Revision 7

#23328

Store at -20C

CST Logo
Orders:

877-616-CELL (2355)

[email protected]

Support:

877-678-TECH (8324)

3 Trask Lane | Danvers | Massachusetts | 01923 | USA

For Research Use Only. Not for Use in Diagnostic Procedures.

Applications:
W, IP, IHC-Bond, IHC-P, IF-IC, FC-FP, FC-L

Reactivity:
H M

Sensitivity:
Endogenous

MW (kDa):
92,145

Source/Isotype:
Rabbit IgG

UniProt ID:
#P21802

Entrez-Gene Id:
2263

Product Usage Information

Application Dilution
Western Blotting 1:1000
Immunoprecipitation 1:50
IHC Leica Bond 1:200 - 1:800
Immunohistochemistry (Paraffin) 1:100 - 1:400
Immunofluorescence (Immunocytochemistry) 1:200 - 1:800
Flow Cytometry (Fixed/Permeabilized) 1:100 - 1:400
Flow Cytometry (Live) 1:100 - 1:400

Storage

Supplied in 10 mM sodium HEPES (pH 7.5), 150 mM NaCl, 100 µg/ml BSA, 50% glycerol and less than 0.02% sodium azide. Store at –20°C. Do not aliquot the antibody.

For a carrier free (BSA and azide free) version of this product see product #83546.

Specificity/Sensitivity

FGF Receptor 2 (D4L2V) Rabbit Monoclonal Antibody recognizes endogenous levels of total FGFR2 protein and does not cross-react with FGFR1 or FGFR4.

Source / Purification

Monoclonal antibody is produced by immunizing animals with recombinant protein specific to the amino terminus of human FGFR2 protein.

Background

Fibroblast growth factors (FGFs) produce mitogenic and angiogenic effects in target cells by signaling through cell surface receptor tyrosine kinases. There are four members of the FGF receptor family: FGFR1 (flg), FGFR2 (bek, KGFR), FGFR3, and FGFR4. Each receptor contains an extracellular ligand-binding domain, a transmembrane domain, and a cytoplasmic kinase domain (1). Following ligand binding and dimerization, the receptors are phosphorylated at specific tyrosine residues (2). Seven tyrosine residues in the cytoplasmic tail of FGFR1 can be phosphorylated: Tyr463, 583, 585, 653, 654, 730, and 766. Tyr653 and Tyr654 are important for catalytic activity of activated FGFR and are essential for signaling (3). The other phosphorylated tyrosine residues may provide docking sites for downstream signaling components, such as Crk and PLCγ (4,5).

FGFR2 has several splicing isoforms, with ligand specificity largely determined by alternative splicing of exons 8 (IIIb) and 9 (IIIc). Alternative splicing is cell type specific, resulting in isoforms showing various tissue distribution and biological activities (6,7). Research studies have shown that mutations in the corresponding FGFR2 gene cause syndromes characterized by facial and limb defects, including LADD Syndrome, Crouzon Syndrome, Beare-Stevenson Cutis Gyrata Syndrome, Pfeiffer Syndrome, Apert Syndrome, and Jackson-Weiss Syndrome (8-10). Investigators have also observed mutations and altered expression of FGFR2 in cases of gastric, endometrial, and breast cancer (11).

Species Reactivity

Species reactivity is determined by testing in at least one approved application (e.g., western blot).

Western Blot Buffer

IMPORTANT: For western blots, incubate membrane with diluted primary antibody in 5% w/v BSA, 1X TBS, 0.1% Tween® 20 at 4°C with gentle shaking, overnight.

Applications Key

W: Western Blotting IP: Immunoprecipitation IHC-Bond: IHC Leica Bond IHC-P: Immunohistochemistry (Paraffin) IF-IC: Immunofluorescence (Immunocytochemistry) FC-FP: Flow Cytometry (Fixed/Permeabilized) FC-L: Flow Cytometry (Live)

Cross-Reactivity Key

H: Human M: Mouse

Trademarks and Patents

Cell Signaling Technology is a trademark of Cell Signaling Technology, Inc.

Alexa Fluor is a registered trademark of Life Technologies Corporation.

All other trademarks are the property of their respective owners. Visit cellsignal.com/trademarks for more information.

Limited Uses

Except as otherwise expressly agreed in a writing signed by a legally authorized representative of CST, the following terms apply to Products provided by CST, its affiliates or its distributors. Any Customer's terms and conditions that are in addition to, or different from, those contained herein, unless separately accepted in writing by a legally authorized representative of CST, are rejected and are of no force or effect.

Products are labeled with For Research Use Only or a similar labeling statement and have not been approved, cleared, or licensed by the FDA or other regulatory foreign or domestic entity, for any purpose. Customer shall not use any Product for any diagnostic or therapeutic purpose, or otherwise in any manner that conflicts with its labeling statement. Products sold or licensed by CST are provided for Customer as the end-user and solely for research and development uses. Any use of Product for diagnostic, prophylactic or therapeutic purposes, or any purchase of Product for resale (alone or as a component) or other commercial purpose, requires a separate license from CST. Customer shall (a) not sell, license, loan, donate or otherwise transfer or make available any Product to any third party, whether alone or in combination with other materials, or use the Products to manufacture any commercial products, (b) not copy, modify, reverse engineer, decompile, disassemble or otherwise attempt to discover the underlying structure or technology of the Products, or use the Products for the purpose of developing any products or services that would compete with CST products or services, (c) not alter or remove from the Products any trademarks, trade names, logos, patent or copyright notices or markings, (d) use the Products solely in accordance with CST Product Terms of Sale and any applicable documentation, and (e) comply with any license, terms of service or similar agreement with respect to any third party products or services used by Customer in connection with the Products.

Orders: 877-616-CELL (2355) [email protected] Support: 877-678-TECH (8324) [email protected] Web: cellsignal.com
For Research Use Only. Not for Use in Diagnostic Procedures.

Revision 7

Cell Signaling Technology Logo
Western blot analysis of extracts from various cell lines using FGF Receptor 2 (D4L2V) Rabbit mAb.
Western Blotting Image 1: FGF Receptor 2 (D4L2V) Rabbit Monoclonal Antibody
Immunoprecipitation of FGFR2 protein from Saos-2 cell extracts. Lane 1 is 10% input, lane 2 is Rabbit (DA1E) mAb IgG XP® Isotype Control #3900, and lane 3 is FGF Receptor 2 (D4L2V) Rabbit mAb. Western blot analysis was performed using FGF Receptor 2 (D4L2V) Rabbit mAb.
Immunoprecipitation Image 1: FGF Receptor 2 (D4L2V) Rabbit Monoclonal Antibody
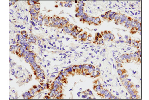
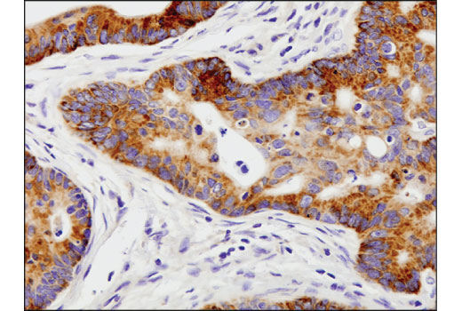
Immunohistochemical analysis of paraffin-embedded human gastric carcinoma using FGF Receptor 2 (D4L2V) Rabbit mAb performed on the Leica BOND RX.
Immunohistochemistry Image 1: FGF Receptor 2 (D4L2V) Rabbit Monoclonal Antibody
Orders: 877-616-CELL (2355) [email protected] Support: 877-678-TECH (8324) [email protected] Web: cellsignal.com
For Research Use Only. Not for Use in Diagnostic Procedures.

Revision 7

Cell Signaling Technology Logo
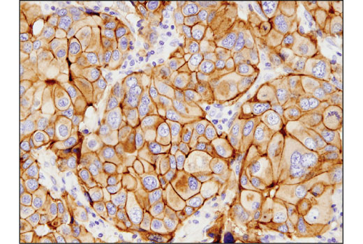
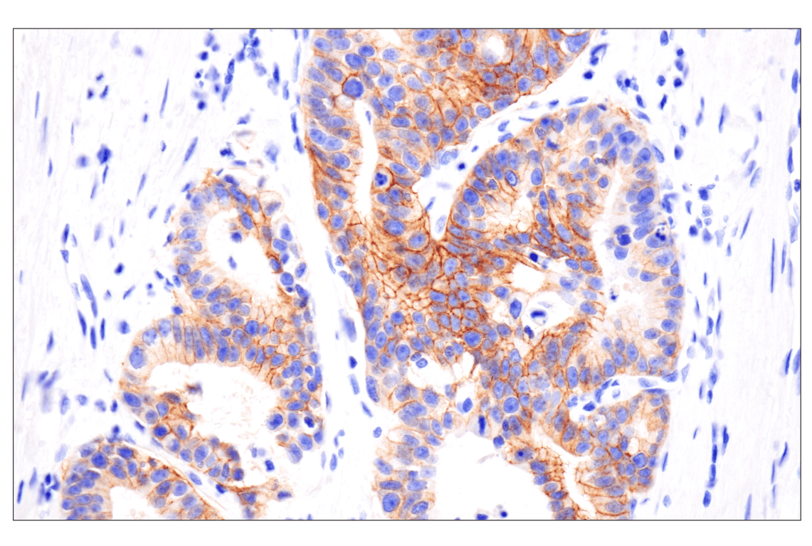
Immunohistochemical analysis of paraffin-embedded human breast carcinoma using FGF Receptor 2 (D4L2V) Rabbit mAb performed on the Leica BOND RX.
Immunohistochemistry Image 2: FGF Receptor 2 (D4L2V) Rabbit Monoclonal Antibody
Immunohistochemical analysis of paraffin-embedded human adenoid cystic carcinoma of the salivary gland using FGF Receptor 2 (D4L2V) Rabbit mAb performed on the Leica BOND RX.
Immunohistochemistry Image 3: FGF Receptor 2 (D4L2V) Rabbit Monoclonal Antibody
Immunohistochemical analysis of paraffin-embedded human esophageal carcinoma using FGF Receptor 2 (D4L2V) Rabbit mAb performed on the Leica BOND RX.
Immunohistochemistry Image 4: FGF Receptor 2 (D4L2V) Rabbit Monoclonal Antibody
Orders: 877-616-CELL (2355) [email protected] Support: 877-678-TECH (8324) [email protected] Web: cellsignal.com
For Research Use Only. Not for Use in Diagnostic Procedures.

Revision 7

Cell Signaling Technology Logo
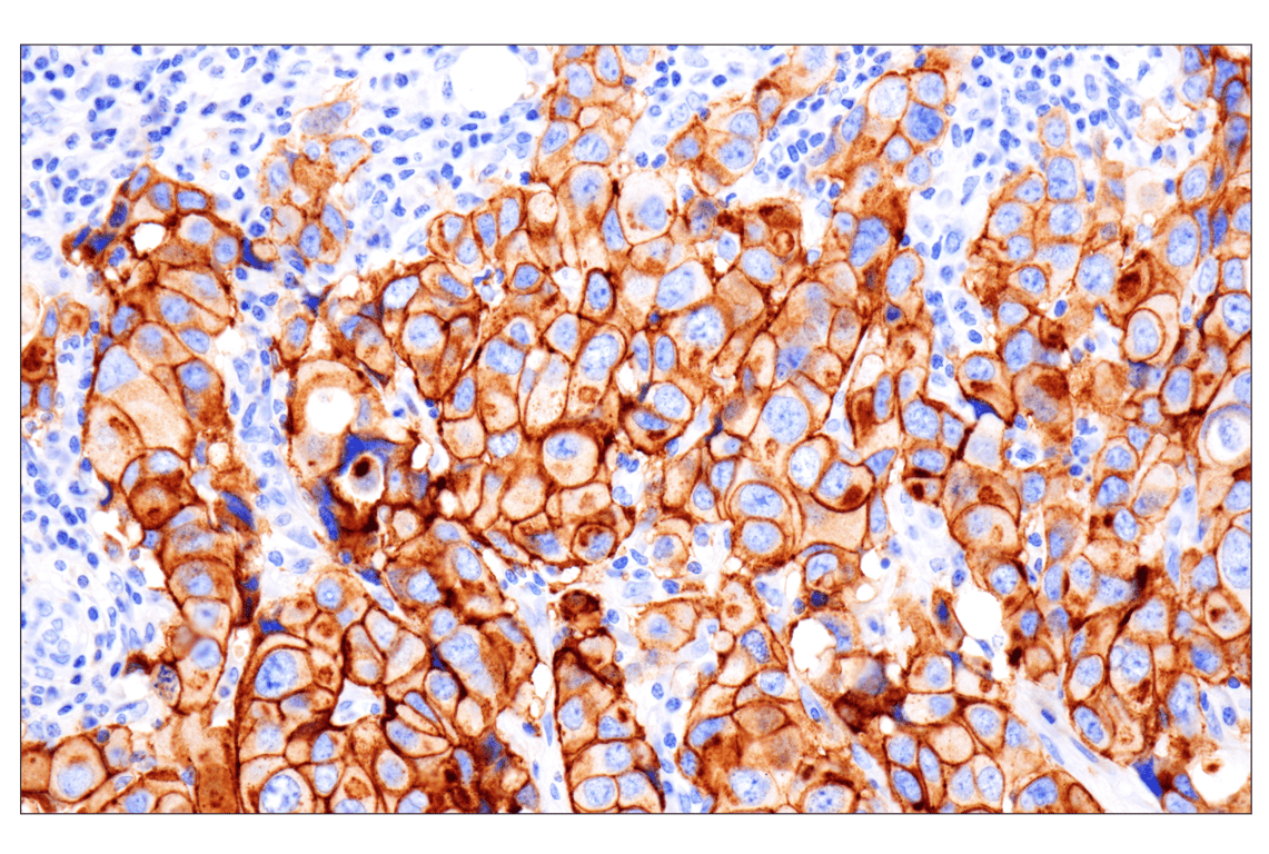
Immunohistochemical analysis of paraffin-embedded human breast carcinoma using FGF Receptor 2 (D4L2V) Rabbit mAb.
Immunohistochemistry Image 1: FGF Receptor 2 (D4L2V) Rabbit Monoclonal Antibody
Immunohistochemical analysis of paraffin-embedded human colon carcinoma using FGF Receptor 2 (D4L2V) Rabbit mAb.
Immunohistochemistry Image 2: FGF Receptor 2 (D4L2V) Rabbit Monoclonal Antibody
Immunohistochemical analysis of paraffin-embedded human lung carcinoma using FGF Receptor 2 (D4L2V) Rabbit mAb.
Immunohistochemistry Image 3: FGF Receptor 2 (D4L2V) Rabbit Monoclonal Antibody
Orders: 877-616-CELL (2355) [email protected] Support: 877-678-TECH (8324) [email protected] Web: cellsignal.com
For Research Use Only. Not for Use in Diagnostic Procedures.

Revision 7

Cell Signaling Technology Logo
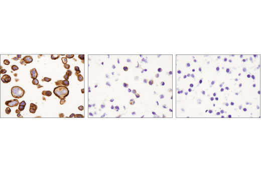
Immunohistochemical analysis of paraffin-embedded KATO III (high expressing; left), AN3 CA (low expressing; center), and SW620 (negative; right) cell pellets using FGF Receptor 2 (D4L2V) Rabbit mAb.
Immunohistochemistry Image 4: FGF Receptor 2 (D4L2V) Rabbit Monoclonal Antibody
Confocal immunofluorescent analysis of KATO III (high expressing; left), AN3 CA (low expressing; center), and SW620 (negative; right) cells using FGF Receptor 2 (D4L2V) Rabbit mAb (green) and β-Actin (8H10D10) Mouse mAb #3700 (red). Blue pseudocolor = DRAQ5® #4084 (fluorescent DNA dye).
Immunofluorescence Image 1: FGF Receptor 2 (D4L2V) Rabbit Monoclonal Antibody
Flow cytometric analysis of live SW620 cells (blue, negative) and KATO III cells (green, positive) using FGF Receptor 2 (D4L2V) Rabbit mAb (solid lines) or concentration-matched Rabbit (DA1E) mAb IgG XP® Isotype Control #3900 (dashed lines). Anti-rabbit IgG (H+L), F(ab')2 Fragment (Alexa Fluor® 488 Conjugate) #4412 was used as a secondary antibody.
Flow Cytometry Image 1: FGF Receptor 2 (D4L2V) Rabbit Monoclonal Antibody
Orders: 877-616-CELL (2355) [email protected] Support: 877-678-TECH (8324) [email protected] Web: cellsignal.com
For Research Use Only. Not for Use in Diagnostic Procedures.