Revision 1

#29650

Store at -20C

Ferroptosis Antibody Sampler Kit

1 Kit

(8 x 20 microliters)

CST Logo
Orders:

877-616-CELL (2355)

[email protected]

Support:

877-678-TECH (8324)

3 Trask Lane | Danvers | Massachusetts | 01923 | USA

For Research Use Only. Not for Use in Diagnostic Procedures.

Product Includes Product # Quantity Mol. Wt Isotype/Source
GPX4 Antibody5245520 µl20, 22 kDaRabbit
NCOA4 (E8H8Z) Rabbit Monoclonal Antibody6684920 µl80 kDaRabbit IgG
KEAP1 (D6B12) Rabbit Monoclonal Antibody804720 µl60-64 kDaRabbit IgG
NRF2 (D1Z9C) Rabbit Monoclonal Antibody1272120 µl97-100 kDaRabbit IgG
4F2hc/SLC3A2 (D3F9D) Rabbit Monoclonal Antibody4721320 µl75-120 kDaRabbit IgG
FTH1 (D1D4) Rabbit Monoclonal Antibody439320 µl21 kDaRabbit IgG
xCT/SLC7A11 (D2M7A) Rabbit Monoclonal Antibody1269120 µl35 kDaRabbit IgG
DMT1/SLC11A2 (D3V8G) Rabbit Monoclonal Antibody1508320 µl55, 70-100 kDaRabbit IgG
Anti-rabbit IgG, HRP-linked Antibody7074100 µlGoat

Please visit cellsignal.com for individual component applications, species cross-reactivity, dilutions, protocols, and additional product information.

Description

The Ferroptosis Antibody Sampler Kit provides an economical means of detecting proteins involved in ferroptosis. The kit includes enough antibodies to perform two western blot experiments with each primary antibody.

Storage

Supplied in 10 mM sodium HEPES (pH 7.5), 150 mM NaCl, 100 µg/ml BSA, 50% glycerol and less than 0.02% sodium azide. Store at –20°C. Do not aliquot the antibodies.

Background

Ferroptosis is an iron-dependent form of regulated cell death associated with an increase in lipid peroxides (reviewed in 1,2). Free divalent iron (Fe2+) can lead to spontaneous lipid peroxidation through a Fenton reaction. Ferroptosis is regulated by signaling pathways that control iron storage and oxidative stress. Iron homeostasis is controlled, in part, by ferritin, an iron storage protein consisting of a complex of heavy (FTH1) and light (FTL) chains. Levels of ferritin may be regulated by a selective autophagy process targeting ferritin, termed ferritinophagy. This pathway is mediated by nuclear receptor coactivator 4 (NCOA4), a selective cargo receptor for ferritin (3,4). The divalent metal transporter SLC11A2/DMT1/NRAMP2 regulates iron homeostasis through non-heme absorption in the intestine (5). The glutathione peroxidase pathway has been identified as a key antioxidant defense pathway triggering ferroptosis. The compound RSL3, which directly inhibits GPX4, was identified as an activator of ferroptosis (6). GPX4 converts GSH into oxidized glutathione (GSSH) and reduces cytotoxic lipid peroxides. The glutathione peroxidase pathway is further regulated by System Xc-, an amino acid antiporter consisting of a disulfide-linked heterodimer of SLC7A11/xCT and SLC3A2/4F2hc/CD98, and is inhibited by the ferroptosis inducer erastin (7). Regulation of genes involved in oxidative stress, including GPX4, are largely controlled by the transcription factor NRF2 and serves as a defense against ferroptosis (8). Under normal conditions, expression of NRF2 is inhibited through interaction with KEAP1, part of a ubiquitin E3 ligase complex that leads to NRF2 proteasomal degradation. Oxidative stress leads to conformational changes in KEAP1 that disrupts this interaction, resulting in stabilization of NRF2. This process is further regulated through the autophagy pathway in which the autophagy cargo receptor p62/SQSTM1 can competitively inhibit the KEAP1-NRF2 complex, leading to upregulation of NRF2.

Trademarks and Patents

Cell Signaling Technology is a trademark of Cell Signaling Technology, Inc.

All other trademarks are the property of their respective owners. Visit cellsignal.com/trademarks for more information.

Limited Uses

Except as otherwise expressly agreed in a writing signed by a legally authorized representative of CST, the following terms apply to Products provided by CST, its affiliates or its distributors. Any Customer's terms and conditions that are in addition to, or different from, those contained herein, unless separately accepted in writing by a legally authorized representative of CST, are rejected and are of no force or effect.

Products are labeled with For Research Use Only or a similar labeling statement and have not been approved, cleared, or licensed by the FDA or other regulatory foreign or domestic entity, for any purpose. Customer shall not use any Product for any diagnostic or therapeutic purpose, or otherwise in any manner that conflicts with its labeling statement. Products sold or licensed by CST are provided for Customer as the end-user and solely for research and development uses. Any use of Product for diagnostic, prophylactic or therapeutic purposes, or any purchase of Product for resale (alone or as a component) or other commercial purpose, requires a separate license from CST. Customer shall (a) not sell, license, loan, donate or otherwise transfer or make available any Product to any third party, whether alone or in combination with other materials, or use the Products to manufacture any commercial products, (b) not copy, modify, reverse engineer, decompile, disassemble or otherwise attempt to discover the underlying structure or technology of the Products, or use the Products for the purpose of developing any products or services that would compete with CST products or services, (c) not alter or remove from the Products any trademarks, trade names, logos, patent or copyright notices or markings, (d) use the Products solely in accordance with CST Product Terms of Sale and any applicable documentation, and (e) comply with any license, terms of service or similar agreement with respect to any third party products or services used by Customer in connection with the Products.

Orders: 877-616-CELL (2355) [email protected] Support: 877-678-TECH (8324) [email protected] Web: cellsignal.com
For Research Use Only. Not for Use in Diagnostic Procedures.

Revision 1

Cell Signaling Technology Logo
Orders: 877-616-CELL (2355) [email protected] Support: 877-678-TECH (8324) [email protected] Web: cellsignal.com
For Research Use Only. Not for Use in Diagnostic Procedures.

Revision 1

Cell Signaling Technology Logo
Western blot analysis of extracts from Huh7 and Hep G2 cells using xCT/SLC7A11 (D2M7A) Rabbit mAb.
undefined Image 1: Ferroptosis Antibody Sampler Kit
Orders: 877-616-CELL (2355) [email protected] Support: 877-678-TECH (8324) [email protected] Web: cellsignal.com
For Research Use Only. Not for Use in Diagnostic Procedures.

Revision 1

Cell Signaling Technology Logo
Western blot analysis of extracts from SK-MEL-5 and SK-MEL-2 cells using DMT1/SLC11A2 (D3V8G) Rabbit mAb.
undefined Image 2: Ferroptosis Antibody Sampler Kit
Western blot analysis of extracts from HeLa and HT-29 cells using FTH1 (D1D4) Rabbit mAb.
undefined Image 3: Ferroptosis Antibody Sampler Kit
Western blot analysis of extracts from various cell lines using 4F2hc/SLC3A2 (D3F9D) XP® Rabbit mAb (upper) and β-actin (D6A8) Rabbit mAb #8457 (lower).
undefined Image 4: Ferroptosis Antibody Sampler Kit
Orders: 877-616-CELL (2355) [email protected] Support: 877-678-TECH (8324) [email protected] Web: cellsignal.com
For Research Use Only. Not for Use in Diagnostic Procedures.

Revision 1

Cell Signaling Technology Logo
Western blot analysis of extracts from various cell lines using GPX4 Antibody.
undefined Image 5: Ferroptosis Antibody Sampler Kit
Western blot analysis of extracts from various cell lines using NCOA4 (E8H8Z) Rabbit mAb (upper) or β-Actin (D6A8) Rabbit mAb #8457 (lower). As expected, HT-1080 and OVCAR-4 cells are low for NCOA4 expression.
undefined Image 6: Ferroptosis Antibody Sampler Kit
After the primary antibody is bound to the target protein, a complex with HRP-linked secondary antibody is formed. The LumiGLO® is added and emits light during enzyme catalyzed decomposition.
undefined Image 7: Ferroptosis Antibody Sampler Kit
Orders: 877-616-CELL (2355) [email protected] Support: 877-678-TECH (8324) [email protected] Web: cellsignal.com
For Research Use Only. Not for Use in Diagnostic Procedures.

Revision 1

Cell Signaling Technology Logo
Western blot analysis of extracts from various cell lines using KEAP1 (D6B12) Rabbit mAb.
undefined Image 8: Ferroptosis Antibody Sampler Kit
Western blot analysis of extracts from human SK-MEL-5 cells, untreated (-) or treated with PNGase F (+), using DMT1/SLC11A2 (D3V8G) Rabbit mAb (upper) and β-Actin (13E5) Rabbit mAb #4970 (lower).
undefined Image 9: Ferroptosis Antibody Sampler Kit
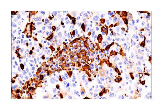
Immunohistochemical analysis of paraffin-embedded human ductal breast carcinoma using FTH1 (D1D4) Rabbit mAb.
undefined Image 10: Ferroptosis Antibody Sampler Kit
Orders: 877-616-CELL (2355) [email protected] Support: 877-678-TECH (8324) [email protected] Web: cellsignal.com
For Research Use Only. Not for Use in Diagnostic Procedures.

Revision 1

Cell Signaling Technology Logo
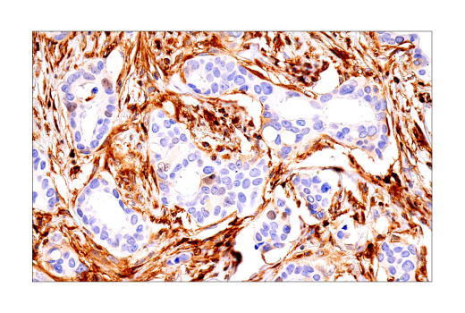
Immunohistochemical analysis of paraffin-embedded human breast carcinoma using 4F2hc/SLC3A2 (D3F9D) XP® Rabbit mAb.
undefined Image 11: Ferroptosis Antibody Sampler Kit
Western blot analysis of extracts from mouse testis using GPX4 Antibody.
undefined Image 12: Ferroptosis Antibody Sampler Kit
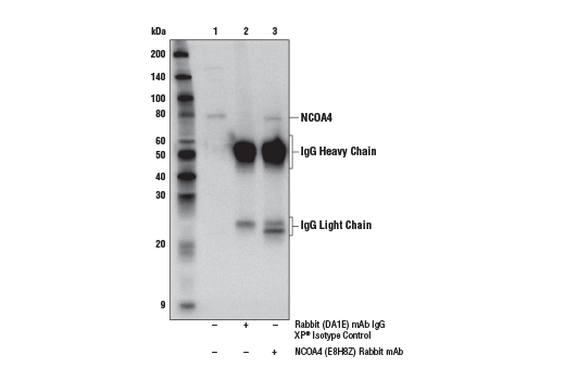
Immunoprecipitation of NCOA4 protein from HeLa cell extracts. Lane 1 is 10% input, lane 2 is Rabbit (DA1E) mAb IgG XP® Isotype Control #3900, and lane 3 is NCOA4 (E8H8Z) Rabbit mAb. Western blot analysis was performed using NCOA4 (E8H8Z) Rabbit mAb. Anti-rabbit IgG, HRP-linked Antibody #7074 was used as a secondary antibody.
undefined Image 13: Ferroptosis Antibody Sampler Kit
Orders: 877-616-CELL (2355) [email protected] Support: 877-678-TECH (8324) [email protected] Web: cellsignal.com
For Research Use Only. Not for Use in Diagnostic Procedures.

Revision 1

Cell Signaling Technology Logo
Western blot analysis of extracts from OVCAR8 cells, transfected with 100 nM SignalSilence® Control siRNA (Unconjugated) #6568 (-), SignalSilence® KEAP1 siRNA I #5285 (+) or SignalSilence® KEAP1 siRNA II (+), using KEAP1 (D6B12) Rabbit mAb (upper) or α-Tubulin (11H10) Rabbit mAb #2125 (lower). The KEAP1 (D6B12) Rabbit mAb confirms silencing of KEAP1 expression, while the α-Tubulin (11H10) Rabbit mAb is used as a loading control.
undefined Image 14: Ferroptosis Antibody Sampler Kit
Immunoprecipitation of DMT1 from SK-MEL-5 cell extracts using Rabbit (DA1E) mAb IgG XP® Isotype Control #3900 (lane 2) or DMT1/SLC11A2 (D3V8G) Rabbit mAb (lane 3). Lane 1 is 10% input. Western blot analysis was performed using DMT1/SLC11A2 (D3V8G) Rabbit mAb.
undefined Image 15: Ferroptosis Antibody Sampler Kit
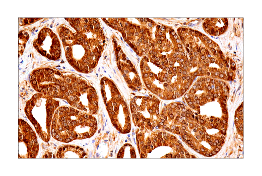
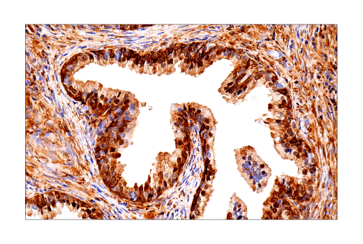
Immunohistochemical analysis of paraffin-embedded human prostate adenocarcinoma using FTH1 (D1D4) Rabbit mAb.
undefined Image 16: Ferroptosis Antibody Sampler Kit
Orders: 877-616-CELL (2355) [email protected] Support: 877-678-TECH (8324) [email protected] Web: cellsignal.com
For Research Use Only. Not for Use in Diagnostic Procedures.

Revision 1

Cell Signaling Technology Logo
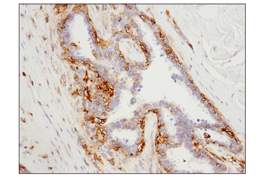
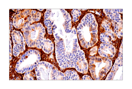
Immunohistochemical analysis of paraffin-embedded human colon carcinoma using 4F2hc/SLC3A2 (D3F9D) XP® Rabbit mAb.
undefined Image 17: Ferroptosis Antibody Sampler Kit
Confocal immunofluorescent analysis of OVCAR8 cells using KEAP1 (D6B12) Rabbit mAb (green). Blue pseudocolor = DRAQ5® #4084 (fluorescent DNA dye).
undefined Image 18: Ferroptosis Antibody Sampler Kit
Immunohistochemical analysis of paraffin-embedded human endometrioid adenocarcinoma using FTH1 (D1D4) Rabbit mAb.
undefined Image 19: Ferroptosis Antibody Sampler Kit
Orders: 877-616-CELL (2355) [email protected] Support: 877-678-TECH (8324) [email protected] Web: cellsignal.com
For Research Use Only. Not for Use in Diagnostic Procedures.

Revision 1

Cell Signaling Technology Logo
Immunohistochemical analysis of paraffin-embedded human ovarian carcinoma using 4F2hc/SLC3A2 (D3F9D) XP® Rabbit mAb.
undefined Image 20: Ferroptosis Antibody Sampler Kit
Immunohistochemical analysis of paraffin-embedded human prostate adenocarcinoma using FTH1 (D1D4) Rabbit mAb.
undefined Image 21: Ferroptosis Antibody Sampler Kit
Immunohistochemical analysis of paraffin-embedded human non-small cell lung carcinoma using FTH1 (D1D4) Rabbit mAb.
undefined Image 22: Ferroptosis Antibody Sampler Kit
Orders: 877-616-CELL (2355) [email protected] Support: 877-678-TECH (8324) [email protected] Web: cellsignal.com
For Research Use Only. Not for Use in Diagnostic Procedures.

Revision 1

Cell Signaling Technology Logo
Confocal immunofluorescent analysis of HeLa (left, high expressing) or SH-SY5Y (right, low expressing) cells using 4F2hc/SLC3A2 (D3F9D) XP® Rabbit mAb (green). Blue pseudocolor = DRAQ5® #4084 (fluorescent DNA dye).
undefined Image 23: Ferroptosis Antibody Sampler Kit
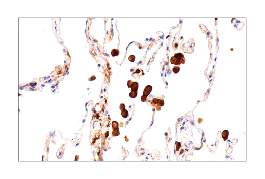
Immunohistochemical analysis of paraffin-embedded normal human lung using FTH1 (D1D4) Rabbit mAb.
undefined Image 24: Ferroptosis Antibody Sampler Kit
Flow cytometric analysis of SH-SY5Y cells (blue) and HeLa cells (green) using 4F2hc/SLC3A2 (D3F9D) XP® Rabbit mAb (solid lines) or a concentration-matched Rabbit (DA1E) mAb IgG XP® Isotype Control #3900 (dashed lines). Anti-rabbit IgG (H+L), F(ab')2 Fragment (Alexa Fluor® 488 Conjugate) #4412 was used as a secondary antibody.
undefined Image 25: Ferroptosis Antibody Sampler Kit
Orders: 877-616-CELL (2355) [email protected] Support: 877-678-TECH (8324) [email protected] Web: cellsignal.com
For Research Use Only. Not for Use in Diagnostic Procedures.

Revision 1

Cell Signaling Technology Logo
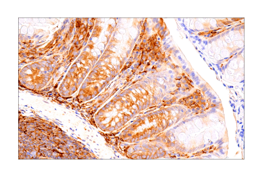
Immunohistochemical analysis of paraffin-embedded normal mouse colon using FTH1 (D1D4) Rabbit mAb.
undefined Image 26: Ferroptosis Antibody Sampler Kit
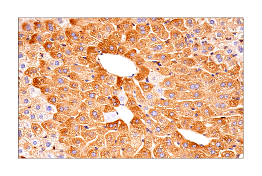
Immunohistochemical analysis of paraffin-embedded normal mouse liver using FTH1 (D1D4) Rabbit mAb.
undefined Image 27: Ferroptosis Antibody Sampler Kit
Immunohistochemical analysis of paraffin-embedded normal mouse spleen using FTH1 (D1D4) Rabbit mAb.
undefined Image 28: Ferroptosis Antibody Sampler Kit
Orders: 877-616-CELL (2355) [email protected] Support: 877-678-TECH (8324) [email protected] Web: cellsignal.com
For Research Use Only. Not for Use in Diagnostic Procedures.

Revision 1

Cell Signaling Technology Logo
Immunohistochemical analysis of paraffin-embedded normal mouse testis using FTH1 (D1D4) Rabbit mAb.
undefined Image 29: Ferroptosis Antibody Sampler Kit
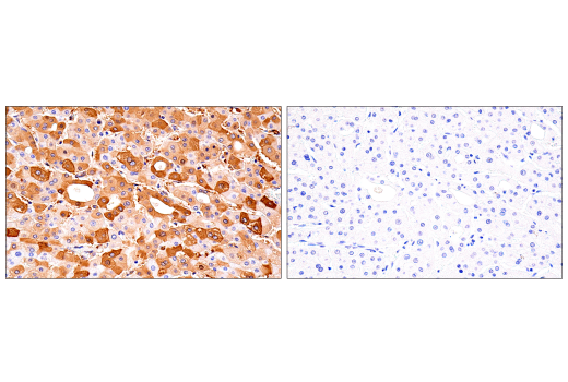
Immunohistochemical analysis of paraffin-embedded human hepatocellular carcinoma using FTH1 (D1D4) Rabbit mAb (left) compared to concentration-matched Rabbit (DA1E) mAb IgG XP® Isotype Control #3900 (right).
undefined Image 30: Ferroptosis Antibody Sampler Kit
Immunohistochemical analysis of paraffin-embedded HeLa cell pellet (left, high-expressing) or HL-60 cell pellet (right, low-expressing) using FTH1 (D1D4) Rabbit mAb.
undefined Image 31: Ferroptosis Antibody Sampler Kit
Orders: 877-616-CELL (2355) [email protected] Support: 877-678-TECH (8324) [email protected] Web: cellsignal.com
For Research Use Only. Not for Use in Diagnostic Procedures.

Revision 1

Cell Signaling Technology Logo
Immunoprecipitation of  xCT/SLC7A11 protein from A549 cell extracts. Lane 1 is 10% input, lane 2 is Rabbit (DA1E) mAb IgG XP® Isotype Control #3900, and lane 3 is  xCT/SLC7A11 (D2M7A) Rabbit mAb. Western blot analysis was performed using  xCT/SLC7A11 (D2M7A) Rabbit mAb. Anti-rabbit IgG, HRP-linked Antibody #7074 was used as a secondary antibody.
undefined Image 32: Ferroptosis Antibody Sampler Kit
Orders: 877-616-CELL (2355) [email protected] Support: 877-678-TECH (8324) [email protected] Web: cellsignal.com
For Research Use Only. Not for Use in Diagnostic Procedures.

Revision 1

Cell Signaling Technology Logo
Chromatin immunoprecipitations were performed with cross-linked chromatin from MEF cells treated with DEM (50 μM, 3 hr) and NRF2 (D1Z9C) XP® Rabbit mAb, using SimpleChIP® Plus Enzymatic Chromatin IP Kit (Magnetic Beads) #9005. DNA Libraries were prepared using DNA Library Prep Kit for Illumina Systems (ChIP-seq, CUT&RUN) #56795. The figure shows binding across NQO1, a known target gene of NRF2 (see additional figure containing ChIP-qPCR data).
undefined Image 33: Ferroptosis Antibody Sampler Kit
Western blot analysis of extracts from MEF wt and U-2 OS cells, untreated (-) or treated with MG-132 #2194 (10 μM, 10 hr; +), using NRF2 (D1Z9C) XP® Rabbit mAb.
undefined Image 34: Ferroptosis Antibody Sampler Kit
Chromatin immunoprecipitations were performed with cross-linked chromatin from MEF cells treated with DEM (50 μM, 3 hr) and NRF2 (D1Z9C) XP® Rabbit mAb, using SimpleChIP® Plus Enzymatic Chromatin IP Kit (Magnetic Beads) #9005. DNA Libraries were prepared using DNA Library Prep Kit for Illumina® (ChIP-seq, CUT&RUN) #56795. The figure shows binding across chromosome 8 (upper), including NQO1 (lower), a known target gene of NRF2 (see additional figure containing ChIP-qPCR data).
undefined Image 35: Ferroptosis Antibody Sampler Kit
Orders: 877-616-CELL (2355) [email protected] Support: 877-678-TECH (8324) [email protected] Web: cellsignal.com
For Research Use Only. Not for Use in Diagnostic Procedures.

Revision 1

Cell Signaling Technology Logo
Immunoprecipitation of NRF2 from MEF wt cell extracts treated with MG-132 #2194 (10 μM, 10 hr) using Rabbit (DA1E) mAb IgG XP® Isotype Control #3900 (lane 2) or NRF2 (D1Z9C) XP® Rabbit mAb (lane 3). Lane 1 is 10% input. Western blot analysis was performed using NRF2 (D1Z9C) XP® Rabbit mAb (lane 3).
undefined Image 36: Ferroptosis Antibody Sampler Kit
Chromatin immunoprecipitations were performed with cross-linked chromatin from MEF NRF2 wild-type (left) and NRF2 knock-out (right) cells, both treated with DEM (50 μM, 3 hr), and NRF2 (D1Z9C) XP® Rabbit mAb or Normal Rabbit IgG #2729 using SimpleChIP® Enzymatic Chromatin IP Kit (Magnetic Beads) #9003. The enriched DNA was quantified by real-time PCR using mouse MafG intron 1 primers, SimpleChIP® Mouse NQO1 Promoter Primers #12635, and SimpleChIP® Mouse RPL30 Intron 2 Primers #7015. The amount of immunoprecipitated DNA in each sample is represented as signal relative to the total amount of input chromatin, which is equivalent to one.
undefined Image 37: Ferroptosis Antibody Sampler Kit
Confocal immunofluorescent analysis of wild-type NRF2 MEF cells, untreated (left) or treated with MG-132 #2194 (10 μM, 8 hr; center), and NRF2 knock-out MEF cells treated with MG-132 #2194 (10 μM, 8 hr; right), using NRF2 (D1Z9C) XP® Rabbit mAb (green pseudocolor). Actin filaments were labeled with Alexa Fluor® 488 Phalloidin #8878 (red pseudocolor).
undefined Image 38: Ferroptosis Antibody Sampler Kit
Orders: 877-616-CELL (2355) [email protected] Support: 877-678-TECH (8324) [email protected] Web: cellsignal.com
For Research Use Only. Not for Use in Diagnostic Procedures.

Revision 1

Cell Signaling Technology Logo
Flow cytometric analysis of MEF wt cells, untreated (blue) or treated with MG-132 #2194 (10uM, 4 hrs; green) using NRF2 (D1Z9C) XP® Rabbit mAb (solid line) compared to concentration-matched Rabbit (DA1E) mAb IgG XP® Isotype Control #3900 (dashed line). Anti-rabbit IgG (H+L), F(ab')2 Fragment (Alexa Fluor® 488 Conjugate) #4412 was used as a secondary antibody.
undefined Image 39: Ferroptosis Antibody Sampler Kit
Simple WesternTM analysis of lysates (0.1 mg/mL) from U-2 OS + MG-132 using NRF2 (D1Z9C) XP® Rabbit mAb #12721.  The virtual lane view (left) shows the target band (as indicated) at 1:10 and 1:50 dilutions of primary antibody.  The corresponding electropherogram view (right) plots chemiluminescence by molecular weight along the capillary at 1:10 (blue line) and 1:50 (green line) dilutions of primary antibody.  This experiment was performed under reducing conditions on the JessTM Simple Western instrument from ProteinSimple, a BioTechne brand, using the 12-230 kDa separation module.
undefined Image 40: Ferroptosis Antibody Sampler Kit
Orders: 877-616-CELL (2355) [email protected] Support: 877-678-TECH (8324) [email protected] Web: cellsignal.com
For Research Use Only. Not for Use in Diagnostic Procedures.