Revision 3

#94065

Store at -20C

CST Logo
Orders:

877-616-CELL (2355)

[email protected]

Support:

877-678-TECH (8324)

3 Trask Lane | Danvers | Massachusetts | 01923 | USA

For Research Use Only. Not for Use in Diagnostic Procedures.

Applications:
W, IHC-P, IF-IC, ELISA

Reactivity:
H

Sensitivity:
Endogenous

MW (kDa):
165, 145 and 125

Source/Isotype:
Rabbit IgG

UniProt ID:
#P22607

Entrez-Gene Id:
2261

Product Usage Information

This product is the carrier free version of product #4574. All data were generated using the same antibody clone in the standard formulation which contains BSA and glycerol.

This formulation is ideal for use with technologies requiring specialized or custom antibody labeling, including fluorophores, metals, lanthanides, and oligonucleotides. It is not recommended for ChIP, ChIP-seq, CUT&RUN or CUT&Tag assays. If you require a carrier free formulation for chromatin profiling, please contact us. Optimal dilutions/concentrations should be determined by the end user.

BSA and Azide Free antibodies are quality control tested by size exclusion chromatography (SEC) to determine antibody integrity.

Formulation

Supplied in 1X PBS (10 mM Na2HPO4, 3 mM KCl, 2 mM KH2PO4, and 140 mM NaCl (pH 7.8)). BSA and Azide Free.

For standard formulation of this product see product #4574

Storage

Store at -20°C. This product will freeze at -20°C so it is recommended to aliquot into single-use vials to avoid multiple freeze/thaw cycles. A slight precipitate may be present and can be dissolved by gently vortexing. This will not interfere with antibody performance.

Specificity/Sensitivity

FGF Receptor 3 (C51F2) Rabbit Monoclonal Antibody (BSA and Azide Free) detects endogenous levels of FGF Receptor 3 protein. This antibody does not cross-react with other related family members.

Source / Purification

Monoclonal antibody is produced by immunizing animals with a GST-FGFR-3 cytoplasmic domain fusion protein.

Background

Fibroblast growth factors (FGFs) produce mitogenic and angiogenic effects in target cells by signaling through cell surface receptor tyrosine kinases. There are four members of the FGF receptor family: FGFR1 (flg), FGFR2 (bek, KGFR), FGFR3, and FGFR4. Each receptor contains an extracellular ligand-binding domain, a transmembrane domain, and a cytoplasmic kinase domain (1). Following ligand binding and dimerization, the receptors are phosphorylated at specific tyrosine residues (2). Seven tyrosine residues in the cytoplasmic tail of FGFR1 can be phosphorylated: Tyr463, 583, 585, 653, 654, 730, and 766. Tyr653 and Tyr654 are important for catalytic activity of activated FGFR and are essential for signaling (3). The other phosphorylated tyrosine residues may provide docking sites for downstream signaling components, such as Crk and PLCγ (4,5).

Activating mutations within fibroblast growth factor receptor 3 (FGFR-3) are responsible for human skeletal dysplasias including achondroplasia and the neonatal lethal syndromes thanatophoric dysplasia types I and II (6). Several of these same FGFR-3 mutations as well as overexpression of FGFR-3 proteins have also been identified somatically in human cancers, including multiple myeloma, bladder carcinoma and cervical cancer (7). Thus, FGFR-3 may represent a potential target for therapy.

Species Reactivity

Species reactivity is determined by testing in at least one approved application (e.g., western blot).

Applications Key

W: Western Blotting IHC-P: Immunohistochemistry (Paraffin) IF-IC: Immunofluorescence (Immunocytochemistry) ELISA: ELISA

Cross-Reactivity Key

H: Human

Trademarks and Patents

Cell Signaling Technology is a trademark of Cell Signaling Technology, Inc.

U.S. Patent No. 7,429,487, foreign equivalents, and child patents deriving therefrom.

All other trademarks are the property of their respective owners. Visit cellsignal.com/trademarks for more information.

Limited Uses

Except as otherwise expressly agreed in a writing signed by a legally authorized representative of CST, the following terms apply to Products provided by CST, its affiliates or its distributors. Any Customer's terms and conditions that are in addition to, or different from, those contained herein, unless separately accepted in writing by a legally authorized representative of CST, are rejected and are of no force or effect.

Products are labeled with For Research Use Only or a similar labeling statement and have not been approved, cleared, or licensed by the FDA or other regulatory foreign or domestic entity, for any purpose. Customer shall not use any Product for any diagnostic or therapeutic purpose, or otherwise in any manner that conflicts with its labeling statement. Products sold or licensed by CST are provided for Customer as the end-user and solely for research and development uses. Any use of Product for diagnostic, prophylactic or therapeutic purposes, or any purchase of Product for resale (alone or as a component) or other commercial purpose, requires a separate license from CST. Customer shall (a) not sell, license, loan, donate or otherwise transfer or make available any Product to any third party, whether alone or in combination with other materials, or use the Products to manufacture any commercial products, (b) not copy, modify, reverse engineer, decompile, disassemble or otherwise attempt to discover the underlying structure or technology of the Products, or use the Products for the purpose of developing any products or services that would compete with CST products or services, (c) not alter or remove from the Products any trademarks, trade names, logos, patent or copyright notices or markings, (d) use the Products solely in accordance with CST Product Terms of Sale and any applicable documentation, and (e) comply with any license, terms of service or similar agreement with respect to any third party products or services used by Customer in connection with the Products.

Orders: 877-616-CELL (2355) [email protected] Support: 877-678-TECH (8324) [email protected] Web: cellsignal.com
For Research Use Only. Not for Use in Diagnostic Procedures.

Revision 3

Cell Signaling Technology Logo
Western blot analysis of recombinant human FGFR-3 cytoplasmic fragment proteins (lane 1) and extracts from KMS-11 cells (lane 2) using FGF Receptor 3 (C51F2) Rabbit mAb. Data were generated using the standard formulation of this product.
Western Blotting Image 1: FGF Receptor 3 (C51F2) Rabbit Monoclonal Antibody (BSA and Azide Free)
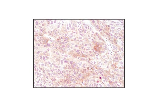
Immunohistochemical analysis of paraffin-embedded small cell lung carcinoma, using FGF Receptor 3 (C51F2) Rabbit mAb. Data were generated using the standard formulation of this product.
Immunohistochemistry Image 1: FGF Receptor 3 (C51F2) Rabbit Monoclonal Antibody (BSA and Azide Free)
Immunohistochemical analysis of paraffin-embedded KMS-11 cells, using FGF Receptor 3 (C51F2) Rabbit mAb. Data were generated using the standard formulation of this product.
Immunohistochemistry Image 2: FGF Receptor 3 (C51F2) Rabbit Monoclonal Antibody (BSA and Azide Free)
Orders: 877-616-CELL (2355) [email protected] Support: 877-678-TECH (8324) [email protected] Web: cellsignal.com
For Research Use Only. Not for Use in Diagnostic Procedures.

Revision 3

Cell Signaling Technology Logo
Confocal immunofluorescent analysis of KMS-11 (left) and RPMI-8226 cells (right) using FGF Receptor 3 (C51F12) Rabbit mAb (green). Blue pseudocolor= DRAQ5® #4084 (fluorescent DNA dye). Data were generated using the standard formulation of this product.
Immunofluorescence Image 1: FGF Receptor 3 (C51F2) Rabbit Monoclonal Antibody (BSA and Azide Free)
Data using Phospho-FGF Receptor 3 (panTyr) Matched Antibody Pair #70635 are shown. The two antibodies function as a capture-target-detection sandwich (#94065 and #80941, respectively) to detect endogenous protein expression in positive and negative controls.
ELISA Image 1: FGF Receptor 3 (C51F2) Rabbit Monoclonal Antibody (BSA and Azide Free)
Orders: 877-616-CELL (2355) [email protected] Support: 877-678-TECH (8324) [email protected] Web: cellsignal.com
For Research Use Only. Not for Use in Diagnostic Procedures.