MW (kDa):
12

Source/Isotype:
Rabbit IgG

UniProt ID:
#P30273

Entrez-Gene Id:
2207

Product Usage Information

Application Dilution
Western Blotting 1:1000
Immunoprecipitation 1:50
IHC Leica Bond 1:400 - 1:1600
Immunohistochemistry (Paraffin) 1:100 - 1:400
Immunofluorescence (Frozen) 1:200 - 1:800
Immunofluorescence (Immunocytochemistry) 1:200 - 1:800

Storage

Supplied in 10 mM sodium HEPES (pH 7.5), 150 mM NaCl, 100 µg/ml BSA, 50% glycerol and less than 0.02% sodium azide. Store at –20°C. Do not aliquot the antibody.

For a carrier free (BSA and azide free) version of this product see product #98492.

Specificity/Sensitivity

FcR gamma (E6Y1A) Rabbit Monoclonal Antibody recognizes endogenous levels of total FcRγ protein. Non-specific staining was observed in normal human kidney and salivary gland by immunohistochemistry.

Source / Purification

Monoclonal antibody is produced by immunizing animals with a synthetic peptide corresponding to residues near the carboxy terminus of human FcRγ protein.

Background

FcRγ (Fc receptor gamma-chain, FcεRI gamma, High affinity immunoglobulin epsilon receptor subunit gamma) is a component of the IgE Fc receptor FcεRI, a tetramer of an alpha chain, a beta chain, and two disulfide-linked gamma chains (FcRγ) (1,2). FcεRI is expressed exclusively on basophils and mast cells and is involved in triggering allergic reactions (1-3). FcRγ also forms signaling complexes with other Fc receptors, including FcγRIA and FcγRIIIA. FcRγ shows high homology to the T cell receptor (TCR) ζ chain (4-6) and contains an immunoreceptor tyrosine-based activation motif (ITAM) which elicits a pro-inflammatory response (1-3).

Species Reactivity

Species reactivity is determined by testing in at least one approved application (e.g., western blot).

Western Blot Buffer

IMPORTANT: For western blots, incubate membrane with diluted primary antibody in 5% w/v BSA, 1X TBS, 0.1% Tween® 20 at 4°C with gentle shaking, overnight.

Applications Key

W: Western Blotting IP: Immunoprecipitation IHC-Bond: IHC Leica Bond IHC-P: Immunohistochemistry (Paraffin) IF-F: Immunofluorescence (Frozen) IF-IC: Immunofluorescence (Immunocytochemistry)

Cross-Reactivity Key

H: Human M: Mouse

Trademarks and Patents

Cell Signaling Technology is a trademark of Cell Signaling Technology, Inc.

Alexa Fluor is a registered trademark of Life Technologies Corporation.

All other trademarks are the property of their respective owners. Visit cellsignal.com/trademarks for more information.

Limited Uses

Except as otherwise expressly agreed in a writing signed by a legally authorized representative of CST, the following terms apply to Products provided by CST, its affiliates or its distributors. Any Customer's terms and conditions that are in addition to, or different from, those contained herein, unless separately accepted in writing by a legally authorized representative of CST, are rejected and are of no force or effect.

Products are labeled with For Research Use Only or a similar labeling statement and have not been approved, cleared, or licensed by the FDA or other regulatory foreign or domestic entity, for any purpose. Customer shall not use any Product for any diagnostic or therapeutic purpose, or otherwise in any manner that conflicts with its labeling statement. Products sold or licensed by CST are provided for Customer as the end-user and solely for research and development uses. Any use of Product for diagnostic, prophylactic or therapeutic purposes, or any purchase of Product for resale (alone or as a component) or other commercial purpose, requires a separate license from CST. Customer shall (a) not sell, license, loan, donate or otherwise transfer or make available any Product to any third party, whether alone or in combination with other materials, or use the Products to manufacture any commercial products, (b) not copy, modify, reverse engineer, decompile, disassemble or otherwise attempt to discover the underlying structure or technology of the Products, or use the Products for the purpose of developing any products or services that would compete with CST products or services, (c) not alter or remove from the Products any trademarks, trade names, logos, patent or copyright notices or markings, (d) use the Products solely in accordance with CST Product Terms of Sale and any applicable documentation, and (e) comply with any license, terms of service or similar agreement with respect to any third party products or services used by Customer in connection with the Products.

Orders: 877-616-CELL (2355) [email protected] Support: 877-678-TECH (8324) [email protected] Web: cellsignal.com
For Research Use Only. Not for Use in Diagnostic Procedures.

Revision 6

Cell Signaling Technology Logo
Western blot analysis of extracts from various cell lines using FcRγ (E6Y1A) Rabbit mAb (upper) or GAPDH (D16H11) XP® Rabbit mAb #5174 (lower).
Western Blotting Image 1: FcR gamma (E6Y1A) Rabbit Monoclonal Antibody
Western blot analysis of THP-1 extracts from WT or FCER1G KO untreated (-) or treated with PMA (+) using FcRγ (E6Y1A) Rabbit mAb . Membranes stained with Ponceau S for total protein normalization (lower). These data were provided by YCharOS Inc., an open science company with the mission of characterizing commercially available antibodies, as a companion to validation data generated by CST scientists.
Western Blotting Image 2: FcR gamma (E6Y1A) Rabbit Monoclonal Antibody
Immunoprecipitation of FcRγ protein from THP-1 cell extracts. Lane 1 is 10% input, lane 2 is Rabbit (DA1E) mAb IgG XP® Isotype Control #3900, and lane 3 is FcRγ (E6Y1A) Rabbit mAb. Western blot analysis was performed using FcRγ (E6Y1A) Rabbit mAb. Anti-rabbit IgG, HRP-linked Antibody #7074 was used as the secondary antibody.
Immunoprecipitation Image 1: FcR gamma (E6Y1A) Rabbit Monoclonal Antibody
Orders: 877-616-CELL (2355) [email protected] Support: 877-678-TECH (8324) [email protected] Web: cellsignal.com
For Research Use Only. Not for Use in Diagnostic Procedures.

Revision 6

Cell Signaling Technology Logo
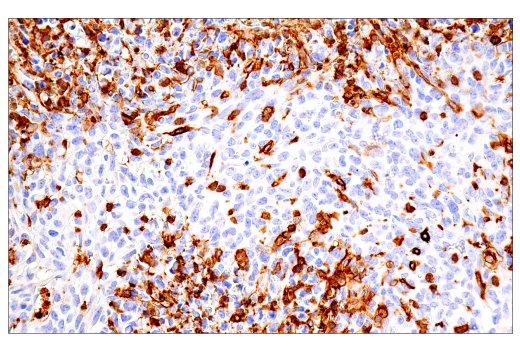
Immunohistochemical analysis of paraffin-embedded human neuroendocrine lung carcinoma using FcRγ (E6Y1A) Rabbit mAb
performed on the Leica® BOND™ Rx.
Immunohistochemistry Image 1: FcR gamma (E6Y1A) Rabbit Monoclonal Antibody
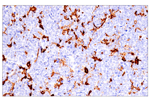
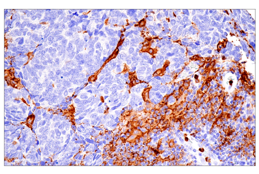
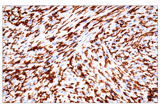
Immunohistochemical analysis of paraffin-embedded human lung sarcoma using FcRγ (E6Y1A) Rabbit mAb performed on the Leica® BOND™ Rx.
Immunohistochemistry Image 2: FcR gamma (E6Y1A) Rabbit Monoclonal Antibody
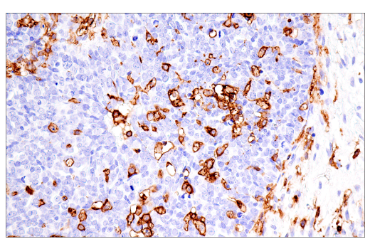
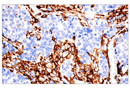
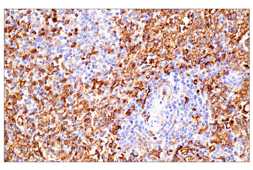
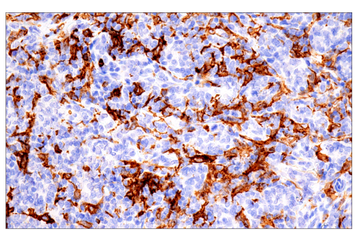
Immunohistochemical analysis of paraffin-embedded human T-cell lymphoblastic lymphoma using FcRγ (E6Y1A) Rabbit mAb performed on the Leica® BOND™ Rx.
Immunohistochemistry Image 3: FcR gamma (E6Y1A) Rabbit Monoclonal Antibody
Orders: 877-616-CELL (2355) [email protected] Support: 877-678-TECH (8324) [email protected] Web: cellsignal.com
For Research Use Only. Not for Use in Diagnostic Procedures.

Revision 6

Cell Signaling Technology Logo
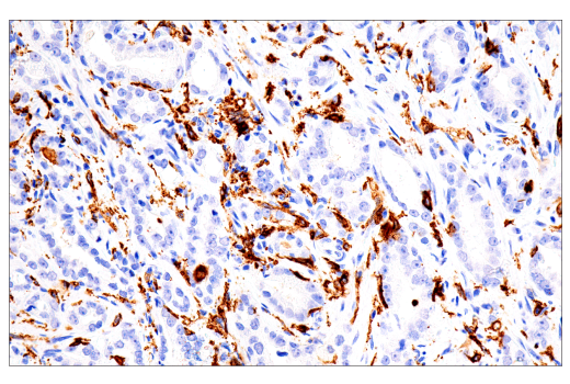
Immunohistochemical analysis of paraffin-embedded human prostate carcinoma using FcRγ (E6Y1A) Rabbit mAb performed on the Leica® BOND™ Rx.
Immunohistochemistry Image 4: FcR gamma (E6Y1A) Rabbit Monoclonal Antibody
Immunohistochemical analysis of paraffin-embedded human ovarian serous carcinoma using FcRγ (E6Y1A) Rabbit mAb.
Immunohistochemistry Image 1: FcR gamma (E6Y1A) Rabbit Monoclonal Antibody
Immunohistochemical analysis of paraffin-embedded human salivary small cell carcinoma using FcRγ (E6Y1A) Rabbit mAb.
Immunohistochemistry Image 2: FcR gamma (E6Y1A) Rabbit Monoclonal Antibody
Orders: 877-616-CELL (2355) [email protected] Support: 877-678-TECH (8324) [email protected] Web: cellsignal.com
For Research Use Only. Not for Use in Diagnostic Procedures.

Revision 6

Cell Signaling Technology Logo
Immunohistochemical analysis of paraffin-embedded normal human spleen using FcRγ (E6Y1A) Rabbit mAb.
Immunohistochemistry Image 3: FcR gamma (E6Y1A) Rabbit Monoclonal Antibody
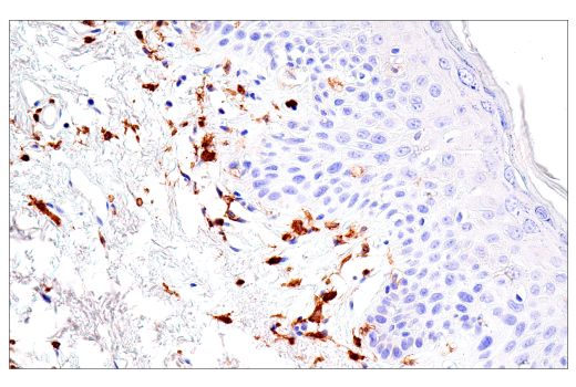
Immunohistochemical analysis of paraffin-embedded normal human skin using FcRγ (E6Y1A) Rabbit mAb.
Immunohistochemistry Image 4: FcR gamma (E6Y1A) Rabbit Monoclonal Antibody
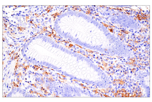
Immunohistochemical analysis of paraffin-embedded normal human colon using FcRγ (E6Y1A) Rabbit mAb.
Immunohistochemistry Image 5: FcR gamma (E6Y1A) Rabbit Monoclonal Antibody
Orders: 877-616-CELL (2355) [email protected] Support: 877-678-TECH (8324) [email protected] Web: cellsignal.com
For Research Use Only. Not for Use in Diagnostic Procedures.

Revision 6

Cell Signaling Technology Logo
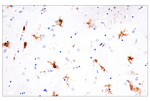
Immunohistochemical analysis of paraffin-embedded normal human brain using FcRγ (E6Y1A) Rabbit mAb.
Immunohistochemistry Image 6: FcR gamma (E6Y1A) Rabbit Monoclonal Antibody
Immunohistochemical analysis of paraffin-embedded normal human appendix using FcRγ (E6Y1A) Rabbit mAb.
Immunohistochemistry Image 7: FcR gamma (E6Y1A) Rabbit Monoclonal Antibody
Immunohistochemical analysis of paraffin-embedded A20 syngeneic tumor using FcRγ (E6Y1A) Rabbit mAb.
Immunohistochemistry Image 8: FcR gamma (E6Y1A) Rabbit Monoclonal Antibody
Orders: 877-616-CELL (2355) [email protected] Support: 877-678-TECH (8324) [email protected] Web: cellsignal.com
For Research Use Only. Not for Use in Diagnostic Procedures.

Revision 6

Cell Signaling Technology Logo
Immunohistochemical analysis of paraffin-embedded 4T1 syngeneic mammary tumor using FcRγ (E6Y1A) Rabbit mAb.
Immunohistochemistry Image 9: FcR gamma (E6Y1A) Rabbit Monoclonal Antibody
Immunohistochemical analysis of paraffin-embedded Renca syngeneic tumor using FcRγ (E6Y1A) Rabbit mAb.
Immunohistochemistry Image 10: FcR gamma (E6Y1A) Rabbit Monoclonal Antibody
Immunohistochemical analysis of paraffin-embedded mouse thymus using FcRγ (E6Y1A) Rabbit mAb.
Immunohistochemistry Image 11: FcR gamma (E6Y1A) Rabbit Monoclonal Antibody
Orders: 877-616-CELL (2355) [email protected] Support: 877-678-TECH (8324) [email protected] Web: cellsignal.com
For Research Use Only. Not for Use in Diagnostic Procedures.

Revision 6

Cell Signaling Technology Logo
Immunohistochemical analysis of paraffin-embedded mouse stomach using FcRγ (E6Y1A) Rabbit mAb.
Immunohistochemistry Image 12: FcR gamma (E6Y1A) Rabbit Monoclonal Antibody
Immunohistochemical analysis of paraffin-embedded mouse lung using FcRγ (E6Y1A) Rabbit mAb.
Immunohistochemistry Image 13: FcR gamma (E6Y1A) Rabbit Monoclonal Antibody
Immunohistochemical analysis of paraffin-embedded mouse liver using FcRγ (E6Y1A) Rabbit mAb.
Immunohistochemistry Image 14: FcR gamma (E6Y1A) Rabbit Monoclonal Antibody
Orders: 877-616-CELL (2355) [email protected] Support: 877-678-TECH (8324) [email protected] Web: cellsignal.com
For Research Use Only. Not for Use in Diagnostic Procedures.

Revision 6

Cell Signaling Technology Logo
Immunohistochemical analysis of paraffin-embedded mouse cerebral cortex using FcRγ (E6Y1A) Rabbit mAb.
Immunohistochemistry Image 15: FcR gamma (E6Y1A) Rabbit Monoclonal Antibody
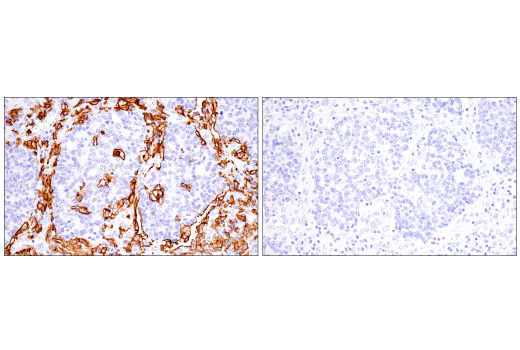
Immunohistochemical analysis of paraffin-embedded human colon carcinoma using FcRγ (E6Y1A) Rabbit mAb (left) compared to concentration-matched Rabbit (DA1E) mAb IgG XP® Isotype Control #3900 (right).
Immunohistochemistry Image 16: FcR gamma (E6Y1A) Rabbit Monoclonal Antibody
Immunohistochemical analysis of paraffin-embedded THP-1 cell pellet (left, positive) or 293T cell pellet (right, negative) using FcRγ (E6Y1A) Rabbit mAb.
Immunohistochemistry Image 17: FcR gamma (E6Y1A) Rabbit Monoclonal Antibody
Orders: 877-616-CELL (2355) [email protected] Support: 877-678-TECH (8324) [email protected] Web: cellsignal.com
For Research Use Only. Not for Use in Diagnostic Procedures.

Revision 6

Cell Signaling Technology Logo
Confocal immunofluorescent analysis of fixed frozen mouse spleen labeled with FcRγ (E6Y1A) Rabbit mAb (left, green), and colabeled with DyLight™ 650 Phalloidin #12956 (right, red) and DAPI #4083 (right, blue).
Immunofluorescence Image 1: FcR gamma (E6Y1A) Rabbit Monoclonal Antibody
Confocal immunofluorescent analysis of fixed frozen mouse small intestine labeled with FcRγ (E6Y1A) Rabbit mAb (left, green). Free secondary binding sites were then blocked with Rabbit (DA1E) mAb IgG XP® Isotype Control #3900 prior to colabeling with LAMP1 (E5N9Z) Rabbit mAb (Alexa Fluor® 594 Conjugate) #73294 (right, yellow pseudocolor), DyLight™ 650 Phalloidin #12956 (right, red), and DAPI #4083 (right, blue).
Immunofluorescence Image 2: FcR gamma (E6Y1A) Rabbit Monoclonal Antibody
Confocal immunofluorescent analysis of THP-1 cells differentiated with TPA (12-O-Tetradecanoylphorbol-13-Acetate) #4174 (left, positive) and 293T cells (right, negative) using FcRγ (E6Y1A) Rabbit mAb (green), DyLight™ 650 Phalloidin #12956 (red), and DAPI #4083 (blue).
Immunofluorescence Image 1: FcR gamma (E6Y1A) Rabbit Monoclonal Antibody
Orders: 877-616-CELL (2355) [email protected] Support: 877-678-TECH (8324) [email protected] Web: cellsignal.com
For Research Use Only. Not for Use in Diagnostic Procedures.