Revision 3

#83348

Store at -20C

CST Logo
Orders:

877-616-CELL (2355)

[email protected]

Support:

877-678-TECH (8324)

3 Trask Lane | Danvers | Massachusetts | 01923 | USA

For Research Use Only. Not for Use in Diagnostic Procedures.

Applications:
W, IHC-P

Reactivity:
H

Sensitivity:
Endogenous

MW (kDa):
22

Source/Isotype:
Rabbit IgG

UniProt ID:
#O95750

Entrez-Gene Id:
9965

Product Usage Information

Application Dilution
Western Blotting 1:1000
Immunohistochemistry (Paraffin) 1:100 - 1:400

Storage

Supplied in 10 mM sodium HEPES (pH 7.5), 150 mM NaCl, 100 µg/ml BSA, 50% glycerol and less than 0.02% sodium azide. Store at –20°C. Do not aliquot the antibody.

Specificity/Sensitivity

FGF19 (D1N3R) Rabbit Monoclonal Antibody recognizes endogenous levels of total human FGF19 protein. This antibody does not cross-react with the mouse ortholog FGF15.

Source / Purification

Monoclonal antibody is produced by immunizing animals with a synthetic peptide corresponding to residues surrounding Ala148 of human FGF19 protein.

Background

FGF19 is a member of the large and diverse Fibroblast Growth Factor (FGF) family of peptide growth factors. FGF19 functions as a high affinity ligand for the FGF4 receptor, to which it binds in a heparin-dependent manner (1). Under normal physiological conditions, FGF19 is produced in the ileum when absorbed bile acids bind to the farnesoid X receptor (FXR), activating transcription of the FGF19 gene. FGF19 in turn functions in a negative feedback fashion to regulate bile acid synthesis (2). Consequently, disruptions in FGF19 signaling have been linked with clinical defects in bile acid synthesis, which may manifest as primary bile acid diarrhea or cholestasis (3,4). Research studies in oncology have shown that FGF19 can function in an endocrine, paracrine or autocrine fashion to promote tumorigenesis. In human studies, this has been demonstrated for breast cancer (5), gastric cancer (6) prostate cancer (7, 8), and hepatocellular carcinoma (9). Similar tumorigenic effects have been described for the mouse ortholog (Fgf15), notably in genetic models of hepatocellular carcinoma (10, 11)

Species Reactivity

Species reactivity is determined by testing in at least one approved application (e.g., western blot).

Western Blot Buffer

IMPORTANT: For western blots, incubate membrane with diluted primary antibody in 5% w/v nonfat dry milk, 1X TBS, 0.1% Tween® 20 at 4°C with gentle shaking, overnight.

Applications Key

W: Western Blotting IHC-P: Immunohistochemistry (Paraffin)

Cross-Reactivity Key

H: Human

Trademarks and Patents

Cell Signaling Technology is a trademark of Cell Signaling Technology, Inc.

SignalStain is a registered trademark of Cell Signaling Technology, Inc.

All other trademarks are the property of their respective owners. Visit cellsignal.com/trademarks for more information.

Limited Uses

Except as otherwise expressly agreed in a writing signed by a legally authorized representative of CST, the following terms apply to Products provided by CST, its affiliates or its distributors. Any Customer's terms and conditions that are in addition to, or different from, those contained herein, unless separately accepted in writing by a legally authorized representative of CST, are rejected and are of no force or effect.

Products are labeled with For Research Use Only or a similar labeling statement and have not been approved, cleared, or licensed by the FDA or other regulatory foreign or domestic entity, for any purpose. Customer shall not use any Product for any diagnostic or therapeutic purpose, or otherwise in any manner that conflicts with its labeling statement. Products sold or licensed by CST are provided for Customer as the end-user and solely for research and development uses. Any use of Product for diagnostic, prophylactic or therapeutic purposes, or any purchase of Product for resale (alone or as a component) or other commercial purpose, requires a separate license from CST. Customer shall (a) not sell, license, loan, donate or otherwise transfer or make available any Product to any third party, whether alone or in combination with other materials, or use the Products to manufacture any commercial products, (b) not copy, modify, reverse engineer, decompile, disassemble or otherwise attempt to discover the underlying structure or technology of the Products, or use the Products for the purpose of developing any products or services that would compete with CST products or services, (c) not alter or remove from the Products any trademarks, trade names, logos, patent or copyright notices or markings, (d) use the Products solely in accordance with CST Product Terms of Sale and any applicable documentation, and (e) comply with any license, terms of service or similar agreement with respect to any third party products or services used by Customer in connection with the Products.

Orders: 877-616-CELL (2355) [email protected] Support: 877-678-TECH (8324) [email protected] Web: cellsignal.com
For Research Use Only. Not for Use in Diagnostic Procedures.

Revision 3

Cell Signaling Technology Logo
Western blot analysis of extracts from various cell lines using FGF19 (D1N3R) Rabbit mAb (upper) and β-Actin (D6A8) Rabbit mAb (lower).
Western Blotting Image 1: FGF19 (D1N3R) Rabbit Monoclonal Antibody
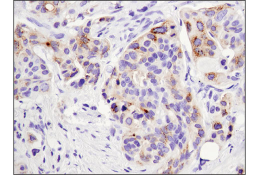
Immunohistochemical analysis of paraffin-embedded human mucinous adenocarcinoma of the colon using FGF19 (D1N3R) Rabbit mAb.
Immunohistochemistry Image 1: FGF19 (D1N3R) Rabbit Monoclonal Antibody
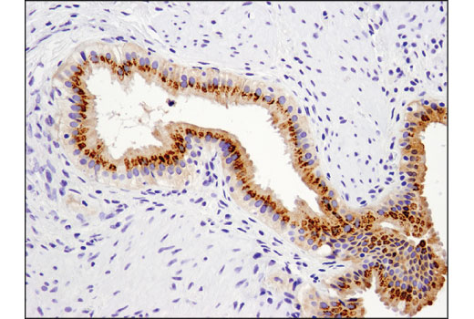
Immunohistochemical analysis of paraffin-embedded human cholecystitis of the gall bladder using FGF19 (D1N3R) Rabbit mAb.
Immunohistochemistry Image 2: FGF19 (D1N3R) Rabbit Monoclonal Antibody
Orders: 877-616-CELL (2355) [email protected] Support: 877-678-TECH (8324) [email protected] Web: cellsignal.com
For Research Use Only. Not for Use in Diagnostic Procedures.

Revision 3

Cell Signaling Technology Logo
Immunohistochemical analysis of paraffin-embedded Colo 201 (left) and 293 (right) cell pellets using FGF19 (D1N3R) Rabbit mAb.
Immunohistochemistry Image 3: FGF19 (D1N3R) Rabbit Monoclonal Antibody
Orders: 877-616-CELL (2355) [email protected] Support: 877-678-TECH (8324) [email protected] Web: cellsignal.com
For Research Use Only. Not for Use in Diagnostic Procedures.